L1CAM Recombinant Monoclonal Antibody
-
中文名稱:L1CAM重組抗體
-
貨號:CSB-RA588962A0HU
-
規格:¥1320
-
圖片:
-
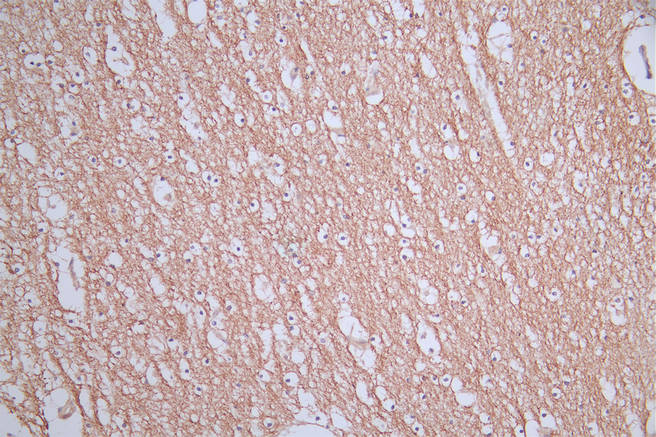
IHC image of CSB-RA588962A0HU diluted at 1:50 and staining in paraffin-embedded human brain tissue performed on a Leica BondTM system. After dewaxing and hydration, antigen retrieval was mediated by high pressure in a citrate buffer (pH 6.0). Section was blocked with 10% normal goat serum 30min at RT. Then primary antibody (1% BSA) was incubated at 4°C overnight. The primary is detected by a Goat anti-rabbit polymer IgG labeled by HRP and visualized using 0.76% DAB.
-
Overlay Peak curve showing MCF-7 cells stained with CSB-RA588962A0HU (red line) at 1:50. The cells were fixed in 4% formaldehyde and permeated by 0.2% TritonX-100. Then 10% normal goat serum to block non-specific protein-protein interactions followed by the antibody (1μg/1*106cells) for 45min at 4℃. The secondary antibody used was FITC-conjugated Goat Anti-rabbit IgG(H+L) at 1:200 dilution for 35min at 4℃.Control antibody (green line) was rabbit IgG (1μg/1*106cells) used under the same conditions. Acquisition of >10,000 events was performed.
-
-
其他:
產品詳情
-
產品描述:CSB-RA588962A0HU L1CAM重組單克隆抗體是針對L1細胞粘附分子研發的高特異性檢測工具,適用于多種科研場景。該抗體采用重組表達技術制備,具有優異的批次穩定性和抗原結合一致性,經嚴格驗證可在ELISA、免疫組化(推薦稀釋1:50-1:200)及流式細胞術(推薦稀釋1:50-1:200)中實現精準檢測。L1CAM作為重要的跨膜糖蛋白,在神經軸突導向、細胞黏附和腫瘤侵襲轉移中發揮關鍵作用,該抗體能夠有效識別其天然構象表位,為研究神經發育機制、腫瘤微環境調控及轉移途徑提供了可靠工具。實驗數據顯示,該產品在石蠟包埋組織切片中呈現清晰的膜定位信號,流式檢測顯示與表達L1CAM的活細胞特異性結合。適用于神經系統疾病模型研究、腫瘤分子標志物篩選及細胞信號轉導機制探索等基礎科研領域,本產品僅限于科學研究使用。
-
Uniprot No.:
-
基因名:
-
別名:Neural cell adhesion molecule L1 (N-CAM-L1) (NCAM-L1) (CD antigen CD171), L1CAM, CAML1 MIC5
-
反應種屬:Human
-
免疫原:A synthesized peptide derived from Human L1CAM
-
免疫原種屬:Homo sapiens (Human)
-
標記方式:Non-conjugated
-
克隆類型:Monoclonal
-
抗體亞型:Rabbit IgG
-
純化方式:Affinity-chromatography
-
克隆號:14H7
-
濃度:It differs from different batches. Please contact us to confirm it.
-
保存緩沖液:Rabbit IgG in 10mM phosphate buffered saline , pH 7.4, 150mM sodium chloride, 0.05% BSA, 0.02% sodium azide and 50% glycerol.
-
產品提供形式:Liquid
-
應用范圍:ELISA, IHC, FC
-
推薦稀釋比:
Application Recommended Dilution IHC 1:50-1:200 FC 1:50-1:200 -
Protocols:
-
儲存條件:Upon receipt, store at -20°C or -80°C. Avoid repeated freeze.
-
貨期:Basically, we can dispatch the products out in 1-3 working days after receiving your orders. Delivery time maybe differs from different purchasing way or location, please kindly consult your local distributors for specific delivery time.
-
用途:For Research Use Only. Not for use in diagnostic or therapeutic procedures.
相關產品
靶點詳情
-
功能:Neural cell adhesion molecule involved in the dynamics of cell adhesion and in the generation of transmembrane signals at tyrosine kinase receptors. During brain development, critical in multiple processes, including neuronal migration, axonal growth and fasciculation, and synaptogenesis. In the mature brain, plays a role in the dynamics of neuronal structure and function, including synaptic plasticity.
-
基因功能參考文獻:
- In uterine carcinosarcoma, membranous L1CAM expression was positive in the epithelial component in 65.4% of cases. Remarkably, expression was negative in the mesenchymal component. In cases where both components were intermingled, expression limited to the epithelial component was confirmed by a double stain for L1CAM and keratin. Expression of L1CAM did not relate to overall or disease-free survival. PMID: 30140948
- Our findings suggest that L1CAM is possibly involved in the pathogenesis of at least a subset of endometrial clear cell carcinomas PMID: 28941294
- The directional force for laminin-induced growth cone haptotaxis is generated by the grip and slip of L1-CAM on the substrates, which occur asymmetrically under the growth cone. PMID: 29483251
- L1CAM promotes esophageal squamous cell carcinoma tumorigenicity by upregulating ezrin expression. PMID: 28939985
- TWIST1, in part via GAS6 and L1CAM, led to higher expression and activation of Akt upon cisplatin treatment, and inhibition of Akt activation sensitized cells to cisplatin. PMID: 27876874
- data make L1CAM a highly interesting therapeutic target to prevent further metastatic spread in melanoma patients PMID: 29432466
- High circulating levels of autoantibodies against L1-cell adhesion molecule is associated with esophageal squamous cell carcinoma. PMID: 28181176
- A functional role for L1CAM in extrahepatic cholangiocarcinoma carrying the activating KRAS mutation.L1CAM prmotes cell migration and invasion via JNK activation in extrahepatic cholangiocarcinoma. PMID: 28535665
- this review and meta-analysis concludes that L1CAM might be an effective poor prognostic factor for patients with various tumor types PMID: 27833079
- High L1CAM expression is associated with vulvar squamous cell carcinomas. PMID: 27028855
- Our preclinical assessment of the CE7 epitope on CD171 supports its utility and safety as a CAR T-cell target for neuroblastoma immunotherapy PMID: 27390347
- L1CAM may have a role in human endometrial cancer and miR-34a has an inverse role to L1CAMEXP PMID: 27233077
- L1CAM mRNA expression appears to play a substantial role in the pathophysiology of ovarian cancer that is translated into poor clinical outcome. PMID: 27174921
- These results suggest that a deficiency in L1 may partially account for RTT phenotypes. PMID: 29050935
- L1CAM failed to be a clinically relevant marker of poor prognosis in stage I endometrioid endometrial carcinoma PMID: 27488577
- This study revealed an unexpected role of L1CAM in the pathological crosstalk between the immune and nervous systems. PMID: 27544757
- Mutations involving L1 cell adhesion molecule is associated with chemotherapy-resistant urothelial carcinoma. PMID: 27749842
- Data suggest that targeted therapy to neural cell adhesion molecule L1 (L1) might be effective in the treatment of retinoblastoma tumors. PMID: 28061460
- CD10 is a necessary component conferring the L1 effects in CRC cells. The identification of gene expression patterns of L1-domain-specific point mutations may provide novel markers and targets for interfering with L1-mediated CRC progression. PMID: 27641335
- High L1-CAM expression is associated with low radiosensitivity in neuroblastoma. PMID: 27432152
- Neural cell adhesion molecule L1 (L1CAM)-mediated cell-cell aggregation was severely impaired by L1CAM variants p.I37N, p.M172I and p.D202Y but was preserved by the variant p.T38M. PMID: 26891472
- The differential expression timing of CD184 and CD171 permits identification and enrichment of RGCs from retinal organoids at differing maturation states from committed progenitors to differentiating neurons. PMID: 27867005
- This study examined the spatiotemporal distribution of L1CAM in the early human fetal period by means of immunohistochemistry and in situ hybridization. In advanced differentiated epithelia such as those of the gastrointestinal system, L1CAM localization vanishes. In epithelia, however, which undergo further development such as those of the urogenital system, L1CAM is further needed for their fully establishment. PMID: 28026654
- The expression of L1CAM was associated with advanced stage, nodal involvement, high tumour grade, non-endometrioid histology, lymphovascular space invasion, and distant recurrences in all cases, and with reduced survival in the endometrial carcinomas, but not in the non-endometrioid carcinomas. L1CAM may induce EMT-like changes, but seems to only play a role in metastasis, not in invasion. PMID: 27505134
- L1CAM expression is an independent predictor of poor survival in endometrial cancer, and is associated with advanced stage, high-risk endometrial cancer. PMID: 26861585
- L1CAM is a neuronal cell adhesion molecule involved in the development of the nervous system and progression of malignancies. (Review) PMID: 27267927
- Splicing variant c.1267+5delG was identified in fetal hydrocephalus. The same mutation and severe L1 syndrome was confirmed in the second pregnancy. PMID: 27207492
- Involvement of L1CAM in the regulation of activity of the canonical Wnt pathway and expression of genes of class I melanoma-associated antigens in melanoma. PMID: 27165065
- L1CAM was a significant independent prognosticator for disease-specific survival in endometrial carcinoma. PMID: 27695947
- Report high frequency of L1CAM expression in high-risk endometrial cancers associated with mutant p53 expression. PMID: 26743472
- L1CAM is frequently expressed in testicular germ cell tumors but not in normal testis. PMID: 26933044
- L1 syndrome should be considered in the differential diagnosis of intellectual disability or mental retardation in children, especially when other signs such as hydrocephalus or adducted thumbs are present. PMID: 25948108
- Genes induced during L1-mediated colorectal cancer cell metastasis PMID: 26399194
- Our results suggest that the overexpression of L1CAM may be related to several established markers of poor prognosis in breast cancer patients. PMID: 26464672
- L1-CAM and N-CAM: From Adhesion Proteins to Pharmacological Targets PMID: 26478212
- the CE7-epitope of L1-CAM is a cell adhesion molecule aberrantly expressed in several cancers and may have a role in immunotherapy PMID: 26761817
- novel missense variant in L1CAM was identified in two Caucasian families with mild-moderate intellectual disability without obvious L1 syndrome features PMID: 25934484
- This study identified predicted pathogenic, hemizygous variants on chromosome X in disease genes L1CAM. PMID: 25666757
- Our findings establish Slug-induced L1CAM expression as a mediator of a chemoresistant and migratory phenotype in pancreatic adenocarcinoma cells. PMID: 25860483
- the expression level of L1CAM were negatively correlated with miR-503 levels in osteosarcoma tissues. PMID: 25536034
- L1CAM is expressed in triple-negative breast cancers and is inversely correlated with androgen receptor PMID: 25510351
- a positive relationship between L1 and pPKD1 in both cultured cerebellar neurons and human cerebellar tissue, suggesting that L1 functions in the modulation of PKD1 phosphorylation. PMID: 25445362
- This indicates that similar biofunctionalization approaches based on N-cadherin and L1 can be translated to 3-D "transplantable" scaffolds with enhanced neurotrophic behaviors. PMID: 24914828
- Findings shed new light on the complex regulation of L1CAM in cancers and advocate the use of L1CAM/miR-21-3p for diagnostic application. PMID: 25149066
- The data show that L1CAM promotes the enrichment of immunosuppressive T cells in particular of a CD4(+)CD25(-)CD69(+)-phenotype in pancreatic ductal adenocarcinoma providing a novel mechanism of tumor immune escape which contributes to tumor progression. PMID: 24746181
- Data suggest that miR-34a can regulate L1CAM expression by targeting L1CAM mRNA for degradation. PMID: 24497324
- Data indicate that positive L1 cell adhesion molecule (L1CAM) expression was significantly correlated with risk of distant recurrence. PMID: 25126672
- Overexpression of L1CAM is associated with tumor progression via ERK signaling in gastric cancer. PMID: 24046108
- Expression of L1CAM and EPCAM in gastric cancer was significantly associated with lymph node and distant metastasis, and poor prognosis. PMID: 24422715
- Human pathological H210Q, R184Q and Y1070C, but not the E309K and L120V L1CAM mutations affect outside-in signaling via the FIGQY Ankyrin binding domain which is required for synapse formation. PMID: 24155914
顯示更多
收起更多
-
相關疾病:Hydrocephalus due to stenosis of the aqueduct of Sylvius (HSAS); Mental retardation, aphasia, shuffling gait, and adducted thumbs syndrome (MASA); Agenesis of the corpus callosum, X-linked, partial (ACCPX)
-
亞細胞定位:Cell membrane; Single-pass type I membrane protein. Cell projection, growth cone. Cell projection, axon. Cell projection, dendrite.
-
蛋白家族:Immunoglobulin superfamily, L1/neurofascin/NgCAM family
-
數據庫鏈接:
Most popular with customers
-
-
YWHAB Recombinant Monoclonal Antibody
Applications: ELISA, WB, IHC, IF, FC
Species Reactivity: Human, Mouse, Rat
-
Phospho-YAP1 (S127) Recombinant Monoclonal Antibody
Applications: ELISA, WB, IHC
Species Reactivity: Human
-
-
-
-
-















