GSTK1 Recombinant Monoclonal Antibody
-
中文名稱:GSTK1 Recombinant Monoclonal Antibody
-
貨號:CSB-RA158046A0HU
-
規格:¥1320
-
圖片:
-
Western Blot
Positive WB detected in: Jurkat whole cell lysate(30μg),SW620 whole cell lysate(30μg), Hela whole cell lysate(30μg), PC-3 whole cell lysate(30μg)
All lanes: GSTK1 antibody at 1:1000
Secondary
Goat polyclonal to rabbit IgG at 1/40000 dilution
Predicted band size: 25 kDa
Observed band size: 25 kDa
Exposure time:3min -
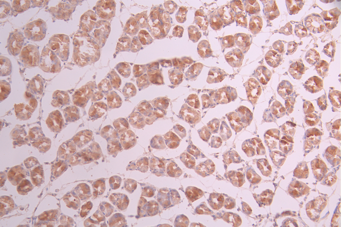
IHC image of CSB-RA158046A0HU diluted at 1:100 and staining in paraffin-embedded human stomach tissue performed on a Leica BondTM system. After dewaxing and hydration, antigen retrieval was mediated by high pressure in a citrate buffer (pH 6.0). Section was blocked with 10% normal goat serum 30min at RT. Then primary antibody (1% BSA) was incubated at 4°C overnight. The primary is detected by a Goat anti-rabbit polymer IgG labeled by HRP and visualized using 0.05% DAB.
-
-
其他:
產品詳情
-
Uniprot No.:
-
基因名:
-
別名:EC 2.5.1.18 antibody; Glutathione S Transferase kappa 1 antibody; Glutathione S transferase subunit 13 antibody; Glutathione S-transferase k1 antibody; Glutathione S-transferase kappa 1 antibody; Glutathione S-transferase subunit 13 antibody; Glutathione S-transferase subunit 13 homolog antibody; GST 13 13 antibody; GST 13-13 antibody; GST antibody; GST class kappa antibody; GST class-kappa antibody; GST13 antibody; GST13-13 antibody; GSTK1 1 antibody; Gstk1 antibody; GSTK1-1 antibody; GSTK1_HUMAN antibody; hGSTK1 antibody
-
反應種屬:Human
-
免疫原:A synthesized peptide derived from human GSTK1
-
免疫原種屬:Homo sapiens (Human)
-
標記方式:Non-conjugated
-
克隆類型:Monoclonal
-
抗體亞型:Rabbit IgG
-
純化方式:Affinity-chromatography
-
克隆號:9E5
-
濃度:It differs from different batches. Please contact us to confirm it.
-
保存緩沖液:Rabbit IgG in 10mM phosphate buffered saline , pH 7.4, 150mM sodium chloride, 0.05% BSA, 0.02% sodium azide and 50% glycerol.
-
產品提供形式:Liquid
-
應用范圍:ELISA, WB, IHC
-
推薦稀釋比:
Application Recommended Dilution WB 1:500-1:2000 IHC 1:50-1:200 -
Protocols:
-
儲存條件:Upon receipt, store at -20°C or -80°C. Avoid repeated freeze.
-
貨期:Basically, we can dispatch the products out in 1-3 working days after receiving your orders. Delivery time maybe differs from different purchasing way or location, please kindly consult your local distributors for specific delivery time.
-
用途:For Research Use Only. Not for use in diagnostic or therapeutic procedures.
相關產品
靶點詳情
-
功能:Significant glutathione conjugating activity is found only with the model substrate, 1-chloro-2,4-dinitrobenzene (CDNB).
-
基因功能參考文獻:
- Several biological properties of the GST-hNdCTR1 fusion protein were assessed. It was demonstrated that in cells, the protein was prone to oligomerization, formed inclusion bodies and displayed no toxicity. Treatment of E. coli cells with copper and silver ions reduced cell viability in a dose- and time-dependent manner PMID: 29099786
- we confirmed several existing chemoinformatic filters and more importantly extended them as well as added novel filters that specify compounds with anti-GST/GSH activity. Selected compounds were also tested using different antibody-based GST detection technologies and exhibited no interference clearly demonstrating specificity toward their GST/GSH interaction. PMID: 27044684
- Our findings indicate that the medical staff exposed to low IR levels were under risk of significant oxidative stress that was enhanced by their glutathione S-transferase (GST) polymorphisms. PMID: 28287017
- GSTK1 T/T genotype may be a novel risk factor for the prediction of overweight status in SCZ male patients. PMID: 27010189
- High glutathione-S-transferase is associated with type 2 diabetes mellitus. PMID: 27377684
- DsbA-L is localized in both the mitochondria and the endoplasmic reticulum (ER) in adipocytes; its ER localization plays a critical role in suppressing ER stress and promoting adiponectin biosynthesis and secretion. PMID: 25739441
- we have optimized the GST-Nck1-SH2 pull-down procedure to obtain tyrosine-phosphorylated proteins in tumor tissues PMID: 23426619
- drug resistance in three strains of tumor cells is associated with significant increase in hGSTP1 and hGSTA4 gene expression, whereas increased hGSTK1 gene expression was detected only in resistant erythroleukemia and mammary adenocarcinoma cells. PMID: 23330092
- This study does not give evidence of interaction between the GST polymorphisms and smoking may although this study provided sufficient statistical power to detect modest interaction. PMID: 20472488
- SNP-1308G/T (rs1917760) genotypes of DsbA-L gene might participate in insulin secretion and body fat distribution. It is possible that polymorphisms of DsbA-L gene associated with metabolic diseases[DsbA-L] PMID: 19225211
- structure and function characterization of a GST from human breast PMID: 14709161
- Gene and protein characterization; its subcellular localization in peroxisomes, suggesting a new function for this family of enzymes [glutathione S-transferase kappa (hGSTK1)] PMID: 14742434
- crystal structure of hGSTK1 has been determined by the multiple-isomorphous replacement method and refined to 1.93 A resolution PMID: 16081649
- Our results suggest that genetic polymorphisms of xenobiotic-metabolizing enzymes could play an important role in infertility. PMID: 18774560
- The objective of this study was to investigate the molecular mechanisms underlying Group B Streptococcus-human umbilical vein endothelial cells interaction, focusing specifically on the responsiveness of host protein tyrosine kinase (PTK). PMID: 19639233
- Observational study of gene-disease association. (HuGE Navigator) PMID: 19225211
- Observational study of gene-disease association. (HuGE Navigator) PMID: 17601350
- Presence of hGSTK1 in both peroxisomes and mitochondria. The C-terminus of hGSTK1 is essential for localization of the protein to peroxisomes, and the C-terminal sequence Ala-Arg-Leu represents a peroxisome targeting signal 1 (PTS1). PMID: 14742434
顯示更多
收起更多
-
亞細胞定位:Peroxisome.
-
蛋白家族:GST superfamily, Kappa family
-
組織特異性:Ubiquitous.
-
數據庫鏈接:
Most popular with customers
-
-
YWHAB Recombinant Monoclonal Antibody
Applications: ELISA, WB, IHC, IF, FC
Species Reactivity: Human, Mouse, Rat
-
Phospho-YAP1 (S127) Recombinant Monoclonal Antibody
Applications: ELISA, WB, IHC
Species Reactivity: Human
-
-
-
-
-















