DPP3 Recombinant Monoclonal Antibody
-
中文名稱:DPP3 Recombinant Monoclonal Antibody
-
貨號:CSB-RA091549A0HU
-
規格:¥1320
-
圖片:
-
Flow cytometric analysis of dipeptidyl peptidase 3 expression in H9C2 cells using dipeptidyl peptidase 3 antibody. Green, isotype control; red, dipeptidyl peptidase 3.
-
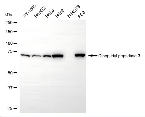
Western blotting analysis using dipeptidyl peptidase 3 antibody. Total cell lysates (30 μg) from various cell lines were loaded and separated by SDS-PAGE. The blot was incubated with dipeptidyl peptidase 3 antibody and HRP-conjugated goat anti-rabbit secondary antibody respectively.
-
-
其他:
產品詳情
-
Uniprot No.:
-
基因名:
-
別名:DPP3; Dipeptidyl Peptidase 3; Enkephalinase B; Dipeptidyl Aminopeptidase III; Dipeptidyl Arylamidase III; Dipeptidyl Peptidase III; EC 3.4.14.4; DPP III; Dipeptidylpeptidase III; Dipeptidyl-Peptidase 3; Dipeptidylpeptidase 3; DPPIII
-
反應種屬:Human, Rat
-
免疫原:Recombinant Human DPP3 protein
-
免疫原種屬:Homo sapiens (Human)
-
標記方式:Non-conjugated
-
克隆類型:Monoclonal
-
抗體亞型:Rabbit IgG
-
純化方式:Affinity-chromatography
-
克隆號:20F1
-
濃度:It differs from different batches. Please contact us to confirm it.
-
保存緩沖液:Rabbit IgG in PBS (pH 7.4) containing 50% glycerol, and 0.02% sodium azide.
-
產品提供形式:Liquid
-
應用范圍:ELISA, WB, FC
-
推薦稀釋比:
Application Recommended Dilution WB 1:1000-1:5000 FC 1:200-1:2000 -
Protocols:
-
儲存條件:Upon receipt, store at -20°C or -80°C. Avoid repeated freeze.
-
貨期:Basically, we can dispatch the products out in 1-3 working days after receiving your orders. Delivery time maybe differs from different purchasing way or location, please kindly consult your local distributors for specific delivery time.
-
用途:For Research Use Only. Not for use in diagnostic or therapeutic procedures.
相關產品
靶點詳情
-
功能:Cleaves and degrades bioactive peptides, including angiotensin, Leu-enkephalin and Met-enkephalin. Also cleaves Arg-Arg-beta-naphthylamide (in vitro).
-
基因功能參考文獻:
- We conclude that DPP 3 may influence the cellular expression of Ang-(1-7) and potentially reflect a therapeutic target to augment the actions of the peptide PMID: 27315786
- biological function of human dipeptidyl peptidase III PMID: 26887037
- several crystal structures of complexes of human dipeptidyl peptidase III with different peptides. PMID: 27025154
- Evidence for concurrent expression of hDPP III mRNA V-I and V-II in multiple human tumor derived cell lines. PMID: 27153830
- the DPP III conformational landscape and the influence of ligand binding on the protein structure and dynamics, was investigated. PMID: 26334575
- Kinetic studies revealed that the single mutant D496G lost selectivity due to the increase of the Km value. The D496G, but not S504G, showed significantly decreased binding of peptides with N-terminal arginine, and of tynorphin. PMID: 25581752
- The study used three different conformations of human dipeptidyl-peptidase III (DPP III) to investigate the influence of the protein environment on ligand binding and the Zn(2+) coordination. PMID: 25192149
- Deletion/mutagenesis of C/EBP-beta binding motif of DPP III promoter significantly increased its activity and abolished its responsiveness to IL-6 in glioblastoma cells. PMID: 24472318
- The activity of the yeast and human dipeptidyl peptidase III were examined. PMID: 23362197
- Combined results of mutational analysis and mass spectrometry suggest that glutathionylation (formation of mixed disulfide) of Cys176 and Cys654 contributes to human DPP III inactivation by oxidized glutathione. PMID: 23667907
- Amplification and mRNA overexpression of the DPP3 gene is associated with squamous cell lung carcinomas. PMID: 23382044
- results provide the basis for the design of specific inhibitors that enable the elucidation of the exact role of DPP III and the exploration of its potential as a target of pain intervention strategies PMID: 22493238
- Ets-1/Elk-1 is a critical mediator of DPP3 transcription in human glioblastoma cells. PMID: 20236318
- In malignant neoplasms of the ovary DPP III activity increased with growing histologic grade. PMID: 14529681
- the conserved tyrosine could be involved in transition state stabilization during the catalytic action of M49 peptidases. PMID: 18163885
顯示更多
收起更多
-
亞細胞定位:Cytoplasm, cytosol.
-
蛋白家族:Peptidase M49 family
-
組織特異性:Detected in placenta (at protein level). Detected in erythrocytes (at protein level).
-
數據庫鏈接:
Most popular with customers
-
-
YWHAB Recombinant Monoclonal Antibody
Applications: ELISA, WB, IHC, IF, FC
Species Reactivity: Human, Mouse, Rat
-
Phospho-YAP1 (S127) Recombinant Monoclonal Antibody
Applications: ELISA, WB, IHC
Species Reactivity: Human
-
-
-
-
-















