NUP50 Recombinant Monoclonal Antibody
-
中文名稱:NUP50 Recombinant Monoclonal Antibody
-
貨號:CSB-RA588009A0HU
-
規格:¥1320
-
圖片:
-
Western Blot
Positive WB detected in: HL-60 whole cell lysate(30μg)
All lanes: NUP50 antibody at 1:1000
Secondary
Goat polyclonal to rabbit IgG at 1/40000 dilution
Predicted band size: 50 kDa
Observed band size: 58 kDa
Exposure time:2min -
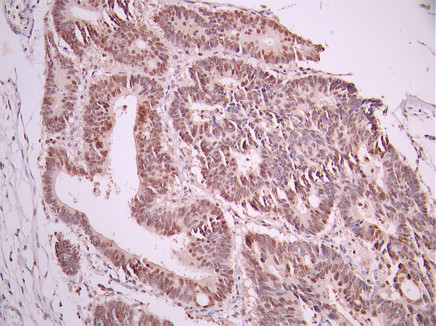
IHC image of CSB-RA588009A0HU diluted at 1:100 and staining in paraffin-embedded human colorectal cancer performed on a Leica BondTM system. After dewaxing and hydration, antigen retrieval was mediated by high pressure in a citrate buffer (pH 6.0). Section was blocked with 10% normal goat serum 30min at RT. Then primary antibody (1% BSA) was incubated at 4°C overnight. The primary is detected by a Goat anti-rabbit polymer IgG labeled by HRP and visualized using 0.05% DAB.
-
Overlay Peak curve showing A431 cells stained with CSB-RA588009A0HU (red line) at 1:100. The cells were fixed in 4% formaldehyde and permeated by 0.2% TritonX-100 for 10min. Then 10% normal goat serum to block non-specific protein-protein interactions followed by the antibody (1ug/1*106cells) for 45min at 4℃. The secondary antibody used was FITC-conjugated goat anti-rabbit IgG (H+L) at 1/200 dilution for 35min at 4℃.Control antibody (green line) was Rabbit IgG (1ug/1*106cells) used under the same conditions. Acquisition of >10, 000 events was performed.
-
-
其他:
產品詳情
-
Uniprot No.:
-
基因名:NUP50
-
別名:50 kDa nucleoporin antibody; NPAP60 antibody; NPAP60L antibody; Nuclear pore associated protein 60L antibody; Nuclear pore complex protein Nup50 antibody; Nuclear pore-associated protein 60 kDa-like antibody; Nucleoporin 50 antibody; Nucleoporin 50kDa antibody; Nucleoporin Nup50 antibody; Nup50 antibody; NUP50_HUMAN antibody; PRO1146 antibody
-
反應種屬:Human
-
免疫原:A synthesized peptide from human NUP50 protein
-
免疫原種屬:Homo sapiens (Human)
-
標記方式:Non-conjugated
-
克隆類型:Monoclonal
-
抗體亞型:Rabbit IgG
-
純化方式:Affinity-chromatography
-
克隆號:15A12
-
濃度:It differs from different batches. Please contact us to confirm it.
-
保存緩沖液:Rabbit IgG in 10mM phosphate buffered saline , pH 7.4, 150mM sodium chloride, 0.05% BSA, 0.02% sodium azide and 50% glycerol.
-
產品提供形式:Liquid
-
應用范圍:ELISA, WB, IHC, FC
-
推薦稀釋比:
Application Recommended Dilution WB 1:500-1:5000 IHC 1:50-1:200 FC 1:50-1:200 -
Protocols:
-
儲存條件:Upon receipt, store at -20°C or -80°C. Avoid repeated freeze.
-
貨期:Basically, we can dispatch the products out in 1-3 working days after receiving your orders. Delivery time maybe differs from different purchasing way or location, please kindly consult your local distributors for specific delivery time.
-
用途:For Research Use Only. Not for use in diagnostic or therapeutic procedures.
相關產品
靶點詳情
-
功能:Component of the nuclear pore complex that has a direct role in nuclear protein import. Actively displaces NLSs from importin-alpha, and facilitates disassembly of the importin-alpha:beta-cargo complex and importin recycling. Interacts with regulatory proteins of cell cycle progression including CDKN1B. This interaction is required for correct intracellular transport and degradation of CDKN1B.
-
基因功能參考文獻:
- Nucleoporin Nup50 stabilizes closed conformation of armadillo repeat 10 in importin alpha5. PMID: 22130666
- Results suggest that Npap60L and Npap60S function differently in nuclear protein import. PMID: 20016008
-
亞細胞定位:Nucleus, nuclear pore complex. Nucleus membrane; Peripheral membrane protein; Nucleoplasmic side.
-
組織特異性:Ubiquitous. Highest levels in testis, peripheral blood leukocytes and fetal liver.
-
數據庫鏈接:
Most popular with customers
-
-
YWHAB Recombinant Monoclonal Antibody
Applications: ELISA, WB, IHC, IF, FC
Species Reactivity: Human, Mouse, Rat
-
Phospho-YAP1 (S127) Recombinant Monoclonal Antibody
Applications: ELISA, WB, IHC
Species Reactivity: Human
-
-
-
-
-















