INA Recombinant Monoclonal Antibody
-
中文名稱:INA Recombinant Monoclonal Antibody
-
貨號:CSB-RA268828A0HU
-
規格:¥1320
-
圖片:
-
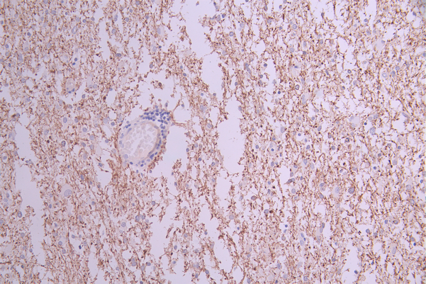
IHC image of CSB-RA268828A0HU diluted at 1:100 and staining in paraffin-embedded human glioma cancer performed on a Leica BondTM system. After dewaxing and hydration, antigen retrieval was mediated by high pressure in a citrate buffer (pH 6.0). Section was blocked with 10% normal goat serum 30min at RT. Then primary antibody (1% BSA) was incubated at 4°C overnight. The primary is detected by a Goat anti-rabbit polymer IgG labeled by HRP and visualized using 0.05% DAB.
-
-
其他:
產品詳情
-
Uniprot No.:
-
基因名:INA
-
別名:66 kDa neurofilament protein antibody; AINX_HUMAN antibody; Alpha Inx antibody; Alpha-internexin antibody; Alpha-Inx antibody; INA antibody; Internexin neuronal intermediate filament protein alpha antibody; MGC12702 antibody; NEF 5 antibody; NEF5 antibody; Neurofilament 5 (66kD) antibody; Neurofilament 5 antibody; Neurofilament 66 antibody; Neurofilament 66 tax binding protein antibody; Neurofilament-66 antibody; NF 66 antibody; NF-66 antibody; NF66 antibody; TXBP 1 antibody; TXBP1 antibody
-
反應種屬:Human
-
免疫原:A synthesized peptide derived from human INA
-
免疫原種屬:Homo sapiens (Human)
-
標記方式:Non-conjugated
-
克隆類型:Monoclonal
-
抗體亞型:Rabbit IgG
-
純化方式:Affinity-chromatography
-
克隆號:7G11
-
濃度:It differs from different batches. Please contact us to confirm it.
-
保存緩沖液:Rabbit IgG in 10mM phosphate buffered saline , pH 7.4, 150mM sodium chloride, 0.05% BSA, 0.02% sodium azide and 50% glycerol.
-
產品提供形式:Liquid
-
應用范圍:ELISA, IHC
-
推薦稀釋比:
Application Recommended Dilution IHC 1:50-1:200 -
Protocols:
-
儲存條件:Upon receipt, store at -20°C or -80°C. Avoid repeated freeze.
-
貨期:Basically, we can dispatch the products out in 1-3 working days after receiving your orders. Delivery time maybe differs from different purchasing way or location, please kindly consult your local distributors for specific delivery time.
-
用途:For Research Use Only. Not for use in diagnostic or therapeutic procedures.
相關產品
靶點詳情
-
功能:Class-IV neuronal intermediate filament that is able to self-assemble. It is involved in the morphogenesis of neurons. It may form an independent structural network without the involvement of other neurofilaments or it may cooperate with NEFL to form the filamentous backbone to which NEFM and NEFH attach to form the cross-bridges. May also cooperate with the neuronal intermediate filament protein PRPH to form filamentous networks.
-
基因功能參考文獻:
- Data suggest GRINL1A (GCOM1)-NMDA receptor-internexin-alpha (INA) interaction pathway may be relevant to neuroprotection. PMID: 29339073
- It is a neuronal marker, and has been indicated as an immunohistochemical surrogate of chromosome 1p/19q co-deletion in oligodendroglial tumors. PMID: 26233522
- Gonadotropinomas, null cell pituitary adenomas, and thyrotropinomas exhibit high levels of intracellular INA protein indicating neuronal transdifferentiation. PMID: 25236435
- It is a supportive diagnostic marker for oligodendroglial tumors with the 1p/19q co-deletion. PMID: 24197863
- alpha-Internexin was expressed in 53% of 350 pancreatic neuroendocrine tumors. Reduced expression of alpha-internexin was significantly associated with advanced stage metastases, recurrence and shorter overall survival. PMID: 24483152
- High INA expression is associated with grade II gliomas. PMID: 22890969
- INA may provide additional biologic information relevant to delineation of both pancreatic neuroendocrine neoplasms (NEN) tumor phenotypes and clinical behavior. PMID: 21990041
- the importance of alpha-internexin and NF-L in regulating the conformations of NF-M and NF-H PMID: 20213320
- alpha-internexin expression in neuroblastoma PMID: 12209604
- The discovery of alpha-internexin in the cytoplasmic inclusions implicates novel mechanisms of pathogenesis in inclusion diseeae and other neurological diseases with pathological accumulations of IFs. PMID: 15161649
- Abnormal neuronal intermediate filament inclusions of alpha-internexin have been identified as the pathological hallmark of neuronal intermediate filament inclusion disease PMID: 16722980
- Expression of the 2 markers, alpha-internexin and peripherin, in a small round cell tumor strongly favors the diagnosis of neuroblastoma. PMID: 18528283
- Alpha-Internexin (INA) expression appears to be a simple, reliable prognostic marker and a surrogate marker of 1p19q codeletion. PMID: 19139367
顯示更多
收起更多
-
蛋白家族:Intermediate filament family
-
組織特異性:Found predominantly in adult CNS.
-
數據庫鏈接:
Most popular with customers
-
-
YWHAB Recombinant Monoclonal Antibody
Applications: ELISA, WB, IHC, IF, FC
Species Reactivity: Human, Mouse, Rat
-
Phospho-YAP1 (S127) Recombinant Monoclonal Antibody
Applications: ELISA, WB, IHC
Species Reactivity: Human
-
-
-
-
-















