FOXP1 Recombinant Monoclonal Antibody
-
中文名稱:FOXP1 Recombinant Monoclonal Antibody
-
貨號:CSB-RA797360A0HU
-
規格:¥1320
-
圖片:
-
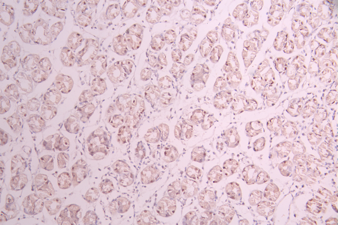
IHC image of CSB-RA797360A0HU diluted at 1:100 and staining in paraffin-embedded human stomach tissue performed on a Leica BondTM system. After dewaxing and hydration, antigen retrieval was mediated by high pressure in a citrate buffer (pH 6.0). Section was blocked with 10% normal goat serum 30min at RT. Then primary antibody (1% BSA) was incubated at 4°C overnight. The primary is detected by a Goat anti-rabbit polymer IgG labeled by HRP and visualized using 0.05% DAB.
-
Immunofluorescence staining of Hela cell with CSB-RA797360A0HU at 1:50, counter-stained with DAPI. The cells were fixed in 4% formaldehyde, permeabilized using 0.2% Triton X-100 and blocked in 10% normal Goat Serum. The cells were then incubated with the antibody overnight at 4°C. The secondary antibody was Alexa Fluor 488-congugated AffiniPure Goat Anti-Rabbit IgG(H+L).
-
Overlay Peak curve showing jurkat cells stained with CSB-RA797360A0HU (red line) at 1:100. The cells were fixed in 4% formaldehyde and permeated by 0.2% TritonX-100 for 10min. Then 10% normal goat serum to block non-specific protein-protein interactions followed by the antibody (1ug/1*106cells) for 45min at 4℃. The secondary antibody used was FITC-conjugated goat anti-rabbit IgG (H+L) at 1/200 dilution for 35min at 4℃.Control antibody (green line) was Rabbit IgG (1ug/1*106cells) used under the same conditions. Acquisition of >10,000 events was performed.
-
-
其他:
產品詳情
-
Uniprot No.:
-
基因名:FOXP1
-
別名:12CC4 antibody; FLJ23741 antibody; Fork head related protein like B antibody; Forkhead box P1 antibody; Forkhead box protein P1 antibody; FOX P1 antibody; FOXP 1 antibody; foxp1 antibody; FOXP1_HUMAN antibody; Glutamine rich factor 1 antibody; hFKH1B antibody; HSPC215 antibody; MGC12942 antibody; MGC88572 antibody; MGC99551 antibody; QRF 1 antibody; QRF1 antibody
-
反應種屬:Human
-
免疫原:A synthesized peptide derived from human FOXP1
-
免疫原種屬:Homo sapiens (Human)
-
標記方式:Non-conjugated
-
克隆類型:Monoclonal
-
抗體亞型:Rabbit IgG
-
純化方式:Affinity-chromatography
-
克隆號:2D3
-
濃度:It differs from different batches. Please contact us to confirm it.
-
保存緩沖液:Rabbit IgG in 10mM phosphate buffered saline , pH 7.4, 150mM sodium chloride, 0.05% BSA, 0.02% sodium azide and 50% glycerol.
-
產品提供形式:Liquid
-
應用范圍:ELISA, IHC, IF, FC
-
推薦稀釋比:
Application Recommended Dilution IHC 1:50-1:200 IF 1:50-1:200 FC 1:50-1:200 -
Protocols:
-
儲存條件:Upon receipt, store at -20°C or -80°C. Avoid repeated freeze.
-
貨期:Basically, we can dispatch the products out in 1-3 working days after receiving your orders. Delivery time maybe differs from different purchasing way or location, please kindly consult your local distributors for specific delivery time.
-
用途:For Research Use Only. Not for use in diagnostic or therapeutic procedures.
相關產品
靶點詳情
-
功能:Transcriptional repressor. Can act with CTBP1 to synergistically repress transcription but CTPBP1 is not essential. Plays an important role in the specification and differentiation of lung epithelium. Acts cooperatively with FOXP4 to regulate lung secretory epithelial cell fate and regeneration by restricting the goblet cell lineage program; the function may involve regulation of AGR2. Essential transcriptional regulator of B-cell development. Involved in regulation of cardiac muscle cell proliferation. Involved in the columnar organization of spinal motor neurons. Promotes the formation of the lateral motor neuron column (LMC) and the preganglionic motor column (PGC) and is required for respective appropriate motor axon projections. The segment-appropriate generation of spinal chord motor columns requires cooperation with other Hox proteins. Can regulate PITX3 promoter activity; may promote midbrain identity in embryonic stem cell-derived dopamine neurons by regulating PITX3. Negatively regulates the differentiation of T follicular helper cells T(FH)s. Involved in maintenance of hair follicle stem cell quiescence; the function probably involves regulation of FGF18. Represses transcription of various pro-apoptotic genes and cooperates with NF-kappa B-signaling in promoting B-cell expansion by inhibition of caspase-dependent apoptosis. Binds to CSF1R promoter elements and is involved in regulation of monocyte differentiation and macrophage functions; repression of CSF1R in monocytes seems to involve NCOR2 as corepressor. Involved in endothelial cell proliferation, tube formation and migration indicative for a role in angiogenesis; the role in neovascularization seems to implicate suppression of SEMA5B. Can negatively regulate androgen receptor signaling. Acts as a transcriptional activator of the FBXL7 promoter; this activity is regulated by AURKA.; Involved in transcriptional regulation in embryonic stem cells (ESCs). Stimulates expression of transcription factors that are required for pluripotency and decreases expression of differentiation-associated genes. Has distinct DNA-binding specifities as compared to the canonical form and preferentially binds DNA with the sequence 5'-CGATACAA-3' (or closely related sequences). Promotes ESC self-renewal and pluripotency.
-
基因功能參考文獻:
- Co-occurrence of mutations in FOXP1 and PTCH1 in a girl with extreme megalencephaly, callosal dysgenesis and profound intellectual disability. PMID: 30181650
- miR-29b recedes the progression of multiple myeloma (MM) via downregulating FOXP1, which may provide a potential biological target for MM treatment. PMID: 30068241
- The tumour suppressors FOXP1 and NKX3.1, strongly implicated in PCa development, were identified as key transcription factors regulating TPbeta expression through Prm3 in both PCa cell lines. PMID: 28890397
- The findings, in addition to expanding the molecular spectrum of FOXP1 mutations, emphasize the emerging role of WGS in identifying small balanced chromosomal rearrangements responsible for neurodevelopmental disorders and not detected by conventional cytogenetics. PMID: 29969624
- MiR-92a may act as a tumor inducer in OSCC by suppressing FOXP1 expression. PMID: 29772443
- the varients of FOXP1 and FOXF1 genes are functionally associated with oesophageal adenocarcinoma in Chinese population. PMID: 29666340
- Results show that FOXP1 acts as the functional protein of SNHG12. Its expression is regulated by SNHG12 and miR-101-3p in glioma cells. PMID: 30098431
- Having a SNP in the FOXP1 gene in the absence of Reflux symptoms had an odds ratio of developing Barrett's esophagus of 1.5. PMID: 29713984
- FOXP1 expression is epigenetically regulated by PRMT5. PMID: 29262329
- we have identified a novel de novo missense variant in FOXP1 that is identical to the most well-studied etiological variant in FOXP2. Functional characterization revealed clear similarities between these equivalent mutations in terms of their impact on protein function. PMID: 28741757
- FOXP1-related intellectual disability syndrome (ID) is a recognisable entity with wide clinical spectrum and frequent systemic involvement; more ID and neuromotor delay, sensorineural hearing loss and feeding difficulties are more common in patients with interstitial 3p deletions versus patients with monogenic FOXP1 defects; Mutations result in impaired transcriptional repression and/or reduced protein stability PMID: 28735298
- Prognostic value of decreased FOXP1 protein expression in various tumors, is reported. PMID: 27457567
- Blimp1, Foxp1 and pStat3 are expressed in extranodal diffuse large B-cell lymphomas PMID: 27924626
- Two rare novel FOXP1 variants associated with a phenotype similar to Mental Retardation with Language Impairment and with or without Autistic Features (MIM 613670). PMID: 28884888
- High FOXP1 expression is associated with acute lymphoblastic leukemia. PMID: 27588474
- The majority of pathogenic missense and in-frame mutations lie in the DNA-binding domain. The mutations perturb amino acids necessary for binding to the DNA or interfere with the domain swapping that mediates FOXP1 dimerization. PMID: 29090079
- Increased frequency of FOXP2 expression significantly correlated with FOXP1-positivity, and FOXP1 co-immunoprecipitated FOXP2 from activated B-cell-diffuse large B-cell lymphoma (ABC-DLBCL) cells. PMID: 27224915
- EBV-miR-BART11 plays a crucial role in the promotion of inflammation-induced nasopharyngeal carcinoma (NPC) and gastric cancer (GC) carcinogenesis by directly targeting and inhibiting FOXP1 tumor-suppressive effects. PMID: 27167345
- Although the mutant huntingtin gene is expressed widely, neurons of the striatum and cortex are selectively affected in Huntington's disease (HD). Our results suggest that this selectivity is attributable to the reduced expression of Foxp1, a protein expressed selectively in striatal and cortical neurons that plays a neuroprotective role in these cells. PMID: 28550168
- the activity of multiple alternate FOXP1 promoters to produce multiple protein isoforms is likely to regulate B-cell maturation. PMID: 27056922
- these novel insights into the function of FOXP1 isoforms in controlling the transcriptional program, survival and differentiation of B cells advance our understanding of the role of FOXP1 in lymphomagenesis and further enhance the value of FOXP1 for diagnostics, prognostics, and treatment of DLBCL patients. PMID: 27909217
- Data indicate that forkhead box P1 protein (FOXP1) as a target of microRNA miR-92a in primary mediastinal large B-cell lymphoma (PMBL). PMID: 27806315
- Results suggest that domain swapping in FoxP1 is at least partially linked to monomer folding stability and follows an unusual three-state folding mechanism, which might proceed via transient structural changes rather than requiring complete protein unfolding as do most domain-swapping proteins PMID: 27276253
- these data identify FOXP1 as an essential transcriptional regulator for primary human CD4(+) T cells and suggest its potential important role in the development of PTCL. PMID: 27861791
- Kaplan-Meier survival analysis showed that pancreatic ductal adenocarcinoma patients with negative forkhead box P1 and forkhead box O3a expression survived significantly shorter than patients with positive forkhead box P1 and forkhead box O3a expression (p = 0.000). PMID: 28466777
- FOXP1 knockdown significantly suppressed growth of HCC cells and induced G1/S phase arrest. PMID: 27618020
- FOXP1 has protein-protein interaction with NFAT1 on DNA and enhances breast cancer cell migration by repressing NFAT1 transcriptional activity. PMID: 27859969
- FOXP1 functions as an oncogene in promoting cancer stem cell-like characteristics in ovarian cancer cells. PMID: 26654944
- The findings highlight that de novo FOXP1 variants are a cause of sporadic intellectual disability and emphasize the importance of this transcription factor in neurodevelopment. PMID: 26647308
- we provide supportive evidence that genetic variants at FOXP1, BARX1, and FOXF1 confer risk for the development of EAC. PMID: 26383589
- Cell-line derived FOXP1 target genes that were highly correlated with FOXP1 expression in primary DLBCL accurately segregated the corresponding clinical subtypes of a large cohort of primary DLBCL isolates PMID: 26787899
- S1PR2 is repressed by FOXP1 in activated B-cell and germinal center B-cell DLBCL cell lines with aberrantly high FOXP1 levels; S1PR2 expression is further inversely correlated with FOXP1 expression in 3 DLBCL patient cohorts. PMID: 26729899
- FOXP1 represents a novel regulator of genes targeted by the class II MHC transactivator CIITA and CD74. PMID: 26500140
- FOXP1 - novel candidate genes validated in a large case-control sample of schizophrenia. PMID: 26460480
- Studied the expression of FOXP1 in colorectal cancer and its potential associations with outcome in colorectal cancer. PMID: 26489674
- Authors identified forkhead box protein P1 (FOXP1) as a direct target of miR-504 using microarray analysis and a luciferase assay. PMID: 26854715
- FOXP1 is present in normal cells of erythroid and myeloid linages and may have a possible role in development of all hematopoetic cells as well as possible involvement in neoplasm development of myeloid disorders. PMID: 26898077
- Over-expression of FOXP1 and SPINK1 may participate in the carcinogenesis of hepatitis B virus related cirrhosis. PMID: 26054682
- FOXP1 expression is closely related to the degree of malignancy of epithelial ovarian cancer and may be a reliable index of the chemoresistance and prognosis of ovarian cancer PMID: 25895457
- FOXP1 overexpression specifically inhibits formation of IgG- but not IgM-secreting Plasma Cells. PMID: 26289642
- integral role for FoxP1 in regulating signaling pathways vulnerable in autism and the specific regulation of striatal pathways important for vocal communication PMID: 26494785
- This study demonstrated that Brain-specific Foxp1 deletion impairs neuronal development and causes autistic-like behavior and mental disorders. PMID: 25266127
- Foxp1 mediates programming of limb-innervating motor neurons from mouse and human embryonic stem cells. PMID: 25868900
- FOXP1 has a role in potentiating Wnt/beta-catenin signaling in diffuse large B cell lymphoma PMID: 25650440
- Data indicate that the mRNA level for forkhead box P1 (FOXP1) and estrogen receptor beta (ERbeta) in ovarian carcinoma tissues decreased, while the expression level of estrogen receptor alpha (ERalpha) mRNA increased. PMID: 25500588
- results suggest a novel mechanism in which AR-induced FOXP1 functions as a direct modulator of the AR and FOXA1 centric global transcriptional network. PMID: 25329375
- Our results suggest that down-regulation of FOXP1 expression is a common event in high-risk neuroblastoma pathogenesis and may contribute to tumor progression and unfavorable patient outcome. PMID: 25406647
- Abnormal expression of FOXP1 in renal cell carcinoma may create progression of tumor from low grade to high grade by regulating the HIF-1-VEGF pathway. PMID: 25778315
- The significant expression of FOXP1 may be helpful to some extent in the pathologic diagnosis of cervical mucinous minimal deviation adenocarcinoma PMID: 24908370
- Through direct repression of proapoptotic genes, (aberrant) expression of FOXP1 complements (constitutive) NF-kappaB activity to promote B-cell survival and can thereby contribute to B-cell homeostasis and lymphomagenesis. PMID: 25267198
顯示更多
收起更多
-
相關疾病:Mental retardation with language impairment and autistic features (MRLIAF)
-
亞細胞定位:Nucleus.
-
組織特異性:Isoform 8 is specifically expressed in embryonic stem cells.
-
數據庫鏈接:
Most popular with customers
-
-
YWHAB Recombinant Monoclonal Antibody
Applications: ELISA, WB, IHC, IF, FC
Species Reactivity: Human, Mouse, Rat
-
Phospho-YAP1 (S127) Recombinant Monoclonal Antibody
Applications: ELISA, WB, IHC
Species Reactivity: Human
-
-
-
-
-















