MB Recombinant Monoclonal Antibody
-
中文名稱:MB Recombinant Monoclonal Antibody
-
貨號:CSB-RA283068A0HU
-
規格:¥1320
-
圖片:
-
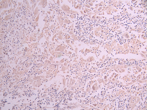
IHC image of CSB-RA283068A0HU diluted at 1:100 and staining in paraffin-embedded human liver cancer performed on a Leica BondTM system. After dewaxing and hydration, antigen retrieval was mediated by high pressure in a citrate buffer (pH 6.0). Section was blocked with 10% normal goat serum 30min at RT. Then primary antibody (1% BSA) was incubated at 4°C overnight. The primary is detected by a Goat anti-rabbit polymer IgG labeled by HRP and visualized using 0.05% DAB.
-
IHC image of CSB-RA283068A0HU diluted at 1:100 and staining in paraffin-embedded human skeletal muscle tissue performed on a Leica BondTM system. After dewaxing and hydration, antigen retrieval was mediated by high pressure in a citrate buffer (pH 6.0). Section was blocked with 10% normal goat serum 30min at RT. Then primary antibody (1% BSA) was incubated at 4°C overnight. The primary is detected by a Goat anti-rabbit polymer IgG labeled by HRP and visualized using 0.05% DAB.
-
Overlay Peak curve showing PC-3 cells stained with CSB-RA283068A0HU (red line) at 1:100. The cells were fixed in 4% formaldehyde and permeated by 0.2% TritonX-100 for 10min. Then 10% normal goat serum to block non-specific protein-protein interactions followed by the antibody (1ug/1*106cells) for 45min at 4℃. The secondary antibody used was FITC-conjugated goat anti-rabbit IgG (H+L) at 1/200 dilution for 35min at 4℃.Control antibody (green line) was Rabbit IgG (1ug/1*106cells) used under the same conditions. Acquisition of >10,000 events was performed.
-
-
其他:
產品詳情
-
Uniprot No.:
-
基因名:MB
-
別名:Myoglobin, MB
-
反應種屬:Human
-
免疫原:A synthesized peptide from human MB protein
-
免疫原種屬:Homo sapiens (Human)
-
標記方式:Non-conjugated
-
克隆類型:Monoclonal
-
抗體亞型:Rabbit IgG
-
純化方式:Affinity-chromatography
-
克隆號:12D2
-
濃度:It differs from different batches. Please contact us to confirm it.
-
保存緩沖液:Preservative: 0.03% Proclin 300
Constituents: 50% Glycerol, 0.01M PBS, PH 7.4 -
產品提供形式:Liquid
-
應用范圍:ELISA, IHC, FC
-
推薦稀釋比:
Application Recommended Dilution IHC 1:50-1:200 FC 1:50-1:200 -
Protocols:
-
儲存條件:Upon receipt, store at -20°C or -80°C. Avoid repeated freeze.
-
貨期:Basically, we can dispatch the products out in 1-3 working days after receiving your orders. Delivery time maybe differs from different purchasing way or location, please kindly consult your local distributors for specific delivery time.
-
用途:For Research Use Only. Not for use in diagnostic or therapeutic procedures.
相關產品
靶點詳情
-
功能:Serves as a reserve supply of oxygen and facilitates the movement of oxygen within muscles.
-
基因功能參考文獻:
- The results showed that the MI-based bio-sensing system had high selectivity and sensitivity for detection of Cardiac biomarkers . Compared with the control region, ultrasensitive detections of CRP and Mb were accomplished with the detection limits of 1.0 pg/mL and 0.1 pg/mL, respectively. PMID: 29857573
- Report morphology of myoglobin casts in renal biopsies with acute kidney injury. PMID: 27038680
- Myoglobin is associated with larger hematoma volume and growth after adjusting potential confounding factors in intracerebral hemorrhage. PMID: 27056440
- we found that the A79G polymorphism of the MB gene plays an important role in influencing the development of exercise-induced skeletal muscle damage. PMID: 27323063
- Electroanalysis of myoglobin as a marker of acute myocardial infarction by means of screenprinted electrodes modified with multiwalled carbon nanotubes and polymeric artificial antibodies is developed. Plastic antibodies to myoglobin (molecularly imprinted polymers, MIPs) based on o-phenylenediamine were produced by electropolymerization. Molecular imprinting technology in biosensor analysis was used. PMID: 27417724
- In the absence of Mb, the Y-shape structure remains intact. So, a weak electrochemical signal is observed. Upon addition of target, the DApt leave the CS and bind to Mb, leading to disassembly of Y-shape structure and following the addition of Exo I, a strong electrochemical signal could be recorded. PMID: 26894983
- analysis of myoglobin gene regulatory networks in breast and prostate cancer PMID: 26559958
- Data show that with the myoglobin (MYO) monoclonal antibody of high specificity and affinity, a one-step sandwich ELISA for detecting MYO has been established successfully, which provides a basis for the development of domestic ELISA kit. PMID: 26271987
- Misfolding and amyloid aggregation of apomyoglobin. PMID: 23839096
- A non-ischemic serum myoglobin release is rare, but could be associated in subgroups of patients. PMID: 25002394
- Data show that chimeric neuroglobin and myoglobin were generated by swapping a regulatory segment. PMID: 25452214
- Findings indicate that myoglobin (Mb) and neuroglobin (Ngb) can be expressed in nonmuscle and non-neural contexts. PMID: 24446190
- Analogous to breast cancer, MB expression in prostate cancer is associated with steroid hormone signaling and markers of hypoxia PMID: 25172328
- the novel cancer-associated MB splice variants exhibited increased expression in tumor cells subjected to experimental hypoxia; the novel gene regulatory mechanisms unveiled in this study support the idea of a non-canonical role of MB during carcinogenesis PMID: 24026678
- Blood myoglobin could serve as a valuable early predictor and marker of rhabdomyolysis and acute myoglobinuric kidney injury PMID: 23931877
- High myoglobin expression is associated with renal cell carcinoma. PMID: 24076247
- Our LFIA performance was additionally compared with electrochemiluminescence immunoassay (ECLI) detection for simultaneous determination of hs-cTnI and myoglobin in patients with suggestive of acute myocardial infarction . PMID: 23247055
- Hydrophobic effect drives oxygen uptake in myoglobin via histidine E7. PMID: 23297402
- MD simulations supported NMR results indicating interesting structural/dynamical differences in the average volume and occurrence of the main cavities lining Mb prosthetic group. PMID: 21782983
- The mitochondrion-impairing role of MB in hypoxic cancer cells is part of a novel tumor-suppressive function. PMID: 21930697
- overexpression in non-small cell lung cancer is associated with histological subtype and hypoxia PMID: 21601304
- may have potential significance in the prognostication of lung adenocarcinomas PMID: 21640426
- Apomyoglobin mutants with point mutations at val10 forms amyloid structures at permissive temperature. PMID: 21639835
- These results show that glutathione reduces hydrogen peroxide-induced protein decomposition due to reduction of the C110-thiyl radical in WTwild type human Mb by electron transfer. PMID: 21256983
- Water entry into the heme pockets of isolated hemoglobin subunits was detected by optical methods. PMID: 20668762
- Kinetics of interaction between apomyoglobin and phospholipid membrane PMID: 20873231
- Using a cardiovascular model suggest that myoglobin oxygen storage/transport becomes significant during systolic reduction of coronary blood flow rather than during diastole. PMID: 20124401
- 71% of tumours displayed Mb protein expression in significant correlation with a positive hormone receptor status and better prognosis. PMID: 20531416
- The Dimension Vista cTnI, CK-MB, MYO, NTproBNP, and hsCRP methods demonstrate acceptable performance characteristics for use as an aid in the diagnosis and risk assessment of patients presenting with suspected acute coronary syndromes. PMID: 19523464
- Screening of exon 2 of the myoglobin gene in high altitude Tibetans does not show novel polymorphism or selection for specific myoglobin alleles as a function of altitude of residence or hypoxic challenge. PMID: 12006163
- myoglobin/carbonic anhydrase III ratio in the blood proved to be a more specific indicator for myocardial damage than myoglobin alone after myocardial infarction. PMID: 12745799
- It was concluded that myoglobin levels on admission and TnT at 2 h had the greatest diagnostic rate for myocardial infarction. PMID: 12760310
- Oxidative stress associated with myoglobin expression specifically in mitochondrial diseases. PMID: 14506721
- determination of myoglobin concentration and succinate dehydrogenase activity in serial sections indicate that myoglobin can lead to a substantial reduction (18-60%) of the extracellular oxygen tension required to prevent an anoxic core in muscle cells PMID: 15048578
- Quantitative test is useful for early diagnosis of acute myocardial infarct and as an indicator of its severity. PMID: 15226628
- Binding to blood fatty acid binding protein and may be a marker for cardiac damage in hemodialysis patients. PMID: 15226631
- heme rotates about the alpha-gamma axis of human myoglobin without leaving the protein cage PMID: 15485667
- energy analysis of myoglobin recognition of oxygen PMID: 15601759
- S-nitroso oxymyoglobin stores vasoactive nitric oxide PMID: 15644316
- iron mobilization and myoglobin down-modulation are elicited by enhanced erythropoiesis from elevated iron PMID: 17311997
- Data show plasma MG may be considered as a novel marker of muscle mass indicating best the mass of MG-rich type 1 and 2a fibers as well as VO(2)max as an important functional readout. PMID: 17605115
- analysis of covalent modification, unfolding, and aggregation of human holo-myoglobin induced by tyrosinase-generated quinones PMID: 17883274
- In this study, we showed for the first time the connection of ROR2 in Dupuytren's disease. ROR2 and myoglobin may play an important role in the pathophysiology of this disease PMID: 17996904
- Hypoxia reprograms calcium signaling and regulates myoglobin expression. PMID: 19005161
- myoglobin is expressed at high levels by human carcinoma cells PMID: 19541931
- Exposure of vascular smooth muscle (either in cell culture or intact vessels) to pathological nitric oxide (*NO) promotes an up-regulation of the Mb gene and protein, suggesting a feedback relationship between *NO and Mb. PMID: 19650765
顯示更多
收起更多
-
蛋白家族:Globin family
-
數據庫鏈接:
Most popular with customers
-
-
YWHAB Recombinant Monoclonal Antibody
Applications: ELISA, WB, IHC, IF, FC
Species Reactivity: Human, Mouse, Rat
-
Phospho-YAP1 (S127) Recombinant Monoclonal Antibody
Applications: ELISA, WB, IHC
Species Reactivity: Human
-
-
-
-
-















