DEK Recombinant Monoclonal Antibody
-
中文名稱:DEK重組抗體
-
貨號:CSB-RA796958A0HU
-
規格:¥1320
-
圖片:
-
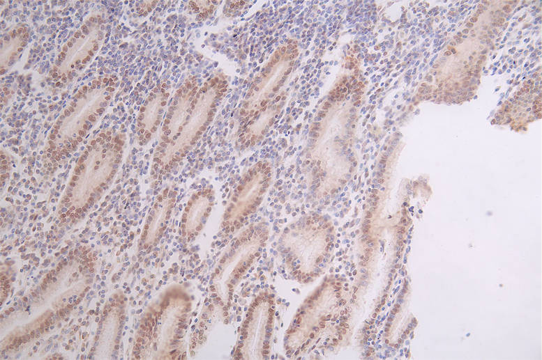
IHC image of CSB-RA796958A0HU diluted at 1:50 and staining in paraffin-embedded human gastric cancer performed on a Leica BondTM system. After dewaxing and hydration, antigen retrieval was mediated by high pressure in a citrate buffer (pH 6.0). Section was blocked with 10% normal goat serum 30min at RT. Then primary antibody (1% BSA) was incubated at 4°C overnight. The primary is detected by a Goat anti-rabbit polymer IgG labeled by HRP and visualized using 0.67% DAB.
-
IHC image of CSB-RA796958A0HU diluted at 1:50 and staining in paraffin-embedded human breast cancer performed on a Leica BondTM system. After dewaxing and hydration, antigen retrieval was mediated by high pressure in a citrate buffer (pH 6.0). Section was blocked with 10% normal goat serum 30min at RT. Then primary antibody (1% BSA) was incubated at 4°C overnight. The primary is detected by a Goat anti-rabbit polymer IgG labeled by HRP and visualized using 0.67% DAB.
-
Immunofluorescence staining of Hela with CSB-RA796958A0HU at 1:20, counter-stained with DAPI. The cells were fixed in 4% formaldehyde and blocked in 10% normal Goat Serum. The cells were then incubated with the antibody overnight at 4°C. The secondary antibody was Alexa Fluor 524-congugated AffiniPure Goat Anti-Rabbit IgG(H+L).
-
Overlay Peak curve showing Hela cells stained with CSB-RA796958A0HU (red line) at 1:50. The cells were fixed in 4% formaldehyde and permeated by 0.2% TritonX-100. Then 10% normal goat serum to block non-specific protein-protein interactions followed by the antibody (1μg/1*106cells) for 45min at 4℃. The secondary antibody used was FITC-conjugated Goat Anti-rabbit IgG(H+L) at 1:200 dilution for 35min at 4℃.Control antibody (green line) was rabbit IgG (1μg/1*106cells) used under the same conditions. Acquisition of >10,000 events was performed.
-
-
其他:
產品詳情
-
產品描述:CSB-RA796958A0HU DEK重組單克隆抗體是針對人源DEK蛋白研發的高特異性試劑,適用于多種實驗場景。DEK蛋白作為染色質重構關鍵因子,參與DNA損傷修復、轉錄調控及基因組穩定性維持,其異常表達與腫瘤發生發展密切相關。本抗體經ELISA、免疫組化(IHC)、免疫熒光(IF)和流式細胞術(FC)多平臺驗證,在推薦稀釋度范圍內(IHC/IF/FC 1:50-1:200)展現出優異的抗原結合能力,實驗數據顯示其能精準識別內源性DEK蛋白,具有高度批次穩定性和低交叉反應性。該產品特別適用于腫瘤微環境研究、細胞周期調控機制解析及染色質動態變化觀察等前沿領域,可支持石蠟切片、冰凍切片或培養細胞的靶蛋白定位分析,以及細胞表面標記物的流式檢測。為保障實驗可靠性,建議配合陽性和陰性對照使用,并依據具體實驗體系優化反應條件。
-
Uniprot No.:
-
基因名:DEK
-
別名:Protein DEK, DEK
-
反應種屬:Human
-
免疫原:A synthesized peptide derived from Human DEK
-
免疫原種屬:Homo sapiens (Human)
-
標記方式:Non-conjugated
-
克隆類型:Monoclonal
-
抗體亞型:Rabbit IgG
-
純化方式:Affinity-chromatography
-
克隆號:20D2
-
濃度:It differs from different batches. Please contact us to confirm it.
-
保存緩沖液:Rabbit IgG in 10mM phosphate buffered saline , pH 7.4, 150mM sodium chloride, 0.05% BSA, 0.02% sodium azide and 50% glycerol.
-
產品提供形式:Liquid
-
應用范圍:ELISA, IHC, IF, FC
-
推薦稀釋比:
Application Recommended Dilution IHC 1:50-1:200 IF 1:50-1:200 FC 1:50-1:200 -
Protocols:
-
儲存條件:Upon receipt, store at -20°C or -80°C. Avoid repeated freeze.
-
貨期:Basically, we can dispatch the products out in 1-3 working days after receiving your orders. Delivery time maybe differs from different purchasing way or location, please kindly consult your local distributors for specific delivery time.
-
用途:For Research Use Only. Not for use in diagnostic or therapeutic procedures.
相關產品
靶點詳情
-
功能:Involved in chromatin organization.
-
基因功能參考文獻:
- These findings define DEK as an important and multifunctional mediator of homologous recombination. PMID: 28317934
- DEK is detected in spontaneously forming neutrophil extracellular traps (NETs) from juvenile idiopathic arthritis patient synovial neutrophils, and DEK-targeted aptamers reduce NETs formation. PMID: 28165452
- High DEK proto-oncogene protein (DEK) expression associated with complete response to neoadjuvant chemoradiotherapy. PMID: 29409457
- High DEK expression is associated with cervical cancer tumorigenesis and metastasis. PMID: 28627610
- The results of the present study demonstrated that EMT of colorectal carcinoma cells was partially mediated by DEK, which likely affected the invasive ability of colorectal carcinoma cells. In addition, cell proliferation and apoptosis were susceptible to DEK silencing. PMID: 29115492
- RNA-sequencing proved to be a valuable tool for the detection of a fusion of genes DEK and NUP214 in a leukemia that showed cryptic cytogenetic rearrangement of chromosome band 9q34. PMID: 29109093
- DEK overexpression enhanced carcinogenesis, including field cancerization, in OSCC by stimulating the G1 /S phase transition and promoting DNA replication. PMID: 28834425
- DEK and LCMR1 were demonstrated to cooperate in the inhibition of apoptosis in lung cancer cells. PMID: 28765911
- High DEK expression is associated with breast cancer angiogenesis . PMID: 26988756
- our study indicates that DEK expression is required for tumorigenesis and metastasis of hepatocellular carcinoma PMID: 27057626
- High DEK expression is associated with melanoma progression. PMID: 27893188
- DEK correlates with IL6 expression in HPV16+/p16+ oropharyngeal squamous cell carcinomas (OPSCC). PMID: 28423581
- data support a scenario whereby overexpression of the human DEK oncogene reprograms keratinocyte metabolism to fulfill energy and macromolecule demands required to enable and sustain cancer cell growth PMID: 28558019
- Decreased DEK expression in plasma cells suggests a potential role of this gene in plasma cell development and lack of detectable DEK protein by IHC could be used as a biomarker for normal and malignant plasma cells PMID: 28558048
- Our data indicated DEK plays multiple roles to facilitate tumor growth and maintenance. It can be used as a potential target for astrocytic tumor diagnosis and gene therapy. PMID: 28670979
- High DEK expression is associated with pancreatic ductal adenocarcinoma. PMID: 27959420
- AP-2a is an important transcription factor of DEK expression, which is correlated with the methylation level of the DEK core promoter in hepatocellular carcinoma . PMID: 27499261
- miR-592 targets DEK transcript and suppresses hepatocellular carcinoma cell growth PMID: 26722432
- Results find that DEK binds to transcription start sites with a dual role in activation and repression of highly and ubiquitously expressed genes. PMID: 25216995
- The study identified the DEK oncoprotein as a critical factor that interacts with an essential upstream enhancer element of the EKLF promoter and exerts a positive effect on EKLF levels. PMID: 26303528
- DEK promotes the growth of colorectal cancer and apoptosis PMID: 25340858
- Data show that oncoprotein DEK facilitates cellular proliferation under conditions of DNA replication stress by promoting replication fork progression. PMID: 25347734
- The results show that several leukemia-associated fusion genes cause an increase in DEK protein expression. PMID: 25524609
- DEK expression during normal hematopoiesis did reveal a relationship with specific cell types implicating a distinct function during myeloid differentiation PMID: 25128083
- These data suggest DEK overexpression as a crucial event for the emergence of an aggressive phenotype in colorectal cancer. PMID: 25515240
- Studies demonstrate that DEK overexpression, due in part to Ron receptor activation, drives breast cancer progression through the induction of Wnt/beta-catenin signaling. PMID: 24954505
- DEK plays an important role in the progression of small cell lung cancer PMID: 25197373
- Results highlight a novel function of DEK as a guardian of chromatin by restricting widespread histone access, and in particular by modulating differential H3.3 loading in specific chromatin areas. PMID: 25049225
- t(6;9)/DEK-NUP214 represents a unique subtype of acute myeloid leukemia with a high risk of relapse. PMID: 24441146
- data demonstrate that DEK stimulates HNSCC cellular growth and identify DeltaNp63 as a novel DEK effector PMID: 24608431
- DEK is an hTERT repressor shared by various leukemia subtypes that may be involved in the deregulation of numerous genes associated with leukemogenesis PMID: 24563617
- High level of DEK protein expression predicts the poor prognosis of patients with gastric cancer PMID: 24650035
- the expression of the fusion gene DEK-NUP214 leads to increased cellular proliferation. We show that this is dependent on upregulation of the signal transduction protein mTOR with subsequent effects on protein synthesis and glucose metabolism. PMID: 24073922
- DEK plays an important role in the progression of colorectal cancers and it is an independent poor prognostic factor of colorectal cancers PMID: 23902796
- DEK depletion inhibited cellular migration in lung cancer cell lines possibly through inactivation of the RhoA/ROCK/MLC signal transduction pathway PMID: 23571382
- Full-length DEK secreted by one cell can be taken up by another cell, move to the nucleus, and function in heterochromatin biology and DNA repair, thereby potentially uniting the intracellular and extracellular activities of DEK. PMID: 23569252
- increased expression of DEK in chronic lymphocytic leukemia correlates with immunoglobulin heavy chain variable gene mutational status, CD38-positive and del(17p13), and DEK can therefore be considered as potential prognostic factor. PMID: 23052131
- DEK promotes the pathogenesis of estrogen receptor positive breast cancer. PMID: 23071688
- DEK may be involved in the pathogenesis of Merkel cell carcinoma and therefore may provide therapeutic implications for Merkel cell carcinomas. PMID: 22765016
- DEK has potent effects on HSCs, HPCs, and hematopoiesis, information of biological and potential clinical interest. PMID: 21943234
- C/EBPalpha and DEK coordinately activate myeloid gene expression. PMID: 22474248
- DEK knockdown results in a significant growth repression of CaSki cells by inducing cell apoptosis and senescence via upregulation of p65. PMID: 22390170
- DEK overexpression appears to be associated with breast cancer progression PMID: 22360505
- DEK is important for DNA double-strand break repair. PMID: 21653549
- DEK protein is expressed in bladder tumor tissue and voided urine of bladder cancer patients. PMID: 21663673
- DEK overexpression may be a frequent event in invasive melanomas, and further augmentation of DEK expression may be associated with the acquisition of ominous features such as deep dermal invasion and metastasis. PMID: 21316078
- data indicate that DEK expression stimulates the growth, stem cell character and motility of breast cancer cells, and that DEK-dependent cellular invasion occurs at least in part via beta-catenin activation PMID: 21317931
- identify the oncoprotein DEK, an abundant nuclear protein with a previously enigmatic in vivo function, as a Suppressor of Variegation [Su(var)] that is crucial to global heterochromatin integrity PMID: 21460035
- DEK can contribute directly to joint inflammation in juvenile idiopathic arthritis by generating ICs through high-affinity interaction between DEK and DEK autoantibodies. PMID: 21280010
- DEK overexpression, partly through an increase in its gene dose, mediates the activity of global transcriptional regulators and is associated with tumor initiation activity and poor prognosis in high grade neuroendocrine carcinoma of the lung. PMID: 20543864
顯示更多
收起更多
-
相關疾病:A chromosomal aberration involving DEK is found in a subset of acute myeloid leukemia (AML); also known as acute non-lymphocytic leukemia (PubMed:1549122). Translocation t(6;9)(p23;q34) with NUP214/CAN (PubMed:1549122). It results in the formation of a DEK-NUP214 fusion gene (PubMed:1549122).
-
亞細胞定位:Nucleus. Note=Enriched in regions where chromatin is decondensed or sparse in the interphase nuclei.
-
組織特異性:Ubiquitous. Expressed at relatively high levels.
-
數據庫鏈接:
Most popular with customers
-
-
YWHAB Recombinant Monoclonal Antibody
Applications: ELISA, WB, IHC, IF, FC
Species Reactivity: Human, Mouse, Rat
-
Phospho-YAP1 (S127) Recombinant Monoclonal Antibody
Applications: ELISA, WB, IHC
Species Reactivity: Human
-
-
-
-
-















