PLAU Recombinant Monoclonal Antibody
-
中文名稱:PLAU Recombinant Monoclonal Antibody
-
貨號:CSB-RA360437MA1HU
-
規格:¥1320
-
圖片:
-
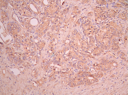
IHC image of CSB-RA360437MA1HU diluted at 1:50 and staining in paraffin-embedded human prostate cancer performed on a Leica BondTM system. After dewaxing and hydration, antigen retrieval was mediated by high pressure in a citrate buffer (pH 6.0). Section was blocked with 10% normal goat serum 30min at RT. Then primary antibody (1% BSA) was incubated at 4°C overnight. The primary is detected by a Anti-Human lgG, Fcy Fragment Specific labeled by HRP and visualized using 0.05% DAB.
-
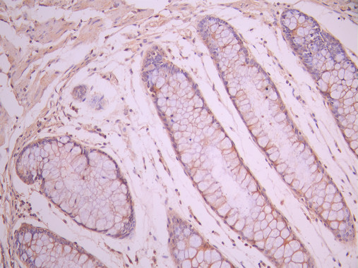
IHC image of CSB-RA360437MA1HU diluted at 1:50 and staining in paraffin-embedded human colorectal cancer performed on a Leica BondTM system. After dewaxing and hydration, antigen retrieval was mediated by high pressure in a citrate buffer (pH 6.0). Section was blocked with 10% normal goat serum 30min at RT. Then primary antibody (1% BSA) was incubated at 4°C overnight. The primary is detected by a Anti-Human lgG, Fcy Fragment Specific labeled by HRP and visualized using 0.05% DAB.
-
Overlay Peak curve showing PC-3 cells stained with CSB-RA360437MA1HU (red line) at 1:100. The cells were fixed in 4% formaldehyde and permeated by 0.2% TritonX-100 for 10min. Then 10% normal goat serum to block non-specific protein-protein interactions followed by the antibody (1ug/1*106cells) for 45min at 4℃. The secondary antibody used was Fluorescein (FITC) AffiniPure Goat Anti-Human IgG, Fcγ fragment specific at 1:200 dilution for 35 min at 4℃.Control antibody (green line) was human IgG1 (1ug/1*106cells) used under the same conditions. Acquisition of >10,000 events was performed.
-
-
其他:
產品詳情
-
Uniprot No.:
-
基因名:
-
別名:ATF antibody; ATF uPA antibody; BDPLT5 antibody; Plasminogen activator antibody; Plasminogen activator urinary antibody; Plasminogen activator urokinase antibody; PLAU antibody; QPD antibody; u PA antibody; U plasminogen activator antibody; u-PA antibody; U-plasminogen activator antibody; uPA antibody; URK antibody; UROK_HUMAN antibody; Urokinase plasminogen activator antibody; Urokinase type plasminogen activator antibody; Urokinase type plasminogen activator precursor antibody; Urokinase-type plasminogen activator chain B antibody
-
反應種屬:Human
-
免疫原:Recombinant Human PLAU protein
-
免疫原種屬:Homo sapiens (Human)
-
標記方式:Non-conjugated
-
克隆類型:Monoclonal
-
抗體亞型:hIgG1
-
純化方式:Affinity-chromatography
-
克隆號:12D11
-
濃度:It differs from different batches. Please contact us to confirm it.
-
保存緩沖液:Preservative: 0.03% Proclin 300
Constituents: 50% Glycerol, 0.01M PBS, PH 7.4 -
產品提供形式:Liquid
-
應用范圍:ELISA, IHC, FC
-
推薦稀釋比:
Application Recommended Dilution IHC 1:50-1:200 FC 1:50-1:200 -
Protocols:
-
儲存條件:Upon receipt, store at -20°C or -80°C. Avoid repeated freeze.
-
貨期:Basically, we can dispatch the products out in 1-3 working days after receiving your orders. Delivery time maybe differs from different purchasing way or location, please kindly consult your local distributors for specific delivery time.
-
用途:For Research Use Only. Not for use in diagnostic or therapeutic procedures.
相關產品
靶點詳情
-
功能:Specifically cleaves the zymogen plasminogen to form the active enzyme plasmin.
-
基因功能參考文獻:
- The combination of decoy receptor 3, soluble urokinase type plasminogen activator receptor, and procalcitonin improved the sensitivity and specificity of diagnosis of sepsis, suggesting that use of the combination of three indexes enhanced the efficiency of sepsis diagnosis. PMID: 29760745
- High Expressions of PLAU is associated with lung adenocarcinoma. PMID: 28454121
- Increased expression of uPA in epidermal cells in psoriasis and in tumor cells in basal cell carcinomas suggests an important role of the uPA system for aggressively proliferating and invading cells of epidermal origin. PMID: 28429105
- study provides strong support in the role of L. reuteri in suppression of GC cell invasion by downregulation of pathways which is involved in extracellular matrix degradation such as uPA and uPAR PMID: 28643742
- Gelsolin enhances the invasive capacity of colon cancer cells via elevating intracellular superoxide (O2.-) levels by interacting with Cu/ZnSOD, and gelsolin gene expression positively correlates with urokinase plasminogen activator (uPA), an important matrix-degrading protease invovled in cancer invasion. PMID: 27391159
- Study provides evidence that the stimulation of u-PA/u-PAR system contributes to the activated phenotype and function of cancer-associated fibroblasts during multiple myeloma. PMID: 28340565
- OB-Rb, RhoA/ROCK, PI3K/AKT, JAK/STAT pathways and NF-kB activation are involved in leptin-induced upA expression. PMID: 28104444
- Results provide evidence that uPA and IGF1R directly interact with uPAR enhancing malignant potential of triple-negative breast cancer. PMID: 27502396
- suggest that the low endogenous levels of uPA in blood are actively regulated, and that the regulatory mechanisms are disrupted in QPD in a megakaryocyte-specific manner PMID: 28301587
- an intricate link between caveolin-1 and Src kinase-mediated cell signaling and alveolar epithelial cell apoptosis due to loss of SP-C expression through p53 and uPA system-mediated cross-talk, is reported. PMID: 28385810
- results show that the uPA/uPAR/LRP1 system is a potential target for the development of therapeutic strategies to promote axonal recovery following a CNS injury PMID: 27986809
- The present research concluded that aspirin suppressed prostate cancer cell invasion by reducing MMP-9 activity and uPA expression through decreasing of IKK-beta-mediated NF-kappaB activation, indicating that the ability of aspirin to inhibit cell invasion might be useful in the chemoprevention of metastatic prostate cancer. PMID: 28278500
- These studies identify uPA-dependent de-repression of vegfr1 and vegfr2 gene transcription through binding to HHEX/PRH as a novel mechanism by which uPA mediates the pro-angiogenic effects of VEGF and identifies a potential new target for control of pathologic angiogenesis. PMID: 27151212
- The up-regulation of uPA mRNAs was correlated with high-risk clinicopathological features, including extrathyroid invasion, loss of cellular polarity/cohesiveness, and the BRAF(V600E) mutation. PMID: 25085839
- Transplantation of uPA gene modified mesenchymal stem cells suppressed liver fibrosis and ameliorated liver function and may be a new approach to treating liver fibrosis PMID: 26877613
- ApaL1 and Taq1 single nucleotide polymorphisms of the urokinase and VDR genes are associated with recurrent urolithiasis in a Caucasian population. PMID: 26275878
- Resveratrol inhibited hypoxia-induced HIF-1alpha protein expression. Resveratrol also suppressed hypoxiainduced expression of metastatic-related factors, uPA and MMP2. PMID: 26707376
- Significance of the urokinase-type plasminogen activator and its receptor in the progression of focal segmental glomerulosclerosis in clinical and mouse models. PMID: 26846181
- Data suggest that enhanced levels of uPA in breast cancer modulate the mitogenic effects of EGF which helps to better understand breast cancer pathogenesis. PMID: 25641046
- Results found high levels of uPA and uPAR exclusively in metastatic osteosarcoma (OS)cells and suggest that malignant conversion of OS cells to uPA/uPAR axis in an autocrine and paracrine fashion. PMID: 26317203
- The morphologically normal tissue adjacent to the tumor shows the substantial expression of MMP-2 and MMP-9 and in some cases the enhanced activity of uPA and ACE, which makes an additional contribution to the increased invasive potential of tumor PMID: 26978018
- it was found that the recombinant fusion protein uPA17-34-KPI(kunitz-type protease inhibitor ) inhibited the invasion and metastasis of ovarian tumors PMID: 26166362
- Crystal structure of uPA bound with cyclic peptidic inhibitors. PMID: 25744057
- u-PA is a dysregulated gene involved in the tumorigenesis, bio-pathological features and outcomes of EEC. PMID: 26033187
- High cytoplasmic expression of uPA is associated with cells of rectal cancer and metastases of perienteric lymph nodes. PMID: 26504024
- DIM can influence the cell migratory and invasive properties of human colorectal cancer cells and may decrease the invasive capacity of colorectal cancer through downregulation of uPA and MMP9 mediated by suppression of the transcription factor FOXM1 PMID: 25962429
- Porphyromonas gingivalis-derived RgpA-Kgp complex activates the macrophage uPA. PMID: 25979345
- SNP P141L associated with collateral circulation in coronary artery disease PMID: 24952395
- Taking uPA(1-43) amino acids specifically binding to uPAR as targeted part of fusion protein, and making use of antitumor activity of melittin, the recombinant fusion protein it was able to inhibit growth of ovarian tumors . PMID: 25394558
- uPA/uPAR stimulates triglyceride synthesis in Huh7 hepatoma cells via p38-dependent upregulation of DGAT2 PMID: 25244504
- Studied urokinase-type plasminogen activator regulation in cigarette smoke extract (CSE)-induced EMT in human small airway epithelial cell lines (HSAEpiCs)and in the small airway epithelium of COPD patients. PMID: 25706093
- Silencing of ETV4 suppresses invasion of prostate cancer cells by inhibiting the expression of uPA/uPAR as well as (MMP)-2 and MMP-9 PMID: 25544710
- miR-193b inhibits the expression of stathmin 1 (STMN1) and urokinase-type plasminogen activator (uPA) in Panc-1 cells. PMID: 25215905
- Activation of uPA and MMP-3 in perifocal zone of the tumor can serve as an indexof its invasive activity. PMID: 25993872
- These data support the hypothesis that uPA upregulation stimulated by macrophages may play an active role in the onset of osteoarthritis and in the shear-stress protection against this induction. PMID: 23597113
- High preprocedural plasma uPA and serum CRP levels are indicative of angina recurrence after successful PTCA, and are valuable for the prognosis of restenosis. PMID: 24057344
- Data indicate that urokinase-type plasminogen activator (uPA) activates epithelial sodium channel, gamma subunit (ENaC gamma) through catalytic activity-dependent proteolytic modification. PMID: 25555911
- IL-17 may act as chemotropic factor for peripheral blood-Mesenchymal stem cellss by incrementing cell motility and uPA expression during inflammation development. PMID: 25433194
- Suggest a possible protective effect of podocyte uPA/uPAR expression against interstitial fibrosis in IgA nephritis. PMID: 24648800
- High u-PA expression is associated with metastasis in breast cancer. PMID: 24610082
- In human coronary vascular smooth muscle, uPA induces uPAR-independent, domain-dependent smooth muscle cell proliferation through transactivation of EGFR by a plasmin-mediated, ADAM-induced, and HB-EGF-dependent process. PMID: 25082749
- IL-33 is involved in u-PA-driven angiogenesis, a process that has been shown before to be linked to inflammation in various pathologies. PMID: 24702774
- IL-1beta-induced urokinase plasminogen activator expression via activation of the ERK1/2 and NF-kappaB pathways, which results in invasion of gastric cancer cells. PMID: 24626561
- Studied the relationship between uPA gene polymorphisms and clinical manifestations of idiopathic membranous nephropathy. PMID: 24822208
- These effects were mediated by the efficient conversion of pro-uPA to active uPA and high phosphorylation levels of ERK detected in the PANC-1 cells expressing exogenous polyserase-1. PMID: 24756697
- We found no association between allele frequency and risk of multiples sclerosis for any single nucleotide polymorphism investigated for PLAU PMID: 23897640
- results of this study suggest that uPA decreases the removal of HDL-cholesteryl ester in the liver via suppression of the hepatic scavenger receptor class B type I (SR-BI)expression PMID: 24529115
- Oncogenic K-Ras and loss of Smad4 mediate invasion by activating an EGFR/NF-kappaB Axis that induces expression of MMP9 and uPA in human pancreas progenitor cells. PMID: 24340014
- The findings provide evidence that the rs2227564 C/T SNP in the u-PA gene is associated with the development of oral tongue squamous cell carcinoma. PMID: 23621237
- Decreasing uPA levels sensitized cancer cells to TRAIL, leading to markedly increased apoptosis. PMID: 24481457
顯示更多
收起更多
-
相關疾病:Quebec platelet disorder (QPD)
-
亞細胞定位:Secreted.
-
蛋白家族:Peptidase S1 family
-
組織特異性:Expressed in the prostate gland and prostate cancers.
-
數據庫鏈接:
Most popular with customers
-
-
YWHAB Recombinant Monoclonal Antibody
Applications: ELISA, WB, IHC, IF, FC
Species Reactivity: Human, Mouse, Rat
-
Phospho-YAP1 (S127) Recombinant Monoclonal Antibody
Applications: ELISA, WB, IHC
Species Reactivity: Human
-
-
-
-
-















