DES Recombinant Monoclonal Antibody
-
中文名稱:DES Recombinant Monoclonal Antibody
-
貨號:CSB-RA571495A0HU
-
規格:¥1320
-
圖片:
-
Western Blot
, Positive WB detected in:Mouse Heart tissue lysate(30μg), Rat Heart lysate(30μg)
All lanes: Desmin antibody at 1:1000
Secondary
Goat polyclonal to rabbit IgG at 1/40000 dilution
Predicted band size: 54 kDa
Observed band size: 54 kDa
Exposure time:120s -
IHC image of CSB-RA571495A0HU diluted at 1:100 and staining in paraffin-embedded human skeletal muscle tissue performed on a Leica BondTM system. After dewaxing and hydration, antigen retrieval was mediated by high pressure in a citrate buffer (pH 6.0). Section was blocked with 10% normal goat serum 30min at RT. Then primary antibody (1% BSA) was incubated at 4°C overnight. The primary is detected by a Goat anti-rabbit polymer IgG labeled by HRP and visualized using 0.05% DAB.
-
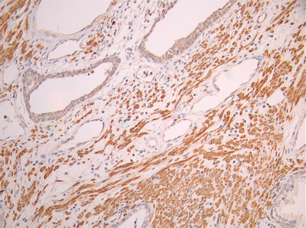
IHC image of CSB-RA571495A0HU diluted at 1:100 and staining in paraffin-embedded human prostate cancer performed on a Leica BondTM system. After dewaxing and hydration, antigen retrieval was mediated by high pressure in a citrate buffer (pH 6.0). Section was blocked with 10% normal goat serum 30min at RT. Then primary antibody (1% BSA) was incubated at 4°C overnight. The primary is detected by a Goat anti-rabbit polymer IgG labeled by HRP and visualized using 0.05% DAB.
-
Immunofluorescence staining of HepG2 cell with CSB-RA571495A0HU at 1:50 , counter-stained with DAPI. The cells were fixed in 4% formaldehyde, permeabilized using 0.2% Triton X-100 and blocked in 10% normal Goat Serum. The cells were then incubated with the antibody overnight at 4°C. The secondary antibody was Alexa Fluor 488-congugated AffiniPure Goat Anti-Rabbit IgG(H+L).
-
-
其他:
產品詳情
-
Uniprot No.:
-
基因名:DES
-
別名:CMD1I antibody; CSM1 antibody; CSM2 antibody; DES antibody; DESM_HUMAN antibody; Desmin antibody; FLJ12025 antibody; FLJ39719 antibody; FLJ41013 antibody; FLJ41793 antibody; Intermediate filament protein antibody; OTTHUMP00000064865 antibody
-
反應種屬:Human, Mouse, Rat
-
免疫原:A synthesized peptide from human DES protein
-
免疫原種屬:Homo sapiens (Human)
-
標記方式:Non-conjugated
-
克隆類型:Monoclonal
-
抗體亞型:Rabbit IgG
-
純化方式:Affinity-chromatography
-
克隆號:8E7
-
濃度:It differs from different batches. Please contact us to confirm it.
-
保存緩沖液:Rabbit IgG in 10mM phosphate buffered saline , pH 7.4, 150mM sodium chloride, 0.05% BSA, 0.02% sodium azide and 50% glycerol.
-
產品提供形式:Liquid
-
應用范圍:ELISA, WB, IHC, IF
-
推薦稀釋比:
Application Recommended Dilution WB 1:500-1:5000 IHC 1:50-1:200 IF 1:50-1:200 -
Protocols:
-
儲存條件:Upon receipt, store at -20°C or -80°C. Avoid repeated freeze.
-
貨期:Basically, we can dispatch the products out in 1-3 working days after receiving your orders. Delivery time maybe differs from different purchasing way or location, please kindly consult your local distributors for specific delivery time.
-
用途:For Research Use Only. Not for use in diagnostic or therapeutic procedures.
相關產品
靶點詳情
-
功能:Muscle-specific type III intermediate filament essential for proper muscular structure and function. Plays a crucial role in maintaining the structure of sarcomeres, inter-connecting the Z-disks and forming the myofibrils, linking them not only to the sarcolemmal cytoskeleton, but also to the nucleus and mitochondria, thus providing strength for the muscle fiber during activity. In adult striated muscle they form a fibrous network connecting myofibrils to each other and to the plasma membrane from the periphery of the Z-line structures. May act as a sarcomeric microtubule-anchoring protein: specifically associates with detyrosinated tubulin-alpha chains, leading to buckled microtubules and mechanical resistance to contraction. Contributes to the transcriptional regulation of the NKX2-5 gene in cardiac progenitor cells during a short period of cardiomyogenesis and in cardiac side population stem cells in the adult. Plays a role in maintaining an optimal conformation of nebulette (NEB) on heart muscle sarcomeres to bind and recruit cardiac alpha-actin.
-
基因功能參考文獻:
- A novel mutation (c.679 C>T /p.R227C) in exon 3 of DES was identified and cosegregated with the affected members of a Chinese family with isolated Dilated cardiomyopathy (DCM) phenotypes (left ventricle and left atrial diameters). PMID: 28171858
- Desmin, Glial Fibrillary Acidic Protein, Vimentin, and Peripherin are type III intermediate filaments that have roles in health and disease [review] PMID: 29196434
- Phenotypic expression of a novel desmin gene mutation: hypertrophic cardiomyopathy followed by systemic myopathy. PMID: 29167554
- Targeted sequencing revealed trigenic mutations: c.700G>A/p.E234K in DES, c.2966G>A/p.R989H in MYPN, and c.5918G>C/p.R1973P in CACNA1C in a family of hypertrophic cardiomyopathy with early repolarization and short QT syndrome. PMID: 28427417
- demonstrate that the expression of mutant desmin causes disruption of the extrasarcomeric desmin cytoskeleton and extensive mitochondrial abnormalities regarding subcellular distribution, number and shape PMID: 27393313
- Mutation in the Core Structure of Desmin Intermediate Filaments Affects Myoblast Elasticity PMID: 28793217
- Data show that the filament elongation of both desmin and keratin K8/K18 proceeds very similar to that of vimentin. PMID: 27304995
- Cdk1-induced desmin phosphorylation is required for efficient separation of desmin-IFs and generally detected in muscular mitotic cells in vivo. PMID: 27565725
- Desmin, Lamin A/C, MMP9, and histone H4 were upregulated in the placental villi of women experiencing early pregnancy loss. PMID: 26947931
- Ile367Phe, Pro419Ser, and Arg415Glu mutations were associated with desminopathy causing cardiomyopathy in 4 families studied. PMID: 26431784
- Increasing desmin abnormalities were correlated with diastolic dysfunction progression. PMID: 25732530
- expression level of mutant versus wild-type desmin in mouse model as well as in skeletal muscle specimens derived from human R350P desminopathies; findings demonstrate missense-mutant desmin inflicts changes of the subcellular localization and turnover of desmin itself and of direct desmin-binding partners PMID: 25394388
- Results propose that the mutations affect desmin structure and cause its aberrant folding and subsequent aggregation, triggering disruption of myofibrils organization. PMID: 25541946
- identified disruption of the desmin system in gastrocnemius myofibers as an index of the myopathy and limitation of muscle function in patients with peripheral artery disease. PMID: 25575565
- The desmin intermediate filament network plays a major role in striated muscle development and maintenance by integrating and coordinating most cellular components necessary for proper mechanochemical signaling, organelle cross-talk, energy production and trafficking processes required for proper tissue homeostasis. [Review] PMID: 25680090
- Data suggest that loss of the desmin-p. A120D filament localization at the intercalated disk indicates its clinical arrhythmogenic potential. PMID: 24200904
- we describe a new mutation located in the coiled 1B domain of desmin and associated with a predominant cardiac involvement and a high degree of cardiac sudden death in a large Indian pedigree with 12 affected members PMID: 24441330
- Perfomed proteomic analysis on a transgenic mouse model of severe cardiac hypertrophy; compared data to dataset of heart failure found MYH7, IGFBP7, ANXA2, and DESM to be biomarker candidates for heart failure. PMID: 23713052
- autosomal recessive mutations in DES cause LGMD2 phenotype without features of myofibrillar myopathy. PMID: 23687351
- Data suggest that for some filament-forming desmin mutants, the molecular etiology of desminopathy results from subtle deficiencies in their association with nebulin, a major actin-binding filament protein of striated muscle. PMID: 23615443
- Sequencing of the desmin gene showed a splice-site mutation (IVS3+1G-->A), which was absent in 300 healthy control subjects. PMID: 22484823
- Phenotypic features in patients with desmin tail domain mutations are similar to those in patients with mutations localized in the 1B and 2B alpha-helical domains. PMID: 23051780
- The results of this study indicate that atrioventricular conduction block without cardiac structural abnormalities may be an intrinsic feature of disease associated with specific desmin mutation PMID: 23036309
- in the absence of skeletal muscle involvement suggestive of a desminopathy, the probability of DES mutations in ARVC is very low. These findings have important implications in the mutation screening strategy for patients with ARVC. PMID: 23168288
- The results of this study indicated that no cases showed missense mutations in the Desmin. PMID: 22349865
- Data show that calretinin and CK5/6 were positive in 100 and 64% of mesotheliomas, and 92 and 31% of reactive effusions, respectively, and desmin was negative in all malignant cases and positive in 85% of reactive effusions. PMID: 23075894
- A heterozygous C-to-T mutation in the desmin gene on chromosome 2q35 caused autosomal dominant myofibrillar myopathy with arrhythmogenic right ventricular cardiomyopathy 7 in a Swedish family. PMID: 22395865
- Frequent desmin (32%) and occasional CD34 (6%) expression are encountered in cellular fibrous histiocytoma. PMID: 22775584
- Data indicate that the interaction and co-localization of mutant and wild-type desmin proves the co-existence of heterogeneous filaments in living cells. PMID: 22403400
- analysis of CD105, CD31, alpha-SMA, vimentin and desmin expression on a series of normal human heart tissues varying between five and 33 weeks PMID: 22395512
- This study demonistrated that Patients carrying DES mutations presenting with myofibrillar myopathies or without muscle involvement, are at high risk of developing major cardiac complications. PMID: 22153487
- the expression of mutant desmin leads to increased mechanical stiffness, which results in excessive mechanical stress in response to strain and consecutively to increased mechanical vulnerability and damage of muscle cells. PMID: 22386993
- Ankrd1 and desmin may play important roles in airway smooth muscle cell homeostasis. PMID: 22085644
- 49 mutations have been identified in the desmin gene, which alter the desmin filament assembly process through different molecular mechanisms and also its interaction with its protein partners. Review. PMID: 21982405
- these studies highlight the importance of desmin in maintaining cardiomyocyte structure and illustrate how disrupting this network can be deleterious to the heart--{REVIEW} PMID: 21784990
- study of patients with heart dilation of various origins; conclude A213V desmin substitution represents a rare polymorphism that plays role as predisposing factor resulting in maladaptive heart remodelling in presence of other pathological factors PMID: 21842594
- Novel mutations of desmin gene were linked with cardiomyopathy in patients from 5 Chinese families with desminopathy. PMID: 20654101
- Six novel mutations and one previously reported mutation in the desmin gene were identified in the patients PMID: 20696008
- the state of desmin-filament assembly is crucial for synemin anchorage and consequently might involve mechanical and functional stability of the cytoskeletal network PMID: 21262226
- study provides evidence on functional consequences of a novel mutation, N116S, identified in the desmin 1A segment of the rod domain for the development of arrhythmogenic right ventricular cardiomyopathy PMID: 20829228
- Case Report: present a rare case of desmin-related hypertrophic cardiomyopathy. Cardiac magnetic resonance imaging revealed fibrosis in the lateral wall of the left ventricle. PMID: 21083940
- mutations in MTM1 disrupted the MTM1-desmin complex, resulting in abnormal intermediate filament assembly and architecture in muscle cells PMID: 21135508
- Desmin mutations affects the localization of desmoplakin and plakophilin-2 at the intercalated disk suggesting a link between desmosomal cardiomyopathies (mainly affecting the right ventricle) and cardiomyopathies caused by desmin mutations. PMID: 20423733
- study of aggregation properties of desmin in vitro & aggregation state of desmin in homogenates of transfected cells; detected divergent assembly patterns for 3 different desmin missense mutations PMID: 20448486
- The Uruguayan family with severe cardiomyopathy carries an unusual deletion p.E114del within the 1A rod domain of desmin. PMID: 20133133
- the "tail" domain is responsible for attractive filament-filament interactions PMID: 20171226
- The "head" mutations in desmin proteins impacting on intermediate filament assembly properties and their competition for binding to cellular anchoring structures might explain part of the molecular mechanism that causes myhofibrillar myopathy disease. PMID: 19763525
- A localized effect of desmin on the structure of the cardiac intercalated disks might contribute to disease pathogenesis PMID: 19879535
- Data showed that the elevated expression of desmin was correlated with the severity and differentiation of CRC. PMID: 19460759
- structural and functional analysis of a new variant causing desmin-related myopathy PMID: 11668632
顯示更多
收起更多
-
相關疾病:Myopathy, myofibrillar, 1 (MFM1); Cardiomyopathy, dilated 1I (CMD1I); Neurogenic scapuloperoneal syndrome Kaeser type (Kaeser syndrome); Limb-girdle muscular dystrophy 2R (LGMD2R)
-
亞細胞定位:Cytoplasm, myofibril, sarcomere, Z line. Cytoplasm. Cell membrane, sarcolemma. Nucleus.
-
蛋白家族:Intermediate filament family
-
數據庫鏈接:
Most popular with customers
-
-
Phospho-YAP1 (S127) Recombinant Monoclonal Antibody
Applications: ELISA, WB, IHC
Species Reactivity: Human
-
-
-
-
-
-















