DPYD Recombinant Monoclonal Antibody
-
中文名稱:DPYD Recombinant Monoclonal Antibody
-
貨號:CSB-RA137096A0HU
-
規格:¥1320
-
圖片:
-
Western Blot
Positive WB detected in: U-251MG whole cell lysate(30μg), Rat liver tissue lysate(30μg)
All lanes: DYPD antibody at 1:1000
Secondary
Goat polyclonal to rabbit IgG at 1/40000 dilution
Predicted band size: 111 kDa
Observed band size: 111 kDa
Exposure time:2min -
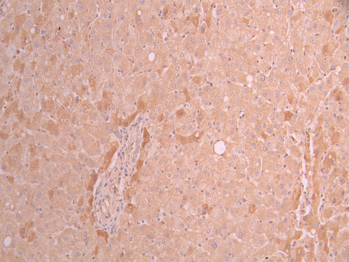
IHC image of CSB-RA137096A0HU diluted at 1:100 and staining in paraffin-embedded human liver tissue performed on a Leica BondTM system. After dewaxing and hydration, antigen retrieval was mediated by high pressure in a citrate buffer (pH 6.0). Section was blocked with 10% normal goat serum 30min at RT. Then primary antibody (1% BSA) was incubated at 4°C overnight. The primary is detected by a Goat anti-rabbit polymer IgG labeled by HRP and visualized using 0.05% DAB.
-
Overlay Peak curve showing BxPC-3 cells stained with CSB-RA137096A0HU (red line) at 1:100. The cells were fixed in 4% formaldehyde and permeated by 0.2% TritonX-100 for 10min. Then 10% normal goat serum to block non-specific protein-protein interactions followed by the antibody (1ug/1*106cells) for 45min at 4℃. The secondary antibody used was FITC-conjugated goat anti-rabbit IgG (H+L) at 1/200 dilution for 35min at 4℃.Control antibody (green line) was Rabbit IgG (1ug/1*106cells) used under the same conditions. Acquisition of >10,000 events was performed.
-
-
其他:
產品詳情
-
Uniprot No.:
-
基因名:DPYD
-
別名:Dihydropyrimidine dehydrogenase [NADP(+)] (DHPDHase) (DPD) (EC 1.3.1.2) (Dihydrothymine dehydrogenase) (Dihydrouracil dehydrogenase), DPYD
-
反應種屬:Human, Rat
-
免疫原:A synthesized peptide from human DPYD protein
-
免疫原種屬:Homo sapiens (Human)
-
標記方式:Non-conjugated
-
克隆類型:Monoclonal
-
抗體亞型:Rabbit IgG
-
純化方式:Affinity-chromatography
-
克隆號:7C8
-
濃度:It differs from different batches. Please contact us to confirm it.
-
保存緩沖液:Preservative: 0.03% Proclin 300
Constituents: 50% Glycerol, 0.01M PBS, PH 7.4 -
產品提供形式:Liquid
-
應用范圍:ELISA, WB, IHC, FC
-
推薦稀釋比:
Application Recommended Dilution WB 1:500-1:2000 IHC 1:50-1:200 FC 1:50-1:200 -
Protocols:
-
儲存條件:Upon receipt, store at -20°C or -80°C. Avoid repeated freeze.
-
貨期:Basically, we can dispatch the products out in 1-3 working days after receiving your orders. Delivery time maybe differs from different purchasing way or location, please kindly consult your local distributors for specific delivery time.
-
用途:For Research Use Only. Not for use in diagnostic or therapeutic procedures.
相關產品
靶點詳情
-
功能:Involved in pyrimidine base degradation. Catalyzes the reduction of uracil and thymine. Also involved the degradation of the chemotherapeutic drug 5-fluorouracil.
-
基因功能參考文獻:
- This study reports novel and rare genetic variants underlying DPD deficiency in 9 cancer patients presenting with severe fluoropyrimidine-associated toxicity. PMID: 28024938
- TYMS 2R3R polymorphism and the -[IVS]14+1G>A mutation in DPYD was not associated with susceptibility to CRC. However, the 2R/2R and 2R/3R genotypes of TYMS polymorphism could significantly contribute to hematological and gastric toxicity in CRC patients in this sample populatio PMID: 29906295
- Results still showed UGT1A1*6 and UGT1A1*28 to be partially associated with irinotecan-induced toxicity and clinical response. An examination of more UGT1A loci, except for UGT1A1*6 and UGT1A1*28, was not helpful to improve the predictive value of irinotecan-based toxicity and efficacy. An examination of DPYD*5 assisted in the prediction of severe diarrhea. PMID: 28637434
- The present study suggests that the SNP rs1801160 and the "IISt" haplotype in the DPYD gene may also have a role in colorectal cancer risk. PMID: 29372689
- Low DPYD expression is associated with colorectal cancer. PMID: 28929491
- *6 rs1801160 and *2A rs3918290 DPYD variant alleles were significantly associated with time to neutropenia in colon cancer. PMID: 29065426
- Results have shown crosstalk among the EGFR cascade and Sp1 and DPD expressions in EGFR mutant non-small-cell lung cancer cell lines. EGF-induced Sp1 up-regulation resulted in both DPYD mRNA and DPD protein expressions. PMID: 27268079
- Carriers of the rare allelic variants DPYD*2A, DPYD*13, and DPYD D949V are more likely to experience severe adverse reactions during fluoropyrimidine-based therapy. PMID: 28614820
- Exploring an extended set of deleterious DPYD variants improves the performance of DPYD genotyping for predicting both grade 3-4 and grade 4 toxicities (digestive and/or neurologic and/or hematotoxicities) related to capecitabine, as compared to conventional genotyping restricted to consensual variants *2A, *13 and D949V PMID: 28481884
- Combined expression analyses of hENT1, TS, and DPD may predict long-term outcomes in patients with borderline resectable pancreatic cancer after neoadjuvant chemoradiotherapy PMID: 28476815
- We demonstrated that real-time DPYD genotyping using TaqMan probes is cost effective in all fluoropyrimidine-based treatments PMID: 27248859
- In pancreatic neuroendocrine neoplasms, biochemical response (p = 0.005) and high dihydropyrimidine-dehydrogenase expression (p = 0.018) were predictive markers of response to 5-FU-based chemotherapy. Thymidylate-Synthase deficiency was an independent risk factor for shorter progression-free survival. PMID: 28027897
- ERCC1-SNP in combination with mRNA ERCC1, DPYD, and ERBB2 from pretherapeutic endoscopic biopsies can predict minor response to chemoradiation, as a basis for individualized therapy of advanced esophageal cancer. PMID: 27741011
- this study was to identify potential risk variants in DPYP gene in an understudied East African population as predictors of severe adverse toxicity to 5-FU PMID: 27727460
- Fourteen out of 275 cancer patients (5.1%) carried a DPYD variant and received a 25-50% dose reduction recommendation for 5-fluorouracil or capecitabine. None of the patients with a DPYD variant treated with a reduced dose developed toxicities. PMID: 27181275
- findings showed that almost 57.1% of Chinese colorectal cancer patients had at least one variant of DPYD*5A and DPYD*9A PMID: 27461651
- High levels of intratumoral DPD expression have a negative impact on sensitivity to 5-fluorouracil in gastric cancer patients, but no prognostic value for long-term survival was uncovered. (Meta-analysis) PMID: 28255193
- Reprot strong functional effect of a DPYD haplotype upon a phenotypic marker of individual 5-FU metabolism to improve toxicity prediction. PMID: 26216193
- we believe that developing functional testing at the bedside could probably help to better picture the actual DPD status of patients scheduled for fluorouracil-based therapy, so as to propose subsequent appropriate adaptive dosing strategies. PMID: 27281624
- DPYD genotyping for alleles 7, *2A, *13 and Y186C was not helpful in the identification of patients with severe DPD deficiency in this series of patients PMID: 27399164
- Our results revealed that the C allele of the DPYD 85T > C polymorphism might be associated with susceptibility to pediatric acute lymphoblastic leukemia PMID: 26846104
- Increases in gene expression levels of TYMP, DPYD, and HIF1A in tumor tissues at 7 days after the start of CRT may be useful for predicting the efficacy of CRT including S-1 or UFT PMID: 27127154
- There were not statistical significant differences between carriers of KRAS mutated alleles between SD and PD groups. No significant difference was found between response rates and toxicity and DPD or UGT1A1 genotypes. Our results suggested that determination of DPD or UGT1A1 genotypes could not be useful for predicting severe toxicity of irinotecan in our population. PMID: 27072236
- Study shows that somatic mutations of DPYD cause a switch in pyrimidine metabolism and promote gene expression of pyrimidine enzymes toward malignant progression. PMID: 26609109
- Results suggest that DPYD c.1129-5923 C>G/hapB3 have limited predictive value for severe toxicity to 5-FU based combination chemotherapy. PMID: 26658227
- oxaliplatin-based chemotherapy increases ERCC1 and DPYD expression levels; bevacizumab induces VEGFA expression in metastatic colorectal cancer PMID: 26372896
- This study demonstrates the clinical validity of combined MIR27A/DPYD screening to identify patients at risk of severe FP-toxicity. PMID: 26804235
- The expression of dihydropyrimidine dehydrogenase and its correlation with survival in stage II/III gastric cancer patients PMID: 25112781
- We propose the gene activity score for translating DPYD genotype into phenotype--{REVIEW} PMID: 26265346
- Demonstrate a correlation between occurrence of DPYD gene variant c.496A>G and KRAS wild type status of colorectal cancer tissue. PMID: 26281864
- Single nucleotide polymorphisms (SNPs) in Dihydropyrimidine Dehydrogenase and UGT1A1 influence fluoropyrimdines and irinotecan adverse events (AEs). PMID: 25782327
- The relationship between DPD genotype and dihydrouracil/uracil values in the 22 patients of the present study was significant PMID: 26265035
- DPYD variants c.1679T>G and c.1236G>A/HapB3 are clinically relevant predictors of fluoropyrimidine-associated toxicity. PMID: 26603945
- The dihydropyrimidine dehydrogenase and ERCC1 expression profile could potentially serve as a useful prognostic biomarker and therapeutic target for surgically resected patients with ampullary carcinoma. PMID: 25906447
- miR-494 is directly bound to DPYD 3'UTR and negatively regulated DPYD expression in colon cancer. PMID: 25873402
- results suggest that the baseline 5,6-dihydrouracil:uracil plasma ratio in most individuals reflects the nonsaturated state of DPD and is not predictive of decreased DPD activity PMID: 25410891
- genome-wide association studies in women of European ancestry: Data confirm that SNPs in DPYD (rs11587873, rs828054) are associated with ovarian carcinoma; analyses included over 36,000 women contributing DNA in the Ovarian Cancer Assoc Consortium. PMID: 25066213
- Germline polymorphism of DPYD have a significant effect on toxicity and clinical outcome in patients receiving capecitabine-based chemotherapy for metastatic gastrointestinal malignancies. PMID: 25677447
- High expression of dihydropyrimidine dehydrogenase in lung adenocarcinoma is associated with mutations in epidermal growth factor receptor and response to chemotherapy. PMID: 24405586
- In patients with heterozygous DPD IVS14+1 mutation, 5-FU dose should be appropriately reduced according to last plasma concentration to reduce adverse reactions, while the homozygous ones should avoid application of 5-FU and its derivatives. PMID: 24817302
- DPYD harbours rare and common capecitabine toxicity variants PMID: 24647007
- Pre-therapeutic DPYD testing may prevent 20-30% of life-threatening or lethal episodes of fluoropyrimidine toxicity in Caucasian patients PMID: 24923815
- Taken together, these results suggest that miR-27a and miR-27b expression may be pharmacologically relevant modulators of Dihydropyrimidine dehydrogenase enzyme function in the liver. PMID: 24401318
- We suggest that a chip including DPYD, TYMS, TYMP, TK1, and TK2 genes is a potential tool to predict response in LARC following fluoropyrimidine-based CCRT. PMID: 24455740
- Colorectal tumors, deficient in mismatch repair, overexpress thymidylate synthetase and dihydropyrimidine dehydrogenase. PMID: 24800948
- Association between flurouracil toxicity and DPYD missense mutations. PMID: 24648345
- DPD is involved in the survival of human embryo brain-derived cells in culture. There was a a reversed correlation between the activities of XO and DPD over 12 days under normal conditions as well as in the presence of XO and DPD inhibitors. PMID: 23597150
- Of 36 previously assessed polymorphisms, only four-TYMS 5'VNTR 2R/3R, TYMS 3'UTR 6bpins-del, DPYD 2846TA, and DPYD *2A-were formally associated with global G3+ toxicity in our analysis. Associations were only present in fluorouracil monotherapy regimens. PMID: 24590654
- DPYD*5 and 1896 T>C accounted for 29.9% of the occurrences of neutropenia (analysis of variance, P = 0.017). PMID: 23942539
- One nonsynonymous SNP of Dihydropyrimidine dehydrogenase (+199381A > G, Asn151Asp) was predicted to change its polarity of amino acid (Asn, neutral to Asp, negative). PMID: 23960437
顯示更多
收起更多
-
相關疾病:Dihydropyrimidine dehydrogenase deficiency (DPYDD)
-
亞細胞定位:Cytoplasm.
-
蛋白家族:Dihydropyrimidine dehydrogenase family
-
組織特異性:Found in most tissues with greatest activity found in liver and peripheral blood mononuclear cells.
-
數據庫鏈接:
Most popular with customers
-
-
YWHAB Recombinant Monoclonal Antibody
Applications: ELISA, WB, IHC, IF, FC
Species Reactivity: Human, Mouse, Rat
-
Phospho-YAP1 (S127) Recombinant Monoclonal Antibody
Applications: ELISA, WB, IHC
Species Reactivity: Human
-
-
-
-
-















