DIABLO Recombinant Monoclonal Antibody
-
中文名稱:DIABLO Recombinant Monoclonal Antibody
-
貨號:CSB-RA586177A0HU
-
規格:¥1320
-
圖片:
-
Western Blot
Positive WB detected in: HEK293 whole cell lysate(30μg),PC-3 whole cell lysate(30μg),SW620 whole cell lysate(30μg),Jurkat whole cell lysate(30μg),MCF-7 whole cell lysate(30μg),A431 whole cell lysate(30μg),HepG2 whole cell lysate(30μg),NIH/3T3 whole cell lysate(30μg),Mouse heart tissue lysate(30μg)
All lanes: DIABLO antibody at 1:1000
Secondary
Goat polyclonal to rabbit IgG at 1/40000 dilution
Predicted band size: 27 kDa
Observed band size: 21 kDa
Exposure time:20s -
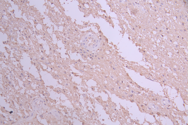
IHC image of CSB-RA586177A0HU diluted at 1:100 and staining in paraffin-embedded human glioma cancer performed on a Leica BondTM system. After dewaxing and hydration, antigen retrieval was mediated by high pressure in a citrate buffer (pH 6.0). Section was blocked with 10% normal goat serum 30min at RT. Then primary antibody (1% BSA) was incubated at 4°C overnight. The primary is detected by a Goat anti-rabbit polymer IgG labeled by HRP and visualized using 0.05% DAB.
-
Overlay Peak curve showing SH-SY5Y cells stained with CSB-RA586177A0HU (red line) at 1:100. The cells were fixed in 4% formaldehyde and permeated by 0.2% TritonX-100 for 10min. Then 10% normal goat serum to block non-specific protein-protein interactions followed by the antibody (1ug/1*106cells) for 45min at 4℃. The secondary antibody used was FITC-conjugated goat anti-rabbit IgG (H+L) at 1/200 dilution for 35min at 4℃.Control antibody (green line) was Rabbit IgG (1ug/1*106cells) used under the same conditions. Acquisition of >10,000 events was performed.
-
-
其他:
產品詳情
-
Uniprot No.:
-
基因名:
-
別名:0610041G12Rik antibody; DBLOH_HUMAN antibody; DBOH antibody; DFNA64 antibody; diablo antibody; Diablo homolog (Drosophila) antibody; Diablo homolog antibody; Diablo homolog mitochondrial antibody; Diablo IAP binding mitochondrial protein antibody; Diablo like protein antibody; DIABLO S antibody; Direct IAP binding protein with low pI antibody; Direct IAP-binding protein with low pI antibody; FLJ10537 antibody; FLJ25049 antibody; mitochondrial antibody; Mitochondrial Smac protein antibody; Second mitochondria derived activator of caspase antibody; Second mitochondria-derived activator of caspase antibody; second mitochondrial activator of caspases antibody; SMAC 3 antibody; Smac antibody; Smac protein antibody; SMAC3 antibody
-
反應種屬:Human, Mouse
-
免疫原:A synthesized peptide derived from human DIABLO
-
免疫原種屬:Homo sapiens (Human)
-
標記方式:Non-conjugated
-
克隆類型:Monoclonal
-
抗體亞型:Rabbit IgG
-
純化方式:Affinity-chromatography
-
克隆號:14H5
-
濃度:It differs from different batches. Please contact us to confirm it.
-
保存緩沖液:Rabbit IgG in 10mM phosphate buffered saline , pH 7.4, 150mM sodium chloride, 0.05% BSA, 0.02% sodium azide and 50% glycerol.
-
產品提供形式:Liquid
-
應用范圍:ELISA, WB, IHC, FC
-
推薦稀釋比:
Application Recommended Dilution WB 1:500-1:2000 IHC 1:50-1:200 FC 1:50-1:200 -
Protocols:
-
儲存條件:Upon receipt, store at -20°C or -80°C. Avoid repeated freeze.
-
貨期:Basically, we can dispatch the products out in 1-3 working days after receiving your orders. Delivery time maybe differs from different purchasing way or location, please kindly consult your local distributors for specific delivery time.
-
用途:For Research Use Only. Not for use in diagnostic or therapeutic procedures.
相關產品
靶點詳情
-
功能:Promotes apoptosis by activating caspases in the cytochrome c/Apaf-1/caspase-9 pathway. Acts by opposing the inhibitory activity of inhibitor of apoptosis proteins (IAP). Inhibits the activity of BIRC6/bruce by inhibiting its binding to caspases. Isoform 3 attenuates the stability and apoptosis-inhibiting activity of XIAP/BIRC4 by promoting XIAP/BIRC4 ubiquitination and degradation through the ubiquitin-proteasome pathway. Isoform 3 also disrupts XIAP/BIRC4 interacting with processed caspase-9 and promotes caspase-3 activation. Isoform 1 is defective in the capacity to down-regulate the XIAP/BIRC4 abundance.
-
基因功能參考文獻:
- Mechanistic studies showed that Smac can inhibit the expression of Survivin, promote cell apoptosis of drug-resistant ovarian cancer cells and reverse the drug resistance. PMID: 29562492
- Serum Smac expression level was significantly lower in the EAOC group than in the control group and benign ovarian tumor group (P< 0.05), while HE4 and CA125 expression levels were significantly higher in the EAOC group than the other two groups. PMID: 29226858
- SMAC expression in locally advanced breast cancer is a novel favourable prognostic factor in LABC for pathological complete remission and disease-free survival. PMID: 29895124
- administration of SMAC or BH3 mimetics following short-term paclitaxel treatment could be an effective therapeutic strategy for TNBC, while only BH3-mimetics could effectively overcome long-term paclitaxel resistance. PMID: 28187446
- Antagonism strategies to modulate the actions of XIAP, cIAP1/2 and survivin are the central focus of current research and this review highlights advances within this field with particular emphasis upon the development and specificity of second mitochondria-derived activator of caspase (SMAC) mimetics (synthetic analogs of endogenously expressed inhibitors of IAPs SMAC/DIABLO). PMID: 28424988
- analysis of Smac-mediated apoptosis in chronic lymphocytic leukemia cells PMID: 27223062
- Data show that oncolytic viruses (OV) and second mitochondrial activator of caspase (Smac)-mimetic compounds (SMC) synergistically kill cancer cells directly. PMID: 28839138
- Expressions of SDF-1, survivin and smac were significantly higher in epithelial ovarian cancer tissue than those in normal tissue. PMID: 28852723
- Results indicate that Smac plays an important role in reticulum stress-induced apoptosis in human lens epithelial cells, suggesting its close association with cataract development. PMID: 28682901
- Smac mimetic APG-1387 exerts a potent antitumor effect on nasopharyngeal carcinoma cells by inducing apoptosis. PMID: 27424523
- Study found a negative correlation between Smac and XIAP at the level of protein but not mRNA in non-small cell lung carcinoma (NSCLC) patients. Overexpressed XIAP could degrade through ubiquitination, the mature Smac inhibiting NSCLC apoptosis. PMID: 27498621
- Report role of RIP1 in Smac mimetic mediated chemosensitization of neuroblastoma cells. PMID: 26575016
- This review discusses the promise as well as some challenges at the translational interface of exploiting Smac mimetics as cancer therapeutics. PMID: 26567362
- Data indicate that Smac/DIABLO showed an inverse correlation with inhibitor of apoptosis proteins XIAP, cIAP-1 and cIAP-2. PMID: 25549803
- Data show that mitochondrial X-linked inhibitor of apoptosis protein (XIAP) entry requires apoptosis regulatory proteins Bax or Bak through mitochondrial permeabilization and Smac/DIABLO protein degradation. PMID: 26134559
- SapC-DOPS acts through a mitochondria-mediated pathway accompanied by an early release of Smac and Bax. PMID: 25889084
- this is the first demonstration that a dual approach using simultaneous overexpression of a cell penetrable form of Smac and TRAIL sensitize and promote apoptotic process even in resistant breast cancer cells. PMID: 25586349
- Preoperative measurement of serum VEGF, survivin, and Smac/DIABLO may be of help in early detection of serous ovarian cancer and may provide important information about the patient's outcome and prognosis. PMID: 25577253
- Smac-DIABLO adopts a tetrameric assembly in solution. PMID: 25650938
- IRF1 is a dual regulator of BV6-induced apoptosis and inflammatory cytokine secretion. PMID: 25501823
- CLIC4, ERp29, and Smac/DIABLO integrated into a novel panel based on cancer stem-like cells in association with metastasis stratify the prognostic risks of colorectal cancer. PMID: 24916695
- Within mitochondria, XIAP selectively signals lysosome- and proteasome-associated degradation of its inhibitor Smac. PMID: 25080938
- Describe a new alternatively spliced isoform of Smac which promotes thr formation of mammospheres. PMID: 25337193
- The phosphorylation of Smac at the Nterminal serine 6 residue is functionally linked to Smac release during TNFalphainduced apoptosis. PMID: 25310587
- XIAP, cIAP1, and cIAP2, members of inhibitor of apoptosis (IAP) proteins, are critical regulators of cell death and survival; the SMAC/DIABLO protein is an endogenous antagonist of XIAP, cIAP1, and cIAP2 PMID: 24841289
- It represents a powerful way to enhance the destruction of cancer cells and increase the efficiency and duration of gene expression required for apoptosis. PMID: 24771354
- Over-expression of cellular Smac can inhibit inhibitor of apoptosis proteins (IAPs), enhance caspases activity and the apoptosis rate of PC-3 cells induced by TRAIL, which may provide a useful experimental basis for prostate cancer therapy. PMID: 22528226
- The present study indicated the significance of Smac and survivin in determining the breast cancer response to anthracyclinebased chemotherapy, and may permit further stratifying of prechemotherapy patients to undertake more tailored treatments. PMID: 24317109
- Smac/DIABLO decreases the proliferation and increases the apoptosis of hypertrophic scar fibroblasts. PMID: 23857156
- Results show that Smac mimetics exerts an antitumor effect on nasopharyngeal carcinoma cancer stem cells. PMID: 23699656
- We report that an Smac-mimetic selectively induces TNF-alpha-dependent cystic renal epithelial cell death, leading to the removal of cystic epithelial cells from renal tissues and delaying cyst formation. PMID: 23990677
- The activin A signals via SMAD proteins, but not TAK1 or p38, to regulate murine and ovine Fshb transcription in gonadotrope-like cells. PMID: 22549017
- Results demonstrate an essential and apoptosis-independent function of SMAC in tumor suppression and provide new insights into the biology and targeting of colon cancer. PMID: 22751125
- Overexpression of Smac promotes Cisplatin-induced apoptosis by activating caspase-3 and caspase-9 in lung cancer. PMID: 23252748
- Expressions of SMAC/DIABLO and survivin were significantly reciprocal in breast cancer and benign tumor tissues. PMID: 22161156
- Identification of a novel anti-apoptotic E3 ubiquitin ligase that ubiquitinates antagonists of inhibitor of apoptosis proteins SMAC, HtrA2, and ARTS. PMID: 23479728
- Smac, XIAP, caspase 3 might be associated with the growth and carcinogenesis of nonnasal inverted papilloma. PMID: 23156805
- Higher expression of Smac and Ki-67 appear to play a role in the pathogenesis of pancreatic cancer. Combined detection of these proteins may improve the prognostic evaluation of this disease. PMID: 22534537
- differential redistribution of cyt c and Smac occurs under various conditions PMID: 22848756
- these data suggest a new mechanism by which NOXA chemosensitized ovarian cancer cells to cisplatin by inducing alterations in the Bax/Smac axis. PMID: 22590594
- Overall, the findings suggest that measuring the levels of Smac/DIABLO in the serum may be considered a prognostic parameter in patients with bladder cancer. PMID: 22218530
- Data show that the apoptosis rate of Eca109/Smac was significantly increased with the concentration of cispaltin increased. PMID: 22482401
- The over-expression of PTEN gene may inhibit the proliferation of K562 cells and promote cell apoptosis via the regulation of Survivin, Xiap and Smac genes. PMID: 22333553
- Data show that Smac mimetic- and TNFalpha-mediated cell death occurs without characteristic features of apoptosis (i.e., caspase activation, DNA fragmentation) in FADD-deficient cells. PMID: 22028622
- Data suggest that downregulation of Smac may be a chemoresistance mechanism in ESCC. PMID: 21676925
- Results establish a critical role of Smac in mediating therapeutic responses of HNSCC cells and provide a strong rationale for combining Smac mimetics with other anticancer agents to treat HNSCC. PMID: 21242120
- Low Smac expression is associated with breast cancer. PMID: 21744997
- DFNA64 genotype is the human genetic disorder associated with DIABLO malfunction and suggests that mutant DIABLO(S71L) might cause mitochondrial dysfunction. PMID: 21722859
- Patients with positive smac/DIABLO tumors had a longer disease-specific survival when compared with those with negative tumors in the 10-year follow-up. PMID: 21478115
- The dimerization of Smac is critical for the XIAP-mediated retention of Smac at or inside the mitochondria. PMID: 21354220
顯示更多
收起更多
-
相關疾病:Deafness, autosomal dominant, 64 (DFNA64)
-
亞細胞定位:Mitochondrion. Note=Released into the cytosol when cells undergo apoptosis.
-
組織特異性:Ubiquitously expressed with highest expression in testis. Expression is also high in heart, liver, kidney, spleen, prostate and ovary. Low in brain, lung, thymus and peripheral blood leukocytes. Isoform 3 is ubiquitously expressed.
-
數據庫鏈接:
Most popular with customers
-
-
YWHAB Recombinant Monoclonal Antibody
Applications: ELISA, WB, IHC, IF, FC
Species Reactivity: Human, Mouse, Rat
-
Phospho-YAP1 (S127) Recombinant Monoclonal Antibody
Applications: ELISA, WB, IHC
Species Reactivity: Human
-
-
-
-
-















