EEF2 Recombinant Monoclonal Antibody
-
中文名稱:EEF2 Recombinant Monoclonal Antibody
-
貨號:CSB-RA174057A0HU
-
規格:¥1320
-
圖片:
-
Flow cytometric analysis of Eukaryotic translation elongation factor 2 expression in HepG2 cells using Eukaryotic translation elongation factor 2 antibody. Green, isotype control; red, Eukaryotic translation elongation factor 2.
-
Immunocytochemical staining of HepG2 cells with Eukaryotic translation elongation factor 2 antibody. Nuclei were stained blue with DAPI; Eukaryotic translation elongation factor 2 was stained magenta with Alexa Fluor? 647. Images were taken using Leica stellaris 5. Protein abundance based on laser Intensity and smart gain: Medium. Scale bar, 20 μm.
-
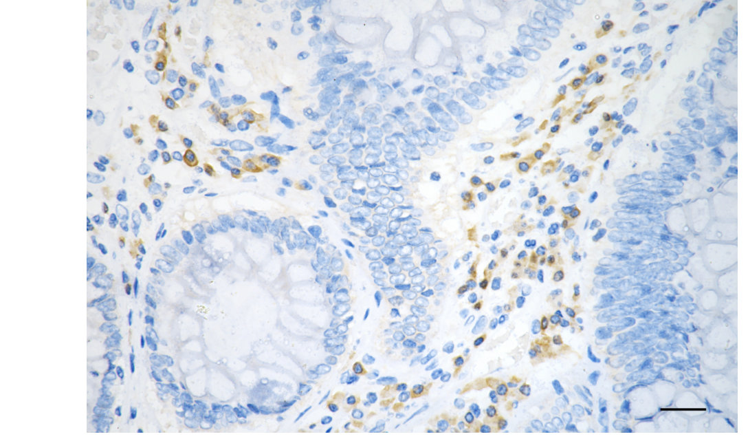
Immunohistochemistry was performed on paraffin-embedded human sigmoid colon carcinoma using eukaryotic translation elongation factor 2 antibody. Antigen retrieval was done in sodium citrate buffer (pH 6.0). DAB was used for detection, with hematoxylin counterstaining. Images were acquired using a Nikon Ci-L Plus microscope (40× objective). Scale bar: 25 μm.
-
Western blotting analysis using eukaryotic translation elongation factor 2 antibody. Total cell lysates (20 μg) from various cell lines were loaded and separated by SDS-PAGE. The blot was incubated with eukaryotic translation elongation factor 2 antibody and HRP-conjugated goat anti-rabbit secondary antibody respectively.
-
-
其他:
產品詳情
-
Uniprot No.:
-
基因名:
-
別名:EEF2; Eukaryotic Translation Elongation Factor 2; EEF-2; EF2; Polypeptidyl-TRNA Translocase; Elongation Factor 2; EF-2; Epididymis Secretory Sperm Binding Protein; EC 3.6.5.-; SCA26
-
反應種屬:Human, Mouse, Rat
-
免疫原:Recombinant Human EEF2 protein
-
免疫原種屬:Homo sapiens (Human)
-
標記方式:Non-conjugated
-
克隆類型:Monoclonal
-
抗體亞型:Rabbit IgG
-
純化方式:Affinity-chromatography
-
克隆號:9C11
-
濃度:It differs from different batches. Please contact us to confirm it.
-
保存緩沖液:Rabbit IgG in PBS (pH 7.4) containing 50% glycerol, and 0.02% sodium azide.
-
產品提供形式:Liquid
-
應用范圍:ELISA, WB, FC, ICC, IHC
-
推薦稀釋比:
Application Recommended Dilution WB 1:1000-1:5000 FC 1:200-1:2000 ICC 1:100-1:1000 IHC 1:100-1:200 -
Protocols:
-
儲存條件:Upon receipt, store at -20°C or -80°C. Avoid repeated freeze.
-
貨期:Basically, we can dispatch the products out in 1-3 working days after receiving your orders. Delivery time maybe differs from different purchasing way or location, please kindly consult your local distributors for specific delivery time.
-
用途:For Research Use Only. Not for use in diagnostic or therapeutic procedures.
相關產品
靶點詳情
-
功能:Catalyzes the GTP-dependent ribosomal translocation step during translation elongation. During this step, the ribosome changes from the pre-translocational (PRE) to the post-translocational (POST) state as the newly formed A-site-bound peptidyl-tRNA and P-site-bound deacylated tRNA move to the P and E sites, respectively. Catalyzes the coordinated movement of the two tRNA molecules, the mRNA and conformational changes in the ribosome.
-
基因功能參考文獻:
- our study indicates that expression of eEF2 protein is a potential biomarker for evaluating prostate cancer PMID: 28913610
- eEF2 may be activated in a positive feedback cycle through inactivation of eEF2K via the PI3K/Akt/mTOR pathway. PMID: 30060827
- the direct interaction of AKT2 and EF2 was found to be dynamically regulated in embryonic rat cardiomyocytes PMID: 23823123
- These results suggest that binding of eEF2 to the ribosome alters its conformation, resulting in a weakened affinity of eIF5A and impairment of this interplay compromises cell growth due to translation elongation defects. PMID: 27115996
- nuclear localization of active eEF-2 depends upon its interaction with p53, as cells lacking p53 contain less active eEF-2 in the nuclear compartment PMID: 23542375
- High serum eukaryotic elongation factor 2 level is associated with non-small cell lung cancer. PMID: 24377563
- Results indicated that the eEF2 gene is overexpressed in the majority of several types of cancers and plays an oncogenic role in cancer cell growth. PMID: 24589652
- The expression levels of three putative HA-regulated proteins (TALDO, ANXA1 and EF2) in control, H2O2-, HA- and HA/H2O2-treated OA chondrocytes were verified by Western blotting and the results indeed support the notion that HA acts in anti-oxidation PMID: 24480285
- Thiopental inhibits global protein synthesis by repression of eukaryotic elongation factor 2 and protects from hypoxic neuronal cell death. PMID: 24167567
- A single amino acid substitution in eukaryotic elongation factor 2 co-segregates with the disease phenotype of spinocerebellar ataxia 26. PMID: 23001565
- EEF2 phosphorylation by cyclin A-cyclin-dependent kinase 2 (CDK2) on a novel site, serine 595 (S595), directly regulates T56 phosphorylation by eEF2K. PMID: 23184662
- Burn induces prolonged activation of eEF2K and eEF2 in pediatric patients. PMID: 22269896
- PHD2 modulated eEF2 activity and protein translation under acute hypoxia. PMID: 22308030
- NH125 induces eEF2 phosphorylation (peEF2) through multiple pathways in cancer cells PMID: 22020937
- Training in the fasted state, compared with identical training with ample carbohydrate intake, facilitates post-exercise dephosphorylation of eEF2. PMID: 21132439
- results suggest that eEF2 is an anti-apoptotic marker in lung adenocarcinoma PMID: 21554491
- eEF-2 is activated by both lithium and GSK-3, whereas, lithium treatment and inhibition of GSK-3 have opposing effects on eEF-2. PMID: 20708687
- melanoma antigen expressed in G361, a representative melanoma cell line/ reacted with autoantibodies in patient sera PMID: 20181627
- inhibition of protein synthesis under high pressure occurs independent of the phosphorylation of eEF-2 PMID: 15534876
- Levels of p-eEF2K were significantly increased, and total eEF2 significantly decreased in Alzheimer disease PMID: 16098202
- Data show that overproduction of elongation factor 2 blocks HIV-1 viral protein R-induced cell death both in fission yeast and human cells. PMID: 16520893
- Hypoxia inhibits protein synthesis through a 4EBP1 and EEF2 pathway controlled by mTOR and unbcoupled in breast cancer cells. PMID: 16648488
- Skeletal muscle eEF2 and 4EBP1 phosphorylation during endurance exercise is dependent on intensity and muscle fiber type. PMID: 19036825
- Overexpressed eEF2 in gastrointestinal cancers promoted G2/M progression and enhanced their cell growth in vitro and in vivo. PMID: 19360331
顯示更多
收起更多
-
相關疾病:Spinocerebellar ataxia 26 (SCA26)
-
亞細胞定位:Cytoplasm. Nucleus.
-
蛋白家族:TRAFAC class translation factor GTPase superfamily, Classic translation factor GTPase family, EF-G/EF-2 subfamily
-
數據庫鏈接:
Most popular with customers
-
YWHAB Recombinant Monoclonal Antibody
Applications: ELISA, WB, IHC, IF, FC
Species Reactivity: Human, Mouse, Rat
-
Phospho-YAP1 (S127) Recombinant Monoclonal Antibody
Applications: ELISA, WB, IHC
Species Reactivity: Human
-
-
-
-
-
-















