NR2F1 Recombinant Monoclonal Antibody
-
中文名稱:NR2F1 Recombinant Monoclonal Antibody
-
貨號:CSB-RA168797A0HU
-
規格:¥1320
-
圖片:
-
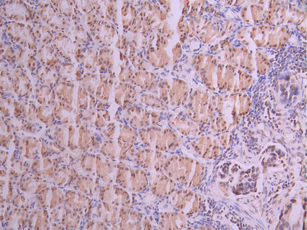
IHC image of CSB-RA168797A0HU diluted at 1:100 and staining in paraffin-embedded human gastric cancer performed on a Leica BondTM system. After dewaxing and hydration, antigen retrieval was mediated by high pressure in a citrate buffer (pH 6.0). Section was blocked with 10% normal goat serum 30min at RT. Then primary antibody (1% BSA) was incubated at 4°C overnight. The primary is detected by a Goat anti-rabbit polymer IgG labeled by HRP and visualized using 0.05% DAB.
-
IHC image of CSB-RA168797A0HU diluted at 1:100 and staining in paraffin-embedded human placenta tissue performed on a Leica BondTM system. After dewaxing and hydration, antigen retrieval was mediated by high pressure in a citrate buffer (pH 6.0). Section was blocked with 10% normal goat serum 30min at RT. Then primary antibody (1% BSA) was incubated at 4°C overnight. The primary is detected by a Goat anti-rabbit polymer IgG labeled by HRP and visualized using 0.05% DAB.
-
Immunofluorescence staining of Hela cell with CSB-RA168797A0HU at 1:50, counter-stained with DAPI. The cells were fixed in 4% formaldehyde, permeabilized using 0.2% Triton X-100 and blocked in 10% normal Goat Serum. The cells were then incubated with the antibody overnight at 4°C. The secondary antibody was Alexa Fluor 488-congugated AffiniPure Goat Anti-Rabbit IgG(H+L).
-
Overlay Peak curve showing Hela cells stained with CSB-RA168797A0HU (red line) at 1:100. The cells were fixed in 4% formaldehyde and permeated by 0.2% TritonX-100 for 10min. Then 10% normal goat serum to block non-specific protein-protein interactions followed by the antibody (1ug/1*106cells) for 45min at 4℃. The secondary antibody used was FITC-conjugated goat anti-rabbit IgG (H+L) at 1/200 dilution for 35min at 4℃.Control antibody (green line) was Rabbit IgG (1ug/1*106cells) used under the same conditions. Acquisition of >10,000 events was performed.
-
-
其他:
產品詳情
-
Uniprot No.:
-
基因名:
-
別名:COUP transcription factor 1 (COUP-TF1) (COUP transcription factor I) (COUP-TF I) (Nuclear receptor subfamily 2 group F member 1) (V-erbA-related protein 3) (EAR-3), NR2F1, EAR3 ERBAL3 TFCOUP1
-
反應種屬:Human
-
免疫原:A synthesized peptide from human NR2F1 protein
-
免疫原種屬:Homo sapiens (Human)
-
標記方式:Non-conjugated
-
克隆類型:Monoclonal
-
抗體亞型:Rabbit IgG
-
純化方式:Affinity-chromatography
-
克隆號:5E3
-
濃度:It differs from different batches. Please contact us to confirm it.
-
保存緩沖液:Preservative: 0.03% Proclin 300
Constituents: 50% Glycerol, 0.01M PBS, PH 7.4 -
產品提供形式:Liquid
-
應用范圍:ELISA, IHC, IF, FC
-
推薦稀釋比:
Application Recommended Dilution IHC 1:50-1:200 IF 1:50-1:200 FC 1:50-1:200 -
Protocols:
-
儲存條件:Upon receipt, store at -20°C or -80°C. Avoid repeated freeze.
-
貨期:Basically, we can dispatch the products out in 1-3 working days after receiving your orders. Delivery time maybe differs from different purchasing way or location, please kindly consult your local distributors for specific delivery time.
-
用途:For Research Use Only. Not for use in diagnostic or therapeutic procedures.
相關產品
靶點詳情
-
功能:Coup (chicken ovalbumin upstream promoter) transcription factor binds to the ovalbumin promoter and, in conjunction with another protein (S300-II) stimulates initiation of transcription. Binds to both direct repeats and palindromes of the 5'-AGGTCA-3' motif. Represses transcriptional activity of LHCG.
-
基因功能參考文獻:
- Whole-exome sequencing identified a novel missense NR2F1 variant in each case, Cys86Phe in the DNA-binding domain in Case 1, and a Leu372Pro in the ligand-binding domain in Case 2. Using molecular modeling we are also able to demonstrate the putative effect of the two missenses on protein function, generating a hitherto undescribed molecular model for the ligand-binding domain of NR2F1 in the process. PMID: 28963436
- fifth of COUP-TFI cells also co-expressed COUP-TFII, and cells expressing either transcription factor followed posterior or anterio-lateral pathways into the cortex PMID: 28922831
- Bosch-Boonstra-Schaaf optic atrophy syndrome (BBSOAS)encompasses a broad range of clinical phenotypes. Functional studies help determine the severity of novel NR2F1 variants. Some genotype-phenotype correlations seem to exist, with missense mutations in the DNA-binding domain causing the most severe phenotypes PMID: 26986877
- COUP-TFII is expressed in a diverse subset of GABAergic interneurons predominantly innervating small dendritic shafts originating from both interneurons and pyramidal cells. PMID: 25787832
- our mechanistic in vitro assays and in vivo results suggest that a reduction in chemokine CXCL12 expression, with an enhancement of CXCR4 expression, provoked by COUP-TFI, could be associated with an increase in the invasive potential of breast cancer PMID: 24906407
- NR2F1 has an important role in the development of the visual system and that haploinsuffiency can lead to optic atrophy with intellectual impairment. PMID: 24462372
- Interaction of NSD1 with the NR2E/F subfamily including COUP-TFI, COUP-TFII, EAR2 and TLX requires an F/YSXXLXXL/Y motif. Interactions of NSD1 with liganded NRs require an overlapping LXXLL motif. PMID: 23975195
- COUP-TFI and related NRs such as the COUPTFs and PNR can selectively associate with the developmental corepressor BCL11A via a conserved motif F/YSXXLXXL/Y within the RID1 and RID2 domains. The interaction with BCL11A facilitates COUP-TFII-mediated repression of the RARb2 gene. PMID: 23975195
- study identifies two unique corticotroph tumor populations which differ in their expression of COUP-TFI, the presence of which occurs more frequently in macroadenomas. PMID: 19526345
- provide detailed experimental validation of each step and, as a proof of principle, utilize the methodology to identify novel direct targets of the orphan nuclear receptor NR2F1 (COUP-TFI) PMID: 20111703
- Transcriptional and posttranscriptional mechanisms involving NR2F1 and IRE1beta ensure low microsomal triglyceride transfer protein expression in undifferentiated intestinal cells and avoid apolipoprotein B lipoprotein biosynthesis. PMID: 20007910
- Inhibit aldehyde dehydrogenase 2 gene expression PMID: 11811951
- Regulation of retinoic acid-induced inhibition of AP-1 activity by orphan receptor chicken ovalbumin upstream promoter-transcription factor. PMID: 11934895
- Formation of an hER alpha-COUP-TFI complex enhances hER alpha AF-1 through Ser118 phosphorylation by MAPK. PMID: 12093745
- regulates transcription of hepatitis B virus PMID: 12551987
- Transcription of the LHR gene is repressed by EAR3. PMID: 12972613
- COUP-TF may be involved in repression of the human MGP gene promoter at the myoblast stage PMID: 15157742
- findings show that enhancer II of HBV genotype A is also repressed by COUP-TF1; in contrast, two different enhancer II constructs of HBV genotype D were activated by COUP-TF1 PMID: 17009409
- COUP-TFI selectively regulates the expression of endogenous E2-target genes and consequently modifies ER alpha positive mammary cells response to E2. PMID: 17674191
- Regulation of vascular endothelial growth factor D by hepatocyte nuclear factor-4 alpha and chicken ovalbumin upstream promoter transcription factors 1 and 2. PMID: 18199540
- A chicken ovalbumin upstream promoter transcription factor I (COUP-TFI) complex represses expression of the gene encoding tumor necrosis factor alpha-induced protein 8 (TNFAIP8). PMID: 19112178
顯示更多
收起更多
-
相關疾病:Bosch-Boonstra-Schaaf optic atrophy syndrome (BBSOAS)
-
亞細胞定位:Nucleus.
-
蛋白家族:Nuclear hormone receptor family, NR2 subfamily
-
數據庫鏈接:
Most popular with customers
-
-
YWHAB Recombinant Monoclonal Antibody
Applications: ELISA, WB, IHC, IF, FC
Species Reactivity: Human, Mouse, Rat
-
Phospho-YAP1 (S127) Recombinant Monoclonal Antibody
Applications: ELISA, WB, IHC
Species Reactivity: Human
-
-
-
-
-















