HLA-DRB1 Recombinant Monoclonal Antibody
-
中文名稱:HLA-DRB1 Recombinant Monoclonal Antibody
-
貨號:CSB-RA260175A0HU
-
規格:¥1320
-
圖片:
-
Western Blot
, Positive WB detected in:Raji whole cell lysate(30μg), A375 whole cell lysate(30μg)
All lanes: HLA DRB1 antibody at 1:1000
Secondary
Goat polyclonal to rabbit IgG at 1/40000 dilution
Predicted band size: 30 kDa
Observed band size: 30 kDa
Exposure time:180s -
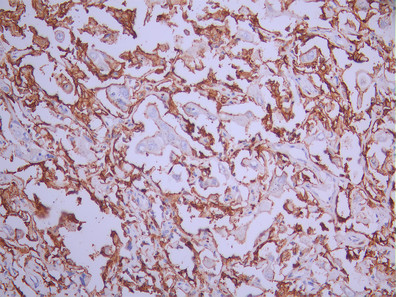
IHC image of CSB-RA260175A0HU diluted at 1:100 and staining in paraffin-embedded human lung tissue performed on a Leica BondTM system. After dewaxing and hydration, antigen retrieval was mediated by high pressure in a citrate buffer (pH 6.0). Section was blocked with 10% normal goat serum 30min at RT. Then primary antibody (1% BSA) was incubated at 4°C overnight. The primary is detected by a Goat anti-rabbit polymer IgG labeled by HRP and visualized using 0.05% DAB.
-
IHC image of CSB-RA260175A0HU diluted at 1:100 and staining in paraffin-embedded human cervical cancer performed on a Leica BondTM system. After dewaxing and hydration, antigen retrieval was mediated by high pressure in a citrate buffer (pH 6.0). Section was blocked with 10% normal goat serum 30min at RT. Then primary antibody (1% BSA) was incubated at 4°C overnight. The primary is detected by a Goat anti-rabbit polymer IgG labeled by HRP and visualized using 0.05% DAB.
-
-
其他:
產品詳情
-
Uniprot No.:
-
基因名:
-
別名:2B1F_HUMAN; DR1; DR16; DR5; DR8; DRB1; DRw10; DW2.2/DR2.2; FLJ75017; FLJ76359; HLA class II antigen beta chain; HLA class II histocompatibility antigen; DR-1 beta chain; HLA class II histocompatibility antigen; DRB1-15 beta chain; HLA-DR-beta 1; HLA-DR1B; HLA-DRB; HLA-DRB1; human leucocyte antigen DRB1; Leucocyte antigen DR beta 1 chain; leucocyte antigen DRB1; lymphocyte antigen DRB1; major histocompatibility complex; class II; DR beta 1; MHC class II antigen; MHC class II antigen DRB1*15; MHC class II antigen HLA-DR13; MHC class II HLA-DR beta 1 chain; MHC class II HLA-DR-beta cell surface glycoprotein; MHC class II HLA-DRw10-beta; SS1
-
反應種屬:Human
-
免疫原:A synthesized peptide from human HLA-DRB1 protein
-
免疫原種屬:Homo sapiens (Human)
-
標記方式:Non-conjugated
-
克隆類型:Monoclonal
-
抗體亞型:Rabbit IgG
-
純化方式:Affinity-chromatography
-
克隆號:2B11
-
濃度:It differs from different batches. Please contact us to confirm it.
-
保存緩沖液:Rabbit IgG in 10mM phosphate buffered saline , pH 7.4, 150mM sodium chloride, 0.05% BSA, 0.02% sodium azide and 50% glycerol.
-
產品提供形式:Liquid
-
應用范圍:ELISA, WB, IHC
-
推薦稀釋比:
Application Recommended Dilution WB 1:500-1:5000 IHC 1:50-1:200 -
Protocols:
-
儲存條件:Upon receipt, store at -20°C or -80°C. Avoid repeated freeze.
-
貨期:Basically, we can dispatch the products out in 1-3 working days after receiving your orders. Delivery time maybe differs from different purchasing way or location, please kindly consult your local distributors for specific delivery time.
-
用途:For Research Use Only. Not for use in diagnostic or therapeutic procedures.
相關產品
靶點詳情
-
功能:A beta chain of antigen-presenting major histocompatibility complex class II (MHCII) molecule. In complex with the alpha chain HLA-DRA, displays antigenic peptides on professional antigen presenting cells (APCs) for recognition by alpha-beta T cell receptor (TCR) on HLA-DRB1-restricted CD4-positive T cells. This guides antigen-specific T-helper effector functions, both antibody-mediated immune response and macrophage activation, to ultimately eliminate the infectious agents and transformed cells. Typically presents extracellular peptide antigens of 10 to 30 amino acids that arise from proteolysis of endocytosed antigens in lysosomes. In the tumor microenvironment, presents antigenic peptides that are primarily generated in tumor-resident APCs likely via phagocytosis of apoptotic tumor cells or macropinocytosis of secreted tumor proteins. Presents peptides derived from intracellular proteins that are trapped in autolysosomes after macroautophagy, a mechanism especially relevant for T cell selection in the thymus and central immune tolerance. The selection of the immunodominant epitopes follows two processing modes: 'bind first, cut/trim later' for pathogen-derived antigenic peptides and 'cut first, bind later' for autoantigens/self-peptides. The anchor residue at position 1 of the peptide N-terminus, usually a large hydrophobic residue, is essential for high affinity interaction with MHCII molecules.; Allele DRB1*01:01: Displays an immunodominant epitope derived from Bacillus anthracis pagA/protective antigen, PA (KLPLYISNPNYKVNVYAVT), to both naive and PA-specific memory CD4-positive T cells. Presents immunodominant HIV-1 gag peptide (FRDYVDRFYKTLRAEQASQE) on infected dendritic cells for recognition by TRAV24-TRBV2 TCR on CD4-positive T cells and controls viral load. May present to T-helper 1 cells several HRV-16 epitopes derived from capsid proteins VP1 (PRFSLPFLSIASAYYMFYDG) and VP2 (PHQFINLRSNNSATLIVPYV), contributing to viral clearance. Displays commonly recognized peptides derived from IAV external protein HA (PKYVKQNTLKLAT and SNGNFIAPEYAYKIVK) and from internal proteins M, NP and PB1, with M-derived epitope (GLIYNRMGAVTTEV) being the most immunogenic. Presents a self-peptide derived from COL4A3 (GWISLWKGFSF) to TCR (TRAV14 biased) on CD4-positive, FOXP3-positive regulatory T cells and mediates immune tolerance to self. May present peptides derived from oncofetal trophoblast glycoprotein TPBG 5T4, known to be recognized by both T-helper 1 and regulatory T cells. Displays with low affinity a self-peptide derived from MBP (VHFFKNIVTPRTP).; Allele DRB1*03:01: May present to T-helper 1 cells an HRV-16 epitope derived from capsid protein VP2 (NEKQPSDDNWLNFDGTLLGN), contributing to viral clearance. Displays self-peptides derived from retinal SAG (NRERRGIALDGKIKHE) and thyroid TG (LSSVVVDPSIRHFDV). Presents viral epitopes derived from HHV-6B gH/U48 and U85 antigens to polyfunctional CD4-positive T cells with cytotoxic activity implicated in control of HHV-6B infection. Presents several immunogenic epitopes derived from C. tetani neurotoxin tetX, playing a role in immune recognition and long-term protection.; Allele DRB1*04:01: Presents an immunodominant bacterial epitope derived from M. tuberculosis esxB/culture filtrate antigen CFP-10 (EISTNIRQAGVQYSR), eliciting CD4-positive T cell effector functions such as IFNG production and cytotoxic activity. May present to T-helper 1 cells an HRV-16 epitope derived from capsid protein VP2 (NEKQPSDDNWLNFDGTLLGN), contributing to viral clearance. Presents tumor epitopes derived from melanoma-associated TYR antigen (QNILLSNAPLGPQFP and DYSYLQDSDPDSFQD), triggering CD4-positive T cell effector functions such as GMCSF production. Displays preferentially citrullinated self-peptides derived from VIM (GVYATR/citSSAVR and SAVRAR/citSSVPGVR) and ACAN (VVLLVATEGR/ CitVRVNSAYQDK). Displays self-peptides derived from COL2A1.; Allele DRB1*04:02: Displays native or citrullinated self-peptides derived from VIM.; Allele DRB1*04:04: May present to T-helper 1 cells several HRV-16 epitopes derived from capsid proteins VP1 (HIVMQYMYVPPGAPIPTTRN) and VP2 (RGDSTITSQDVANAVVGYGV), contributing to viral clearance. Displays preferentially citrullinated self-peptides derived from VIM (SAVRAR/citSSVPGVR).; Allele DRB1*04:05: May present to T-helper 1 cells an immunogenic epitope derived from tumor-associated antigen WT1 (KRYFKLSHLQMHSRKH), likely providing for effective antitumor immunity in a wide range of solid and hematological malignancies.; Allele DRB1*05:01: Presents an immunodominant HIV-1 gag peptide (FRDYVDRFYKTLRAEQASQE) on infected dendritic cells for recognition by TRAV24-TRBV2 TCR on CD4-positive T cells and controls viral load.; Allele DRB1*07:01: Upon EBV infection, presents latent antigen EBNA2 peptide (PRSPTVFYNIPPMPLPPSQL) to CD4-positive T cells, driving oligoclonal expansion and selection of a dominant virus-specific memory T cell subset with cytotoxic potential to directly eliminate virus-infected B cells. May present to T-helper 1 cells several HRV-16 epitopes derived from capsid proteins VP1 (PRFSLPFLSIASAYYMFYDG) and VP2 (VPYVNAVPMDSMVRHNNWSL), contributing to viral clearance. In the context of tumor immunesurveillance, may present to T-helper 1 cells an immunogenic epitope derived from tumor-associated antigen WT1 (MTEYKLVVVGAVGVGKSALTIQLI), likely providing for effective antitumor immunity in a wide range of solid and hematological malignancies. In metastatic epithelial tumors, presents to intratumoral CD4-positive T cells a KRAS neoantigen (MTEYKLVVVGAVGVGKSALTIQLI) carrying G12V hotspot driver mutation and may mediate tumor regression.; Allele DRB1*11:01: Displays an immunodominant HIV-1 gag peptide (FRDYVDRFYKTLRAEQASQE) on infected dendritic cells for recognition by TRAV24-TRBV2 TCR on CD4-positive T cells and controls viral load. May present to T-helper 1 cells an HRV-16 epitope derived from capsid protein VP2 (SDRIIQITRGDSTITSQDVA), contributing to viral clearance. Presents several immunogenic epitopes derived from C. tetani neurotoxin tetX, playing a role in immune recognition and longterm protection. In the context of tumor immunesurveillance, may present tumor-derived neoantigens to CD4-positive T cells and trigger anti-tumor helper functions.; Allele DRB1*13:01: Presents viral epitopes derived from HHV-6B antigens to polyfunctional CD4-positive T cells implicated in control of HHV-6B infection.; Allele DRB1*15:01: May present to T-helper 1 cells an HRV-16 epitope derived from capsid protein VP2 (SNNSATLIVPYVNAVPMDSM), contributing to viral clearance. Displays a self-peptide derived from MBP (ENPVVHFFKNIVTPR). May present to T-helper 1 cells an immunogenic epitope derived from tumor-associated antigen WT1 (KRYFKLSHLQMHSRKH), likely providing for effective antitumor immunity in a wide range of solid and hematological malignancies.; Allele DRB1*15:02: Displays an immunodominant HIV-1 gag peptide (FRDYVDRFYKTLRAEQASQE) on infected dendritic cells for recognition by TRAV24-TRBV2 TCR on CD4-positive T cells and controls viral load. May present to T-helper 1 cells an immunogenic epitope derived from tumor-associated antigen WT1 (KRYFKLSHLQMHSRKH), likely providing for effective antitumor immunity in a wide range of solid and hematological malignancies.; (Microbial infection) Acts as a receptor for Epstein-Barr virus on lymphocytes.
-
亞細胞定位:Cell membrane; Single-pass type I membrane protein. Endoplasmic reticulum membrane; Single-pass type I membrane protein. Lysosome membrane; Single-pass type I membrane protein. Late endosome membrane; Single-pass type I membrane protein. Autolysosome membrane.
-
蛋白家族:MHC class II family
-
組織特異性:Expressed in professional APCs: monocyte/macrophages, dendritic cells and B cells (at protein level). Expressed in thymic epithelial cells (at protein level).
-
數據庫鏈接:
Most popular with customers
-
-
YWHAB Recombinant Monoclonal Antibody
Applications: ELISA, WB, IHC, IF, FC
Species Reactivity: Human, Mouse, Rat
-
Phospho-YAP1 (S127) Recombinant Monoclonal Antibody
Applications: ELISA, WB, IHC
Species Reactivity: Human
-
-
-
-
-















