IL23R Recombinant Monoclonal Antibody
-
中文名稱:IL23R Recombinant Monoclonal Antibody
-
貨號:CSB-RA733162MA1HU
-
規格:¥1320
-
圖片:
-
IHC image of CSB-RA733162MA1HU diluted at 1:50 and staining in paraffin-embedded human kidney tissue performed on a Leica BondTM system. After dewaxing and hydration, antigen retrieval was mediated by high pressure in a citrate buffer (pH 6.0). Section was blocked with 10% normal goat serum 30min at RT. Then primary antibody (1% BSA) was incubated at 4°C overnight. The primary is detected by a Anti-Human lgG, Fcy Fragment Specific labeled by HRP and visualized using 0.05% DAB.
-
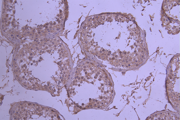
IHC image of CSB-RA733162MA1HU diluted at 1:50 and staining in paraffin-embedded human testis tissue performed on a Leica BondTM system. After dewaxing and hydration, antigen retrieval was mediated by high pressure in a citrate buffer (pH 6.0). Section was blocked with 10% normal goat serum 30min at RT. Then primary antibody (1% BSA) was incubated at 4°C overnight. The primary is detected by a Anti-Human lgG, Fcy Fragment Specific labeled by HRP and visualized using 0.05% DAB.
-
Immunofluorescence staining of MCF-7 cell with CSB-RA733162MA1HU at 1:30 ,counter-stained with DAPI. The cells were fixed in 4% formaldehyde and blocked in 10% normal Goat Serum. The cells were then incubated with the antibody overnight at 4°C. The secondary antibody was Fluorescein (FITC) AffiniPure Goat Anti-Human IgG, Fcγ fragment specific.
-
-
其他:
產品詳情
-
Uniprot No.:
-
基因名:
-
別名:IL 23R antibody; IL-23 receptor antibody; IL-23R antibody; IL23 Receptor antibody; Il23r antibody; IL23R_HUMAN antibody; Interleukin 23 receptor antibody; Interleukin-23 receptor antibody
-
反應種屬:Human
-
免疫原:Recombinant Human IL23R protein
-
免疫原種屬:Homo sapiens (Human)
-
標記方式:Non-conjugated
-
克隆類型:Monoclonal
-
抗體亞型:hIgG1
-
純化方式:Affinity-chromatography
-
克隆號:21G10
-
濃度:It differs from different batches. Please contact us to confirm it.
-
保存緩沖液:Preservative: 0.03% Proclin 300
Constituents: 50% Glycerol, 0.01M PBS, PH 7.4 -
產品提供形式:Liquid
-
應用范圍:ELISA, IHC, IF
-
推薦稀釋比:
Application Recommended Dilution IHC 1:50-1:200 IF 1:50-1:200 -
Protocols:
-
儲存條件:Upon receipt, store at -20°C or -80°C. Avoid repeated freeze.
-
貨期:Basically, we can dispatch the products out in 1-3 working days after receiving your orders. Delivery time maybe differs from different purchasing way or location, please kindly consult your local distributors for specific delivery time.
-
用途:For Research Use Only. Not for use in diagnostic or therapeutic procedures.
相關產品
靶點詳情
-
功能:Associates with IL12RB1 to form the interleukin-23 receptor. Binds IL23 and mediates T-cells, NK cells and possibly certain macrophage/myeloid cells stimulation probably through activation of the Jak-Stat signaling cascade. IL23 functions in innate and adaptive immunity and may participate in acute response to infection in peripheral tissues. IL23 may be responsible for autoimmune inflammatory diseases and be important for tumorigenesis.
-
基因功能參考文獻:
- IL23R (rs10889677) polymorphism did not show any association with rheumatic heart disease in South Indian population PMID: 29985710
- Study confirms an association between IL12B and IL23R genetic polymorphism and psoriasis vulgaris (with a protective effect of minor alleles). PMID: 29454820
- The IL23R gene rs10889677 A allele confers increased risk of ankylosing spondylitis (AS) in Europeans, but its role in Asian populations needs further exploration. PMID: 29198991
- these findings suggest that the variants +2199 A/C IL-23R and -197 G/A IL-17A could contribute to rheumatoid arthritis development in the studied population PMID: 28547498
- Data show that interleukin-23 receptor (IL-23R) single nucleotide polymorphism (SNP) rs11465817 contributes to the risk of recurrent oral ulceration (ROU) in Chinese. PMID: 29169427
- Findings indicate that IL17A -197 G/A and IL23R H3Q are not associated with susceptibility to MM. However, IL-17 and IL-23R polymorphisms may affect severity, bone lesions, and extra-medullary disease in patients with MM. PMID: 28786198
- This study provides evidence for three alcohol-induced ONFH susceptibility genes (NOS3, ABCB1 and IL23R) in Chinese males and polymorphisms of them may be associated with alcohol-induced ONFH risk. PMID: 28422712
- genetic association studies in population in southwest China: Data suggest that SNPs in STAT4 (rs7574865), IL23R (rs11209032), and STAT3 (rs744166) are associated with occurrence, severity, and immunosuppressive therapy outcomes of aplastic anemia in the population studied. (STAT = signal transducer and activator of transcription) [article includes Meta-Analysis] PMID: 29330562
- Study provides a comprehensive examination of the available evidence for the association between polymorphisms in the IL-23R gene and ulcerative colitis (UC). The meta-analysis suggests that IL-23R gene polymorphisms are associated with UC susceptibility, especially in Caucasians. PMID: 27902482
- Data indicate that the interleukin-23 receptor (IL-23R) SNPs rs11209026, p.Arg381Gln; rs41313262 p.Val362Ile were not associated with susceptibility to inflammatory bowel disease (IBD) in Chinese Han population. PMID: 27765927
- Interleukin-23 receptor cytokine-binding homology region balances the ratio of Th17/Th9/Treg cells in collagen-induced arthritis. PMID: 27177334
- this meta-analysis suggests that each allele of IL-23R, including rs7519847, rs17375018 and rs11209032 was negatively associated with uveitis; however, homozygote models, including the rs17375018 GG genotype and rs11209032 AA genotype, were significantly associated with uveitis PMID: 28558665
- an evaluation of what is currently known about the protective role of R381Q variant in IL-23R gene in immune-based diseases (Review). PMID: 27043356
- Th17 cells expressed consistent high levels of the IL-12Rbeta1 subunit, which appeared a better predictor of responsiveness to IL-23 than the expression of the IL-23R subunit. PMID: 27645493
- We conclude that variants in IL-23A and IL-23R genes were associated with the risk of multiple sclerosis or other inflammatory demyelinating diseases. PMID: 27893410
- IL-23 R (rs7517847) and LEP (rs7799039) polymorphisms were associated with an increased risk but not affecting the clinical presentation of HCC among Egyptian patients PMID: 28452232
- In a Turkish population, IL23R polymorphism is a risk factor for UC and is protective against CD. PMID: 27852544
- The current study emphasizes the lack of association of IL23R and IL17 polymorphisms with rheumatoid arthritis susceptibility in the Algerian population. However, the data showed the relationship between IL23R and IL17A polymorphisms and the production of the different RF isotypes in rheumatoid arthritis patients PMID: 27606475
- Haplotype of non-synonymous IL-23R variants increase susceptibility to severe malarial anemia in children of a holoendemic P. falciparum transmission area. PMID: 28427357
- there is a positive association between the GWAS reported rs3762318 and leprosy, and SLC35D1 and IL23R might be the causal genes PMID: 27712858
- this study identified susceptibility single nucleotide polymorphisms in IL23R with Behcet's disease in Han Chinese PMID: 27464962
- HLA-B51 is a primary association marker in predisposition to Behcet disease, with IL-23R and IL12A being the additional strongest loci. PMID: 27548383
- Study identified a possible silencer downstream of IL23R that includes the ankylosing spondylitis (AS)-associated SNP rs924080, which appears to modulate the functional effects of this regulatory element; confirmed the primary association of AS with rs11209032 in this region, but suggest that there could be a possible additional effect from rs924080 in a putative silencer on the same haplotype. PMID: 28381868
- Study demonstrated susceptible or protective character of the investigated IL23R SNPs on the phenotype of ulcerative colitis, confirming the genetic association. PMID: 28210080
- In ankylosing spondylitis, conditional analysis identified rs11209032 as the probable causal single-nucleotide polymorphism within a 1.14 kb putative enhancer between IL23R and IL12RB2. The rs11209032 single-nucleotide polymorphism downstream of IL23R forms part of an enhancer, allelic variation of which may influence Th1-cell numbers. PMID: 26916345
- Results did not show any strong association between IL-23R polymorphisms and juvenile idiopathic arthritis or serum IL-17A levels in Iranian patients. PMID: 26016922
- The results of this case-control study suggest that IL-12A, IL-12B, IL12RB1, IL12RB2 and IL23R make no genetic contribution to the susceptibility of Takayasu arteritis in Chinese populations PMID: 26987707
- this study shows a lack of association of the IL-23 single nucleotide polymorphisms with the risk of acute lymphoblastic leukemia in Iran PMID: 28341819
- The interleukin-23 receptor gene polymorphism may not contribute to the susceptibility of development of primary immune thrombocytopenia in Egyptian children. PMID: 26859125
- this study shows that there is no significant difference in mucosal IL-23R expression in Ulcerative Colitis patients with moderate-to-severe disease activity compared to those in remission PMID: 27178149
- In this study, we were unable to establish a correlation between the IL-23R SNPs investigated and HLA-B27-associated acute anterior uveitis as well as idiopathic intermediate uveitis. PMID: 27009486
- These results suggest that IL23R may contribute to the development of intracerebral hemorrhage. PMID: 26846416
- The association of IL-23R and Ankylosing Spondylitis (AS) that is seen in Caucasian patients with AS is not present in Chinese patients with AS. PMID: 27650612
- Differential splicing generates antagonistic soluble IL-23R (sIL-23R) variants, which might limit IL-23-mediated immune responses. Here, ectodomain shedding of IL-23R was identified as an alternative pathway for the generation of sIL-23R. PMID: 26961870
- genetic polymorphism is associated with psoriasis in the South Indian Tamils PMID: 26472011
- A significant association was found between all Crohn's disease and the rs7517847 polymorphism, especially in Caucasians. PMID: 26678098
- The IL23R polymorphisms rs10889677, rs7517847, and the IL12B polymorphism rs3212227 are not associated with multiple sclerosis risk. PMID: 26000455
- results suggest a convergent cause of IL23Ralpha variant protection against chronic inflammatory disease. PMID: 26887945
- meta-analysis supports that two polymorphisms (rs11209026 and rs7517847) in the IL-23 gene may be considered to be protective factors against developing UC among Caucasian populations. PMID: 25497273
- The results of the current study disclosers1343151 variant of IL23R as a susceptibility gene in CD. PMID: 25561320
- Lower LCN2 levels in Crohn's Disease patients carrying IBD risk-increasing IL23R variants may result from a restricted upregulation of LCN2 due to an impaired Th17 immune response PMID: 26263469
- IL23 receptor single nucleotide polymorphisms and gene copy number variation are associated with susceptibility to pulmonary tuberculosis in Chinese Uygurs. PMID: 26626589
- These results indicated an association between the rs11209026 G>A polymorphism of the IL-23 receptor gene and the risk of atherosclerosis. PMID: 26261042
- Low-Frequency IL23R Coding Variant is Associated with Crohn's Disease Susceptibility. PMID: 26375822
- R381Q polymorphism in IL-23 receptor may be a predisposing allele for asthma. PMID: 26547706
- GG genotype of the rs17375018 variant in the IL-23R gene enhances pro-inflammatory cytokine responses in Behcet's Disease. PMID: 26222305
- it is concluded that the frequency of single nucleotide polymorphism in the IL-23 receptor (R381Q) in patients with recurrent spontaneous abortion (RSA) is less than that found in normal control women. PMID: 26269135
- review and meta-analysis of association of polymorphisms rs6682925, rs10889677 and rs1884444 with cancer risk PMID: 26717375
- Copy number variation of exon 11 in IL-23R is associated with pulmonary tuberculosis in the Chinese Uygur population. PMID: 26829744
- IL-17A and IL-23R gene polymorphism were not associated with acute myeloid leukemia susceptibility. PMID: 26191290
顯示更多
收起更多
-
相關疾?。?/div>Inflammatory bowel disease 17 (IBD17)亞細胞定位:Cell membrane; Single-pass type I membrane protein.蛋白家族:Type I cytokine receptor family, Type 2 subfamily組織特異性:Expressed by monocytes, Th1, Th0, NK and dendritic cells. Isoform 1 is specifically expressed in NK cells.數據庫鏈接:
Most popular with customers
-
-
YWHAB Recombinant Monoclonal Antibody
Applications: ELISA, WB, IHC, IF, FC
Species Reactivity: Human, Mouse, Rat
-
Phospho-YAP1 (S127) Recombinant Monoclonal Antibody
Applications: ELISA, WB, IHC
Species Reactivity: Human
-
-
-
-
-















