NUDT19 Recombinant Monoclonal Antibody
-
中文名稱:NUDT19 Recombinant Monoclonal Antibody
-
貨號:CSB-RA048395A0HU
-
規格:¥1320
-
圖片:
-
Western Blot
Positive WB detected in: A431 whole cell lysate(30μg), MCF-7 whole cell lysate(30μg), A549 whole cell lysate(30μg), HEK293 whole cell lysate(30μg), K562 whole cell lysate(30μg), SH-SY5Y whole cell lysate(30μg), THP-1 whole cell lysate(30μg)
All lanes: NUDT19 antibody at 1:1000
Secondary
Goat polyclonal to rabbit IgG at 1/40000 dilution
Predicted band size: 42 kDa
Observed band size: 42 kDa
Exposure time:2min -
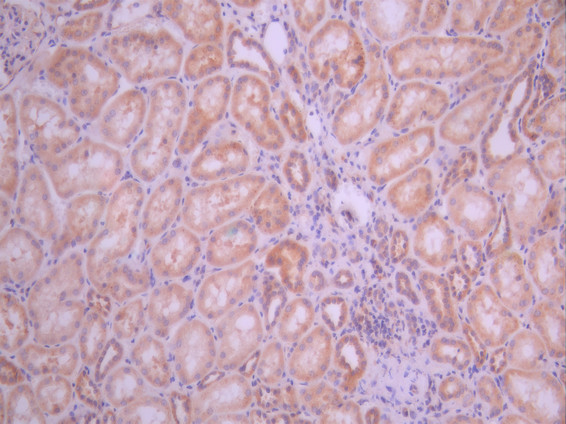
IHC image of CSB-RA048395A0HU diluted at 1:100 and staining in paraffin-embedded human kidney tissue performed on a Leica BondTM system. After dewaxing and hydration, antigen retrieval was mediated by high pressure in a citrate buffer (pH 6.0). Section was blocked with 10% normal goat serum 30min at RT. Then primary antibody (1% BSA) was incubated at 4°C overnight. The primary is detected by a Goat anti-rabbit polymer IgG labeled by HRP and visualized using 0.05% DAB.
-
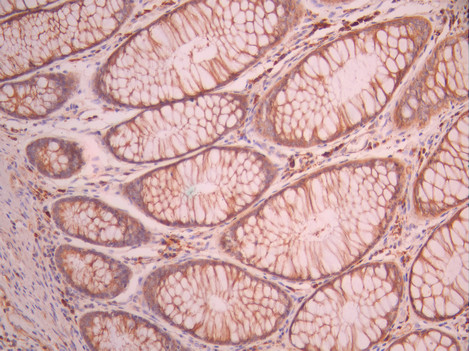
IHC image of CSB-RA048395A0HU diluted at 1:100 and staining in paraffin-embedded human colorectal cancer performed on a Leica BondTM system. After dewaxing and hydration, antigen retrieval was mediated by high pressure in a citrate buffer (pH 6.0). Section was blocked with 10% normal goat serum 30min at RT. Then primary antibody (1% BSA) was incubated at 4°C overnight. The primary is detected by a Goat anti-rabbit polymer IgG labeled by HRP and visualized using 0.05% DAB.
-
Overlay Peak curve showing Hela cells stained with CSB-RA048395A0HU (red line) at 1:100. The cells were fixed in 4% formaldehyde and permeated by 0.2% TritonX-100 for 10min. Then 10% normal goat serum to block non-specific protein-protein interactions followed by the antibody (1ug/1*106cells) for 45min at 4℃. The secondary antibody used was FITC-conjugated goat anti-rabbit IgG (H+L) at 1/200 dilution for 35min at 4℃.Control antibody (green line) was Rabbit IgG (1ug/1*106cells) used under the same conditions. Acquisition of >10, 000 events was performed.
-
-
其他:
產品詳情
-
Uniprot No.:
-
基因名:NUDT19
-
別名:mitochondrial antibody; Nucleoside diphosphate-linked moiety X motif 19 antibody; nucleoside diphosphate-linked moiety X motif 19, mitochondrial antibody; NUD19_HUMAN antibody; nudix (nucleoside diphosphate linked moiety X)-type motif 19 antibody; Nudix motif 19 antibody; NUDT19 antibody; RP2 antibody
-
反應種屬:Human
-
免疫原:A synthesized peptide from human NUDT19 protein
-
免疫原種屬:Homo sapiens (Human)
-
標記方式:Non-conjugated
-
克隆類型:Monoclonal
-
抗體亞型:Rabbit IgG
-
純化方式:Affinity-chromatography
-
克隆號:5B2
-
濃度:It differs from different batches. Please contact us to confirm it.
-
保存緩沖液:Rabbit IgG in 10mM phosphate buffered saline , pH 7.4, 150mM sodium chloride, 0.05% BSA, 0.02% sodium azide and 50% glycerol.
-
產品提供形式:Liquid
-
應用范圍:ELISA, WB, IHC, FC
-
推薦稀釋比:
Application Recommended Dilution WB 1:500-1:5000 IHC 1:50-1:200 FC 1:50-1:200 -
Protocols:
-
儲存條件:Upon receipt, store at -20°C or -80°C. Avoid repeated freeze.
-
貨期:Basically, we can dispatch the products out in 1-3 working days after receiving your orders. Delivery time maybe differs from different purchasing way or location, please kindly consult your local distributors for specific delivery time.
-
用途:For Research Use Only. Not for use in diagnostic or therapeutic procedures.
相關產品
靶點詳情
-
功能:Fatty acyl-coenzyme A (CoA) diphosphatase that hydrolyzes fatty acyl-CoA to yield acyl-4'-phosphopantetheine and adenosine 3',5'-bisphosphate. Mediates the hydrolysis of a wide range of CoA esters, including choloyl-CoA and branched-chain fatty-acyl-CoA esters and at low substrate concentrations medium and long-chain fatty-acyl-CoA esters are the primary substrates. Highest activity seen with medium-chain acyl-CoA esters and higher rates of activity seen with the unsaturated acyl-CoA esters compared with the saturated esters. Exhibits decapping activity towards dpCoA-capped RNAs in vitro.
-
基因功能參考文獻:
- Observational study of gene-disease association. (HuGE Navigator) PMID: 20877624
- Isolation and functional characterization of the NUDT19 ortholog in mouse. PMID: 16185196
-
亞細胞定位:Peroxisome.
-
蛋白家族:Nudix hydrolase family
-
數據庫鏈接:
Most popular with customers
-
-
YWHAB Recombinant Monoclonal Antibody
Applications: ELISA, WB, IHC, IF, FC
Species Reactivity: Human, Mouse, Rat
-
Phospho-YAP1 (S127) Recombinant Monoclonal Antibody
Applications: ELISA, WB, IHC
Species Reactivity: Human
-
-
-
-
-















