NDUFB9 Recombinant Monoclonal Antibody
-
中文名稱:NDUFB9 Recombinant Monoclonal Antibody
-
貨號:CSB-RA568204A0HU
-
規格:¥1320
-
圖片:
-
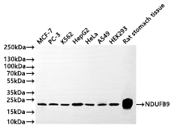
Western Blot
Positive WB detected in: MCF-7 whole cell lysate(30μg), PC-3 whole cell lysate(30μg), K562 whole cell lysate(30μg), HepG2 whole cell lysate(30μg), HeLa whole cell lysate(30μg), A549 whole cell lysate(30μg), HEK293 whole cell lysate(30μg), Rat stomach tissue lysate(30μg)
All lanes: NDUFB9 antibody at 1:1000
Secondary
Goat polyclonal to rabbit IgG at 1/50000 dilution
Predicted band size: 22 kDa
Observed band size: 22 kDa
Exposure time: 1min -
IHC image of CSB-RA568204A0HU diluted at 1:100 and staining in paraffin-embedded human melanoma cancer performed on a Leica BondTM system. After dewaxing and hydration, antigen retrieval was mediated by high pressure in a citrate buffer (pH 6.0). Section was blocked with 10% normal goat serum 30min at RT. Then primary antibody (1% BSA) was incubated at 4°C overnight. The primary is detected by a Goat anti-rabbit polymer IgG labeled by HRP and visualized using 0.05% DAB.
-
IHC image of CSB-RA568204A0HU diluted at 1:100 and staining in paraffin-embedded human stomach tissue performed on a Leica BondTM system. After dewaxing and hydration, antigen retrieval was mediated by high pressure in a citrate buffer (pH 6.0). Section was blocked with 10% normal goat serum 30min at RT. Then primary antibody (1% BSA) was incubated at 4°C overnight. The primary is detected by a Goat anti-rabbit polymer IgG labeled by HRP and visualized using 0.05% DAB.
-
-
其他:
產品詳情
-
Uniprot No.:
-
基因名:
-
別名:B22 antibody; CI B22 antibody; CI-B22 antibody; complex I B22 subunit antibody; Complex I-B22 antibody; DKFZp566O173 antibody; FLJ22885 antibody; I B22 antibody; LYR motif containing protein 3 antibody; LYR motif-containing protein 3 antibody; LYRM3 antibody; NADH dehydrogenase (ubiquinone) 1 beta subcomplex, 9, 22kDa antibody; NADH dehydrogenase [ubiquinone] 1 beta subcomplex subunit 9 antibody; NADH ubiquinone oxidoreductase B22 subunit antibody; NADH-ubiquinone oxidoreductase B22 subunit antibody; NDUB9_HUMAN antibody; Ndufb9 antibody; UQOR22 antibody
-
反應種屬:Human, Rat
-
免疫原:A synthesized peptide derived from human NDUFB9
-
免疫原種屬:Homo sapiens (Human)
-
標記方式:Non-conjugated
-
克隆類型:Monoclonal
-
抗體亞型:Rabbit IgG
-
純化方式:Affinity-chromatography
-
克隆號:4D7
-
濃度:It differs from different batches. Please contact us to confirm it.
-
保存緩沖液:Rabbit IgG in 10mM phosphate buffered saline , pH 7.4, 150mM sodium chloride, 0.05% BSA, 0.02% sodium azide and 50% glycerol.
-
產品提供形式:Liquid
-
應用范圍:ELISA, WB, IHC
-
推薦稀釋比:
Application Recommended Dilution WB 1:500-1:2000 IHC 1:50-1:200 -
Protocols:
-
儲存條件:Upon receipt, store at -20°C or -80°C. Avoid repeated freeze.
-
貨期:Basically, we can dispatch the products out in 1-3 working days after receiving your orders. Delivery time maybe differs from different purchasing way or location, please kindly consult your local distributors for specific delivery time.
-
用途:For Research Use Only. Not for use in diagnostic or therapeutic procedures.
相關產品
靶點詳情
-
功能:Accessory subunit of the mitochondrial membrane respiratory chain NADH dehydrogenase (Complex I), that is believed to be not involved in catalysis. Complex I functions in the transfer of electrons from NADH to the respiratory chain. The immediate electron acceptor for the enzyme is believed to be ubiquinone.
-
基因功能參考文獻:
- Down-Regulation of NDUFB9 Promotes Breast Cancer Cell Proliferation, Metastasis by Mediating Mitochondrial Metabolism. PMID: 26641458
- Mutant NDUFB9 is a new cause of complex I deficiency. PMID: 22200994
-
亞細胞定位:Mitochondrion inner membrane; Peripheral membrane protein; Matrix side.
-
蛋白家族:Complex I LYR family
-
數據庫鏈接:
Most popular with customers
-
-
YWHAB Recombinant Monoclonal Antibody
Applications: ELISA, WB, IHC, IF, FC
Species Reactivity: Human, Mouse, Rat
-
Phospho-YAP1 (S127) Recombinant Monoclonal Antibody
Applications: ELISA, WB, IHC
Species Reactivity: Human
-
-
-
-
-















