DFFA Recombinant Monoclonal Antibody
-
中文名稱:DFFA Recombinant Monoclonal Antibody
-
貨號:CSB-RA136847A0HU
-
規格:¥1320
-
圖片:
-
Western Blot
Positive WB detected in: HepG2 whole cell lysate(30μg)
All lanes: DFF45 antibody at 1:1000
Secondary
Goat polyclonal to rabbit IgG at 1/50000 dilution
Predicted band size: 37 kDa
Observed band size: 37 kDa
Exposure time: 3min -
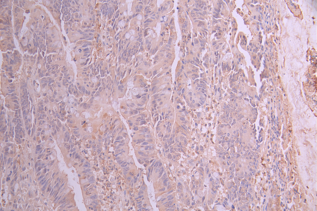
IHC image of CSB-RA136847A0HU diluted at 1:100 and staining in paraffin-embedded human colorectal cancer performed on a Leica BondTM system. After dewaxing and hydration, antigen retrieval was mediated by high pressure in a citrate buffer (pH 6.0). Section was blocked with 10% normal goat serum 30min at RT. Then primary antibody (1% BSA) was incubated at 4°C overnight. The primary is detected by a Goat anti-rabbit polymer IgG labeled by HRP and visualized using 0.05% DAB.
-
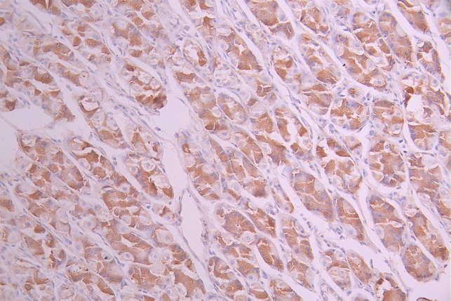
IHC image of CSB-RA136847A0HU diluted at 1:100 and staining in paraffin-embedded human stomach tissue performed on a Leica BondTM system. After dewaxing and hydration, antigen retrieval was mediated by high pressure in a citrate buffer (pH 6.0). Section was blocked with 10% normal goat serum 30min at RT. Then primary antibody (1% BSA) was incubated at 4°C overnight. The primary is detected by a Goat anti-rabbit polymer IgG labeled by HRP and visualized using 0.05% DAB.
-
Overlay Peak curve showing Hela cells stained with CSB-RA136847A0HU (red line) at 1:100. The cells were fixed in 4% formaldehyde and permeated by 0.2% TritonX-100 for 10min. Then 10% normal goat serum to block non-specific protein-protein interactions followed by the antibody (1ug/1*106cells) for 45min at 4℃. The secondary antibody used was FITC-conjugated goat anti-rabbit IgG (H+L) at 1/200 dilution for 35min at 4℃.Control antibody (green line) was Rabbit IgG (1ug/1*106cells) used under the same conditions. Acquisition of >10,000 events was performed.
-
-
其他:
產品詳情
-
Uniprot No.:
-
基因名:
-
別名:A330085O09Rik antibody; Caspase activated deoxyribonuclease inhibitor short form antibody; DFF 1 antibody; DFF 45 antibody; DFF alpha antibody; DFF-45 antibody; DFF1 antibody; DFF35 antibody; DFF45 antibody; DFFA antibody; Dffa DNA fragmentation factor, alpha subunit antibody; DFFA_HUMAN antibody; DNA fragmentation factor 45 kDa subunit antibody; DNA Fragmentation Factor Alpha Subunit antibody; DNA fragmentation factor subunit alpha antibody; DNA fragmentation factor, 45 kD, alpha subunit antibody; DNA fragmentation factor, 45kDa, alpha polypeptide (DFFA), transcript variant 1 antibody; DNA fragmentation factor, 45kDa, alpha polypeptide antibody; DNA fragmentation factor, alpha subunit antibody; DNAation factor 45 kDa subunit antibody; H13 antibody; ICAD antibody; ICAD L antibody; ICAD S antibody; Inhibitor of CAD antibody; Inhibitor of Caspase Activated DNase antibody; MGC143066 antibody; OTTHUMP00000001903 antibody; OTTHUMP00000001904 antibody; RP23 121D17.3 antibody
-
反應種屬:Human
-
免疫原:A synthesized peptide derived from human DFFA
-
免疫原種屬:Homo sapiens (Human)
-
標記方式:Non-conjugated
-
克隆類型:Monoclonal
-
抗體亞型:Rabbit IgG
-
純化方式:Affinity-chromatography
-
克隆號:4B12
-
濃度:It differs from different batches. Please contact us to confirm it.
-
保存緩沖液:Rabbit IgG in 10mM phosphate buffered saline , pH 7.4, 150mM sodium chloride, 0.05% BSA, 0.02% sodium azide and 50% glycerol.
-
產品提供形式:Liquid
-
應用范圍:ELISA, WB, IHC, FC
-
推薦稀釋比:
Application Recommended Dilution WB 1:500-1:2000 IHC 1:50-1:200 FC 1:50-1:200 -
Protocols:
-
儲存條件:Upon receipt, store at -20°C or -80°C. Avoid repeated freeze.
-
貨期:Basically, we can dispatch the products out in 1-3 working days after receiving your orders. Delivery time maybe differs from different purchasing way or location, please kindly consult your local distributors for specific delivery time.
-
用途:For Research Use Only. Not for use in diagnostic or therapeutic procedures.
相關產品
靶點詳情
-
功能:Inhibitor of the caspase-activated DNase (DFF40).
-
基因功能參考文獻:
- Glandular, menopause-independent DFF40, DFF45, and Bcl-2 overexpression may play an important role in the pathogenesis of endometrial polyps and benign endometrial hyperplasia PMID: 28914671
- evaluate the relative expression levels of miR-196a2 and three of its selected apoptosis-related targets; ANXA1, DFFA and PDCD4 in a sample of GI cancer patients PMID: 29091952
- Data show that the caspase-activated DNase (CAD) is activated when caspases cleave its endogenous inhibitor ICAD, resulting in the characteristic DNA laddering of apoptosis. PMID: 26106156
- Data suggest that DFF45 gene silencing, when applied in combination with doxorubicin, may offer a therapeutic strategy for the treatment of breast cancer. PMID: 24277473
- ICAD deficiency was associated with severe genomic instability. PMID: 23451280
- mRNA splicing is actively driven toward the pro-apoptotic isoforms of Bim, Bcl-x, and ICAD in Pnn-depleted MCF-7 cells. PMID: 22454513
- The DFF45 level in human endometrium corresponds to the respective phase of the menstrual cycle and decreases significantly after menopause. PMID: 22378161
- study reveals a previously unrecognized function of miR-145 in DFF45 processing, which may underlie crucial aspects of cancer biology PMID: 20687965
- The heterodimer, DFF40-DFF45, is localized to the chromatin fraction under apoptotic as well as non-apoptotic conditions. PMID: 19882353
- DFF45 at chromosome 1 reveal rare allelic variants in neuroblastoma tumors PMID: 11870543
- NMR solution structure of the C-terminal domain of DFF45, which is essential for its chaperone-like activity PMID: 12144788
- Hypoxia-induced cleavage of caspase-3 and DFF45/ICAD in human failed cardiomyocytes. PMID: 12181128
- subunit structures and stoichiometries in human cells before and after induction of apoptosis PMID: 12748178
- Hepatitis C virus core protein increases a steady-state level of ICAD protein, possibly through enhancing its promoter activity PMID: 14675622
- apoptotic DNA fragmentation factor is required for the maintenance of genetic stability and may play a role in tumor suppression PMID: 16432220
- plays an important and P53-independent role in maintaining chromosome stability and suppressing tumor development PMID: 16619042
- demonstrate the cellular mechanisms of neuronal cell degeneration induced via c-Jun-N-terminal kinases and caspase-dependent signaling PMID: 17645689
- C-terminal region of each subunit, DFF40 (RLKRK) and DFF45 (KRAR), is essential for nuclear accumulation of the DFF complex. PMID: 17938174
- Interestingly, nuclear DNA fragmentation occurred and consistently DNA fragmentation factor (DFF45)/Inhibitor of caspase-activated DNase (ICAD) was cleaved inside the cell as well as in vitro, suggesting a role of caspase-2 in nuclear DNA fragmentation. PMID: 17945178
- The highest level of DFF45 endometrial expression was found during the early secretory cycle phase, and significantly lower DFF45 expression was found in the endometrium during the mid-secretory as compared to the early secretory cycle phase. PMID: 18292826
- identified a TATA-less region upstream of the transcription start site as a basal promoter of the ICAD gene. An E-Box motif, which binds transcription factors of the basic helix-loop-helix/leucine zipper family, is responsible for transcriptional activity PMID: 18500556
- MPP(+) did not change the total levels of c-Jun but enhanced phosphorylation of c-Jun at Ser73 and cleavage of DNA fragmentation factor 45, which were diminished by selegiline. PMID: 18805449
- A decreased level of DFF45 observed in ovarian endometriosis may be a part of an apoptosis-resistant mechanism enhancing the disease progression. PMID: 19535198
顯示更多
收起更多
-
亞細胞定位:Cytoplasm.
-
數據庫鏈接:
Most popular with customers
-
YWHAB Recombinant Monoclonal Antibody
Applications: ELISA, WB, IHC, IF, FC
Species Reactivity: Human, Mouse, Rat
-
-
-
-
-
-
-















