DNAJA1 Recombinant Monoclonal Antibody
-
中文名稱:DNAJA1重組抗體
-
貨號:CSB-RA589492A0HU
-
規格:¥1320
-
圖片:
-
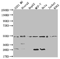
Western Blot
Positive WB detected in: U251 whole cell lysate, Ntera-2 whole cell lysate, HepG2 whole cell lysate, MCF-7 whole cell lysate, Hela whole cell lysate, Jurkat whole cell lysate, K562 whole cell lysate
All lanes: DNAJA1 antibody at 1:2000
Secondary
Goat polyclonal to rabbit IgG at 1/50000 dilution
Predicted band size: 45, 38 kDa
Observed band size: 45-55 kDa -
Immunofluorescence staining of A549 cell with CSB-RA589492A0HU at 1:50, counter-stained with DAPI. The cells were fixed in 4% formaldehyde and blocked in 10% normal Goat Serum. The cells were then incubated with the antibody overnight at 4°C. The secondary antibody was Alexa Fluor 550-congugated AffiniPure Goat Anti-Rabbit IgG(H+L).
-
Overlay Peak curve showing A549 cells stained with CSB-RA589492A0HU (red line) at 1:100. The cells were fixed in 4% formaldehyde and permeated by 0.2% TritonX-100. Then 10% normal goat serum to block non-specific protein-protein interactions followed by the antibody (1ug/1*106cells) for 45min at 4℃. The secondary antibody used was FITC-conjugated Goat Anti-rabbit IgG(H+L) at 1:200 dilution for 35min at 4℃.Control antibody (green line) was rabbit IgG (1ug/1*106cells) used under the same conditions. Acquisition of >10,000 events was performed.
-
-
其他:
產品詳情
-
產品描述:DNAJA1 Recombinant Monoclonal Antibody(CSB-RA589492A0HU)是一款經多種實驗驗證的高特異性抗體,靶向DNAJA1蛋白。DNAJA1是Hsp40/DnaJ分子伴侶家族成員,通過調節Hsp70 ATP酶活性參與蛋白質折疊、應激反應及錯誤蛋白降解,其表達異常與腫瘤發生、神經退行性疾病等病理過程密切相關。本抗體經ELISA、Western Blot(WB)、免疫熒光(IF)和流式細胞術(FC)嚴格驗證,在WB實驗中可清晰識別內源性DNAJA1蛋白,IF與FC實驗能精準定位細胞內及膜表面靶蛋白分布,推薦稀釋度分別為WB 1:500-1:2000、IF 1:50-1:200、FC 1:50-1:200。驗證數據表明該抗體在多種樣本類型中均呈現低背景和高信噪比特性,適用于研究DNAJA1在細胞應激應答、蛋白質質量控制機制中的功能,或用于體外模型中探索其與Hsp70協同作用對疾病相關蛋白聚集的調控。該產品為研究分子伴侶網絡、疾病相關蛋白質穩態失衡提供可靠工具,適用于基礎科研領域的蛋白互作分析、亞細胞定位研究及功能驗證實驗。
-
Uniprot No.:
-
基因名:
-
別名:DnaJ homolog subfamily A member 1 (DnaJ protein homolog 2) (HSDJ) (Heat shock 40 kDa protein 4) (Heat shock protein J2) (HSJ-2) (Human DnaJ protein 2) (hDj-2), DNAJA1, DNAJ2 HDJ2 HSJ2 HSPF4
-
反應種屬:Human
-
免疫原:A synthesized peptide derived from human DNAJA1
-
免疫原種屬:Homo sapiens (Human)
-
標記方式:Non-conjugated
-
克隆類型:Monoclonal
-
抗體亞型:Rabbit IgG
-
純化方式:Affinity-chromatography
-
克隆號:23C6
-
濃度:It differs from different batches. Please contact us to confirm it.
-
保存緩沖液:Rabbit IgG in 10mM phosphate buffered saline , pH 7.4, 150mM sodium chloride, 0.05% BSA, 0.02% sodium azide and 50% glycerol.
-
產品提供形式:Liquid
-
應用范圍:ELISA, WB, IF, FC
-
推薦稀釋比:
Application Recommended Dilution WB 1:500-1:2000 IF 1:50-1:200 FC 1:50-1:200 -
Protocols:
-
儲存條件:Upon receipt, store at -20°C or -80°C. Avoid repeated freeze.
-
貨期:Basically, we can dispatch the products out in 1-3 working days after receiving your orders. Delivery time maybe differs from different purchasing way or location, please kindly consult your local distributors for specific delivery time.
-
用途:For Research Use Only. Not for use in diagnostic or therapeutic procedures.
相關產品
靶點詳情
-
功能:Co-chaperone for HSPA8/Hsc70. Stimulates ATP hydrolysis, but not the folding of unfolded proteins mediated by HSPA1A (in vitro). Plays a role in protein transport into mitochondria via its role as co-chaperone. Functions as co-chaperone for HSPA1B and negatively regulates the translocation of BAX from the cytosol to mitochondria in response to cellular stress, thereby protecting cells against apoptosis. Promotes apoptosis in response to cellular stress mediated by exposure to anisomycin or UV.
-
基因功能參考文獻:
- that DNAJA1 controls the fate of misfolded stabilization of mutant p53 PMID: 27775703
- Therefore, we propose that DnaJA1 is co-opted by the influenza A virus to enter the nucleus and to enhance its RNA polymerase activity in an Hsp70 cochaperone-independent manner. PMID: 25253355
- structure and function of human DNAJA1 and its relationship to pancreatic cancer PMID: 24512202
- we combined the Hsp70-NEF pairs with cochaperones of the J protein family (DnaJA1, DnaJA2, DnaJB1, and DnaJB4) to generate 16 permutations. PMID: 24318877
- Moreover, the levels of DnaJA1 and Hsp70 seem to play against each other with regard to tau: as DnaJA1 levels increase, tau levels are reduced, but this can be prevented if Hsp70 levels are simultaneously induced. PMID: 22343013
- Hdj2 directly associates with Japanese encephalitis virus nonstructural protein NS5 and facilitates viral replication. PMID: 21999493
- Hsc70 and a dimer of DjA1 independently bind to an unfolded protein PMID: 20363747
- Hsp40 type 1 chaperones DJA1 (DNAJA1/Hdj2) and DJA2 (DNAJA2) as key modulators of hERG degradation PMID: 19940115
- Mammalian, yeast, bacterial, and chemical chaperones reduce aggregate formation and death in a cell model of oculopharyngeal muscular dystrophy PMID: 11796717
- HSP40 binding is the first step in the HSP90 chaperoning pathway for the progesterone receptor PMID: 11809754
- sequence analysis of two isoforms PMID: 12974469
- Multiple tissue polymerase chain reaction (PCR) results showed that nDnaJA1 expressed highly in testis and lung but low in thymus, prostate, colon and liver PMID: 15595953
- Results indicate that DjA1 and DjB4 of subfamilies A and B of human Hsp40 have different quaternary structures and chaperone functions. PMID: 15661747
- DJA1 was inhibitory of refolding with DJA2 and Hsc70. PMID: 18684711
顯示更多
收起更多
-
亞細胞定位:Membrane; Lipid-anchor. Cytoplasm. Microsome. Nucleus. Cytoplasm, perinuclear region. Mitochondrion.
-
組織特異性:Ubiquitous. Isoform 2 is highly expressed in testis and lung, but detected at low levels in thymus, prostate, colon and liver.
-
數據庫鏈接:
Most popular with customers
-
-
YWHAB Recombinant Monoclonal Antibody
Applications: ELISA, WB, IHC, IF, FC
Species Reactivity: Human, Mouse, Rat
-
-
-
-
-
-
VDAC1 Recombinant Monoclonal Antibody
Applications: ELISA, WB, IHC
Species Reactivity: Human, Mouse, Rat















