PBRM1 Recombinant Monoclonal Antibody
-
中文名稱:PBRM1 Recombinant Monoclonal Antibody
-
貨號:CSB-RA799971A0HU
-
規格:¥1320
-
圖片:
-
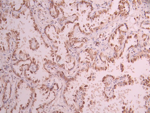
IHC image of CSB-RA799971A0HU diluted at 1:100 and staining in paraffin-embedded human lung cancer performed on a Leica BondTM system. After dewaxing and hydration, antigen retrieval was mediated by high pressure in a citrate buffer (pH 6.0). Section was blocked with 10% normal goat serum 30min at RT. Then primary antibody (1% BSA) was incubated at 4°C overnight. The primary is detected by a Goat anti-rabbit polymer IgG labeled by HRP and visualized using 0.05% DAB.
-
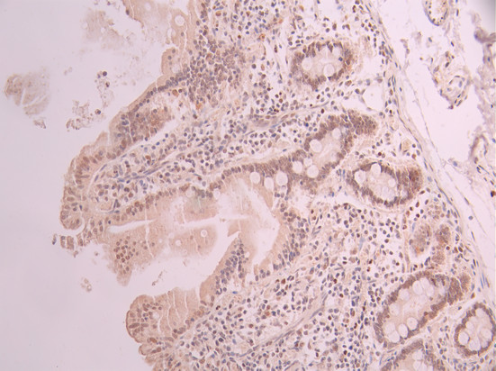
IHC image of CSB-RA799971A0HU diluted at 1:100 and staining in paraffin-embedded human small intestine tissue performed on a Leica BondTM system. After dewaxing and hydration, antigen retrieval was mediated by high pressure in a citrate buffer (pH 6.0). Section was blocked with 10% normal goat serum 30min at RT. Then primary antibody (1% BSA) was incubated at 4°C overnight. The primary is detected by a Goat anti-rabbit polymer IgG labeled by HRP and visualized using 0.05% DAB.
-
-
其他:
產品詳情
-
Uniprot No.:
-
基因名:
-
別名:Protein polybromo-1 (hPB1) (BRG1-associated factor 180) (BAF180) (Polybromo-1D), PBRM1, BAF180 PB1
-
反應種屬:Human
-
免疫原:A synthesized peptide from human PBRM1 protein
-
免疫原種屬:Homo sapiens (Human)
-
標記方式:Non-conjugated
-
克隆類型:Monoclonal
-
抗體亞型:Rabbit IgG
-
純化方式:Affinity-chromatography
-
克隆號:4F3
-
濃度:It differs from different batches. Please contact us to confirm it.
-
保存緩沖液:Preservative: 0.03% Proclin 300
Constituents: 50% Glycerol, 0.01M PBS, PH 7.4 -
產品提供形式:Liquid
-
應用范圍:ELISA, IHC
-
推薦稀釋比:
Application Recommended Dilution IHC 1:50-1:200 -
Protocols:
-
儲存條件:Upon receipt, store at -20°C or -80°C. Avoid repeated freeze.
-
貨期:Basically, we can dispatch the products out in 1-3 working days after receiving your orders. Delivery time maybe differs from different purchasing way or location, please kindly consult your local distributors for specific delivery time.
-
用途:For Research Use Only. Not for use in diagnostic or therapeutic procedures.
相關產品
靶點詳情
-
功能:Involved in transcriptional activation and repression of select genes by chromatin remodeling (alteration of DNA-nucleosome topology). Required for the stability of the SWI/SNF chromatin remodeling complex SWI/SNF-B (PBAF). Acts as a negative regulator of cell proliferation.
-
基因功能參考文獻:
- Low PBRM1 expression is associated with early stages of clear cell renal cell carcinoma. PMID: 29426696
- Study suggests that reduced expression of PBRM1 and VHL in clear cell renal cell carcinoma is correlated with an increased tumor aggressiveness. PMID: 29169846
- These findings indicate that PBRM1 mutation (and resultant loss of expression) is a late event during biliary carcinogenesis PMID: 28394406
- Clear-cell renal carcinoma cell lines whose ability to proliferate in vitro and in vivo is sensitive to wild-type BAF180, but not a tumor-associated BAF180 mutant, showed that the growth suppression by BAF180 is linked to its ability to form a canonical PBAF complex containing BRG1 that dampens the HIF transcriptional signature. PMID: 28082722
- Knockdown of PBRM1 in colon cancer cells increased the expression of two receptor genes (RIG-I and MDA5) and upregulated interferon (IFN)-related and inflammation-related gene signatures. Lower PBRM1 expression was associated with advanced pathological grade and poorer survival of colorectal cancer (CRC) patients, indicating that PBRM1 could serve as a potential prognostic biomarker for CRC. PMID: 28940253
- kidney-specific deletion of Vhl and Pbrm1, but not either gene alone, results in bilateral, multifocal, transplantable clear cell kidney cancers. PMID: 28329682
- PBRM1 mutation is associated with small Cell Lung Cancer. PMID: 28007623
- These findings indicate that PBRM1 alters cell cycle progression and inhibits proliferation and migration of renal cell carcinoma ACHN cells through the chemokine/chemokine receptor pathway. PMID: 28846693
- our integrative analysis suggested that methylation and miRNA alterations were likely the downstream events associated with PBRM1 truncation mutations. In summary, this study provided some important insights into the understanding of tumorigenesis driven by PBRM1 truncated mutations in Clear cell renal cell carcinoma (ccRCC). The approach may be applied to many driver genes in various cancers. PMID: 27556922
- BAP1 and PBRM1 loss is seen frequently in intrahepatic cholangiocarcinoma PMID: 27864835
- PBRM1 gene deletion is associated with chordoma. PMID: 27072194
- conclude that four of the BDs act together to target PBRM1 to sites on chromatin; when a single BD is mutated, PBRM1 no longer controls gene expression properly, leading to increased cell proliferation PMID: 28053089
- Synthetic lethality screening identifies TIP60-dependent radiation sensitivity in the absence of BAF180. PMID: 27461052
- Functionally, suppression of PBRM1 expression promoted cell proliferation and cell cycle progression PMID: 26634388
- PBRM1 re-expression led to upregulation of genes involved in cellular adhesion, carbohydrate metabolism, apoptotic process and response to hypoxia, and a downregulation of genes involved in different stages of cell division. PMID: 27100670
- Use bioinformatic tools to predict the molecular effects of all mutations lying in PBRM1 genes. PMID: 26452128
- PBRM1 might involve in the development and progression of breast cancer as a tumor suppressor, and thereby may be a valuable prognostic marker for breast cancer patients. PMID: 26464681
- our data describe a close interrelation between p53 and PBRM1 in renal cell carcinomas PMID: 26178300
- PBRM1 expression identified 4 clinical subgroups of patients with clear cell renal cell carcinoma who had divergent clinical outcomes. PMID: 26300218
- PBRM1 could block the G2/M transition by repressing cyclin B1. The data indicated that PBRM1 functions as a tumor suppressor in bladder cancer by repressing cyclin B1 expression. PMID: 25978027
- Decreased expression of PBRM1 predicts unfavorable clinical outcome in patients with ccRCC. PMID: 26003625
- We report, for the first time, co-inactivation and frequent mutations of SMARCB1, SMARCA2 and PBRM1 in MRTs. PMID: 25496315
- We show for the first time that an inherited mutation in PBRM1 predisposes to RCC. PMID: 25911086
- It evaluates the PB1 domain proteins as a family in the context of multiple phenotypic readouts in EC function as well as evaluate them as drug targets against disease. PMID: 25686626
- Data suggest biallelic inactivation of PBRM1 or BAP1 is less common in non-ccRCC when compared with ccRCC tumors. Findings suggest loss of PBRM1 or BAP1 are key events in ccRCC, whereas other pathways may support tumorigenesis in non-ccRCC subtypes. PMID: 25465300
- The expression of BAF180 promotes UV-induced PCNA ubiquitination during S phase. PMID: 26117423
- The subsequent validation study on 68 LCBs identified recurrent mutations in TERT promoter, chromatin regulators (BAP1, PBRM1 and ARID2), a synapse organization gene (PCLO), IDH genes and KRAS. PMID: 25636086
- Of the 23 epithelioid sarcoma cases, 19 showed a loss of PBRM1, and 18 a loss of INI1. In 17 cases, loss of both proteins was observed. The pattern of PBRM1 expression was similar to that of INI1: not correlated with changes in cellular morphology. PMID: 25200863
- Data demonstrate a function for BAF180 in promoting genome stability that is distinct from its well-characterized role in transcriptional regulation. PMID: 24613357
- PBRM1-negative expression is a markedly poor prognosis event in clear cell renal cell carcinoma. PMID: 24053427
- Mutation frequencies among CT images of clear cell RCCs were as follows: PBRM1, 28.8% (67 of 233). PMID: 24029645
- PBRM1 (33%) mutations were identified in ccRCCs. PMID: 24166983
- PBRM1, KDM6A, SETD2 and BAP1 were unmethylated in all tumor and normal specimens. PMID: 23644518
- the evidence that implicated PBRM1 and BAP1 as renal cancer driver genes, provide an update on the function of the gene products, and speculate on how mutations in these genes may be exploited therapeutically. PMID: 23867514
- Frequent inactivating mutations in multiple chromatin-remodeling genes (including BAP1, ARID1A and PBRM1), and mutation in one of these genes occurred in almost half of the carcinomas sequenced. PMID: 24185509
- The median overall survival in the UTSW cohort was significantly shorter for patients with BAP1-mutant tumours (4.6 years; 95% CI 2.1-7.2), than for patients with PBRM1-mutant tumours (10.6 years; 9.8-11.5). PMID: 23333114
- Functional inactivation of PBRM1 in the context of VHL loss-of-function may represent a key event in the development of an aggressive tumor behavior. PMID: 22949125
- The role of syncytin-1 and Pb1 in cell-cell fusion was studied using lentiviral vectors that express short hairpin RNAs for stable knockdown of both genes. PMID: 22573740
- PBRM1 was found to be mutated in 88 of 257 cases of clear cell renal cell carcinoma. PMID: 21604427
- identification of the SWI/SNF chromatin remodelling complex gene PBRM1 (ref. 4) as a second major ccRCC cancer gene, with truncating mutations in 41% (92/227) of cases PMID: 21248752
- as unique regulators of replicative senescence in human cells, both BRD7 and BAF180 regulate p53 transcriptional activity toward a subset of its target genes required for replicative and oncogenic stress senescence induction PMID: 20660729
- Bromodomain 2 of Polybromo protein preferentially recognizes acetylated lysine 14 of histone H3 (H3K14ac), a post-translational mark known for gene transcriptional activation. PMID: 20368734
- cDNA cloning; the hPB1 gene is located on chromosome 3p21, where the tumor suppressor genes for breast, lung and kidney cancers have been mapped PMID: 12487023
- We conclude that abnormalities of BAF180 are not frequently involved in the pathogenesis of lung cancer. PMID: 15735765
- Results indicate that single bromodomains bind specific acetyl-lysine sites within the histone 3 tail with sub-micromolar affinity. PMID: 17320048
- studies on how Pb1, and the broader class of bromodomain proteins, directs multisubunit chromatin remodeling complexes to specific acetyl-nucleosome sites PMID: 18191465
- BAF180 suppresses tumorigenesis, at least in part, through its ability to regulate p21. PMID: 18339845
顯示更多
收起更多
-
相關疾病:Renal cell carcinoma (RCC)
-
亞細胞定位:Nucleus.
-
組織特異性:Widely expressed.
-
數據庫鏈接:
Most popular with customers
-
YWHAB Recombinant Monoclonal Antibody
Applications: ELISA, WB, IHC, IF, FC
Species Reactivity: Human, Mouse, Rat
-
Phospho-YAP1 (S127) Recombinant Monoclonal Antibody
Applications: ELISA, WB, IHC
Species Reactivity: Human
-
-
-
-
-
-















