KRT20 Recombinant Monoclonal Antibody
-
中文名稱:KRT20重組抗體
-
貨號:CSB-RA176322A0HU
-
規格:¥1320
-
圖片:
-
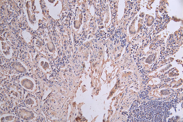
IHC image of CSB-RA176322A0HU diluted at 1:50 and staining in paraffin-embedded human small intestine tissue performed on a Leica BondTM system. After dewaxing and hydration, antigen retrieval was mediated by high pressure in a citrate buffer (pH 6.0). Section was blocked with 10% normal goat serum 30min at RT. Then primary antibody (1% BSA) was incubated at 4°C overnight. The primary is detected by a Goat anti-rabbit polymer IgG labeled by HRP and visualized using 0.61% DAB.
-
Overlay Peak curve showing MCF-7 cells stained with CSB-RA176322A0HU (red line) at 1:50. The cells were fixed in 4% formaldehyde and permeated by 0.2% TritonX-100. Then 10% normal goat serum to block non-specific protein-protein interactions followed by the antibody (1μg/1*106cells) for 45min at 4℃. The secondary antibody used was FITC-conjugated Goat Anti-rabbit IgG(H+L) at 1:200 dilution for 35min at 4℃.Control antibody (green line) was rabbit IgG (1μg/1*106cells) used under the same conditions. Acquisition of >10,000 events was performed.
-
-
其他:
產品詳情
-
產品描述:CSB-RA176322A0HU KRT20重組單克隆抗體是針對細胞角蛋白20(Keratatin 20)開發的高特異性科研試劑。KRT20作為上皮細胞特異性中間絲蛋白,在胃腸道、膀胱等正常組織中呈現特征性表達模式,其異常表達與結直腸癌、胃癌等多種腫瘤的發生發展密切相關,是重要的上皮分化及腫瘤生物學標志物。本抗體經ELISA、免疫組化(IHC)和流式細胞術(FC)嚴格驗證,在推薦稀釋比例(IHC 1:50-1:200,FC 1:50-1:200)下展現優異的抗原結合能力,能精準識別天然構象的KRT20蛋白。其高靈敏度特性可有效支持石蠟包埋組織切片的染色分析及體外培養細胞的表型檢測,適用于消化道腫瘤分子分型、上皮細胞分化機制研究以及腫瘤微環境分析等科研場景,為病理學研究和腫瘤生物學探索提供可靠工具。本產品僅限科學研究使用,不涉及臨床診療相關應用。
-
Uniprot No.:
-
基因名:
-
別名:Keratin, type I cytoskeletal 20 (Cytokeratin-20) (CK-20) (Keratin-20) (K20) (Protein IT), KRT20
-
反應種屬:Human
-
免疫原:A synthesized peptide derived from Human KRT20
-
免疫原種屬:Homo sapiens (Human)
-
標記方式:Non-conjugated
-
克隆類型:Monoclonal
-
抗體亞型:Rabbit IgG
-
純化方式:Affinity-chromatography
-
克隆號:17A11
-
濃度:It differs from different batches. Please contact us to confirm it.
-
保存緩沖液:Rabbit IgG in 10mM phosphate buffered saline , pH 7.4, 150mM sodium chloride, 0.05% BSA, 0.02% sodium azide and 50% glycerol.
-
產品提供形式:Liquid
-
應用范圍:ELISA, IHC, FC
-
推薦稀釋比:
Application Recommended Dilution IHC 1:50-1:200 FC 1:50-1:200 -
Protocols:
-
儲存條件:Upon receipt, store at -20°C or -80°C. Avoid repeated freeze.
-
貨期:Basically, we can dispatch the products out in 1-3 working days after receiving your orders. Delivery time maybe differs from different purchasing way or location, please kindly consult your local distributors for specific delivery time.
-
用途:For Research Use Only. Not for use in diagnostic or therapeutic procedures.
相關產品
靶點詳情
-
功能:Plays a significant role in maintaining keratin filament organization in intestinal epithelia. When phosphorylated, plays a role in the secretion of mucin in the small intestine.
-
基因功能參考文獻:
- Carcinoid-like/labyrinthine pattern of cell arrangement in vimentin/cytokeratin 20 expressing sebaceous neoplasms may represent a morphological phenotype of sebaceous mantles. PMID: 28027080
- In our cohort of specimens with equivocal urothelial atypia, very few patients without a prior diagnosis of bladder cancer progressed to diagnostic cancer (1 of 22), suggesting that CK20 and p53 staining results should be interpreted with caution in de novo atypia. PMID: 28967804
- results demonstrate the diagnostic value of urinary cytology and confirm CK 20 as an adjunct marker for the diagnosis of urothelial carcinoma. PMID: 28195264
- findings of our study imply that sequential staining of CK20 and E-cadherin prevents false-positive classification of BCC. Furthermore, our study demonstrated that p40 exhibits the same staining pattern in BCC, TE, and TB PMID: 26180934
- In stomach adenocarcinomas, CDH17 positively stained 64.0% (112 of 175) of tissues, compared to CK20 and CDX2, where staining was observed in only 24.6% (43 of 175) and 46.9% (82 of 175), respectively. PMID: 28029907
- results demonstrated upregulation of fibroblast growth factor receptor 1 and CK20 expressions in cancer bladder tissues PMID: 27259667
- K20 expression was detected in 6 of 75 patients with triple-negative carcinoma PMID: 26670478
- Circulating tumor cell CK20 and survivin expression may effectively predict overall survival in metastic colorectal cancer patients receiving chemotherapy. PMID: 26227487
- During postoperative follow-up, serum negative CK20 patients had significantly higher 3-year survival rates than serum positive CK20 patients. PMID: 26125781
- Patients with any EGFR, CK19, CK20 or survinin positivity in their peripheral blood obtain less benefit from radiotherapy. PMID: 25854400
- Case Report: Merkel cell carcinma that initially demonstrated cytokeratin 20 positivity but lost expression in subsequent brain metastases. PMID: 24901475
- Our data show that inclusion of CK20 as a biomarker efficiently improves the detection of CTCs in colorectal cancer patients PMID: 25528628
- The present study confirmed that CK14, but not CK20 or CK7, is expressed in urothelial carcinoma with squamous differentiation and squamous cell carcinoma of the urinary bladder. PMID: 25643514
- Immunostaining of CDX2 and CK20 provides beneficial information if considering whether to perform an endoscopic papillectomy (EP). PMID: 25081540
- High cytokeratin 20 expression is associated with invasive histological phenotype in poorly differentiated colorectal adenocarcinoma. PMID: 24403457
- Its association with clinical stage indicates that CK20 might have prognostic value as a marker for detection of circulating CRC cells. PMID: 23558939
- The CDX2/CK20 phenotype defines a distinct subgroup of colorectal cancers with microsatellite instability and poor differentiation PMID: 24025523
- Data show that lower survival (OS) and disease-free survival (DFS) rates were significantly associated with guanylate cyclase C (GCC) and CK20 mRNA levels. PMID: 23150200
- Overexpression of CK20 is associated with early-onset colorectal cancer. PMID: 23322277
- High cytokeratin 20 mrna expression is associated with lymphatic metastasis in colon cancer. PMID: 22752373
- Pouch/peripouch and UC-associated adenocarcinoma had a comparable positive rate for CK7, CK20, and CDX2 by immunohistochemistry. PMID: 22895272
- HER2 and CK20 were seen exclusively in the mucinogenic proliferations in congenital pulmonary airway malformations. PMID: 22348416
- CEA mRNA, CK20 mRNA, and serum CEA than patients at stages I-III. PMID: 22414974
- Results suggest that CK20 mRNA with other biomarkers in the peripheral blood of breast cancer patients may be useful to monitor the presence of disseminated tumor cells in the blood circulation and to predict the prognosis of breast cancer. PMID: 22677992
- Both the CK7-/CK20+ phenotype and expression of the antibody CDX2 are highly specific and sensitive markers of colorectal origin. PMID: 22268990
- This is the first reported study of the relationship between CK20/CK7 immunophenotype, BRAF mutations and microsatellite status in colorectal carcinomas PMID: 22361037
- positivity rates of CK19 and CK20 in transverse mesocolon were 48.6 and 61.2%, respectively and increased with the depth of tumor invasion PMID: 21938557
- Keratin 20 expression is common in colorectal carcinoma. PMID: 22237712
- The expressions of CK7 and CK20 in nasal polyps were analyzed. PMID: 22119824
- Cytokeratin 20-positive hepatocellular carcinoma PMID: 22073364
- CK20 and VEGF expressions in peripheral blood of colorectal carcinoma patients are promising molecular markers for disease progression and metastasis. PMID: 20395351
- Merkel cell carcinoma admixed with squamous cell carcinoma can be cytokeratin 20-negative and thyroid transcription factor-1-positive [case report] PMID: 21775107
- Our results along with the data from the literature indicate that CK7/CK20 expression may be of clinical significance. PMID: 21574103
- SATB2 in combination with cytokeratin 20 identifies over 95% of all colorectal carcinomas. PMID: 21677534
- A considerable number of colorectal carcinomas showed no immunoreactivity to CK20. PMID: 21282015
- The immunohistochemical subtypes based on CK20and MUC1 expression correlated with ampullary tumor progression. PMID: 21106111
- Case Report: CK7+/CK20- Merkel cell carcinoma presenting as inguinal subcutaneous nodules with subsequent epidermotropic metastasis. PMID: 20574624
- MMP-11 and CK-20 are probable prognostic markers whose expression reflects the stages of tumor differentiation and LNM of breast cancer. PMID: 19914229
- CK20 expression is associated with the progression of breast cancer. PMID: 19664394
- The expression level of CK20 mRNA in the peripheral blood in patients with gastric cancer declines after postoperative adjuvant chemotherapy. PMID: 19145500
- CK20 expression modified in H. pylori chronic gastritis PMID: 11642721
- expression in lymph nodes correlates with poor prognosis in colorectal cancer PMID: 11844829
- expression pattern is unique to Barrett's esophagus PMID: 11857318
- Changing pattern of cytokeratin 7 and 20 expression from normal epithelium to intestinal metaplasia of the gastric mucosa and gastroesophageal junction PMID: 11962749
- The detection of cancer metastasis in the lymph nodes in colon carcinoma is almost doubled (21.9% vs 11.1%) by CK-20 mRNA PMID: 12515621
- CK 20 mRNA identification by RT-PCR is reliable and may be useful for early diagnosis in peritoneal dissemination of colon cancer PMID: 12636102
- It is possible to apply a simple and reliable method for the detection of circulating tumor cells based on cytokeratin-20 and prostate stem cell antigen RT-PCR assays in gastrointestinal cancers. PMID: 12894563
- Down regulation of cytokeratin 20 is associated with transitional and squamous cell carcinoma of the bladder PMID: 12954496
- The combined expression of CK7 and CK20 has a low specificity in the distinction between esophageal and cardiac (stomach) adenocarcinomas. PMID: 14631371
- Alteration of CK7 and CK20 expression profile that occurs early in small intestinal tumorigenesis. PMID: 15371952
顯示更多
收起更多
-
亞細胞定位:Cytoplasm.
-
蛋白家族:Intermediate filament family
-
組織特異性:Expressed predominantly in the intestinal epithelium. Expressed in luminal cells of colonic mucosa. Also expressed in the Merkel cells of keratinized oral mucosa; specifically at the tips of some rete ridges of the gingival mucosa, in the basal layer of t
-
數據庫鏈接:
Most popular with customers
-
YWHAB Recombinant Monoclonal Antibody
Applications: ELISA, WB, IHC, IF, FC
Species Reactivity: Human, Mouse, Rat
-
Phospho-YAP1 (S127) Recombinant Monoclonal Antibody
Applications: ELISA, WB, IHC
Species Reactivity: Human
-
-
-
-
-
-















