MAPK10 Recombinant Monoclonal Antibody
-
中文名稱:MAPK10重組抗體
-
貨號:CSB-RA240216A0HU
-
規格:¥1320
-
圖片:
-
Western Blot
Positive WB detected in: PC-3 whole cell lysate, Mouse brain tissue
All lanes: MAPK10 antibody at 1:2000
Secondary
Goat polyclonal to rabbit IgG at 1/50000 dilution
Predicted band size: 53, 49, 32kDa
Observed band size: 55 kDa -
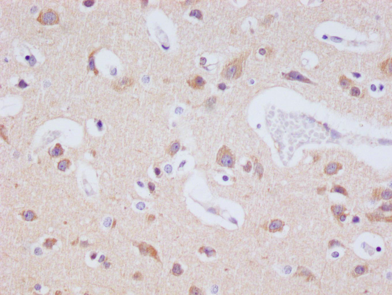
IHC image of CSB-RA240216A0HU diluted at 1:100 and staining in paraffin-embedded human brain tissue performed on a Leica BondTM system. After dewaxing and hydration, antigen retrieval was mediated by high pressure in a citrate buffer (pH 6.0). Section was blocked with 10% normal goat serum 30min at RT. Then primary antibody (1% BSA) was incubated at 4°C overnight. The primary is detected by a Goat anti-rabbit polymer IgG labeled by HRP and visualized using 0.05% DAB.
-
Immunofluorescence staining of PC-3 cell with CSB-RA240216A0HU at 1:50, counter-stained with DAPI. The cells were fixed in 4% formaldehyde and blocked in 10% normal Goat Serum. The cells were then incubated with the antibody overnight at 4°C. The secondary antibody was Alexa Fluor 553-congugated AffiniPure Goat Anti-Rabbit IgG(H+L).
-
Overlay Peak curve showing PC3 cells stained with CSB-RA240216A0HU (red line) at 1:100. The cells were fixed in 4% formaldehyde and permeated by 0.2% TritonX-100. Then 10% normal goat serum to block non-specific protein-protein interactions followed by the antibody (1ug/1*106cells) for 45min at 4℃. The secondary antibody used was FITC-conjugated Goat Anti-rabbit IgG(H+L) at 1:200 dilution for 35min at 4℃.Control antibody (green line) was rabbit IgG (1ug/1*106cells) used under the same conditions. Acquisition of >10,000 events was performed.
-
-
其他:
產品詳情
-
產品描述:MAPK10重組單克隆抗體(產品編號CSB-RA240216A0HU)是針對絲裂原活化蛋白激酶10(MAPK10/JNK3)開發的高特異性抗體,適用于多種實驗場景。該抗體靶向的MAPK10是c-Jun氨基末端激酶(JNK)家族成員,在調控細胞應激反應、程序性死亡及神經元分化中起關鍵作用,尤其在神經系統中高度表達,與阿爾茨海默病、帕金森病等病理機制相關。經嚴格驗證,本抗體在Western Blot中可檢測到單一清晰目標條帶,免疫組化與免疫熒光實驗顯示明確的亞細胞定位信號,流式細胞術驗證其與天然蛋白的高親和力。推薦稀釋比例為:WB 1:500-1:2000、IHC 1:50-1:200、IF 1:50-1:200、FC 1:50-1:200,不同批次間性能穩定。該產品適用于探究神經退行性疾病分子機制、細胞應激信號通路研究以及藥物靶點篩選等科研領域,為體外實驗提供可靠工具。
-
Uniprot No.:
-
基因名:
-
別名:Mitogen-activated protein kinase 10 (MAP kinase 10) (MAPK 10) (EC 2.7.11.24) (MAP kinase p49 3F12) (Stress-activated protein kinase 1b) (SAPK1b) (Stress-activated protein kinase JNK3) (c-Jun N-terminal kinase 3), MAPK10, JNK3 JNK3A PRKM10 SAPK1B
-
反應種屬:Human, Mouse
-
免疫原:A synthesized peptide derived from human MAPK10
-
免疫原種屬:Homo sapiens (Human)
-
標記方式:Non-conjugated
-
克隆類型:Monoclonal
-
抗體亞型:Rabbit IgG
-
純化方式:Affinity-chromatography
-
克隆號:29E10
-
濃度:It differs from different batches. Please contact us to confirm it.
-
保存緩沖液:Rabbit IgG in 10mM phosphate buffered saline , pH 7.4, 150mM sodium chloride, 0.05% BSA, 0.02% sodium azide and 50% glycerol.
-
產品提供形式:Liquid
-
應用范圍:ELISA, WB, IHC, IF, FC
-
推薦稀釋比:
Application Recommended Dilution WB 1:500-1:2000 IHC 1:50-1:200 IF 1:50-1:200 FC 1:50-1:200 -
Protocols:
-
儲存條件:Upon receipt, store at -20°C or -80°C. Avoid repeated freeze.
-
貨期:Basically, we can dispatch the products out in 1-3 working days after receiving your orders. Delivery time maybe differs from different purchasing way or location, please kindly consult your local distributors for specific delivery time.
-
用途:For Research Use Only. Not for use in diagnostic or therapeutic procedures.
相關產品
靶點詳情
-
功能:Serine/threonine-protein kinase involved in various processes such as neuronal proliferation, differentiation, migration and programmed cell death. Extracellular stimuli such as proinflammatory cytokines or physical stress stimulate the stress-activated protein kinase/c-Jun N-terminal kinase (SAP/JNK) signaling pathway. In this cascade, two dual specificity kinases MAP2K4/MKK4 and MAP2K7/MKK7 phosphorylate and activate MAPK10/JNK3. In turn, MAPK10/JNK3 phosphorylates a number of transcription factors, primarily components of AP-1 such as JUN and ATF2 and thus regulates AP-1 transcriptional activity. Plays regulatory roles in the signaling pathways during neuronal apoptosis. Phosphorylates the neuronal microtubule regulator STMN2. Acts in the regulation of the amyloid-beta precursor protein/APP signaling during neuronal differentiation by phosphorylating APP. Participates also in neurite growth in spiral ganglion neurons. Phosphorylates the CLOCK-ARNTL/BMAL1 heterodimer and plays a role in the photic regulation of the circadian clock. Phosphorylates JUND and this phosphorylation is inhibited in the presence of MEN1.
-
基因功能參考文獻:
- Mapk10 expression was regulated by miR27a-3p in nasopharyngeal carcinoma.Mapk10 gene was down-regulated in the nasopharyngeal carcinoma cells. PMID: 28393229
- Peptide mini-scaffold facilitates JNK3 activation in cells. PMID: 26868142
- Study found that JNK3 levels are increased in brain tissue and CSF from patients with Alzheimer disease and CSF levels could reflect the rate of cognitive decline PMID: 25455349
- Data indicate that tetra-substituted pyridinylimidazoles were designed as dual inhibitors of c-Jun N-terminal kinase (JNK) 3 and p38alpha mitogen-activated protein (MAP) kinase, and both kinases may be involved in the progression of Huntington's disease. PMID: 25475894
- JNK3 is required for the antiapoptotic effects of exendin 4 PMID: 25025079
- analysis of the unique mechanisms by which JNK1beta1 is regulated PMID: 25178256
- Mitogen-activated protein kinase 10 JNK3 alpha (JNK3apha2)binds to both domains of arrestin-3. PMID: 24412749
- miR-29b mRNA, MAPK10 protein expression, and ATG9A protein expression are closely related to chemosensitivity of ovarian carcinoma. PMID: 24767251
- Subtle structural mechanisms for allosteric signaling between the peptide-binding site and activation loop of human JNK3. PMID: 23142346
- reduced JNK3 activity has potentially deleterious effects on neuronal function via altered regulation of a set of post-synaptic proteins. PMID: 23329067
- Silent scaffolds: inhibition OF c-Jun N-terminal kinase 3 activity in cell by dominant-negative arrestin-3 mutant. PMID: 22523077
- [review] This review focuses on delineating the role of scaffold proteins, especially that of JNK3 as a target, on the regulation of JNK signaling in neurons. PMID: 21321401
- Arrestin-3 acts as a "true" scaffold, facilitating JNK3alpha2 phosphorylation by bringing it and MAP kinase kinase (MKK)4 together. PMID: 22047447
- The results suggest the possible involvement of CaMKII and JNK3 in soman-induced long-term neurotoxicity. PMID: 21041242
- results suggest that MAPK10 may have a proapoptotic function and could function as a tumor-suppressor gene in chromophobe renal cell carcinoma PMID: 21166945
- Shares a promoter region with the tightly linked gene encoding Fas-associated phosphatase-1. PMID: 12436199
- interaction of free arrestins with JNK3 and Mdm2 and their ability to regulate subcellular localization of these proteins may play an important role in the survival of photoreceptors and other neurons PMID: 16737965
- Arrestin in all conformations binds JNK3 comparably, whereas Mdm2 preferentially binds cone arrestin 'frozen' in the basal state. PMID: 17680991
- JNK3 recruits MKK4 to the beta-arrestin-2 scaffold complex by binding to the MAPK docking domain (D-domain) located within the N terminus of MKK4. PMID: 18408005
顯示更多
收起更多
-
相關疾病:A chromosomal aberration involving MAPK10 has been found in a single patient with pharmacoresistant epileptic encephalopathy. Translocation t(Y;4)(q11.2;q21) which causes MAPK10 truncation.
-
亞細胞定位:Cytoplasm. Membrane; Lipid-anchor. Nucleus. Mitochondrion.
-
蛋白家族:Protein kinase superfamily, CMGC Ser/Thr protein kinase family, MAP kinase subfamily
-
組織特異性:Specific to a subset of neurons in the nervous system. Present in the hippocampus and areas, cerebellum, striatum, brain stem, and weakly in the spinal cord. Very weak expression in testis and kidney.
-
數據庫鏈接:
Most popular with customers
-
-
YWHAB Recombinant Monoclonal Antibody
Applications: ELISA, WB, IHC, IF, FC
Species Reactivity: Human, Mouse, Rat
-
Phospho-YAP1 (S127) Recombinant Monoclonal Antibody
Applications: ELISA, WB, IHC
Species Reactivity: Human
-
-
-
-
-















