PEPD Recombinant Monoclonal Antibody
-
中文名稱:PEPD Recombinant Monoclonal Antibody
-
貨號:CSB-RA578409A0HU
-
規格:¥1320
-
圖片:
-
Flow cytometric analysis of Peptidase D expression in HT-1080 cells using Peptidase D antibody. Green, isotype control; red, Peptidase D.
-
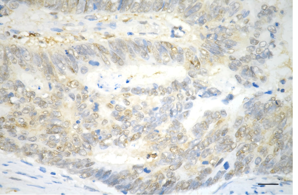
Immunohistochemistry was performed on paraffin-embedded human sigmoid colon carcinoma using peptidase D antibody. Antigen retrieval was done in sodium citrate buffer (pH 6.0). DAB was used for detection, with hematoxylin counterstaining. Images were acquired using a Nikon Ci-L Plus microscope (40× objective). Scale bar: 25 μm.
-
Western blotting analysis using peptidase D antibody. Total cell lysates (30 μg) from various cell lines were loaded and separated by SDS-PAGE. The blot was incubated with peptidase D antibody and HRP-conjugated goat anti-rabbit secondary antibody respectively.
-
-
其他:
產品詳情
-
Uniprot No.:
-
基因名:PEPD
-
別名:PEPD; Peptidase D; Xaa-Pro Dipeptidase; Imidodipeptidase; Proline Dipeptidase; X-Pro Dipeptidase; Prolidase; Testicular Tissue Protein Li 138; Aminoacyl-L-Proline Hydrolase; EC 3.4.13.9; PROLIDASE; PRD
-
反應種屬:Human
-
免疫原:Recombinant Human PEPD protein
-
免疫原種屬:Homo sapiens (Human)
-
標記方式:Non-conjugated
-
克隆類型:Monoclonal
-
抗體亞型:Rabbit IgG
-
純化方式:Affinity-chromatography
-
克隆號:7F12
-
濃度:It differs from different batches. Please contact us to confirm it.
-
保存緩沖液:Rabbit IgG in PBS (pH 7.4) containing 50% glycerol, and 0.02% sodium azide.
-
產品提供形式:Liquid
-
應用范圍:ELISA, WB, FC, IHC
-
推薦稀釋比:
Application Recommended Dilution WB 1:1000-1:5000 FC 1:200-1:2000 IHC 1:100-1:200 -
Protocols:
-
儲存條件:Upon receipt, store at -20°C or -80°C. Avoid repeated freeze.
-
貨期:Basically, we can dispatch the products out in 1-3 working days after receiving your orders. Delivery time maybe differs from different purchasing way or location, please kindly consult your local distributors for specific delivery time.
-
用途:For Research Use Only. Not for use in diagnostic or therapeutic procedures.
相關產品
靶點詳情
-
功能:Splits dipeptides with a prolyl or hydroxyprolyl residue in the C-terminal position. Plays an important role in collagen metabolism because the high level of iminoacids in collagen.
-
基因功能參考文獻:
- PEPD directly binds to p53 in the nucleus and cytoplasm and suppresses both transcription-dependent and transcription-independent activities of p53, which does not require PEPD enzymatic activity. PMID: 29233996
- Increased serum prolidase activity and decreased antioxidant levels are likely to be a results of increased of oxidative stress levels in obese subjects PMID: 28867357
- Serum prolidase activity is reduced in scleroderma patients, especially in diffuse form. PMID: 28534076
- Increased levels of serum prolidase activity are associated with the severity of developmental dysplasia of the hip. PMID: 27320745
- High resolution X-ray crystallographic models of substrate and product binding in the active site of human prolidase. PMID: 28677335
- We report here that by introducing either the A252R or P365R substitution mutation, the structural changes affecting catalytic turnover rate and substrate binding affinity are valuable in improving the catalytic activity of human prolidase towards toxic organophosphorus compound hydrolysis. PMID: 28462712
- In ankylosing spondylitis, serum prolidase level was successful in measuring disease activity PMID: 27443556
- there is an independent relationship of aortic prolidase activity and aortic prolidase immunostaining with aortic stiffness beta index in patients who underwent coronary artery bypass grafting PMID: 27387023
- Prolidase activity decreases in patients with chronic obstructive pulmonary disease. PMID: 26870880
- absence of prolidase activity in pterygium tissue indicates that there is no collagen turnover in this tissue PMID: 26509313
- Decreased serum prolidase activity may be associated with knee osteoarthritis PMID: 25994092
- The association between the PEPD genetic variant and the risk of T2D was modulated by n-3 fatty acids. Higher n-3 fatty acids may abolish the adverse effect of the risk allele at PEPD for T2D PMID: 26087900
- Prolidase was required for IFNAR1 maturation and accumulation, activation of IFNbeta-stimulated gene induction, and IFN-I-dependent viral control. PMID: 26159719
- Levels of both serum prolidase and AFP could contribute to the early diagnosing of hepatocellular carcinoma. PMID: 26078578
- Serum prolidase level was significantly higher in schizophrenia patients compared to the controls. PMID: 25842545
- There may be an ethnic- and/or sex-specific association of the PEPD rs731839 single nucleotide polymorphism and serum lipid levels in Mulao and Han populations PMID: 25120796
- Prolidase is required for early trafficking events during influenza A virus entry. PMID: 25031340
- High prolidase activity may indicate critical biological activities relevant to pathological events in Behcet's disease, and this activity may be a biological indicator of disease. PMID: 24225260
- Significantly lower prolidase activity in patients with benign joint hypermobility syndrome suggests that prolidase may affect the collagen metabolism and cause hyperlaxity. PMID: 24612543
- Serum C4b, FN, and PEPD are associated with the pathological changes of pulmonary tuberculosis. PMID: 24484408
- Suggest prolidase as a high affinity ligand of the ErbB2 receptor which can regulate ErbB2 signaling and cell growth. PMID: 24810047
- Patients with psoriasis exhibit higher serum prolidase activity independent of gender, BMI, disease severity or duration, type of treatments or nitric oxide level. PMID: 23553128
- Data suggest that elevated serum prolidase activity and oxidative stress may be associated with increased cardiovascular risk in polycystic ovary syndrome (PCOS) and/or menstrual irregularities associated with this syndrome. PMID: 23163753
- Prolidase dependent HIF1A expression in breast cancer cells is induced by prolidase substrate peptides. PMID: 23549681
- prolidase may share an undefined role in fibrosis in heart failure and may have a role in the diffuse fibrosis of heart failure. PMID: 24065222
- Serum PEPD activity appears to be higher in patients with diabetic foot ulcers when compared with patients without diabetic foot ulcers and healthy controls. PMID: 23242638
- kinetic and structural evidences on human prolidase pathological mutants PMID: 23516557
- Varicose venous wall prolidase enzyme activity could be an important factor in progression of azoospermia and infertility in patients with varicocele. PMID: 23171426
- PEPD is a ligand of EGFR and presents a novel mechanism of EGFR activation PMID: 23212918
- A diminished prolidase activity may contribute to alteration of collagen metabolism and should be considered a biomarker of myeloproliferative neoplasms progress. PMID: 23457135
- Although approximately 70 PEPD gene mutations and polymorphisms have been reported in various ethnic groups, we however report, for the first time, the identification of insertion mutation in human the PEPD gene. PMID: 23287645
- A Mn(II)-Mn(II) center in human prolidase. PMID: 22999980
- Assessed the serum prolidase enzyme level and the oxidative-antioxidative status in chronic hepatitis C infection. The prolidase was higher in the chronic hepatitis C group compared to the control group. PMID: 22811354
- Increased prolidase seems to be associated with increased NO levels and oxidative stress along with decreased antioxidant levels in bladder cancer. PMID: 22258852
- Relinoic acid regulates prolidase activity in human dermal cells via IGF receptor signaling in photoaged cells. PMID: 22245250
- elevated in submucosal uterine fibroids PMID: 22185542
- Serum prolidase activity is elevated in patients with pulmonary tuberculosis PMID: 21722016
- Prolidase activity was positively correlated erum prolidase activity is significantly associated with Legg-Calve-Perthes disease. PMID: 21304409
- In the early pregnancy loss group compared to the control group, serum levels of prolidase activity were significantly lower and placental tissue activity levels were significantly higher. PMID: 20437180
- investigation of role of prolidase in regulation of expression of TGF beta1 & TGF beta1 receptor in skin fibroblasts: down-regulation by prolidase inhibitors (Cbz-Pro & PEP); up-regulation by prolidase products (Pro & HyPro) PMID: 20868675
- Serum prolidase activity seems to be correlated with the level of fibrosis in patients with non-alcoholic steatohepatitis. PMID: 20486204
- found serum prolidase activity was significantly lower in both Idiopathic and ischemic dilated cardiomyopathies (DCM) groups relative to healthy volunteers and lower in ischemic DCM than idiopathic. PMID: 20626024
- Data suggest that the presence of ascending aortic aneurysms is associated with low serum prolidase activity. PMID: 20383038
- Data shows prolidase activity was significantly increased in patients with thalassemia major compared with controls. PMID: 20087956
- FAK-independent regulation of prolidase activity and collagen biosynthesis in MCF-7 cells. PMID: 11820613
- Carbobenzoxyproline is a potent inhibitor of prolidase in cultured fibroblasts from patients with prolidase deficiency. PMID: 15878628
- Significant correlation was observed between serum prolidase activity, and total antioxidant capacity, total oxidant status and oxidative stress index (p<0.01, r=-0.367; p<0.05, r=0.283; p<0.01, r=0.379; respectively) in H. pylori-positive subjects. PMID: 16999949
- oxidative stress and decreased prolidase activity may have a role in pathogenesis of knee osteoarthritis PMID: 17096092
- Prolidase is viable target for selective activation of melphalan prodrugs in melanoma cells. PMID: 17377743
- Prolidase deficiency and systemic lupus erythematosus share a number of common immunological features. PMID: 17570078
顯示更多
收起更多
-
相關疾?。?/div>Prolidase deficiency (PD)蛋白家族:Peptidase M24B family, Eukaryotic-type prolidase subfamily數據庫鏈接:
Most popular with customers
-
-
YWHAB Recombinant Monoclonal Antibody
Applications: ELISA, WB, IHC, IF, FC
Species Reactivity: Human, Mouse, Rat
-
Phospho-YAP1 (S127) Recombinant Monoclonal Antibody
Applications: ELISA, WB, IHC
Species Reactivity: Human
-
-
-
-
-















