EMD Recombinant Monoclonal Antibody
-
中文名稱:EMD Recombinant Monoclonal Antibody
-
貨號:CSB-RA268144A0HU
-
規格:¥1320
-
圖片:
-
Western Blot
Positive WB detected in: Hela whole cell lysate(30μg), HEK293 whole cell lysate(30μg), A431 whole cell lysate(30μg), U-251MG whole cell lysate(30μg), MCF-7 whole cell lysate(30μg), Jurkat whole cell lysate(30μg)
All lanes: Emerin antibody at 1:1000
Secondary
Goat polyclonal to rabbit IgG at 1/40000 dilution
Predicted band size: 29 kDa
Observed band size: 35 kDa
Exposure time:30s -
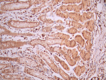
IHC image of CSB-RA268144A0HU diluted at 1:100 and staining in paraffin-embedded human gastric cancer performed on a Leica BondTM system. After dewaxing and hydration, antigen retrieval was mediated by high pressure in a citrate buffer (pH 6.0). Section was blocked with 10% normal goat serum 30min at RT. Then primary antibody (1% BSA) was incubated at 4°C overnight. The primary is detected by a Goat anti-rabbit polymer IgG labeled by HRP and visualized using 0.05% DAB.
-
Overlay Peak curve showing Hela cells stained with CSB-RA268144A0HU (red line) at 1:100. The cells were fixed in 4% formaldehyde and permeated by 0.2% TritonX-100 for 10min. Then 10% normal goat serum to block non-specific protein-protein interactions followed by the antibody (1ug/1*106cells) for 45min at 4℃. The secondary antibody used was FITC-conjugated goat anti-rabbit IgG (H+L) at 1/200 dilution for 35min at 4℃.Control antibody (green line) was Rabbit IgG (1ug/1*106cells) used under the same conditions. Acquisition of >10, 000 events was performed.
-
-
其他:
產品詳情
-
Uniprot No.:
-
基因名:EMD
-
別名:EDMD antibody; Emd antibody; EMD_HUMAN antibody; Emerin antibody; Emery Dreifuss muscular dystrophy antibody; STA antibody
-
反應種屬:Human
-
免疫原:A synthesized peptide from human EMD protein
-
免疫原種屬:Homo sapiens (Human)
-
標記方式:Non-conjugated
-
克隆類型:Monoclonal
-
抗體亞型:Rabbit IgG
-
純化方式:Affinity-chromatography
-
克隆號:8F12
-
濃度:It differs from different batches. Please contact us to confirm it.
-
保存緩沖液:Rabbit IgG in 10mM phosphate buffered saline , pH 7.4, 150mM sodium chloride, 0.05% BSA, 0.02% sodium azide and 50% glycerol.
-
產品提供形式:Liquid
-
應用范圍:ELISA, WB, IHC, FC
-
推薦稀釋比:
Application Recommended Dilution WB 1:500-1:5000 IHC 1:50-1:200 FC 1:50-1:200 -
Protocols:
-
儲存條件:Upon receipt, store at -20°C or -80°C. Avoid repeated freeze.
-
貨期:Basically, we can dispatch the products out in 1-3 working days after receiving your orders. Delivery time maybe differs from different purchasing way or location, please kindly consult your local distributors for specific delivery time.
-
用途:For Research Use Only. Not for use in diagnostic or therapeutic procedures.
相關產品
靶點詳情
-
功能:Stabilizes and promotes the formation of a nuclear actin cortical network. Stimulates actin polymerization in vitro by binding and stabilizing the pointed end of growing filaments. Inhibits beta-catenin activity by preventing its accumulation in the nucleus. Acts by influencing the nuclear accumulation of beta-catenin through a CRM1-dependent export pathway. Links centrosomes to the nuclear envelope via a microtubule association. EMD and BAF are cooperative cofactors of HIV-1 infection. Association of EMD with the viral DNA requires the presence of BAF and viral integrase. The association of viral DNA with chromatin requires the presence of BAF and EMD. Required for proper localization of non-farnesylated prelamin-A/C.
-
基因功能參考文獻:
- Emerin plays a crucial role in nuclear invagination and in the nuclear calcium transient in Emery-Dreifuss muscular dystrophy. PMID: 28290476
- evaluation of the diagnostic value of emerin and CD56 in papillary thyroid carcinoma, using immunohistochemistry PMID: 30188764
- the mobility of YFP-Emerin was higher in Samp1 knock out cells and lower in cells overexpressing Samp1, suggesting that Samp1 significantly attenuates the mobility of Emerin in the nuclear envelope. The mobility of Emerin depends on RanGTP. The affinity between Samp1 and Emerin is decreased in the presence of Ran, suggesting that Ran attenuates the interaction between Samp1 and Emerin. PMID: 29510091
- Epstein-Barr virus early lytic protein BFRF1 alters emerin distribution and post-translational modifications. PMID: 28238874
- results indicate that emerin negatively regulates Notch signaling by promoting the retention of the NICD at the nuclear membrane PMID: 27865926
- It has been concluded that the LEM domain, responsible for binding to the chromatin protein BAF, undergoes a conformational change during self-assembly of emerin N-terminal region. PMID: 27960036
- X-linked Emery-Dreifuss muscular dystrophy may occur along with dilative cardiomyopathy. PMID: 25502304
- Association of emerin with nuclear BAF in cells required the LEM domain (residues 1-47). PMID: 25052089
- These data suggest a new role of EMD as an enhancer of autophagosome formation in the C16-ceramide autophagy pathway in colon cancer cells. PMID: 24819607
- Results highlight the interactions at the nuclear envelope where mutations in the EMD and TMPO gene in combination with mutations in SUN1 have an impact on several components of the network. PMID: 24375709
- Emerin, a conserved LEM-domain protein, is among the few nuclear membrane proteins for which extensive basic knowledge--biochemistry, partners, functions, localizations, posttranslational regulation, roles in development and links to human disease PMID: 23873439
- the nucleoplasmic domains of Samp1 and Emerin can bind directly to each other. PMID: 24950247
- Findings show a novel EMD deletion causing rare clinical presentations which broaden the heterogeneous spectrum of phenotypes attributed to EMD mutations and provide new insight of genotype-phenotype correlations between EMD mutations and EDMD symptoms. PMID: 24997722
- Emerin and BAF associated only in histone- and lamin-B-containing fractions. The S173D mutation specifically and selectively reduced GFP-emerin association with BAF by 58% PMID: 24014020
- Immunofluorescence assay and biochemical analysis of infected or transfected cells showed that Kaposi's sarcoma-associated herpesvirus p29 expression resulted in delocalization and hyperphosphorylation of emerin. PMID: 23623980
- Genetic testing identified the mutation in the EMD gene, confirming X-linked recessive (XR) EDMD. The patient's asymptomatic mother was confirmed as a carrier. PMID: 22480903
- Data augment the number of EMD mutations by 13.8%, equating to an increase of 5.2% in the total known EMD mutations and to an increase of 6.0% in the number of different mutations. PMID: 21697856
- Data provide evidence that 4.1R has functional interactions with emerin and A-type lamin that impact upon nuclear architecture, centrosome-nuclear envelope association and the regulation of beta-catenin transcriptional co-activator activity. PMID: 21486941
- An association of Mel18 with emerin was observed in Hutchinson-Gilford progeria syndrome, but not in WT cells. PMID: 19727227
- BAF and emerin have dynamic roles in genome integrity and might help couple DNA damage responses to the nuclear lamina network PMID: 19759913
- Certain patients presenting a typical EDMD phenotype in which no mutations in the EMD or LMNA genes can be confirmed. This may indicate that an Emery-Dreifuss-like dystrophy could also be associated with mutations in other genes. PMID: 20054742
- These findings suggest roles for emerin as a downstream effector and signal integrator for tyrosine kinase signaling pathway(s) at the nuclear envelope. PMID: 19789182
- Disease-linked emerin proteins all remain active for binding directly to barrier-to-autointegration factor (BAF) both in vitro and in vivo, suggesting that disease results from loss of interactions between emerin and lamin A or putative novel partner(s). PMID: 11792821
- genes known to be responsible for Emery-Dreifuss muscular dystrophy PMID: 11973618
- emerin binds directly to a transcriptional repressor, GCL, and the emerin-repressor complexes might be regulated by barrier to autointegration factor PMID: 12493765
- emerin has a regulatory role, as well as a structural role in the cell nucleus PMID: 12755701
- the lamin a-emerin complex might have a role in muscular dystrophy and cardiomyopathy PMID: 12783988
- These results suggest that Btf localization is regulated by apoptotic signals, and that loss of emerin binding to Btf may be relevant to muscle wasting in Emery-Dreifuss muscular dystrophy. PMID: 15009215
- Data describe the mobility of barrier-to-autointegration factor to its partners emerin, LAP2 beta, and MAN1 in the nuclear membrane of living HeLa cells. PMID: 15109603
- emerin may disrupt transcription factors and nuclear envelope architecture by weakening a nuclear actin network PMID: 15328537
- Data describe the direct binding of the nuclear membrane protein MAN1 to emerin in vitro. PMID: 15681850
- phosphorylation at Ser175 regulates the dissociation of emerin from BAF PMID: 16204256
- Data show that chromosome positioning is largely unaffected in lymphoblastoid cell lines containing emerin or A-type lamin mutations. PMID: 16246140
- We show that epitope masking in the nucleus is often responsible for failure to detect emerin in human and rat tissues. Pig spleen had fewer emerin-positive nuclei than lung (5% vs. 32%), although their emerin content was similar by Western blotting. PMID: 16283426
- Ser-4 phosphorylation inhibits BAF binding to emerin and lamin A, and thereby weakens emerin-lamin interactions during both mitosis and interphase. PMID: 16371512
- Lamin A/C and emerin are critical for skeletal muscle satellite cell differentiation, with deficient cells displaying delayed differentiation kinetics that may underlie dystrophic phenotypes. PMID: 16481476
- emerin, an integral inner-nuclear-envelope protein, is necessary for HIV-1 infection PMID: 16680152
- Review summarizes growing evidence that emerin has both architectural and gene-regulatory roles in the nucleus which may contribute to the pathology and mechanism of Emery-Dreifuss muscular dystrophy. PMID: 16761279
- We found that in inclusion-body myositis (IBM) muscle vacuoles were immunoreactive for the inner nuclear membrane proteins emerin and lamin A/C. PMID: 16823856
- Emerin regulates the flux of beta-catenin, an important transcription coactivator, into the nucleus. PMID: 16858403
- Altered nuclear envelope elasticity caused by loss of emerin could contribute to increased nuclear fragility in Emery-Dreifuss muscular dystrophy patients with mutations in the emerin gene. PMID: 16997877
- Lmo7 positively regulates many EDMD-relevant genes (including emerin), and is feedback-regulated by binding to emerin. PMID: 17067998
- Mislocalization of emerin to the endoplasmic reticulum in human cells lacking A-type lamins leads to its degradation and provides the first evidence that its degradation is mediated by the proteasome. PMID: 17097067
- Neither emerin nor LMNA mutations in a subset of families with EDMD-like phenotypes that may imply an existence of other genes causing similar disorders. PMID: 17117676
- The characterisation of the residues both in emerin and in nesprin-1alpha and -2beta which are involved in their interaction is reported. PMID: 17462627
- findings highlight the crucial role of lamin A/C-emerin interactions, with evidence for synergistic effects of these mutations that lead to Emery-Dreifuss muscular dystrophy as the worsened result of digenic mechanism in this family PMID: 17536044
- Mutations in EMD may indicate a limb-girdle muscular dystrophy phenotype. Identification of emerin deficiency among patients with limb-girdle muscular dystrophy is essential to prevent cardiac catastrophe. PMID: 17620497
- The results suggest a model in which pUS3 and PKCdelta that has been recruited by pUL34 hyperphosphorylate emerin, leading to disruption of its connections with lamin proteins and contributing to the disruption of the nuclear lamina. PMID: 17652388
- significant fraction of emerin is located at the outer nuclear membrane and peripheral ER, where it interacts directly with the centrosome. PMID: 17785515
- mutation of EMD can underlie X-linked familial atrial fibrillation; Lys37del is associated with epithelial cell emerin deficiency, as in Emery-Dreifuss muscular dystrophy, yet it causes electrical atriomyopathy in the absence of skeletal muscle disease PMID: 18266676
顯示更多
收起更多
-
相關疾病:Emery-Dreifuss muscular dystrophy 1, X-linked (EDMD1)
-
亞細胞定位:Nucleus inner membrane; Single-pass membrane protein; Nucleoplasmic side. Nucleus outer membrane. Note=Colocalized with BANF1 at the central region of the assembling nuclear rim, near spindle-attachment sites. The accumulation of different intermediates of prelamin-A/C (non-farnesylated or carboxymethylated farnesylated prelamin-A/C) in fibroblasts modify its localization in the nucleus.
-
組織特異性:Skeletal muscle, heart, colon, testis, ovary and pancreas.
-
數據庫鏈接:
Most popular with customers
-
-
YWHAB Recombinant Monoclonal Antibody
Applications: ELISA, WB, IHC, IF, FC
Species Reactivity: Human, Mouse, Rat
-
Phospho-YAP1 (S127) Recombinant Monoclonal Antibody
Applications: ELISA, WB, IHC
Species Reactivity: Human
-
-
-
-
-















