ENO1 Recombinant Monoclonal Antibody
-
中文名稱:ENO1 Recombinant Monoclonal Antibody
-
貨號:CSB-RA007670MA1HU
-
規格:¥1320
-
圖片:
-
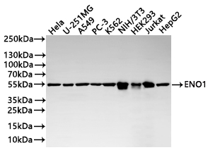
Western Blot
Positive WB detected in: HeLa whole cell lysate(20μg), U-251MG whole cell lysate(20μg), A549 whole cell lysate(20μg), PC-3 whole cell lysate(20μg), K562 whole cell lysate(20μg), NIH/3T3 whole cell lysate(20μg), HEK293 whole cell lysate(20μg), Jurkat whole cell lysate(20μg), HepG2 whole cell lysate(20μg)
All lanes: ENO1 antibody at 1:1000
Secondary
Goat polyclonal to human IgG at 1/40000 dilution
Predicted band size: 47 kDa
Observed band size: 55 kDa
Exposure time:5s -
Western Blot
Positive WB detected in: Mouse brain tissue lysate(20μg), Rat brain tissue lysate(20μg), Mouse kidney tissue lysate(20μg), Rat kidney tissue lysate(20μg), Mouse lung tissue lysate(20μg), Mouse spleen tissue lysate(20μg)
All lanes: ENO1 antibody at 1:1000
Secondary
Goat polyclonal to human IgG at 1/40000 dilution
Predicted band size: 47.2 kDa
Observed band size: 55 kDa
Exposure time: 2min -
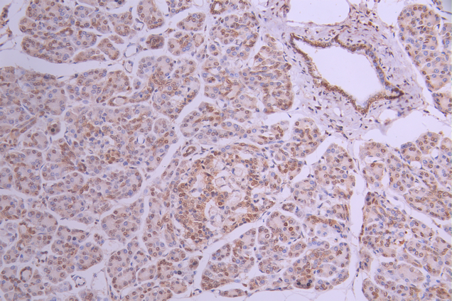
IHC image of CSB-RA007670MA1HU diluted at 1:50 and staining in paraffin-embedded human pancreatic tissue performed on a Leica BondTM system. After dewaxing and hydration, antigen retrieval was mediated by high pressure in a citrate buffer (pH 6.0). Section was blocked with 10% normal goat serum 30min at RT. Then primary antibody (1% BSA) was incubated at 4°C overnight. The primary is detected by a Goat anti-human polymer IgG labeled by HRP and visualized using 0.05% DAB.
-
Immunofluorescence staining of HepG2 cell with CSB-RA007670MA1HU at 1:30 counter-stained with DAPI. The cells were fixed in 4% formaldehyde, permeabilized using 0.2% Triton X-100 and blocked in 10% normal Goat Serum. The cells were then incubated with the antibody overnight at 4°C. The secondary antibody was Fluorescein (FITC) AffiniPure Goat Anti-Human IgG, Fcγ fragment specific.
-
Immunofluorescence staining of MCF-7 cell with CSB-RA007670MA1HU at 1:30 counter-stained with DAPI. The cells were fixed in 4% formaldehyde, permeabilized using 0.2% Triton X-100 and blocked in 10% normal Goat Serum. The cells were then incubated with the antibody overnight at 4°C. The secondary antibody was Fluorescein (FITC) AffiniPure Goat Anti-Human IgG, Fcγ fragment specific.
-
Overlay Peak curve showing Hela cells stained with CSB-RA007670MA1HU (red line) at 1:100. The cells were fixed in 4% formaldehyde and permeated by 0.2% TritonX-100 for 10min. Then 10% normal goat serum to block non-specific protein-protein interactions followed by the antibody (1ug/1*106cells) for 45min at 4℃. The secondary antibody used was Fluorescein (FITC) AffiniPure Goat Anti-Human IgG, Fcγ fragment specific at 1:200 dilution for 35min at 4℃.Control antibody (green line) was human IgG1 (1ug/1*106cells) used under the same conditions. Acquisition of >10,000 events was performed.
-
-
其他:
產品詳情
-
Uniprot No.:
-
基因名:
-
別名:2 phospho D glycerate hydro lyase antibody; 2-phospho-D-glycerate hydro-lyase antibody; Alpha enolase antibody; Alpha enolase like 1 antibody; Alpha-enolase antibody; C myc promoter binding protein antibody; C-myc promoter-binding protein antibody; EC 4.2.1.11 antibody; eno1 antibody; ENO1L1 antibody; ENOA_HUMAN antibody; Enolase 1 (alpha) antibody; Enolase 1 (alpha) like 1 antibody; Enolase 1 antibody; Enolase alpha antibody; MBP 1 antibody; MBP-1 antibody; MBP1 antibody; MBPB1 antibody; MPB 1 antibody; MPB-1 antibody; MPB1 antibody; MYC promoter binding protein 1 antibody; NNE antibody; Non neural enolase antibody; Non-neural enolase antibody; Phosphopyruvate hydratase antibody; Plasminogen binding protein antibody; Plasminogen-binding protein antibody; PPH antibody; Tau crystallin antibody
-
反應種屬:Human, Mouse, Rat
-
免疫原:Recombinant Human ENO1 protein
-
免疫原種屬:Homo sapiens (Human)
-
標記方式:Non-conjugated
-
克隆類型:Monoclonal
-
抗體亞型:hIgG1
-
純化方式:Affinity-chromatography
-
克隆號:8H9G12
-
濃度:It differs from different batches. Please contact us to confirm it.
-
保存緩沖液:Preservative: 0.03% Proclin 300
Constituents: 50% Glycerol, 0.01M PBS, PH 7.4 -
產品提供形式:Liquid
-
應用范圍:ELISA, WB, IHC, IF, FC
-
推薦稀釋比:
Application Recommended Dilution WB 1:500-1:2000 IHC 1:50-1:200 IF 1:50-1:200 FC 1:50-1:200 -
Protocols:
-
儲存條件:Upon receipt, store at -20°C or -80°C. Avoid repeated freeze.
-
貨期:Basically, we can dispatch the products out in 1-3 working days after receiving your orders. Delivery time maybe differs from different purchasing way or location, please kindly consult your local distributors for specific delivery time.
-
用途:For Research Use Only. Not for use in diagnostic or therapeutic procedures.
相關產品
靶點詳情
-
功能:Glycolytic enzyme the catalyzes the conversion of 2-phosphoglycerate to phosphoenolpyruvate. In addition to glycolysis, involved in various processes such as growth control, hypoxia tolerance and allergic responses. May also function in the intravascular and pericellular fibrinolytic system due to its ability to serve as a receptor and activator of plasminogen on the cell surface of several cell-types such as leukocytes and neurons. Stimulates immunoglobulin production.; MBP1 binds to the myc promoter and acts as a transcriptional repressor. May be a tumor suppressor.
-
基因功能參考文獻:
- Our data provide strong evidence that alpha-enolase short hairpin RNA interference vector can effectively suppress the proliferation and increase chemosensitivity of MKN45 cells, which may provide a novel gene therapy for gastric cancer. PMID: 29986635
- Elevated ENO1 could promote the proliferation of retinoblastoma cells. PMID: 29913409
- Together these findings suggest a possible mechanism of host invasion by HIV-1 through the CAWLEAQ motif of Nef-mediated regulation of ENO1 and identify a potential therapeutic target for HIV-1 entry at mucosal barriers. PMID: 29404888
- We propose that ENO1 is a useful indicator of parakeratosis and might have a potential role in cellular TJ barrier function in the epidermis PMID: 29430682
- The authors found that ENO1 expression was upregulated in the hepatitis B virus-infected liver tissues and cells. Silencing of ENO1 resulted in a significant reduction in hepatitis B virus replication, and this siRNA-mediated reaction also caused the upregulation of expression of type I interferon and downstream interferon-stimulated genes. PMID: 29080231
- serum anti-alpha-enolase antibody levels positively correlated with serum whole IgG and 24-hour urine protein and negatively correlated with serum D-dimer level in patients with systemic lupus erythematosus PMID: 28728510
- ENO1 is a crucial factor promoting neoplastic transformation exclusively in terminal respiratory unit (TRU) subtype lung adenocarcinomas (ADCs). PMID: 29090499
- Protein arginine methyltransferase 5 (PRMT5) was identified to be responsible for Eno-1 methylation. Overexpression of PRMT5 and caveolin-1 enhanced levels of membrane-bound extracellular Eno-1 and, conversely, pharmacological inhibition of PRMT5 attenuated Eno-1 cell-surface localization. PMID: 29501774
- Our results suggested that alpha-enolase level was significantly elevated in pancreatic cancer tissues, which was closely associated with pancreatic cancer progression PMID: 28824297
- ENO1 is a novel biomarker to predict drug resistance and overall prognosis in gastric cancer. PMID: 28548950
- ENO1 can elicit humoral immune response in NSCLC and its autoantibody has association with the tumorigenesis of NSCLC. Furthermore, these intriguing results suggest the possibility of autoantibody against ENO1 serving as a potential diagnostic biomarker in NSCLC and have implications for defining novel histological determinants of NSCLC. PMID: 28456790
- The study provides solid evidence that there is the interaction between GRN A and ENO1 and the interaction is responsible for the effects of GRN A on glucose uptake as well as cancer cell migration and invasion. PMID: 28415822
- Our findings showed that both S100beta and NSE levels similarly increased during CPB and immediately after CPB during sevoflurane and propofol based anesthesia. PMID: 26856295
- ENO1 promotes in pancreatic ductal adenocarcinoma (PDA) cells cell survival, migration, and metastasis through cooperation with integrins and uPAR PMID: 28086938
- ENO1 is a potent promoter of colorectal cancer genesis and metastasis at least in part though regulating AMPK/mTOR pathway. PMID: 27996156
- comparing the T cell receptor repertoire of ENO1-specific peripheral and infiltrating tumor T cells from the same patient suggests that ENO1-specific T cells, despite having a different functional profile, can recirculate from the tumor to the periphery. PMID: 27210467
- ENO1 is able to activate in vitro the CD14-dependent TLR4 pathway on monocytes involving a dual mechanism firstly pro-inflammatory and secondly anti-inflammatory. PMID: 27025255
- High ENO1 expression is associated with cancer. PMID: 26734996
- An immune-modulatory role has been proposed for surface alpha-enolase and our findings of decreased expression suggest that deficits in surface alpha-enolase merit investigation in the context of immune dysfunction during ageing and vascular disease PMID: 26432922
- Systems biology approach reveals possible evolutionarily conserved moonlighting functions for enolase PMID: 25978602
- ENO1 was demonstrated to be up-regulated by HIF-1alpha in retinal pigment epithelial cells in response to hypoxia, without influencing VEGF secretion. PMID: 26882120
- In this study, ENO1 silencing significantly reduced cell glycolysis, proliferation, migration, and invasion in vitro, as well as tumorigenesis and metastasis in vivo by modulating p85 suppression. PMID: 25951350
- alpha-Enolase increases after injury and may activate pulmonary endothelial cells and prime PMNs through plasmin activity and PAR-2 activation PMID: 25944790
- High ENO1 expression is associated with invasiveness of pancreatic cancer. PMID: 25860938
- tRK1 forms a complex with human enolases and interacts with tRK1 and human pre-lysyl-tRNA synthetase (preKARS2) PMID: 25918939
- The association of ENO1 and GPI with postthaw sperm viability and motility was confirmed using Pearson's linear correlation. ENO1 and GPI can be used as markers of human sperm freezability before starting the cryopreservation procedure. PMID: 25910678
- This study showed that ENO1 is responsible for non-small cell lung cancer proliferation and metastasis PMID: 25887760
- ENO1 induces gene expression, lactate production, cell proliferation and migration and can be negatively regulated by FBXW7 at the posttranslational level. PMID: 26097998
- alpha-enolase binds plasminogen and modulates its activation, it is plausible to speculate the association of the increase in alpha-enolase secretion by infected hepatic cells with the haemostatic dysfunction observed in dengue patients PMID: 25171719
- Data suggest that endoplasmic reticulum stress up-regulates ENO1/MBP1 expression through the AKT/PERK/eIF2a signaling axis in both breast cancer cells and non-tumor cells. PMID: 26144282
- Low ENO1 expression is associated with clear cell renal cell carcinoma. PMID: 26037892
- ENO1 is an independent prognostic factor, significantly correlated with overall survival of Non-Hodgkin's Lymphoma patients. PMID: 26024773
- STIM1/ORAI1-mediated Ca2+ influx regulates enolase-1 exteriorization in cancer cells. PMID: 25805497
- the results indicated that the combination of ENO1 and CYPA can serve as a potential molecular marker for the early detection of NPC. PMID: 24998431
- Using shotgun proteomics together with western blotting and ELISA, we identify sputum ENO1 as a biomarker candidate for lung cancer PMID: 24984566
- Our data suggest that ENO1 was upregulated by CagA protein thereby providing a novel mechanism underlying H. pylori-mediated gastric diseases. PMID: 24841372
- These data show a multiantibody composition in lupus nephritis, where IgG2 autoantibodies against alpha-enolase and annexin AI predominate in the glomerulus and can be detected in serum. PMID: 24790181
- Isotypes of anti-citrullinated fibrinogen and alpha-enolase can be found in the serum of children with juvenile idiopathic arthritis of all onset types. PMID: 25068682
- Overexpression of ENO1 is associated with glioma progression. PMID: 24650096
- Citrullination of ENO1 is associated with neoplasms. PMID: 24099319
- the differential association of ENO-1 with caveolar proteins regulates ENO-1 subcellular localization and, consequently, ENO-1-dependent cell migration and invasion. PMID: 24628430
- ENO1 overexpression can inhibit EMT in vitro by suppressing ERK1/2 phosphorylation PMID: 23676977
- surface alpha-enolase promotes extracellular matrix degradation and invasion of cancer cells and that targeting surface alpha-enolase is a promising approach to suppress tumor metastasis. PMID: 23894455
- plasma levels are significantly higher in renal cell carcinoma patients than in controls PMID: 23113677
- results indicate that Streptococcus sanguinis infection and the sera of Behcet's disease patients with active disease are inflammatory stimuli that can induce membranous alpha-enolase expression in endothelial cells PMID: 23131860
- The reduction in enolase-1 expression significantly decreases the response to hypoxia and enhances the sensitivity of the cells to radiation therapy. PMID: 23381546
- ENO1 is a passenger locus homozygously deleted as part of the 1p36 locus in glioblastoma and inhibition of ENO2 is selectively lethal to ENO1 deleted tumor cells, but not normal non-cancerous cells. PMID: 22895339
- These results extend, confirm, and generalize the evidence supporting the specificity of the anti-CEP-1 antibody-positive subgroup of patients with rheumatoid arthritis among anti-CCP antibody-positive patients with RA. PMID: 21360494
- Data show six differentially expressed proteins were identified as HSP70, PPIA and alpha-Enolase (up-regulated) S100-A9, PIMT and beta-5 tubulin (down-regulated), most of which had been shown to play a potential role in the pathogenesis of atherosclerosis. PMID: 21839816
- results indicate that C-peptide has the capacity to activate alpha-enolase through a specific interaction between E27 of the peptide and K434 of the enzyme PMID: 22577163
顯示更多
收起更多
-
亞細胞定位:Cytoplasm. Cell membrane. Cytoplasm, myofibril, sarcomere, M line. Note=Can translocate to the plasma membrane in either the homodimeric (alpha/alpha) or heterodimeric (alpha/gamma) form. ENO1 is localized to the M line.; [Isoform MBP-1]: Nucleus.
-
蛋白家族:Enolase family
-
組織特異性:The alpha/alpha homodimer is expressed in embryo and in most adult tissues. The alpha/beta heterodimer and the beta/beta homodimer are found in striated muscle, and the alpha/gamma heterodimer and the gamma/gamma homodimer in neurons.
-
數據庫鏈接:
Most popular with customers
-
-
YWHAB Recombinant Monoclonal Antibody
Applications: ELISA, WB, IHC, IF, FC
Species Reactivity: Human, Mouse, Rat
-
Phospho-YAP1 (S127) Recombinant Monoclonal Antibody
Applications: ELISA, WB, IHC
Species Reactivity: Human
-
-
-
-
-















