DDAH1 Recombinant Monoclonal Antibody
-
中文名稱:DDAH1 Recombinant Monoclonal Antibody
-
貨號:CSB-RA547452A0HU
-
規格:¥1320
-
圖片:
-
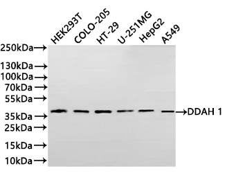
Western Blot
Positive WB detected in: HEK293T whole cell lysate(20μg),COLO-205 whole cell lysate(20μg),HT-29 whole cell lysate(20μg), U-251MG whole cell lysate(20μg),HepG2 whole cell lysate(20μg),A549 whole cell lysate(20μg)
All lanes: DDAH 1 antibody at 1:1000
Secondary
Goat polyclonal to rabbit IgG at 1/40000 dilution
Predicted band size: 31 kDa
Observed band size: 37 kDa
Exposure time:2min
-
-
其他:
產品詳情
-
Uniprot No.:
-
基因名:DDAH1
-
別名:DDAH antibody; DDAH I antibody; DDAH-1 antibody; DDAH1 antibody; DDAH1_HUMAN antibody; DDAHI antibody; Dimethylargininase 1 antibody; Dimethylargininase-1 antibody; Dimethylarginine dimethylaminohydrolase 1 antibody; N(G) antibody; N(G)-dimethylarginine dimethylaminohydrolase 1 antibody; NG NG dimethylarginine dimethylaminohydrolase antibody
-
反應種屬:Human
-
免疫原:A synthesized peptide derived from human DDAH1
-
免疫原種屬:Homo sapiens (Human)
-
標記方式:Non-conjugated
-
克隆類型:Monoclonal
-
抗體亞型:Rabbit IgG
-
純化方式:Affinity-chromatography
-
克隆號:18D12
-
濃度:It differs from different batches. Please contact us to confirm it.
-
保存緩沖液:Rabbit IgG in 10mM phosphate buffered saline , pH 7.4, 150mM sodium chloride, 0.05% BSA, 0.02% sodium azide and 50% glycerol.
-
產品提供形式:Liquid
-
應用范圍:ELISA, WB
-
推薦稀釋比:
Application Recommended Dilution WB 1:500-1:2000 -
Protocols:
-
儲存條件:Upon receipt, store at -20°C or -80°C. Avoid repeated freeze.
-
貨期:Basically, we can dispatch the products out in 1-3 working days after receiving your orders. Delivery time maybe differs from different purchasing way or location, please kindly consult your local distributors for specific delivery time.
-
用途:For Research Use Only. Not for use in diagnostic or therapeutic procedures.
相關產品
靶點詳情
-
功能:Hydrolyzes N(G),N(G)-dimethyl-L-arginine (ADMA) and N(G)-monomethyl-L-arginine (MMA) which act as inhibitors of NOS. Has therefore a role in the regulation of nitric oxide generation.
-
基因功能參考文獻:
- MiR-21-mediated DDAH1/ADMA/NO signal pathway. PMID: 29682517
- DDAH-1 expression is associated with promotion of angiogenesis stimulating factor VEGF. PMID: 28741166
- These findings suggest that DDAH1 functions as a tumor suppressor in gastric cancer (GC) and may be exploited as a diagnostic and prognostic biomarker for GC. PMID: 28580735
- Data demonstrate that DDAH1 deficiency promotes the epithelial to mesenchymal transition in renal proximal tubular epithelial cells and causes fibrosis, and oxidative stress in aging and diabetic kidneys. The study provides the first direct evidence that the DDAH1 has a marked effect on kidney fibrosis and oxidative stress induced by aging or diabetes. PMID: 28594240
- Results confirmed DDAH1 3'-UTR as a target for miR-21, and endogenous miR-21 showed increased inhibitory effect on DDAH1-V3 transcript. PMID: 27663503
- Inflammatory factors expressed in response to myocardial ischemia contributed to up-regulation of DDAH1. PMID: 28145161
- DDAH1 plays dual roles in a particular matter-induced cell death in alveolar epithelial cells. PMID: 26996393
- rs3087894 in DDAH1 was significantly associated with hypertension and showed conflicting results in different ethnic groups. This is therefore a candidate for further studies with the aim of helping to ascertain the mechanisms of hypertension in different populations. PMID: 26786611
- wild-type rs480414 was 92% sensitive and 53% specific for pulmonary hypertension in bronchopulmonary dysplasia PMID: 26663142
- results suggest that miR-21 may regulate renal fibrosis by the Wnt pathway via directly targeting DDAH1 PMID: 26455824
- The most significant associations were detected for PECAM1*V/V + DDAH1*C (OR = 4.17 CI 1.56-11.15 Pperm = 0.005) PMID: 26662939
- FoxO1 regulates asymmetric dimethylarginine via downregulation of dimethylaminohydrolase 1 in HUVECs and subjects with carotid atherosclerosis. PMID: 26226438
- Genebased analyses revealed associations of the DDAH1 gene with longitudinal Blood Pressure phenotypes, associations with essential hypertension, Blood Pressure salt sensitivity, preeclampsia, or preclinical stages of atherosclerosis. PMID: 25424718
- DDAH1 deficiency attenuates endothelial cell cycle progression and angiogenesis. PMID: 24260221
- the advanced glycation end products-receptor for advanced glycation end products-mediated reactive oxygen species generation could be involved in endothelial dysfunction in diabetic end-stage renal disease patients PMID: 23766377
- DDAH1 genotypes were closely related to asymmetric dimethylarginine levels, but not to measures of endothelium-dependent vasodilation in an elderly population. PMID: 23892448
- Only the DDAH1-V1 transcript is responsible for ADMA metabolism, and transcript specific primers are recommended to determine DDAH1 mRNA expression. PMID: 23864585
- Elevated asymmetric dimethylaginine is not a part of the proatherogenic risk profile in the young adult offspring of patients with premature Coronary artery disease. PMID: 23022711
- A significant decrease in asymmetric dimethylarginine levels was found in ex-extremely low birth weight young adults compared to term birth weight young adults. PMID: 21420186
- Data suggest that estradiol alone has no effect on DDAH/asymmetric dimethylarginine/nitric oxide pathway in arterial endothelium, but rather counters oxidized LDL; estradiol restores DDAH activity and prevents loss of eNOS (nitric oxide synthase 3). PMID: 22982060
- DDAH1 gene DNA methylation is impoetant in the pathogenesis of idiopathic pulmonary fibrosis. PMID: 22700861
- Genetic polymorphisms in DDAH genes influence serum ADMA levels in individuals with T1 diabetes mellitus. PMID: 22521321
- High DDAH1 is associated with pediatric diffuse intrinsic pontine glioma. PMID: 22492959
- Non-diabetic hypertensive subjects with a hypertensive response to exercise compared to those with normal response were characterized by augmented asymmetric dimethylarginine and osteoprotegerin levels. PMID: 21975354
- did not find evidence for association with pre-eclampsia PMID: 21174581
- In acute congestive heart failure acute renal impairment function and the modulation of metabolism and extracellular transport by the DDAH-1/CAT-1 system determine high ADMA and SDMA levels after therapy for acute congestive heart failure. PMID: 21722652
- Data show that DDAH inhibition reduces fibroblast-induced collagen deposition in an ADMA-independent manner and reduces abnormal epithelial proliferation in an ADMA-dependent manner. PMID: 21677199
- HDL significantly increased the attenuated endothelial cell NO production induced by ox-LDL, which was attributed to its effect on DDAH/ADMA pathway PMID: 21264497
- Indicate that DDAH1 is required for metabolizing asymmetrical dimethylarginine and N(omega)-monomethyl-L-arginine. PMID: 21493890
- Results provide evidence that SNP rs1241321 in DDAH1 is associated with type 2 diabetes and its long-term outcome. PMID: 21303562
- DDAH1 exerts a unique role in activating Akt that affects endothelial function independently of degrading endogenous nitirc oxide synthase inhibitors. PMID: 21212404
- Recent studies in this review suggest that DDAH may regulate endothelial nitric oxide activity and endothelial function through both asymmetric dimethylarginine-dependent and -independent mechanisms. PMID: 19682581
- Expression of hDDAH1 messenger RNA is found in all organs of DDAH1 transgenic mice investigated, whereas human DDAH1 is absent in wild-type littermates. PMID: 19666120
- Circulating methylarginine levels and the decline in renal function in patients with chronic kidney disease are modulated by DDAH1 polymorphisms. PMID: 20010544
- Results suggest that the DDAH1 loss-of-function polymorphism is associated with both increased risk of thrombosis stroke and coronary artery disease in the Chinese Han population. PMID: 20167924
- Recombinant human DDAH1 overexpression protects transgenic mice from adverse structural and functional changes in cerebral arterioles in hyperhomocysteinemia but not from accelerated carotid artery thrombosis induced by the HM/LF diet. PMID: 20019334
- hydrolyzes methylated inhibitors of nitric oxide synthase is present in circulating human red blood cells PMID: 11811522
- The first evidence of the importance of DDAH1 polymorphisms in pre-eclampsia susceptibility was provided. PMID: 15501905
- By increasing the synthesis of the proangiogenic factor nitric oxide, DDAH promotes postnatal angiogenesis and arteriogenesis. PMID: 15781754
- DDAH-1 and DDAH-2 messenger RNA and protein were demonstrated in first trimester placental tissue, primary extravillous trophoblasts and extravillous trophoblast-derived cell lines. PMID: 16920729
- it is concluded that L-arginine regulates asymmetric dimethylarginine (ADMA) metabolism dose-dependently by competing for DDAH thus maintaining the metabolic balance of L-arginine and ADMA, and endothelial NO homeostasis PMID: 17075694
- DDAH-1 activity leads to accumulation of asymmetric dimethylarginine and reduction in nitric oxide signaling. PMID: 17273169
- Demonstrate a critical role for DDAH-1 and endogenous methylarginines in the pathogenesis of endothelial dysfunction. PMID: 17881609
- human dimethylarginine dimethylaminohydrolase-1 is inhibited by S-nitroso-L-homocysteine and hydrogen peroxide PMID: 17895252
- maintenance of normoglycemia and not glycemia-independent actions of insulin maintained dimethylarginine tissue levels by preserving physiological DDAH activity. PMID: 18292189
顯示更多
收起更多
-
蛋白家族:DDAH family
-
組織特異性:Detected in brain, liver, kidney and pancreas, and at low levels in skeletal muscle.
-
數據庫鏈接:
Most popular with customers
-
YWHAB Recombinant Monoclonal Antibody
Applications: ELISA, WB, IHC, IF, FC
Species Reactivity: Human, Mouse, Rat
-
Phospho-YAP1 (S127) Recombinant Monoclonal Antibody
Applications: ELISA, WB, IHC
Species Reactivity: Human
-
-
-
-
-
-















