FKBP5 Recombinant Monoclonal Antibody
-
中文名稱:FKBP5 Recombinant Monoclonal Antibody
-
貨號:CSB-RA935455A0HU
-
規格:¥1320
-
圖片:
-
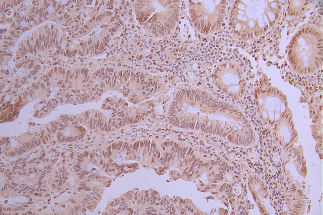
IHC image of CSB-RA935455A0HU diluted at 1:100 and staining in paraffin-embedded human colorectal cancer performed on a Leica BondTM system. After dewaxing and hydration, antigen retrieval was mediated by high pressure in a citrate buffer (pH 6.0). Section was blocked with 10% normal goat serum 30min at RT. Then primary antibody (1% BSA) was incubated at 4°C overnight. The primary is detected by a Goat anti-rabbit polymer IgG labeled by HRP and visualized using 0.05% DAB.
-
Immunofluorescence staining of THP-1 cell with CSB-RA935455A0HU at 1:50, counter-stained with DAPI. The cells were fixed in 4% formaldehyde, permeabilized using 0.2% Triton X-100 and blocked in 10% normal Goat Serum. The cells were then incubated with the antibody overnight at 4°C. The secondary antibody was Alexa Fluor 488-congugated AffiniPure Goat Anti-Rabbit IgG(H+L).
-
Overlay Peak curve showing PC-3 cells stained with CSB-RA935455A0HU (red line) at 1:100. The cells were fixed in 4% formaldehyde and permeated by 0.2% TritonX-100 for 10min. Then 10% normal goat serum to block non-specific protein-protein interactions followed by the antibody (1ug/1*106cells) for 45min at 4℃. The secondary antibody used was FITC-conjugated goat anti-rabbit IgG (H+L) at 1/200 dilution for 35min at 4℃.Control antibody (green line) was Rabbit IgG (1ug/1*106cells) used under the same conditions. Acquisition of >10,000 events was performed.
-
-
其他:
產品詳情
-
Uniprot No.:
-
基因名:
-
別名:51 kDa FK506 binding protein 5 antibody; 51 kDa FK506 binding protein antibody; 51 kDa FK506-binding protein antibody; 51 kDa FKBP antibody; 54 kDa progesterone receptor associated immunophilin antibody; 54 kDa progesterone receptor-associated immunophilin antibody; AIG 6 antibody; AIG6 antibody; Androgen regulated protein 6 antibody; Androgen-regulated protein 6 antibody; FF1 antigen antibody; FK506 binding protein 5 antibody; FK506-binding protein 5 antibody; FKBP 5 antibody; FKBP 51 antibody; FKBP 54 antibody; FKBP-5 antibody; FKBP-51 antibody; FKBP5 antibody; FKBP5_HUMAN antibody; FKBP54 antibody; HSP90 binding immunophilin antibody; HSP90-binding immunophilin antibody; MGC111006 antibody; OTTHUMP00000016268 antibody; P54 antibody; Peptidyl prolyl cis trans isomerase antibody; Peptidyl-prolyl cis-trans isomerase FKBP5 antibody; Peptidylprolyl cis trans isomerase antibody; PPIase antibody; PPIase FKBP5 antibody; Ptg 10 antibody; Ptg10 antibody; Rotamase antibody; T cell FK506 binding protein antibody
-
反應種屬:Human
-
免疫原:A synthesized peptide derived from human FKBP5
-
免疫原種屬:Homo sapiens (Human)
-
標記方式:Non-conjugated
-
克隆類型:Monoclonal
-
抗體亞型:Rabbit IgG
-
純化方式:Affinity-chromatography
-
克隆號:4D5
-
濃度:It differs from different batches. Please contact us to confirm it.
-
保存緩沖液:Rabbit IgG in 10mM phosphate buffered saline , pH 7.4, 150mM sodium chloride, 0.05% BSA, 0.02% sodium azide and 50% glycerol.
-
產品提供形式:Liquid
-
應用范圍:ELISA, IHC, IF, FC
-
推薦稀釋比:
Application Recommended Dilution IHC 1:50-1:200 IF 1:50-1:200 FC 1:50-1:200 -
Protocols:
-
儲存條件:Upon receipt, store at -20°C or -80°C. Avoid repeated freeze.
-
貨期:Basically, we can dispatch the products out in 1-3 working days after receiving your orders. Delivery time maybe differs from different purchasing way or location, please kindly consult your local distributors for specific delivery time.
-
用途:For Research Use Only. Not for use in diagnostic or therapeutic procedures.
相關產品
靶點詳情
-
功能:Immunophilin protein with PPIase and co-chaperone activities. Component of unligated steroid receptors heterocomplexes through interaction with heat-shock protein 90 (HSP90). Plays a role in the intracellular trafficking of heterooligomeric forms of steroid hormone receptors maintaining the complex into the cytoplasm when unliganded. Acts as a regulator of Akt/AKT1 activity by promoting the interaction between Akt/AKT1 and PHLPP1, thereby enhancing dephosphorylation and subsequent activation of Akt/AKT1.
-
基因功能參考文獻:
- Study revealed that genetic variants in neonatal FKBP5 moderate the association between antenatal maternal depressive symptoms and right hippocampal volume but only show a trend for such moderation on amygdala volumes and cortical thickness. PMID: 28975925
- Our findings suggest that the FKBP5 gene and its epigenetic changes could have influence on morphologic changes of several brain regions involved in emotion regulation, and that this process may be associated with the development of MDD. PMID: 28198448
- We hypothesize a role for FKBP51 as a prognostic marker for MF and suggest an involvement of this immunophilin in deregulated NF-jB pathway of this CTCL. PMID: 28977697
- Trauma exposure shapes FKBP5 impact on schizophrenia. PMID: 27552816
- The present findings suggest that Fkbp5 expression in mesocorticolimbic dopaminergic regions associates with early life stress-mediated sensitivity to alcohol drinking and that FKBP5 genotype interacts with parent-child relationship to influence alcohol drinking. PMID: 27709495
- Study found that DNA methylation levels in multiple genomic regions of FKBP5, a regulator of glucocorticoid response sensitivity, does not mediate the relationship between childhood maltreatment (CM) and depression symptom severity; also a significant increase in FKBP5 gene expression (GE) levels associated with lifetime major depressive disorder, but found no significant difference in GE levels related to exposure to CM. PMID: 28961425
- study thus provides support for an association between specific FKBP5 genetic variants and MDD risk PMID: 27601205
- Methylation of FKBP5 is sensitive to stress exposure and may be a mechanism linking early adversity to long-term health and developmental outcomes. PMID: 29162173
- The results indicate that individuals with at least one copy of the FKBP5 CATT haplotype (minor alleles) are more vulnerable to traversing the hypothesized internalizing pathway of risk than individuals without this genotypic profile. Findings highlight the importance of FKBP5 genetic variation in the context of early adversity; support the role of mediators of an internalizing pathway to problem drinking. PMID: 29162188
- FKBP5 methylation mediated the association between early life stress and inhibition-related prefrontal activity. PMID: 29162190
- Exposure to childhood physical abuse may increase the risk for sub-clinical depressive and anxiety symptoms depending on FKBP5 genetic variability. PMID: 28889074
- SNPs moderate the association of positive and negative recent life events (LEs) with depressive symptoms, state-anxiety, neuroticism, and social anxiety traits PMID: 29466454
- In humans, abnormal fear extinction was associated with the TT homozygous genotype of FKBP5 SNPs RS9470080 and RS1360780, and hyperarousal symptoms. Results indicate that FKBP5 confers risk for abnormal fear extinction learning in humans, which may drive the development of arousal symptomatology and ultimately the development of posttraumatic stress disorder. PMID: 28025095
- It is unlikely that the investigated genetic variants are clinically relevantly associated with depression after diagnosis of cancer. PMID: 28590587
- These results provide strong evidence of interactions between FKBP5 genotypes and early-life stress, which could pose a significant risk factor for stress-associated disorders such as major depression and post-traumatic stress disorder (PTSD). PMID: 28850857
- FKBP5 polymorphisms in combination with early life stress exposure predict higher insulin and glucose values in midlife. PMID: 27941579
- GxE interaction between child maltreatment and FKBP5 on dissociative symptoms in adolescence. PMID: 27760575
- Children with high attachment insecurity and homozygous FKBP5 minor alleles manifest maladaptive emotion regulation and depressive symptoms. PMID: 27485401
- This study demonstrated that FKBP5 Messenger RNA Increases After Adolescence in Human Dorsolateral Prefrontal Cortex. PMID: 26805584
- A novel FKBP5 1V55L mutation is associated with Paget's disease in a Chinese family. Mutant FKBP51V55L promotes osteoclastogenesis. PMID: 28524179
- A negative correlation between basal levels of FKBP5 methylation and serum cortisol was observed. PMID: 28875708
- Study found an additive interaction effect between FKBP5's rs1360780 variant and the graph-theoretical metrics of hippocampal connectivity to influence depression risk. Data reveals alterations of the communication patterns between the hippocampus and the rest of the brain in depression, effects potentially driven by overall familial factors (genes plus shared twin environment) and modified by the FKBP5 gene. PMID: 26801675
- This study demonstrated suggest that FKBP5 in the GR pathway may be a point of vulnerability to early-life adversity, as seen in this group of non-traumatized young adults. PMID: 26632991
- Psychological stress impaired immediate recall in rs1360780, rs3800373 and rs9296158 allele carriers. PMID: 28002634
- Association of FKBP5 haplotype with risk of suicide attempt. PMID: 27030168
- This study provides initial evidence that the risk alleles of the FKBP5 polymorphism are associated with different resting-state activity in a frontotemporal-parietal network, and may point to mechanisms underpinning high-risk carriers' vulnerability to severe stress reactions. PMID: 27754486
- This review showed a significant genetic association in most studies in FKBP5 with a high rate of attempted suicide. PMID: 27638035
- Associations between the FKBP5 SNPs, exposure to violence and anxiety in females. PMID: 27448712
- The rs9470080 polymorphism was associated with physiological anxiety, while rs4713916 polymorphism interacted with maltreatment to influence externalizing traits. PMID: 27315459
- FKBP51 is primarily localized in mitochondria and hTERT is totally nuclear, upon the onset of oxidative stress, FKBP51 (but not FKBP52) becomes mostly nuclear colocalizing with hTERT, and longer exposure times to peroxide favors hTERT export to mitochondria. PMID: 27233944
- The results show that the presence of the T allele of the FKBP5 SNP rs1360780 was associated with weight loss after bariatric surgery. Bariatric surgery can interact with genes involved in metabolic regulation, leading to different weight loss outcomes PMID: 27421688
- The role of FKBP51 in intracellular pathways involved in adaptation is summarized. PMID: 27374865
- we found no effect of early life trauma on heavy drinking in rs1360780*T-allele carriers, rs1360780*C homozygotes exposed to early life trauma had a lower probability of heavy drinking compared to rs1360780*C homozygotes not exposed to early life trauma (P < 0.01). There exists a developmental period of susceptibility to stress that is moderated by FKBP5 genotype. PMID: 27196697
- LIF and FKBP51 expression in epithelial cells were the most interesting markers of Airway epithelial cells dysfunction/response to corticosteroid treatment. PMID: 28493984
- The data of this study show a significant increase in DNA methylation of FKBP5 in peripheral blood mononuclear cells of major depressive disorder patients. PMID: 28246044
- Knockdown of FKBP51 alleviates neuropathic pain via inhibiting the NF-kappaB signaling in chronic constriction injury rat model. PMID: 28629826
- we sought to extend prior GxE findings by examining the relation of four FKBP5 SNPs (rs9296158, rs3800373, rs1360780, rs947008), childhood abuse, and lifetime PTSD symptom severity. Results revealed that the four FKBP5 SNPs were associated with PTSD symptom severity in both samples . SNP rs9470080 in the main sample, and all four SNPs in the replication sample interacted with childhood abuse to predict PTSD severity PMID: 27078785
- Findings suggest that posttraumatic stress disorder (PTSD) phenotypes may be characterized by differences in intracellular signaling transduction processes. The associations of expression of GRalpha and FKBP5 in the glucocorticoid (GC) high-sensitive PTSD subgroup may thereby reflect physiological adaptation to preserve immune-relevant GC signaling. PMID: 27086273
- Associations between FKBP5 genotype and neurodevelopment; potential interaction between FKBP5 genotype and stress experiences (NICU) in preterm infants. PMID: 28247564
- The main finding in this study is that Holocaust survivors and their offspring have methylation changes on the same site in a functional intronic region of the FKBP5 gene, a GR-binding sequence in intron 7. PMID: 26410355
- FKBP51 improves the ability of stromal androgen receptor to predict prostate cancer-specific mortality. PMID: 27718274
- the interaction between bullying and the FKBP5 haplotype was associated with positive, but not negative, psychotic-like experiences, paranoia, and negative affect PMID: 27389186
- FKBP5 methylation moderates the associations of FKBP5 genotype and resistant attachment with cortisol reactivity. PMID: 28401840
- Specific variations in FKBP5 gene increased the risk of attempted suicide. PMID: 28030643
- FKBP5 variations in combination early life stress predict more pronounced depressive symptoms in midlife. PMID: 26740367
- Our results confirm that the rs1360780 locus alters FKBP5 expression and further that in trans-fashion this locus affects the expression of other glucocorticoid-regulated genes after a glucocorticoid challenge. The CT exposure appears to be essential for trans-effects of rs1360780 on glucocorticoid-regulated genes. PMID: 27648526
- findings show that miR-511 is a functional regulator of FKBP5 and can contribute to neuronal differentiation. PMID: 27334923
- FKBP51 positively controls cell motility by promoting RhoA and ROCK activation, thus revealing a novel role for FKBP51 in cytoskeletal rearrangement and cell migration and invasion. PMID: 28032931
- Since increased DNA methylation in HSD11B2 and FKBP5 are seen in a minority of bisulfite sequencing clones, these epigenetic changes, and functional consequences, may affect subpopulations of placental cells. PMID: 27013342
- we propose tumor tissue expression of FKBP51 protein as a reliable prognostic marker for OSCC tumors. PMID: 28218707
顯示更多
收起更多
-
亞細胞定位:Cytoplasm. Nucleus.
-
組織特異性:Widely expressed, enriched in testis compared to other tissues.
-
數據庫鏈接:
Most popular with customers
-
-
YWHAB Recombinant Monoclonal Antibody
Applications: ELISA, WB, IHC, IF, FC
Species Reactivity: Human, Mouse, Rat
-
Phospho-YAP1 (S127) Recombinant Monoclonal Antibody
Applications: ELISA, WB, IHC
Species Reactivity: Human
-
-
-
-
-
VCP Recombinant Monoclonal Antibody
Applications: ELISA, WB, IHC, IF, IP
Species Reactivity: Human, Rat















