DSC3 Recombinant Monoclonal Antibody
-
中文名稱:DSC3 Recombinant Monoclonal Antibody
-
貨號:CSB-RA830069A0HU
-
規格:¥1320
-
圖片:
-
Flow cytometric analysis of Desmocollin 3 expression in HeLa cells using Desmocollin 3 antibody. Green, isotype control; red, Desmocollin 3.
-
Immunocytochemical staining of Hela cells with Desmocollin 3 antibody. Nuclei were stained blue with DAPI; Desmocollin 3 with Alexa Fluor? 647. Images were taken using Leica stellaris 5. Protein abundance based on laser Intensity and smart gain: Medium. Scale bar: 20 μm.
-
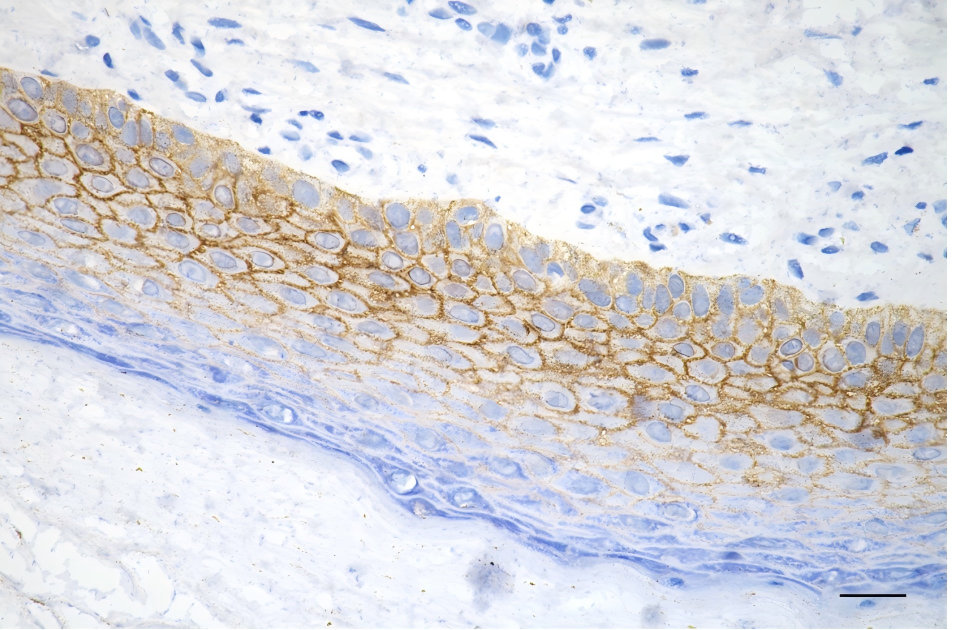
Immunohistochemistry was performed on paraffin-embedded human skin tissue using desmocollin 3 antibody. Antigen retrieval was done in sodium citrate buffer (pH 6.0). DAB was used for detection, with hematoxylin counterstaining. Images were acquired using a Nikon Ci-L Plus microscope (40× objective). Scale bar: 25 μm.
-
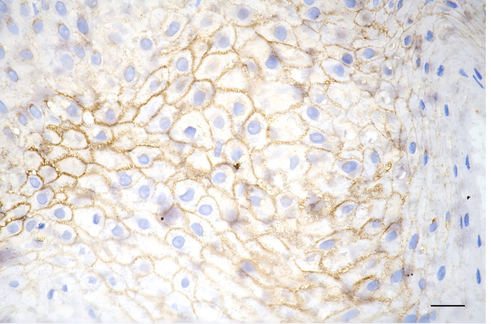
Immunohistochemistry was performed on paraffin-embedded human esophageal carcinoma using desmocollin 3 antibody. Antigen retrieval was done in sodium citrate buffer (pH 6.0). DAB was used for detection, with hematoxylin counterstaining. Images were acquired using a Nikon Ci-L Plus microscope (40× objective). Scale bar: 25 μm.
-
Western blotting analysis using Desmocollin 3 antibody. Total cell lysates (30 μg) from various cell lines were loaded and separated by SDS-PAGE. The blot was incubated with Desmocollin 3 antibody and HRP-conjugated goat anti-rabbit secondary antibody respectively.
-
-
其他:
產品詳情
-
Uniprot No.:
-
基因名:DSC3
-
別名:DSC3; Desmocollin 3; CDHF3; DSC1; DSC2; DSC4; DSC; Cadherin Family Member 3; Desmocollin-3; Desmocollin-4; HT-CP
-
反應種屬:Human
-
免疫原:Recombinant Human DSC3 protein
-
免疫原種屬:Homo sapiens (Human)
-
標記方式:Non-conjugated
-
克隆類型:Monoclonal
-
抗體亞型:Rabbit IgG
-
純化方式:Affinity-chromatography
-
克隆號:18B5
-
濃度:It differs from different batches. Please contact us to confirm it.
-
保存緩沖液:Rabbit IgG in PBS (pH 7.4) containing 50% glycerol, and 0.02% sodium azide.
-
產品提供形式:Liquid
-
應用范圍:ELISA, WB, FC, ICC, IHC
-
推薦稀釋比:
Application Recommended Dilution WB 1:1000-1:5000 FC 1:200-1:2000 ICC 1:100-1:1000 IHC 1:100-1:200 -
Protocols:
-
儲存條件:Upon receipt, store at -20°C or -80°C. Avoid repeated freeze.
-
貨期:Basically, we can dispatch the products out in 1-3 working days after receiving your orders. Delivery time maybe differs from different purchasing way or location, please kindly consult your local distributors for specific delivery time.
-
用途:For Research Use Only. Not for use in diagnostic or therapeutic procedures.
相關產品
靶點詳情
-
功能:Component of intercellular desmosome junctions. Involved in the interaction of plaque proteins and intermediate filaments mediating cell-cell adhesion. May contribute to epidermal cell positioning (stratification) by mediating differential adhesiveness between cells that express different isoforms.
-
基因功能參考文獻:
- The Findings of this study imply early alteration of the substantia nigra in XDP mutation carriers prone to develop parkinsonism. PMID: 28094105
- Data show that fetal pMSCs (mesenchymal stromal cells) expressing the highest levels of desmoglein 2, desmocollin 3 and plakophilin 2, followed by maternal pMSCs, while bmMSCs expressed the lowest levels. PMID: 28154962
- Napsin-A, and Desmocollin-3 were sensitive and specific markers for the diagnosis of AC and SCC, respectively. Both markers allowed classification of 54/60 cases into either AC or SCC. PMID: 26710975
- Suggest that Dsc3 can mediate FSH-induced ovarian cancer cell proliferation by activating the EGFR/Akt signaling pathway. PMID: 26261554
- data suggests that DNA methylation contributes to down-regulation of DSC3 in prostate cancer, and loss of DSC3 predicts poor clinical outcome. PMID: 24664224
- The data show an important role of physiologically occurring transcript d2-d4 in normal brain function. Interference with this role by DSC3 is a likely pathological mechanism in X-chromosomal dystonia parkinsonism syndrome PMID: 23184149
- The p53 target gene desmocollin 3 acts as a novel tumor suppressor through inhibiting EGFR/ERK pathway in human lung cancer. PMID: 22941060
- These findings demonstrate that IgG autoantibodies against an additional component of the desmosomes, Dsc3, induce loss of keratinocyte adhesion and thus may contribute to blister formation in pemphigus. PMID: 21281804
- Methylation status of DSC3 DNA is a prognostic marker for colorectal cancer. P53 appears to have an important role in regulating DSC3 expression. PMID: 21364582
- Autoimmunity to DSC3 in Pemphigus vulgaris. PMID: 20952584
- Gene-profiling experiments of breast cancer cells infected with wt p53 revealed both MASPIN and desmocollin 3 (DSC3) to be p53-target genes, even though both genes are silenced in association with aberrant cytosine methylation of their promoters PMID: 12789271
- Lss of DSC3 expression is a common event in primary breast tumor specimens, and DSC3 gene silencing in breast tumors is frequently linked to aberrant cytosine methylation and concomitant changes in chromatin structure. PMID: 16168112
- Increased Dsc3 protein is associated with colorectal cancer PMID: 17088906
- results suggest an abnormal expression of Dsc3, Dsg3, & beta-catenin induced in the progression of oral carcinomas & that Dsc3 expression level might be related to the regulation of beta-catenin in lymph node metastasis and cell proliferation in OSCCs. PMID: 17846785
- Desmocollin-3 was expressed in almost half of the undifferentiated large-cell cancers PMID: 19287461
- Both the binding of desmocollin 3 (Dsc3) to plakoglobin and Dsc3 phosphorylation are involved in Dsc3 binding to desmoglein 3 (Dsg3) during Ca2+ -induced desmosome assembly. PMID: 19348003
- loss of heterophilic Dsc3/Dsg1 binding may contribute to pemphigus skin blistering PMID: 19717567
- a human desmocollin-3 (DSC3) nonsense mutation underlies hereditary hypotrichosis and recurrent skin vesicles PMID: 19765682
顯示更多
收起更多
-
相關疾?。?/div>Hypotrichosis and recurrent skin vesicles (HRSV)亞細胞定位:Cell membrane; Single-pass type I membrane protein. Cell junction, desmosome.組織特異性:Epidermis, buccal mucosa, esophagus and cervix.數據庫鏈接:
Most popular with customers
-
-
YWHAB Recombinant Monoclonal Antibody
Applications: ELISA, WB, IHC, IF, FC
Species Reactivity: Human, Mouse, Rat
-
-
-
-
-
-















