HMGCS2 Recombinant Monoclonal Antibody
-
中文名稱:HMGCS2重組抗體
-
貨號:CSB-RA693900A0HU
-
規格:¥1320
-
圖片:
-
Western Blot
Positive WB detected in: A549 whole cell lysate, Ntera-2 whole cell lysate
All lanes: HMGCS2 antibody at 1:500
Secondary
Goat polyclonal to rabbit IgG at 1/50000 dilution
Predicted band size: 57, 53, 51 kDa
Observed band size: 55 kDa -
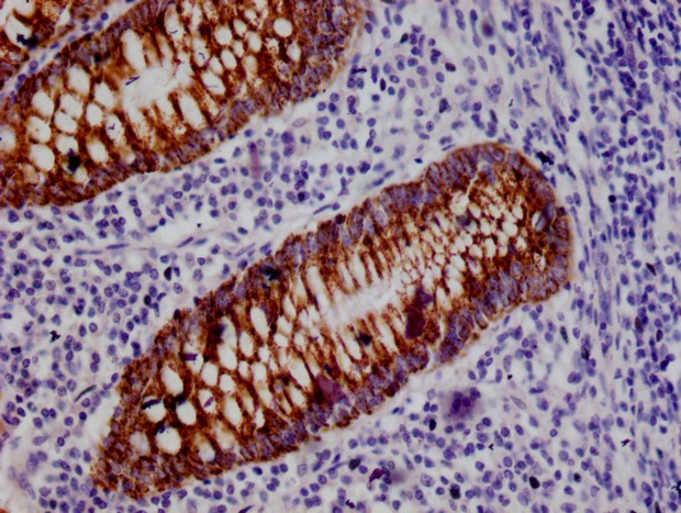
IHC image of CSB-RA693900A0HU diluted at 1:100 and staining in paraffin-embedded human small intestine tissue performed on a Leica BondTM system. After dewaxing and hydration, antigen retrieval was mediated by high pressure in a citrate buffer (pH 6.0). Section was blocked with 10% normal goat serum 30min at RT. Then primary antibody (1% BSA) was incubated at 4°C overnight. The primary is detected by a Goat anti-rabbit polymer IgG labeled by HRP and visualized using 0.05% DAB.
-
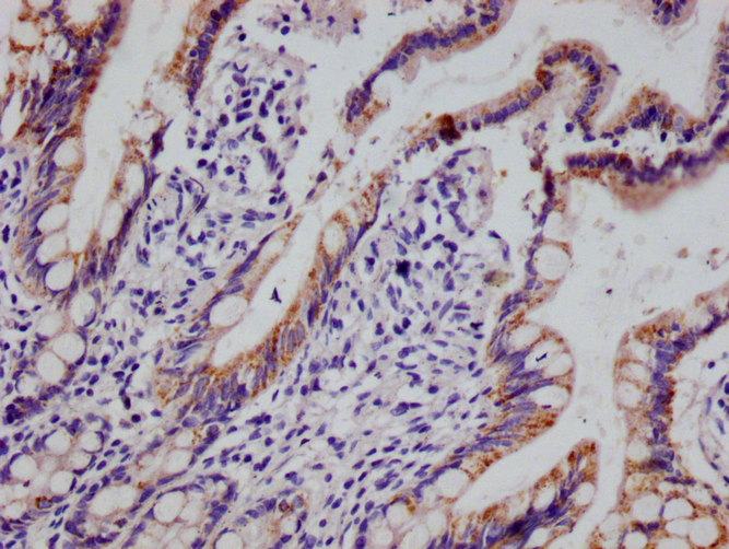
IHC image of CSB-RA693900A0HU diluted at 1:100 and staining in paraffin-embedded human appendix tissue performed on a Leica BondTM system. After dewaxing and hydration, antigen retrieval was mediated by high pressure in a citrate buffer (pH 6.0). Section was blocked with 10% normal goat serum 30min at RT. Then primary antibody (1% BSA) was incubated at 4°C overnight. The primary is detected by a Goat anti-rabbit polymer IgG labeled by HRP and visualized using 0.05% DAB.
-
-
其他:
產品詳情
-
產品描述:CSB-RA693900A0HU HMGCS2重組單克隆抗體是針對線粒體酶3-羥基-3-甲基戊二酰輔酶A合成酶2(HMGCS2)開發的高特異性科研工具。HMGCS2是酮體生成途徑中的限速酶,參與調控肝臟能量代謝穩態,其表達異常與代謝性疾病、神經系統疾病及腫瘤發生相關。本抗體經ELISA、Western Blot(WB)和免疫組化(IHC)多平臺驗證,在WB實驗中呈現清晰單一目標條帶,推薦使用稀釋度為1:500-1:2000;IHC應用顯示優異的組織定位能力,建議稀釋比為1:50-1:200。其重組單克隆特性確保了批次間的高度一致性,適用于檢測人類樣本中HMGCS2的蛋白表達水平及亞細胞定位分析。該產品可廣泛應用于代謝重編程機制研究、肝臟或腎臟疾病模型中的能量代謝評估,以及腫瘤微環境與細胞代謝互作等基礎研究領域,為探索HMGCS2在生理病理過程中的分子調控網絡提供可靠檢測工具。
-
Uniprot No.:
-
基因名:
-
別名:Hydroxymethylglutaryl-CoA synthase, mitochondrial (HMG-CoA synthase) (EC 2.3.3.10) (3-hydroxy-3-methylglutaryl coenzyme A synthase), HMGCS2
-
反應種屬:Human
-
免疫原:A synthesized peptide derived from human HMGCS2
-
免疫原種屬:Homo sapiens (Human)
-
標記方式:Non-conjugated
-
克隆類型:Monoclonal
-
抗體亞型:Rabbit IgG
-
純化方式:Affinity-chromatography
-
克隆號:19C11
-
濃度:It differs from different batches. Please contact us to confirm it.
-
保存緩沖液:Rabbit IgG in 10mM phosphate buffered saline , pH 7.4, 150mM sodium chloride, 0.05% BSA, 0.02% sodium azide and 50% glycerol.
-
產品提供形式:Liquid
-
應用范圍:ELISA, WB, IHC
-
推薦稀釋比:
Application Recommended Dilution WB 1:500-1:2000 IHC 1:50-1:200 -
Protocols:
-
儲存條件:Upon receipt, store at -20°C or -80°C. Avoid repeated freeze.
-
貨期:Basically, we can dispatch the products out in 1-3 working days after receiving your orders. Delivery time maybe differs from different purchasing way or location, please kindly consult your local distributors for specific delivery time.
-
用途:For Research Use Only. Not for use in diagnostic or therapeutic procedures.
相關產品
靶點詳情
-
功能:Catalyzes the first irreversible step in ketogenesis, condensing acetyl-CoA to acetoacetyl-CoA to form HMG-CoA, which is converted by HMG-CoA reductase (HMGCR) into mevalonate.
-
基因功能參考文獻:
- several nutrients as well as specific nutritional related hormonal conditions are able to affect significantly HMGCS2 gene expression. PMID: 28888048
- miR-107-mediated decrease of HMGCS2 indicates poor outcomes and promotes cell migration in hepatocellular carcinoma PMID: 28867541
- this studies demonstrate that HMGCS2 functions as a transcriptional factor that binds to peroxisome proliferator-activated receptor alpha (PPARalpha), resulting in Src expression and activation in a metabolically independent manner PMID: 27816970
- HMGCS2 shares with ketone bodies common features in autophagic clearance of APP, suggesting that ketone bodies play an important role in HMGCS2 regulation of the autophagy. PMID: 28320515
- High expression of either HSD17B2 or HMGCS2 predicted poor susceptibility of rectal cancer to preoperative chemoradiotherapy. PMID: 25929810
- FABP7 and HMGCS2 may have roles in apocrine differentiation categorizing apocrine carcinoma of the breast PMID: 25389781
- In Fe-S cluster-deficient muscles, results show a dramatic up-regulation of the ketogenic enzyme HMGCS2 and the secreted protein FGF21 (fibroblast growth factor 21). PMID: 23943793
- Human HMGCS2 regulates mitochondrial fatty acid oxidation and FGF21 expression PMID: 21502324
- Ketogenesis is an undesirable metabolic characteristic of the proliferating cell, which is down-regulated through c-Myc-mediated repression of the key metabolic gene HMGCS2. PMID: 16940161
顯示更多
收起更多
-
相關疾病:3-hydroxy-3-methylglutaryl-CoA synthase-2 deficiency (HMGCS2D)
-
亞細胞定位:Mitochondrion.
-
蛋白家族:HMG-CoA synthase family
-
組織特異性:Expression in liver is 200-fold higher than in any other tissue. Low expression in colon, kidney, testis, and pancreas. Very low expression in heart and skeletal muscle. Not detected in brain.; [Isoform 3]: Highest expression detected in heart and skeleta
-
數據庫鏈接:
Most popular with customers
-
Phospho-YAP1 (S127) Recombinant Monoclonal Antibody
Applications: ELISA, WB, IHC
Species Reactivity: Human
-
-
-
-
-
-
-















