DHX9 Recombinant Monoclonal Antibody
-
中文名稱:DHX9 Recombinant Monoclonal Antibody
-
貨號:CSB-RA983870A0HU
-
規格:¥1320
-
圖片:
-
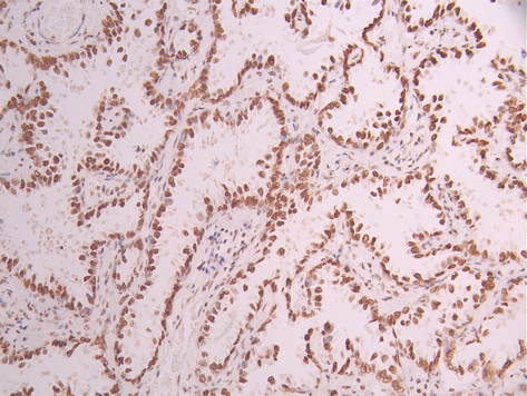
IHC image of CSB-RA983870A0HU diluted at 1:100 and staining in paraffin-embedded human lung cancer performed on a Leica BondTM system. After dewaxing and hydration, antigen retrieval was mediated by high pressure in a citrate buffer (pH 6.0). Section was blocked with 10% normal goat serum 30min at RT. Then primary antibody (1% BSA) was incubated at 4°C overnight. The primary is detected by a Goat anti-rabbit polymer IgG labeled by HRP and visualized using 0.05% DAB.
-
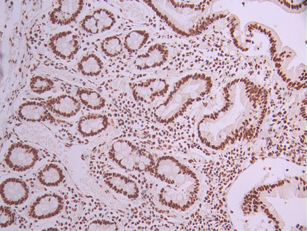
IHC image of CSB-RA983870A0HU diluted at 1:100 and staining in paraffin-embedded human small intestine tissue performed on a Leica BondTM system. After dewaxing and hydration, antigen retrieval was mediated by high pressure in a citrate buffer (pH 6.0). Section was blocked with 10% normal goat serum 30min at RT. Then primary antibody (1% BSA) was incubated at 4°C overnight. The primary is detected by a Goat anti-rabbit polymer IgG labeled by HRP and visualized using 0.05% DAB.
-
Immunofluorescence staining of A549 cell with CSB-RA983870A0HU at 1:50, counter-stained with DAPI. The cells were fixed in 4% formaldehyde, permeabilized using 0.2% Triton X-100 and blocked in 10% normal Goat Serum. The cells were then incubated with the antibody overnight at 4°C. The secondary antibody was Alexa Fluor 488-congugated AffiniPure Goat Anti-Rabbit IgG(H+L).
-
Overlay Peak curve showing Raji cells stained with CSB-RA983870A0HU (red line) at 1:100. The cells were fixed in 4% formaldehyde and permeated by 0.2% TritonX-100 for 10min. Then 10% normal goat serum to block non-specific protein-protein interactions followed by the antibody (1ug/1*106cells) for 45min at 4℃. The secondary antibody used was FITC-conjugated goat anti-rabbit IgG (H+L) at 1/200 dilution for 35min at 4℃.Control antibody (green line) was Rabbit IgG (1ug/1*106cells) used under the same conditions. Acquisition of >10,000 events was performed.
-
-
其他:
產品詳情
-
Uniprot No.:
-
基因名:
-
別名:ATP-dependent RNA helicase A (EC 3.6.4.13) (DEAH box protein 9) (DExH-box helicase 9) (Leukophysin) (LKP) (Nuclear DNA helicase II) (NDH II) (RNA helicase A), DHX9, DDX9 LKP NDH2
-
反應種屬:Human
-
免疫原:A synthesized peptide from human DHX9 protein
-
免疫原種屬:Homo sapiens (Human)
-
標記方式:Non-conjugated
-
克隆類型:Monoclonal
-
抗體亞型:Rabbit IgG
-
純化方式:Affinity-chromatography
-
克隆號:14F8
-
濃度:It differs from different batches. Please contact us to confirm it.
-
保存緩沖液:Preservative: 0.03% Proclin 300
Constituents: 50% Glycerol, 0.01M PBS, PH 7.4 -
產品提供形式:Liquid
-
應用范圍:ELISA, IHC, IF, FC
-
推薦稀釋比:
Application Recommended Dilution IHC 1:50-1:200 IF 1:50-1:200 FC 1:50-1:200 -
Protocols:
-
儲存條件:Upon receipt, store at -20°C or -80°C. Avoid repeated freeze.
-
貨期:Basically, we can dispatch the products out in 1-3 working days after receiving your orders. Delivery time maybe differs from different purchasing way or location, please kindly consult your local distributors for specific delivery time.
-
用途:For Research Use Only. Not for use in diagnostic or therapeutic procedures.
相關產品
靶點詳情
-
功能:Multifunctional ATP-dependent nucleic acid helicase that unwinds DNA and RNA in a 3' to 5' direction and that plays important roles in many processes, such as DNA replication, transcriptional activation, post-transcriptional RNA regulation, mRNA translation and RNA-mediated gene silencing. Requires a 3'-single-stranded tail as entry site for acid nuclei unwinding activities as well as the binding and hydrolyzing of any of the four ribo- or deoxyribo-nucleotide triphosphates (NTPs). Unwinds numerous nucleic acid substrates such as double-stranded (ds) DNA and RNA, DNA:RNA hybrids, DNA and RNA forks composed of either partially complementary DNA duplexes or DNA:RNA hybrids, respectively, and also DNA and RNA displacement loops (D- and R-loops), triplex-helical DNA (H-DNA) structure and DNA and RNA-based G-quadruplexes. Binds dsDNA, single-stranded DNA (ssDNA), dsRNA, ssRNA and poly(A)-containing RNA. Binds also to circular dsDNA or dsRNA of either linear and/or circular forms and stimulates the relaxation of supercoiled DNAs catalyzed by topoisomerase TOP2A. Plays a role in DNA replication at origins of replication and cell cycle progression. Plays a role as a transcriptional coactivator acting as a bridging factor between polymerase II holoenzyme and transcription factors or cofactors, such as BRCA1, CREBBP, RELA and SMN1. Binds to the CDKN2A promoter. Plays several roles in post-transcriptional regulation of gene expression. In cooperation with NUP98, promotes pre-mRNA alternative splicing activities of a subset of genes. As component of a large PER complex, is involved in the negative regulation of 3' transcriptional termination of circadian target genes such as PER1 and NR1D1 and the control of the circadian rhythms. Acts also as a nuclear resolvase that is able to bind and neutralize harmful massive secondary double-stranded RNA structures formed by inverted-repeat Alu retrotransposon elements that are inserted and transcribed as parts of genes during the process of gene transposition. Involved in the positive regulation of nuclear export of constitutive transport element (CTE)-containing unspliced mRNA. Component of the coding region determinant (CRD)-mediated complex that promotes cytoplasmic MYC mRNA stability. Plays a role in mRNA translation. Positively regulates translation of selected mRNAs through its binding to post-transcriptional control element (PCE) in the 5'-untranslated region (UTR). Involved with LARP6 in the translation stimulation of type I collagen mRNAs for CO1A1 and CO1A2 through binding of a specific stem-loop structure in their 5'-UTRs. Stimulates LIN28A-dependent mRNA translation probably by facilitating ribonucleoprotein remodeling during the process of translation. Plays also a role as a small interfering (siRNA)-loading factor involved in the RNA-induced silencing complex (RISC) loading complex (RLC) assembly, and hence functions in the RISC-mediated gene silencing process. Binds preferentially to short double-stranded RNA, such as those produced during rotavirus intestinal infection. This interaction may mediate NLRP9 inflammasome activation and trigger inflammatory response, including IL18 release and pyroptosis. Finally, mediates the attachment of heterogeneous nuclear ribonucleoproteins (hnRNPs) to actin filaments in the nucleus.; (Microbial infection) Plays a role in HIV-1 replication and virion infectivity. Enhances HIV-1 transcription by facilitating the binding of RNA polymerase II holoenzyme to the proviral DNA. Binds (via DRBM domain 2) to the HIV-1 TAR RNA and stimulates HIV-1 transcription of transactivation response element (TAR)-containing mRNAs. Involved also in HIV-1 mRNA splicing and transport. Positively regulates HIV-1 gag mRNA translation, through its binding to post-transcriptional control element (PCE) in the 5'-untranslated region (UTR). Binds (via DRBM domains) to a HIV-1 double-stranded RNA region of the primer binding site (PBS)-segment of the 5'-UTR, and hence stimulates DHX9 incorporation into virions and virion infectivity. Plays also a role as a cytosolic viral MyD88-dependent DNA and RNA sensors in plasmacytoid dendritic cells (pDCs), and hence induce antiviral innate immune responses. Binds (via the OB-fold region) to viral single-stranded DNA unmethylated C-phosphate-G (CpG) oligonucleotide.
-
基因功能參考文獻:
- our study supports the presence of a p53-independent mechanism of cell death and cell cycle arrest resulting from DHX9 inhibition. our results support the feasibility of targeting DHX9 as a chemotherapeutic approach in p53-deficient tumors. PMID: 28427210
- study identified the RNA helicase DHX9 as a regulator of pRNA processing; DHX9 binds to rRNA genes only upon embryonic stem cells differentiation and its activity guides TIP5 to rRNA genes and establishes heterochromatin PMID: 28588071
- the decreased growth of osteosarcoma cells by MCM2 or MCM3 knockdown was reversed by DHX9 overexpression, indicating that MCM2 and MCM3 activity was DHX9-dependent. PMID: 28460433
- analysis of the structure, biochemistry, and biology of DHX9, its role in cancer and other human diseases [review] PMID: 27034008
- RNA helicase A was shown to cooperate with both tumor suppressors and oncoproteins in different tumours, indicating that its specific role in cancer is strongly influenced by the cellular context. PMID: 26885691
- Importantly, binding of Nup98 to DHX9 stimulates the ATPase activity of DHX9, and a transcriptional reporter assay suggests Nup98 supports DHX9-stimulated transcription. PMID: 28221134
- Our results demonstrate a robust tolerance for systemic DHX9 suppression in vivo and support the targeting of DHX9 as an effective and specific chemotherapeutic approach. PMID: 26973242
- an evolutionarily conserved function of DHX9, it acts as a nuclear RNA resolvase that neutralizes the immediate threat posed by Alu transposon insertions and allows these elements to evolve as tools for the post-transcriptional regulation of gene expression PMID: 28355180
- study provides evidence demonstrating that the PRRSV nucleocapsid protein interacts with Nsp9 and its RNA-dependent RNA-polymerase domain and also recruits the cellular helicase DHX9 during virus infection to facilitate viral RNA synthesis and virus production PMID: 27009951
- Genotoxic stress inhibits Ewing sarcoma cell growth by modulating alternative pre-mRNA processing of the RNA helicase DHX9. PMID: 26450900
- OB-fold is involved in modulating HIV-1 RNA splicing in the context of some HIV-1 strains while it is dispensable for the activation of HIV-1 transcription. PMID: 25149208
- results demonstrate an essential role of DHX9 in DNA replication and normal cell cycle progression. PMID: 24990949
- Results show RNA helicase DHX9 as an interacting partner of KIF1Bbeta and found that DHX9 is necessary for KIF1Bbeta to induce apoptosis. PMID: 24469107
- The conserved lysine residues of dsRBDs play critical roles in the promotion of HIV-1 production by RNA helicase A. PMID: 24726449
- RNA helicase A participates in HIV-1 RNA metabolism by multiple distinct mechanisms. PMID: 24223160
- Data suggest that M029 (an RNA-binding protein) plays pivotal role in determining cellular tropism of Myxoma virus in all mammalian cells tested; human RNA helicase A/DHX9 and protein kinase R/EIF2AK2 are two binding partners of M029. PMID: 23853588
- The data implicate DHX9 in processing intra-molecular triplex H-DNA structures in vivo and support its role in the overall maintenance of genomic stability at sites of alternatively structured DNA. PMID: 24049074
- The crystal structure of huma DHX9 RNA binding domains in complex with double stranded RNA. PMID: 23361462
- L1TD1 is part of the L1TD1-RHA-LIN28 complex that could influence levels of OCT4, suggesting that L1TD1 has an important role in the regulation of stemness. PMID: 22162396
- RNA helicase A (RHA) is tethered to the 5' SL of collagen mRNAs by interaction with the C-terminal domain of LARP6. PMID: 22190748
- RNA helicase A as a cellular factor that interacts with influenza A virus NS1 protein and its role in the virus life cycle. PMID: 22171255
- DHX9 is an important RNA sensor that is dependent on interferon-beta promoter stimulator (IPS)-1 to sense pathogenic RNA. PMID: 21957149
- DHX9 also unwound RNA-based G-quadruplexes that have been reported to occur in human transcripts PMID: 21561811
- the molecular basis for the activation of translation by RHA is recognition of target mRNA by the N-terminal domain that tethers the ATP-dependent helicase for rearrangement of the complex 5'-UTR. PMID: 21123178
- observed a positive correlation of the nuclear expression of EGF receptor, RHA, and cyclin D1 in human breast cancer samples PMID: 20802156
- DHX9 displaced the third strand from a specific triplex DNA structure and catalyzed the unwinding with a 3' --> 5' polarity with respect to the displaced third strand. PMID: 20669935
- DHX9/DHX36 represent the MyD88-dependent DNA sensors in the cytosol of plasmacytoid dendritic cells and suggest a much broader role for DHX helicases in viral sensing PMID: 20696886
- the preferential unwinding of RNA-containing substrates by WRN helicase is stimulated by DHX9 in vitro, both on Okazaki fragment-like hybrids and on RNA-containing 'chicken-foot' structures. PMID: 20385589
- DHX9 lacks base-selective contacts, forms an unspecific but important stacking interaction with the base of the bound nucleotide and the protein can hydrolyze ATP, guanosine 5'-triphosphate, cytidine 5'-triphosphate, and uridine 5'-triphosphate. PMID: 20510246
- Proteomic analysis indicates that cellular proteins interacted with Kaposi's sarcoma-associated herpesvirus viral protein kinase (ORF36), and co-immunoprecipitation reactions further reveal interactions with human RNA helicase A. PMID: 20437153
- Four genes encoding BRCA1-interacting proteins were analyzed in a cohort of 96 breast cancer individuals from high-risk non-BRCA1/BRCA2 French Canadian families. PMID: 19197335
- Nuclear DNA helicase II recruitment to PML nuclear bodies(NBs) is connected with transcriptional regulation of interferon-alpha-inducible genes attached to PML NBs. PMID: 12163469
- propose that NDH II operates in both nucleoplasmic and nucleolar mode, and that its redistribution reflects accumulations indicating a possible cycling of NDH II between nucleoplasm and the nucleolus PMID: 12243751
- Overexpression of a truncated RHA peptide that binds to the BRCA1 carboxy-terminus prevents normal BRCA1 function & association with nuclear foci following DNA damage. It induces pleomorphic nuclei, aberrant mitoses with extra centrosomes, & tetraploidy. PMID: 12592385
- DNA-PK phosphorylated recombinant NDH II in the presence of RNA PMID: 14704337
- RNA helicase A in the MEF1 transcription factor complex up-regulates the MDR1 gene in multidrug-resistant cancer cells PMID: 14769796
- RHA interacts with NF-kappa B p65 and functions as a transcriptional coactivator. PMID: 15355351
- Results suggest that nuclear DNA helicase II plays a role in promoting the DNA processing function of Werner syndrome helicase, which in turn might be necessary for maintaining genomic stability. PMID: 15995249
- Our results indicate that the nuclear import of RHA is mediated by the importin-alpha3/importin-beta-dependent pathway and suggest that the specificity for importin may regulate the functions of cargo proteins. PMID: 16375861
- RHA represents the first example of cellular RNA helicases that participate in HIV-1 particle production and promote viral reverse transcription PMID: 16527808
- Phosphorylated Zic2 protein makes a stable complex with RNA helicase A. PMID: 17251188
- RNA interference is a conserved pathway of sequence-specific gene silencing that depends on small guide RNAs and the action of proteins assembled in the RNA-induced silencing complex (RISC). PMID: 17531811
- In vitro dephosphorylation of HeLa cellular HDH II/Ku caused a significant decrease in the DNA helicase activity of this enzyme. PMID: 18053790
- These results establish a link between the p53 tumor suppressor and RNA processing via hnRNPA2/B1 and RNA Helicase A. PMID: 18519039
- knockdown of DHX-9 by siRNA did not inhibit the rRNA synthesis or cause the nucleolar disruption PMID: 18600529
- A 21-day follow-up of the response of HCV replication to the presence and absence of RNAi indicated that RHA is a cellular factor involved in the HCV replication process. PMID: 18782589
- protein kinase R (PKR) is shown to interact with RNA helicase A; RHA is identified as a substrate for PKR, with phosphorylation perturbing the association of the helicase with double-stranded RNA PMID: 19229320
- Results show overexpression or depletion of RHA could influence the interaction of Pol II with beta-actin and beta-actin-involved gene transcription regulation. PMID: 19309309
顯示更多
收起更多
-
亞細胞定位:Nucleus. Nucleus, nucleoplasm. Nucleus, nucleolus. Cytoplasm. Cytoplasm, cytoskeleton, microtubule organizing center, centrosome.
-
蛋白家族:DEAD box helicase family, DEAH subfamily
-
數據庫鏈接:
Most popular with customers
-
-
YWHAB Recombinant Monoclonal Antibody
Applications: ELISA, WB, IHC, IF, FC
Species Reactivity: Human, Mouse, Rat
-
Phospho-YAP1 (S127) Recombinant Monoclonal Antibody
Applications: ELISA, WB, IHC
Species Reactivity: Human
-
-
-
-
-















