ITGA5&ITGB1 Recombinant Monoclonal Antibody
-
中文名稱:ITGA5&ITGB1 Recombinant Monoclonal Antibody
-
貨號:CSB-RA67599MA1HU
-
規格:¥1320
-
圖片:
-
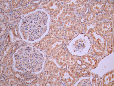
IHC image of CSB-RA67599MA1HU diluted at 1:50 and staining in paraffin-embedded human kidney tissue performed on a Leica BondTM system. After dewaxing and hydration, antigen retrieval was mediated by high pressure in a citrate buffer (pH 6.0). Section was blocked with 10% normal goat serum 30min at RT. Then primary antibody (1% BSA) was incubated at 4°C overnight. The primary is detected by a Anti-Human lgG, Fcy Fragment Specific labeled by HRP and visualized using 0.05% DAB.
-
-
其他:
產品詳情
-
Uniprot No.:
-
基因名:ITGA5&ITGB1
-
別名:CD49 antigen-like family member E antibody; CD49e antibody; Fibronectin receptor subunit alpha antibody; Fibronectin receptor; alpha subunit antibody; FNRA antibody; Integrin alpha 5 (fibronectin receptor alpha) antibody; Integrin alpha-5 antibody; Integrin alpha-5 light chain antibody; Integrin alpha-F antibody; Integrin; alpha 5 (fibronectin receptor; alpha polypeptide) antibody; ITA5_HUMAN antibody; Itga5 antibody; Very late activation protein 5; alpha subunit antibody; VLA-5 antibody; VLA5 antibody; VLA5A antibody; beta1 integrin antibody; CD_antigen=CD29 antibody; CD29 antibody; Fibronectin receptor subunit beta antibody; FNRB antibody; Glycoprotein IIa antibody; GP IIa antibody; GPIIA antibody; Integrin beta-1 antibody; Integrin subunit beta 1 antibody; integrin VLA-4 beta subunit antibody; Integrin, beta 1 (fibronectin receptor, beta polypeptide, antigen CD29 includes MDF2, MSK12) antibody; ITB1_HUMAN antibody; ITGB1 antibody; MDF2 antibody; MSK12 antibody; OTTHUMP00000019420 antibody; very late activation protein antibody; Very late activation protein, beta polypeptide antibody; VLA BETA antibody; VLA-4 subunit beta antibody; VLA-BETA antibody; VLAB antibody; VLAbeta antibody
-
反應種屬:Human
-
免疫原:Recombinant Human ITGA5&ITGB1 protein
-
免疫原種屬:Homo sapiens (Human)
-
標記方式:Non-conjugated
-
克隆類型:Monoclonal
-
抗體亞型:hIgG1
-
純化方式:Affinity-chromatography
-
克隆號:15C1
-
濃度:It differs from different batches. Please contact us to confirm it.
-
保存緩沖液:Preservative: 0.03% Proclin 300
Constituents: 50% Glycerol, 0.01M PBS, PH 7.4 -
產品提供形式:Liquid
-
應用范圍:ELISA, IHC
-
推薦稀釋比:
Application Recommended Dilution IHC 1:50-1:200 -
Protocols:
-
儲存條件:Upon receipt, store at -20°C or -80°C. Avoid repeated freeze.
-
貨期:Basically, we can dispatch the products out in 1-3 working days after receiving your orders. Delivery time maybe differs from different purchasing way or location, please kindly consult your local distributors for specific delivery time.
-
用途:For Research Use Only. Not for use in diagnostic or therapeutic procedures.
Most popular with customers
-
-
YWHAB Recombinant Monoclonal Antibody
Applications: ELISA, WB, IHC, IF, FC
Species Reactivity: Human, Mouse, Rat
-
Phospho-YAP1 (S127) Recombinant Monoclonal Antibody
Applications: ELISA, WB, IHC
Species Reactivity: Human
-
-
-
-
-















