PFKFB3 Recombinant Monoclonal Antibody
-
中文名稱:PFKFB3 Recombinant Monoclonal Antibody
-
貨號:CSB-RA552118A0HU
-
規格:¥1320
-
圖片:
-
Western Blot
Positive WB detected in: A-431 whole cell lysate(30μg), U-251MG whole cell lysate(30μg), HEK293 whole cell lysate(30μg), HeLa whole cell lysate(30μg), U937 whole cell lysate(30μg)
All lanes: PFKFB3 antibody at 1:1000
Secondary
Goat polyclonal to rabbit IgG at 1/50000 dilution
Predicted band size: 60 kDa
Observed band size: 60 kDa
Exposure time: 2min -
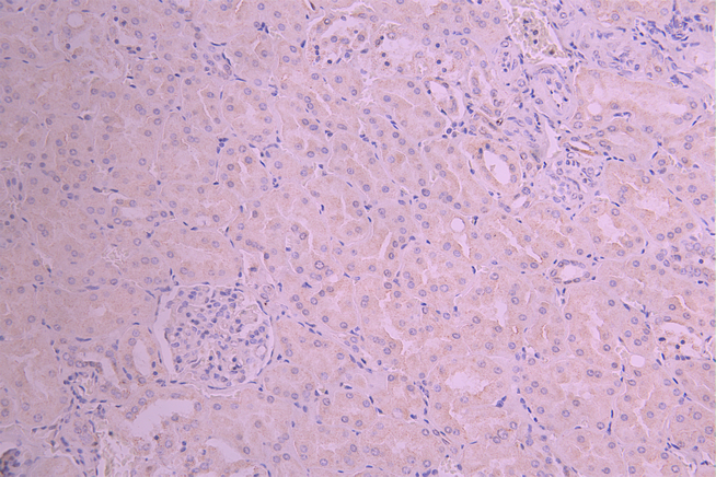
IHC image of CSB-RA552118A0HU diluted at 1:100 and staining in paraffin-embedded human kidney tissue performed on a Leica BondTM system. After dewaxing and hydration, antigen retrieval was mediated by high pressure in a citrate buffer (pH 6.0). Section was blocked with 10% normal goat serum 30min at RT. Then primary antibody (1% BSA) was incubated at 4°C overnight. The primary is detected by a Goat anti-rabbit polymer IgG labeled by HRP and visualized using 0.05% DAB.
-
Immunofluorescence staining of THP-1 cell with CSB-RA552118A0HU at 1:50, counter-stained with DAPI. The cells were fixed in 4% formaldehyde, permeabilized using 0.2% Triton X-100 and blocked in 10% normal Goat Serum. The cells were then incubated with the antibody overnight at 4°C. The secondary antibody was Alexa Fluor 488-congugated AffiniPure Goat Anti-Rabbit IgG(H+L).
-
Overlay Peak curve showing 786-O cells stained with CSB-RA552118A0HU (red line) at 1:100. The cells were fixed in 4% formaldehyde and permeated by 0.2% TritonX-100 for 10min. Then 10% normal goat serum to block non-specific protein-protein interactions followed by the antibody (1ug/1*106cells) for 45min at 4℃. The secondary antibody used was FITC-conjugated goat anti-rabbit IgG (H+L) at 1/200 dilution for 35min at 4℃.Control antibody (green line) was Rabbit IgG (1ug/1*106cells) used under the same conditions. Acquisition of >10,000 events was performed.
-
-
其他:
產品詳情
-
Uniprot No.:
-
基因名:
-
別名:6 phosphofructo 2 kinase/ fructose 2,6 bisphosphatase antibody; 6 phosphofructo 2 kinase/fructose 2,6 biphosphatase 3 antibody; 6-bisphosphatase antibody; 6-P2ase 3 antibody; 6-P2ASE brain/placenta-type isozyme antibody; 6PF 2 K/Fru 2,6 P2ASE brain/placenta type isozyme antibody; 6PF 2-K/Fru 2,6 P2ase 3 antibody; 6PF-2-K/Fru-2 antibody; F263_HUMAN antibody; fructose 6 phosphate,2 kinase/fructose 2; 6 bisphosphatase antibody; Fructose-2 antibody; Inducible 6 phosphofructo 2 kinase/fructose 2,6 bisphosphatase antibody; iPFK 2 antibody; iPFK-2 antibody; IPFK2 antibody; PFK/FBPase 3 antibody; PFK2 antibody; PFKFB3 antibody; Renal carcinoma antigen NY REN 56 antibody; Renal carcinoma antigen NY-REN-56 antibody; uPFK antibody
-
反應種屬:Human
-
免疫原:A synthesized peptide derived from human PFKFB3
-
免疫原種屬:Homo sapiens (Human)
-
標記方式:Non-conjugated
-
克隆類型:Monoclonal
-
抗體亞型:Rabbit IgG
-
純化方式:Affinity-chromatography
-
克隆號:15C7
-
濃度:It differs from different batches. Please contact us to confirm it.
-
保存緩沖液:Rabbit IgG in 10mM phosphate buffered saline , pH 7.4, 150mM sodium chloride, 0.05% BSA, 0.02% sodium azide and 50% glycerol.
-
產品提供形式:Liquid
-
應用范圍:ELISA, WB, IHC, IF, FC
-
推薦稀釋比:
Application Recommended Dilution WB 1:500-1:2000 IHC 1:50-1:200 IF 1:50-1:200 FC 1:50-1:200 -
Protocols:
-
儲存條件:Upon receipt, store at -20°C or -80°C. Avoid repeated freeze.
-
貨期:Basically, we can dispatch the products out in 1-3 working days after receiving your orders. Delivery time maybe differs from different purchasing way or location, please kindly consult your local distributors for specific delivery time.
-
用途:For Research Use Only. Not for use in diagnostic or therapeutic procedures.
相關產品
靶點詳情
-
功能:Synthesis and degradation of fructose 2,6-bisphosphate.
-
基因功能參考文獻:
- PI3K-Akt pathway inhibitors, Akti-1/2 and LY294002, reduced PFKFB3 gene induction by PHA, as well as Fru-2,6-P2 and lactate production. Moreover, both inhibitors blocked activation and proliferation in response to PHA, showing the importance of PI3K/Akt signaling pathway in the antigen response of T-lymphocytes. PMID: 29435871
- conclude that PFKFB3 bears an oncogene-like regulatory element in lung adenocarcinoma progression PMID: 29327288
- Results indicate that PFKFB3 is involved in the proliferation, migration, invasion and angiogenesis of breast cancer. PMID: 29393396
- data suggesting that p53 promotes nucleotide biosynthesis in response to DNA damage by repressing the expression of the phosphofructokinase-2 (PFK2) isoform 6-phosphofructo-2-kinase/fructose-2,6-biphosphatase 3 (PFKFB3), a rate-limiting enzyme that promotes glycolysis. PMID: 27901115
- Study provides evidence that PFKFB3 overexpression occupied a dominant position in sorafenib resistance of hepatocellular carcinoma cells. PMID: 28857200
- This work has uncovered a novel function of the enzymes PFKFB3 and PFKFB4 in ovarian cancer cells during mitotic arrest PMID: 28152500
- PFK-2 seems to be a strategic element that links NADPH oxidase activation and glycolysis modulation, and, as such, is proposed as a potential therapeutic target in inflammatory diseases. PMID: 27799347
- Data suggest that hepatic glucokinase activity is regulated by reversible binding to specific inhibitor protein glucokinase regulatory protein (GKRP) and by binding to activator proteins such as 6-phosphofructo-2-kinase/fructose 2,6-bisphosphatase (PFK2/FBP2); changes in glucokinase expression and activity are associated with poorly controlled type 2 diabetes and nonalcoholic fatty liver disease. [REVIEW] PMID: 27146014
- PFKFB3 was a novel downstream substrate of mTOR signaling pathway as PFKFB3 level was augmented after knocking down TSC2 in THP1 and OCI-AML3 acute myeloid leukemia cells. PMID: 28082200
- Taken together, our study identifies PFKFB3 as a key TGFbeta1 effector protein that mediates TGFbeta1's effect on Snail expression, invasion, and glycolysis. PMID: 28161638
- we investigate the crosstalk between PFKFB3 and TIGAR (TP53-Induced Glycolysis and Apoptosis Regulator), a protein known to protect cells from oxidative stress. Our results show consistent TIGAR induction in HeLa cells in response to PFKFB3 knockdown PMID: 27491040
- Knockdown of PFKFB3 by siRNAs significantly inhibited the proliferation and migration abilities of gastric cancer cells. Our data suggest that PFKFB3 might be a potential biomarker for gastric cancer and anti-neoplastic targeting gene. PMID: 27983531
- The targeting of MCT1 and PFKFB3 regulated cell proliferation. PMID: 27373212
- the novel role of PFKFB3 in induction of paclitaxel resistance by raising lactate production and activating TLR4 signaling, was characterized. PMID: 27262815
- a novel role of PFKFB3 in glycolytic metabolism and ER stress of OA cartilage explants and chondrocytes PMID: 26718307
- Our data suggest that chronic inflammation promotes the development of CRC by stimulating aerobic glycolysis and IL-6 is functioning, at least partly, through regulating PFKFB3 at early stage of colorectal cancer (CRC). PMID: 26530697
- MicroRNA-26b inhibits osteosarcoma cell migration and invasion by down-regulating PFKFB3 expression PMID: 26681033
- The expression of PFKFB3, PFKFB4, NAMPT, and TSPAN13 is strongly up-regulated in pediatric glioma. PMID: 27491149
- Data indicate that 6-phosphofructo-2-kinase/fructose-2,6-biphosphatase3 (PFKFB3) and phosphofructokinase (PFK1) expression allows discrimination between induced pluripotent stem cells (iPS) and cancer stem cells (CSCs). PMID: 26337471
- A binding site for miR-26b was predicted in the 3'UTR of PFKFB3. miR-26b overexpression repressed PFKFB3 mRNA and protein levels. PMID: 25672572
- Data show that inhibition of AMP-Activated kinase (AMPK) or 6-phosphofructo-2-kinase-fructose-2,6-biphosphatase 3 (PFKFB3) results in enhanced cell death in mitosis. PMID: 26322680
- Shh regulates PFKFB3 activation in breast cancer cells. PMID: 26171876
- study demonstrated that miR-206 regulated PFKFB3 expression in breast cancer cells, thereby stunting glycolysis, cell proliferation and migration PMID: 26093295
- PFKFB3 promotes cell cycle progression and suppresses apoptosis via Cdk1-mediated phosphorylation of p27. PMID: 25032860
- Shear stress-mediated repression of endothelial cell metabolism via KLF2 and PFKFB3 controls endothelial cell phenotype. PMID: 25359860
- Because deregulation of endometrial SRC-2 expression has been associated with common gynecological disorders of reproductive-age women, this signaling pathway, involving SRC-2 and PFKFB3 PMID: 24204309
- Reduced methylation of PFKFB3 shifted glucose utilization from glycolysis toward the pentose phosphate pathway. PMID: 24633012
- PFKFB3 is a promising target for the reduction of endothelial glycolysis and its related pathological angiogenesis PMID: 24700124
- blockade of PFKFB3 by the small molecule 3-(3-pyridinyl)-1-(4-pyridinyl)-2-propen-1-one (3PO) reduced vessel sprouting. PMID: 24332967
- PFKFB3 regulates oxidative stress homeostasis via its S-glutathionylation in cancer. PMID: 24295899
- estrogen receptor directly promotes PFKFB3 mRNA transcription PMID: 24515104
- Phosphofructokinase deficiency impairs ATP generation, autophagy, and redox balance in rheumatoid arthritis T cells. PMID: 24043759
- Study showed that endothelial cells (ECs)relied on glycolysis rather than on oxidative phosphorylation for ATP production and that loss of the glycolytic activator PFKFB3 in ECs impaired vessel formation. PMID: 23911327
- Stress stimuli affect PFKFB3 transcriptional regulation and kinase activation by protein phosphorylation and glycolysis in cancer cells. PMID: 23548149
- Low bisphosphatase activity of PFKFB3 is solely due to the presence of a serine at residue 302. PMID: 22275052
- inducible PFKFB3 is required for increased growth, metabolic activity and is regulated through active JAK2 and STAT5. PMID: 21860432
- The allelic deletion of PFKFB3 resulted in a decrease of PFKFB3 mRNA level accompanied by a lower PFKFB3 protein level. PMID: 21987444
- The breakdown of PFKFB3 during S phase occurs specifically via a distinct residue (S(273)) within the conserved recognition site for SCF-beta-TrCP. PMID: 22106309
- Data demonstrate that PFKFB3 is essential for cell division and that it is regulated by APC/C-Cdh1 and SKP1-CUL1-F (SCF)-beta-TrCP. PMID: 21402913
- Interleukin 6 enhances glycolysis through expression of the glycolytic enzymes hexokinase 2 and 6-phosphofructo-2-kinase/fructose-2,6-bisphosphatase-3. PMID: 20453422
- Glycolysis-promoting enzyme 6-phosphofructo-2-kinase/fructose-2,6-bisphosphatase, isoform 3 (PFKFB3), is degraded by the E3 ubiquitin ligase APC/C-Cdh1. PMID: 20080744
- Our results demonstrate that the splice variant UBI2K4 impedes the tumour cell growth and might serve as a tumour suppressor in astrocytic tumours. PMID: 19490427
- The results show the expression of the pfkfb3 gene in and its downregulation during myogenic cell differentiation, the decrease of uPFK-2 isozyme levels, product of pfkfb3 gene, is due to its degradation through the ubiquitin-proteasome pathway PMID: 12935880
- PFKFB3 cloning and characterization PMID: 12963966
- pfkfb3 is a hypoxia-inducible gene that is stimulated through HIF interaction with the consensus HRE site in its promoter region PMID: 15466858
- kinase activity of human brain 6-phosphofructo-2-kinase/fructose-2,6-bisphosphatase is regulated via inhibition by phosphoenolpyruvate PMID: 15896703
- Findings support a potential role for the phosphorylation of PFKFB3 protein in the progression of cancer and angiogenesis. PMID: 16115917
- Insulin induces the phosphorylation of PFKFB3 protein, expanding the role of these structurally unique iPFK-2/PFKFB3 isoforms in the metabolic regulation of adipocytes. PMID: 16306349
- Our results clearly demonstrated the existence of splice isoform of PFKFB-4 mRNA in the DB-1 melanoma cells and its overexpression under hypoxic conditions. PMID: 16311927
- The results obtained highlight the importance of uPFK-2 on the regulation of glycolysis, on cell viability and proliferation and also on anchorage-independent growth. PMID: 16698023
顯示更多
收起更多
-
蛋白家族:Phosphoglycerate mutase family
-
組織特異性:Ubiquitous.
-
數據庫鏈接:
Most popular with customers
-
-
YWHAB Recombinant Monoclonal Antibody
Applications: ELISA, WB, IHC, IF, FC
Species Reactivity: Human, Mouse, Rat
-
Phospho-YAP1 (S127) Recombinant Monoclonal Antibody
Applications: ELISA, WB, IHC
Species Reactivity: Human
-
-
-
-
-















