GORASP1 Recombinant Monoclonal Antibody
-
中文名稱:GORASP1 Recombinant Monoclonal Antibody
-
貨號:CSB-RA223163A0HU
-
規格:¥1320
-
圖片:
-
Western Blot
Positive WB detected in: HEK293 whole cell lysate(30μg)
All lanes: GORASP1 antibody at 1:1000
Secondary
Goat polyclonal to rabbit IgG at 1/50000 dilution
Predicted band size: 46 kDa
Observed band size: 65 kDa
Exposure time: 3min -
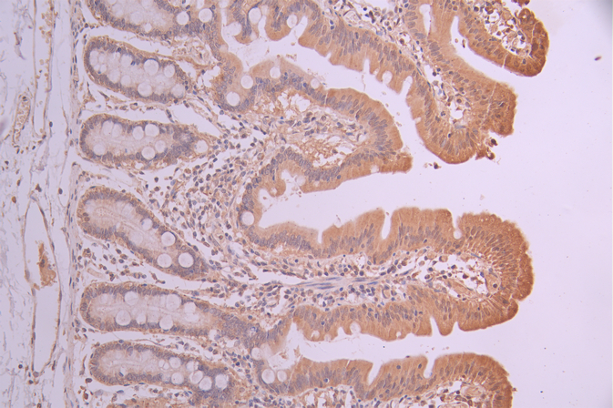
IHC image of CSB-RA223163A0HU diluted at 1:100 and staining in paraffin-embedded human small intestine tissue performed on a Leica BondTM system. After dewaxing and hydration, antigen retrieval was mediated by high pressure in a citrate buffer (pH 6.0). Section was blocked with 10% normal goat serum 30min at RT. Then primary antibody (1% BSA) was incubated at 4°C overnight. The primary is detected by a Goat anti-rabbit polymer IgG labeled by HRP and visualized using 0.05% DAB.
-
Overlay Peak curve showing A431 cells stained with CSB-RA223163A0HU (red line) at 1:100. The cells were fixed in 4% formaldehyde and permeated by 0.2% TritonX-100 for 10min. Then 10% normal goat serum to block non-specific protein-protein interactions followed by the antibody (1ug/1*106cells) for 45min at 4℃. The secondary antibody used was FITC-conjugated goat anti-rabbit IgG (H+L) at 1/200 dilution for 35min at 4℃.Control antibody (green line) was Rabbit IgG (1ug/1*106cells) used under the same conditions. Acquisition of >10,000 events was performed.
-
-
其他:
產品詳情
-
Uniprot No.:
-
基因名:
-
別名:FLJ23443 antibody; Golgi peripheral membrane protein p65 antibody; Golgi phosphoprotein 5 antibody; Golgi reassembly and stacking protein 1 antibody; Golgi reassembly and stacking protein 65 kDa antibody; Golgi reassembly and stacking protein, 65-kD antibody; Golgi reassembly stacking protein 1 65kDa antibody; Golgi reassembly stacking protein 1 antibody; Golgi reassembly stacking protein of 65 kDa antibody; Golgi reassembly-stacking protein 1 antibody; Golgi reassembly-stacking protein of 65 kDa antibody; GOLPH 5 antibody; GOLPH5 antibody; Gorasp 1 antibody; GORASP1 antibody; GORS1_HUMAN antibody; GRASP 65 antibody; GRASP65 antibody; MGC118894 antibody; MGC118897 antibody; P65 antibody
-
反應種屬:Human
-
免疫原:A synthesized peptide derived from human GORASP1
-
免疫原種屬:Homo sapiens (Human)
-
標記方式:Non-conjugated
-
克隆類型:Monoclonal
-
抗體亞型:Rabbit IgG
-
純化方式:Affinity-chromatography
-
克隆號:11D3
-
濃度:It differs from different batches. Please contact us to confirm it.
-
保存緩沖液:Rabbit IgG in 10mM phosphate buffered saline , pH 7.4, 150mM sodium chloride, 0.05% BSA, 0.02% sodium azide and 50% glycerol.
-
產品提供形式:Liquid
-
應用范圍:ELISA, WB, IHC, FC
-
推薦稀釋比:
Application Recommended Dilution WB 1:500-1:2000 IHC 1:50-1:200 FC 1:50-1:200 -
Protocols:
-
儲存條件:Upon receipt, store at -20°C or -80°C. Avoid repeated freeze.
-
貨期:Basically, we can dispatch the products out in 1-3 working days after receiving your orders. Delivery time maybe differs from different purchasing way or location, please kindly consult your local distributors for specific delivery time.
-
用途:For Research Use Only. Not for use in diagnostic or therapeutic procedures.
相關產品
靶點詳情
-
功能:Plays an important role in assembly and membrane stacking of the Golgi cisternae, and in the reassembly of Golgi stacks after breakdown during mitosis. Key structural protein required for the maintenance of the Golgi apparatus integrity: its caspase-mediated cleavage is required for fragmentation of the Golgi during apoptosis. Also mediates, via its interaction with GOLGA2/GM130, the docking of transport vesicles with the Golgi membranes. Mediates ER stress-induced unconventional (ER/Golgi-independent) trafficking of core-glycosylated CFTR to cell membrane.
-
基因功能參考文獻:
- In situ proximity ligation assays of Golgi localization of alpha-mannosidase IA at giantin versus GM130-GRASP65 site, and absence or presence of N-glycans terminated with alpha3-mannose on trans-Golgi glycosyltransferases may be useful for distinguishing indolent from aggressive prostate cancer cells. PMID: 28782625
- Results demonstrate a critical role for GRASP55 and GRASP65 in maintaining the stacked structure of the Golgi, which is required for accurate posttranslational modifications in the Golgi. Additionally, the GRASP knockout cell lines developed in this study will be useful tools for studying the role of GRASP proteins in other important cellular processes. PMID: 28814501
- The authors determined that Golgi membrane ribbon fragmentation increased during the early cytoplasmic phase of cytomegalovirus virion assembly and that Golgi membrane fragmentation in infected cells was dependent on the phosphorylation of an integral cis-Golgi protein, Grasp65. PMID: 27703074
- In cells, Mena and actin were required for Golgi ribbon formation after nocodazole washout; in vitro, Mena and microfilaments enhanced GRASP65 oligomerization and Golgi membrane fusion. Thus Mena interacts with GRASP65 to promote local actin polymerization, which facilitates Golgi ribbon linking. PMID: 26538023
- Mutagenesis experiments support these structural observations and demonstrate that they are required for GRASP65-GM130 association. PMID: 26363069
- Cisternal-specific functions of GRASP65 and GRASP55 in continuity, compartmentalization, and function of the Golgi ribbon. PMID: 24227884
- propose that GRASP55/65 are negative regulators of exocytic transport and that this slowdown helps to ensure more complete protein glycosylation in the Golgi stack and proper sorting at the trans-Golgi network PMID: 23552074
- The C-terminal fragments of GRASP65 produced following caspase cleavage are targeted to mitochondria, and ectopic expression of these sensitises HeLa cells to Fas ligand. PMID: 21368855
- the mechanism of phosphoinhibition as direct inhibition by PLK1 of the PDZ ligand underlying the GRASP65 self-interaction. PMID: 20937827
- GRASP65 has a role in Golgi cisternal stacking and cell cycle progression PMID: 20214750
- These results demonstrate that GRASP55 and GRASP65 stack mammalian Golgi cisternae via a common mechanism. PMID: 20083603
- Data demonstrate that both GRASP55 and 65 are needed for the efficient transport to and through the Golgi complex, thus highlighting a novel role for the GRASPs in membrane trafficking. PMID: 19840934
- the GRASP domain alone of GRASP65 inhibits mitotic fragmentation of the Golgi apparatus PMID: 15576368
- GRASP65 may function as a signal integrator controlling the cell growth PMID: 15834132
- GRASP65 has a role in the regulation of spindle dynamics rather than a direct role in the stacking of Golgi cisternae PMID: 15888544
- Ribbon formation requires the Golgi proteins GM130 and GRASP65. PMID: 16489344
- Mitochondria bearing GRASP65 became tethered to one another, and this depended on a GRASP65 PDZ domain that was also required for GRASP65 self-interaction. PMID: 19581411
- A study showing that GRASP65 binds directly to the coiled-coil vesicle tethering factor GM130, and targets it to Golgi membranes. PMID: 9628863
- Identification of GRASP65, and demonstration that it functions in the formation of stacked Golgi cisternae. PMID: 9346242
顯示更多
收起更多
-
亞細胞定位:Golgi apparatus, cis-Golgi network membrane; Peripheral membrane protein; Cytoplasmic side. Endoplasmic reticulum-Golgi intermediate compartment membrane.
-
蛋白家族:GORASP family
-
數據庫鏈接:
Most popular with customers
-
-
YWHAB Recombinant Monoclonal Antibody
Applications: ELISA, WB, IHC, IF, FC
Species Reactivity: Human, Mouse, Rat
-
-
-
-
-
-















