GJB2 Recombinant Monoclonal Antibody
-
中文名稱:GJB2重組抗體
-
貨號:CSB-RA009452MA1HU
-
規格:¥1320
-
圖片:
-
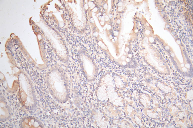
IHC image of CSB-RA009452MA1HU diluted at 1:100 and staining in paraffin-embedded human gastric cancer performed on a Leica BondTM system. After dewaxing and hydration, antigen retrieval was mediated by high pressure in a citrate buffer (pH 6.0). Section was blocked with 10% normal goat serum 30min at RT. Then primary antibody (1% BSA) was incubated at 4°C overnight. The primary is detected by a Goat anti-Mouse IgG labeled by HRP and visualized using 0.05% DAB.
-
Overlay Peak curve showing JK cells surface stained with CSB-RA009452MA1HU (red line) at 1:100. Then 10% normal goat serum to block non-specific protein-protein interactions followed by the antibody (1ug/1*106cells) for 45min at 4℃. The secondary antibody used was FITC-conjugated Goat Anti-Mouse IgG(H+L) at 1/200 dilution for 35 min at 4°C. Isotype control antibody (green line) was mouse IgG1 (1μg/1*106cells) used under the same conditions. Acquisition of >10,002 events was performed.
-
-
其他:
產品詳情
-
產品描述:GJB2重組單克隆抗體(CSB-RA009452MA1HU)靶向連接蛋白26(Gap Junction Beta-2),該蛋白由GJB2基因編碼,屬于連接蛋白家族成員,在細胞間離子和小分子物質交換中發揮關鍵作用,尤其對維持耳蝸內環境穩定及皮膚表皮屏障功能至關重要,其功能異常與非綜合征性聽力損失及部分皮膚疾病密切相關。本產品經多種實驗平臺驗證,在ELISA中表現出高親和力,免疫組化(IHC)實驗顯示其可特異性標記石蠟包埋組織中的靶蛋白定位,流式細胞術(FC)分析進一步證實其在細胞表面蛋白檢測中的靈敏度。推薦使用稀釋度為IHC 1:20-1:200、FC 1:20-1:200,適用于內耳發育研究、細胞間通訊機制探索、皮膚病理模型構建等科研領域,尤其適用于耳蝸組織切片分析、體外培養細胞模型中GJB2蛋白表達水平檢測及相關信號通路研究。該抗體經多批次質控驗證,確保高重復性和低交叉反應性,為探索GJB2在感官生物學及上皮功能中的分子機制提供可靠工具。
-
Uniprot No.:
-
基因名:
-
別名:connexin 26 antibody; Connexin-26 antibody; Cx26 antibody; CXB2_HUMAN antibody; DFNA3 antibody; DFNB1 antibody; Gap junction beta-2 protein antibody; GJB2 antibody; HID antibody; KID antibody; NSRD1 antibody; PPK antibody
-
反應種屬:Human
-
免疫原:Recombinant Human GJB2 protein
-
免疫原種屬:Homo sapiens (Human)
-
標記方式:Non-conjugated
-
克隆類型:Monoclonal
-
抗體亞型:Mouse IgG
-
純化方式:Affinity-chromatography
-
克隆號:24F5
-
濃度:It differs from different batches. Please contact us to confirm it.
-
保存緩沖液:Preservative: 0.03% Proclin 300
Constituents: 50% Glycerol, 0.01M PBS, PH 7.4 -
產品提供形式:Liquid
-
應用范圍:ELISA, IHC, FC
-
推薦稀釋比:
Application Recommended Dilution IHC 1:20-1:200 FC 1:20-1:200 -
Protocols:
-
儲存條件:Upon receipt, store at -20°C or -80°C. Avoid repeated freeze.
-
貨期:Basically, we can dispatch the products out in 1-3 working days after receiving your orders. Delivery time maybe differs from different purchasing way or location, please kindly consult your local distributors for specific delivery time.
-
用途:For Research Use Only. Not for use in diagnostic or therapeutic procedures.
相關產品
靶點詳情
-
功能:Structural component of gap junctions. Gap junctions are dodecameric channels that connect the cytoplasm of adjoining cells. They are formed by the docking of two hexameric hemichannels, one from each cell membrane. Small molecules and ions diffuse from one cell to a neighboring cell via the central pore.
-
基因功能參考文獻:
- In triple negative breast cancer, connexin 26 (Cx26) is elevated in self-renewing cancer stem cells (CSCs) and is necessary and sufficient for their maintenance. Cx26 promotes CSC self-renewal by forming a signaling complex with the pluripotency transcription factor NANOG and focal adhesion kinase (FAK), resulting in NANOG stabilization and FAK activation. PMID: 29422613
- children with GJB2 gene mutations have phenotypic variability in terms of their results of UNHS and their degree and symmetry of hearing loss. Subjects with T/NT mutations of the GJB2 gene were more likely to pass UNHS and had milder hearing loss compared to those with T/T mutations. PMID: 30146550
- Almost half of the children with sensorineural hearing loss carried a common deafness-related mutation, and nearly one-third carried a pathogenic mutation. At least one mutated allele was detected in 48 patients and 30 patients carried pathogenic mutations. Among all the detected mutations, the most common were GJB2 c.235delC and SLC26A4 c.919-2A>G. PMID: 30036422
- It was shown that thiol levels increased and disulphide levels decreased in patients with autosomal recessive non-syndromic hearing loss and GJB2 gene mutations. PMID: 30055731
- The mutation frequencies of GJB2, SLC26A4, GJB3, and mitochondrial genes were 3.04%, 3.51%, 0.16%, and 0.88%, respectively among the Hakka population of Southern China PMID: 30235673
- In conclusion, a novel missense mutation in GJB2 (DFNA3), affecting the second extracellular domain of the protein, was identified in a family with autosomal dominant non-syndromic hearing loss. PMID: 28102197
- our present results indicate an association between GJB2 polymorphisms (rs2274084) and NPC susceptibility. The TT genotype of GJB2 may be a risk factor for NPC. PMID: 29103018
- Mutation in GJB2 gene is associated with deafness. PMID: 29634755
- The p.Lys22Asn GJB2 mutation causes a dominant form of hearing loss associated with variable expression of palmoplantar keratoderma, representing a model of full penetrance, with an age-dependent effect on the phenotype PMID: 28872160
- Bi-allelic variations in the GJB2 gene cause up to 50% of cases of newborn hearing loss. PMID: 28821934
- GJB2 mutation is associated with hearing loss. PMID: 28405014
- Family study implicating mutations in GJB2 and USH2A in Usher's syndrome with congenital hearing loss PMID: 29151245
- Compared with previous studies, we found that the c.109G>A mutation allele of GJB2 was relatively lower in the profound Chinese nonsyndromic sensorineural hearing loss population in comparison to the moderate-to-profound ones, and the c.1174A>T mutation allele of SLC26A4 was relatively higher. PMID: 28786104
- the identification of a previously identified c.100C>T mutation, and a novel homozygous mutation, c.1283C>A in TMC1, in this study supports TMC1 gene as one of the second-tier hearing loss genes, after GJB2 in India. Testing for TMC1 may be considered in all GJB2-negative nonsyndromic hearing loss cases PMID: 28862181
- our work strongly suggests a pathogenic role for GJB3 p.V37I in various HL phenotypes and provides a quantitative assessment of the risk associated with carriage of this variant and development of HL PMID: 28489599
- mutations in the GJB2 gene specially c.35delG are important causes of ARNSHL in the center and west of Iran PMID: 29501291
- For the first time, a p.R75Q mutation shows intra-familial phenotypic variability. Profoundly deaf twins and their deaf maternal grandmother exhibit the p.R75Q mutation with palmoplantar keratoderma while their deaf mother shows absence of skin disorders. The twins also had a a recessive 35delG, which leads to a truncated premature protein inhibiting any action of the dominant p.R75Q mutation. PMID: 27316387
- DFNB1 locus does not appear to be a major contributor to nonsyndromic sensorineural hearing loss (NSSHL) in Sao Tome and Principe. However, the presence of both pathogenic and likely pathogenic mutations in GJB2 suggests that GJB2-related NSSHL might still occur in this population. PMID: 27501294
- Given that a previous paper suggested TMPRSS3 and GJB2 genes as responsible for a digenic form of hearing loss, our data support and reinforce this hypothesis. PMID: 28263784
- a series of molecular dynamics simulations has been performed to investigate the effect of applied static and alternating electric fields on the stability and conformation of human connexin26 hemichannel. PMID: 28259639
- The homozygous mutation c.35delG was identified as the cause of hearing loss in six participants (12%). The mutation c.506G>A was identified in three affected individuals (6%). The allelic frequency (14%) and low percentage of individuals that were homozygous (12%) and heterozygous (2%) for the c.35delG mutation suggest that there are other genes responsible for nonsyndromic deafness in the UAE population. PMID: 29016196
- We performed simultaneous hearing screening and genetic screening targeting four common deafness mutations (p.V37I and c.235delC of GJB2, c.919-2A>G of SLC26A4, and the mitochondrial m.1555A>G) in 5173 newborns at a tertiary hospital between 2009 and 2015,We delineated the longitudinal auditory features of the highly prevalent GJB2 p.V37I mutation on a general population basis PMID: 27308839
- The proportion of carriers for GJB2 gene mutations in patients with hearing loss from southern Zhejiang has reached 21.5%. PMID: 28777850
- Genotype may affect deafness severity, but environmental and other genetic factors may also modulate the severity and evolution of GJB2-GJB6 deafness PMID: 29106882
- results suggest that GJB2 and CIB2 are common cause of hearing loss in different Pakistani ethnicities PMID: 29086887
- GJB2 and ERO1LB are implicated in pancreatic cancer progression and can be used to predict patient survival PMID: 28177904
- Significant proportion of children with unilateral sensori-neural hearing loss may have positive genetic testing while the vast majority of these children present with heterozygous mutations of connexin 26 (GJB2) PMID: 27466889
- WFS1 and GJB2 mutations were identified in eight of 74 cases of Low-Frequency Sensorineural Hearing Loss. Four cases had heterozygous WFS1 mutations; one had a heterozygous WFS1 mutation and a heterozygous GJB2 mutation; and three cases had biallelic GJB2 mutations. Three cases with WFS1 mutations were sporadic; two of them were confirmed to be caused by a de novo mutation based on the genetic analysis of their parents. PMID: 28271504
- results demonstrate that 19.2% patients with nonsyndromic deafness were caused by mutations in three common deafness genes (GJB2, SLC26A4 and 12S rRNA) in our northern China patient group PMID: 28583500
- GJB2-related deafness leads to significantly better cochlear implantation outcomes when compared with acquired deafness caused by environmental etiologies. However, GJB2 mutation is not associated with a significantly better prognosis when compared with those whose deafness results from either nonsyndromic hearing loss of unknown origin or other types of genetic mutations in the absence of other neurologic deficits. PMID: 28322114
- expression of Cx26 (also known as GJB2) in HeLa cells specifically enhances cell motility in scrape wounding and sparse culture models. PMID: 27777264
- Results found that the contribution of the GJB2 gene pathogenic variants to hearing impairment in the population of the Sakha Republic was the highest among all of the regions of Asia studied previously suggesting that extensive accumulation of the c.-23+1G>A pathogenic variant in the indigenous Yakut population may indicate the possible selective advantage of the c.-23+1G>A carriers living in the subarctic climate. PMID: 27224056
- These findings suggest that Cx26 mutants that promote cell death or exert transdominant effects on other connexins in keratinocytes will lead to skin diseases and hearing loss PMID: 28428247
- Cx26-Asp50Asn with the second-site mutations identified in the patient displayed no formation of gap junction channel plaques. We argue that the second-site mutations independently inhibit Cx26-Asp50Asn expression in gap junction channels, reverting the dominant negative effect of the p.Asp50Asn mutation PMID: 28158657
- Cx26 and Cx30 proteins thus seem not to be co-expressed but to form closely associated assemblies of gap junction plaques. PMID: 26941236
- We attempted to identify the genetic epidemiology of hereditary hearing loss among the Chinese Han population using next-generation sequencing The entire length of the genes GJB2, SLC26A4, and GJB3 were sequenced from 116 individuals suffering from hearing loss. In our study, SLC26A4 and GJB2 were the most frequently affected genes among the Chinese Han population with hearing loss. PMID: 27610647
- Deafness associated with G109V could result from decreased GJCs activity, whereas deafness associated to L10P may have a more complex mechanism that involves changes in HC permeability. PMID: 26769242
- Somatic mutation in GJB2 gene cause nevoid spiny hyperkeratosis. PMID: 27087580
- There was a high prevalence of IVS1+1G>A mutation in this sample of deaf families in Syria. PMID: 28012540
- homozygous GJB2 c.109G[A mutation may be a cause of sudden death involving both ears. PMID: 26119842
- study suggests that the GJB2 235delC polymorphism, but not the 30-35delG variant, contributes to congenital deafness susceptibility in the Chinese population examined PMID: 28198501
- We report here a non consanguineous assortatively mating hearing impaired family with one of the hearing impaired partners, their hearing impaired sibling and hearing impaired offspring showing compound heterozygosity in the GJB2 gene, involving a dominant mutation p.R184Q and two recessive mutations p.Q124X and c.IVS 1+1G>A in a unique triallelic combination. PMID: 27481527
- There are more than 39 deafness genes reported to cause non-syndromic hereditary hearing loss (HHL) in Iran, of which the most prevalent causative genes include GJB2, SLC26A4, MYO15A, and MYO7A. In addition, we highlight some of the more common genetic causes of syndromic HHL in Iran. [review] PMID: 27743438
- Two GJB2 mutations, c.del35G with an allele frequency of 4.7 % and R32C (3.7 %) were detected in Mauritanian children with non-syndromic hearing loss. PMID: 27067584
- Our results showed that the GJB2 gene is a major contributor to non syndromic hearing loss in Morocco PMID: 27169813
- Compound heterozygous variants c.94C > T (p.R32C) and c.235delC (p.L79Cfs*3) in the GJB2 gene were identified in the two patients of an autosomal recessive non-syndromic hearing loss family, and the heterozygous GJB2 c.94C > T and c.235delC variants were identified in his unaffected father and mother, respectively. PMID: 27045574
- mutations detected in 35 of 156 deaf patients PMID: 27066914
- GJB2 gene mutations are highly prevalent in pre-lingual hearing loss patients from China. 83.64% of the 330 patients carried variations in the GJB2 gene. Seventeen different genotypes were identified. A total of 31.2% of the patients carried 2 confirmed pathogenic mutations. The frequency of c.235delC was higher than that reported previously in the Jiangsu province. PMID: 27534436
- GJB2 gene mutation is the most common mutation for congenital hearing loss in Chinese newborns. PMID: 25649612
- 48.67% of the patients were identified with hereditary hearing loss caused by mutations in GJB2, SLC26A4, and mtDNA12SrRNA. PMID: 27247933
顯示更多
收起更多
-
相關疾病:Deafness, autosomal recessive, 1A (DFNB1A); Deafness, autosomal dominant, 3A (DFNA3A); Vohwinkel syndrome (VOWNKL); Keratoderma, palmoplantar, with deafness (PPKDFN); Keratitis-ichthyosis-deafness syndrome (KID syndrome); Bart-Pumphrey syndrome (BPS); Ichthyosis hystrix-like with deafness syndrome (HID syndrome)
-
亞細胞定位:Cell membrane; Multi-pass membrane protein. Cell junction, gap junction.
-
蛋白家族:Connexin family, Beta-type (group I) subfamily
-
數據庫鏈接:
Most popular with customers
-
-
YWHAB Recombinant Monoclonal Antibody
Applications: ELISA, WB, IHC, IF, FC
Species Reactivity: Human, Mouse, Rat
-
Phospho-YAP1 (S127) Recombinant Monoclonal Antibody
Applications: ELISA, WB, IHC
Species Reactivity: Human
-
-
-
-
-















