CRK Recombinant Monoclonal Antibody
-
中文名稱:CRK Recombinant Monoclonal Antibody
-
貨號:CSB-RA173792A0HU
-
規格:¥1320
-
圖片:
-
Western Blot
, Positive WB detected in:PC-3 whole cell lysate(30μg), SH-SY5Y whole cell lysate(30μg)
All lanes: CRK antibody at 1:1000
Secondary
Goat polyclonal to rabbit IgG at 1/40000 dilution
Predicted band size: 34 kDa
Observed band size: 38 kDa
Exposure time:120s -
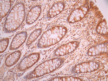
IHC image of CSB-RA173792A0HU diluted at 1:100 and staining in paraffin-embedded human small intestine tissue performed on a Leica BondTM system. After dewaxing and hydration, antigen retrieval was mediated by high pressure in a citrate buffer (pH 6.0). Section was blocked with 10% normal goat serum 30min at RT. Then primary antibody (1% BSA) was incubated at 4°C overnight. The primary is detected by a Goat anti-rabbit polymer IgG labeled by HRP and visualized using 0.05% DAB.
-
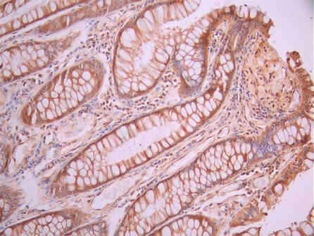
IHC image of CSB-RA173792A0HU diluted at 1:100 and staining in paraffin-embedded human colorectal cancer performed on a Leica BondTM system. After dewaxing and hydration, antigen retrieval was mediated by high pressure in a citrate buffer (pH 6.0). Section was blocked with 10% normal goat serum 30min at RT. Then primary antibody (1% BSA) was incubated at 4°C overnight. The primary is detected by a Goat anti-rabbit polymer IgG labeled by HRP and visualized using 0.05% DAB.
-
Overlay Peak curve showing Hela cells stained with CSB-RA173792A0HU (red line) at 1:100. The cells were fixed in 4% formaldehyde and permeated by 0.2% TritonX-100 for 10min. Then 10% normal goat serum to block non-specific protein-protein interactions followed by the antibody (1ug/1*106cells) for 45min at 4℃. The secondary antibody used was FITC-conjugated goat anti-rabbit IgG (H+L) at 1/200 dilution for 35min at 4℃.Control antibody (green line) was Rabbit IgG (1ug/1*106cells) used under the same conditions. Acquisition of >10, 000 events was performed.
-
-
其他:
產品詳情
-
Uniprot No.:
-
基因名:
-
別名:Adapter molecule crk antibody; Avian sarcoma virus CT10 (v crk) oncogene homolog antibody; CRK antibody; CRK isoform 2 antibody; CRK isoform II antibody; CRK_HUMAN antibody; CRKII antibody; FLJ38130 antibody; OTTHUMP00000115366 antibody; OTTHUMP00000198330 antibody; p38 antibody; Proto oncogene C crk antibody; Proto-oncogene C-crk antibody; v crk avian sarcoma virus CT10 oncogene homolog antibody; v crk sarcoma virus CT10 oncogene homolog antibody; v crk sarcoma virus CT10 oncogene homolog (avian) antibody
-
反應種屬:Human
-
免疫原:A synthesized peptide from human CRK protein
-
免疫原種屬:Homo sapiens (Human)
-
標記方式:Non-conjugated
-
克隆類型:Monoclonal
-
抗體亞型:Rabbit IgG
-
純化方式:Affinity-chromatography
-
克隆號:3H9
-
濃度:It differs from different batches. Please contact us to confirm it.
-
保存緩沖液:Rabbit IgG in 10mM phosphate buffered saline , pH 7.4, 150mM sodium chloride, 0.05% BSA, 0.02% sodium azide and 50% glycerol.
-
產品提供形式:Liquid
-
應用范圍:ELISA, WB, IHC, FC
-
推薦稀釋比:
Application Recommended Dilution WB 1:500-1:5000 IHC 1:50-1:200 FC 1:50-1:200 -
Protocols:
-
儲存條件:Upon receipt, store at -20°C or -80°C. Avoid repeated freeze.
-
貨期:Basically, we can dispatch the products out in 1-3 working days after receiving your orders. Delivery time maybe differs from different purchasing way or location, please kindly consult your local distributors for specific delivery time.
-
用途:For Research Use Only. Not for use in diagnostic or therapeutic procedures.
相關產品
靶點詳情
-
功能:Involved in cell branching and adhesion mediated by BCAR1-CRK-RAPGEF1 signaling and activation of RAP1.; Regulates cell adhesion, spreading and migration. Mediates attachment-induced MAPK8 activation, membrane ruffling and cell motility in a Rac-dependent manner. Involved in phagocytosis of apoptotic cells and cell motility via its interaction with DOCK1 and DOCK4. May regulate the EFNA5-EPHA3 signaling.
-
基因功能參考文獻:
- A reduced miR-126 expression and an elevated Crk protein expression, alone or in combination, statistically correlated with aggressive clinicopathological characteristics, such as larger tumor size, deeper local invasion, more lymph node metastasis, advanced TNM stage, and poorer prognosis. PMID: 29171987
- these data highlight a signaling pathway in which SHP-1 acts through CrkII to reshape the pattern of Rap1 activation in the immunological synapse. PMID: 28790195
- Crk-dependent increased phosphorylation of CD3zeta coincided with inhibition of TCR downmodulation, supporting a positive role for Crk adaptor proteins in TCR-mediated signal amplification. PMID: 28465009
- This mini review will focus on the emerging roles of Crk adaptors during myocardial I/R injury. PMID: 28553779
- TGF-beta and Crk collaborate to form a positive feedback loop to facilitate epithelial-mesenchymal transition (EMT). PMID: 27027347
- The results suggest the involvement of Crk adaptor proteins in the early stages of T cell activation in which Crk might help recruiting effector proteins to the vicinity of the phospho-CD3zeta and contribute to the fine-tuning of the TCR/CD3-coupled signal transduction pathways. PMID: 28526413
- Study investigated structures and thermodynamics of the interactions mediated by N-terminal Src homology 3 domain of CrkII and proline-rich motifs (PRMs) of cAbl kinase, highlight the role of interfacial water molecules and the conformational entropy in the SH3:PRM interactions PMID: 27332121
- CrkII mediates IGF-1 signaling and further balances pancreatic ductal adenocarcinoma biological behaviors via Erk1/2 and Akt pathway PMID: 26250463
- In individuals with class I 17p13.3 microduplications including CRK, we recommend biochemical evaluation of the growth hormone axis. Providers caring for these patients should be aware of their possible risk for the development of central precocious puberty. PMID: 27633569
- Crk Tyr251 phosphorylation regulate invasive cell phenotypes in glioblastoma. PMID: 26473374
- CsA and FK506 might interfere with selected effector T cell functions via a CrkII-, but not CrkI-dependent mechanisms. PMID: 26792730
- Studied the role of PAK1/Crk axis in transduction of the oncogenic KRAS signal in non-small cell lung cancer (NSCLC). PMID: 25956913
- in human c-CrkII, movement at position 239 and strain at position 272 are not tolerated because the beta-branched residues Ile239 and Val272 restrain the backbone mobility and thus destabilize the cis Pro238 form. PMID: 26456136
- Data indicate the role of tyrosine phosphorylation in regulating modular domain utilization in v-crk sarcoma virus CT10 oncogene homolog (avian) protein (Crk). PMID: 25381819
- evidence uncovered essential roles of CRK in invasive bladder cancer through the hepatocyte growth factor/c-Met/CRK feedback loop for epithelial-mesenchymal transition induction PMID: 25816892
- In this review, we describe the structure and function of the different Crk proteins. PMID: 25506591
- proline switch and its role in Crk signaling PMID: 24702481
- Data indicate that human proto-oncogene c-CrkII (CrkII) is regulated by phosphorylation only, but chicken CrkII is regulated by Pro238 trans-->cis isomerization and by Tyr222 phosphorylation. PMID: 25284755
- Study indicates that miR-126 is a tumor suppressor that inhibits gastric cancer cells proliferation by targeting PI3KR2, Crk and PLK2. PMID: 24969300
- Crk1/2 and CrkL are physically linked, functionally complement each other during podocyte foot process spreading, and together are required for developing typical foot process architecture. PMID: 24499776
- The present data demonstrate that immunophilins regulate CrkII, but not CrkI activity in T cells and suggest that CsA and FK506 inhibit selected effector T cell functions via a CrkII-dependent mechanism. PMID: 25225668
- This study analyzed the kinetics of folding and substrate binding of the two homologues and found that cis-trans isomerization of Pro238 determines target binding in chicken but not in human CT10 regulator of kinase protein (c-CrkII). PMID: 24571054
- We propose that Crk adaptor proteins inhibit actin polymerization by competing with Nck binding to Tir. PMID: 24675776
- This prospect summarizes recent developments in Crk biology, including new structural and biochemical roles for the atypical carboxyl-terminal SH3 (SH3C) domain. PMID: 24356912
- These findings suggest that PTPN4 negatively regulates cell proliferation and motility through dephosphorylation of CrkI. PMID: 23666597
- P-glycoprotein activity in association with pCrkl reduction levels might help to distinguish between imatinib-resistant and imatinib-sensitive chronic myeloid leukemia cells. PMID: 24210993
- A gene signature derived following CrkII over-expression correlated significantly with basal breast cancers and with high grade and poor outcome in general; data highlight the physiological importance of Crk proteins in regulating growth of aggressive basal breast cancer cells PMID: 22569336
- the role of PAK1 in the promotion of cell motility, cell invasiveness and the down regulation of p120-catenin through CRK serine 41 phosphorylation in NSCLC cells PMID: 22848689
- SRC, c-MET and CRK play a key role in gastric carcinogenesis by modulating CagA signal transductions and interaction between CRK gene and phytoestrogens modify gastric cancer risk PMID: 22383989
- miR-126 may play an initial role in the development and progression of EMs. Crk may be regulated by miR-126, and synergism between abnormal expressions may play an important role in the pathogenesis of EMs. PMID: 22012249
- propose a unified model for inhibitory receptor function: Crk phosphorylation prevents essential Crk-dependent activation signals and blocks F-actin network formation, thereby reducing constraints on subsequent engagement of activation receptors PMID: 22464172
- CrkI and p130(Cas) complex regulates the migration and invasion of prostate cancer cells. PMID: 22144090
- positive regulatory role resulting from tyrosine phosphorylation of Crk, and identify a novel mechanism by which an adaptor protein activates a non-receptor tyrosine kinase by SH2 domain displacement PMID: 21602891
- differential binding selectivity of Crk and CrkL to their downstream partners Dock 180 and C3G was demonstrated in ovarian cancer cell line SKOV3 through coimmunoprecipitation PMID: 21319228
- CRKII increases migration and invasive potential in oral squamous cell carcinoma PMID: 21339045
- SOS1 is essential for CrkI-induced fibroblast transformation, and also reveal a surprising negative role for Abl kinases in Crk transformation. PMID: 20729917
- These results imply that binding capacity of influenza A virus NS1 to CRK/CRKL has evolved in virus strains that over-induce the antiviral acting JNK-ATF2 signalling module and helps to suppress the detrimental apoptosis promoting action of this pathway. PMID: 20088952
- signal transfer of Crk/Dock180/Rac1 is implicated in actin cytoskeleton reorganization and thus in the cell proliferation, motility, invasion, and of human ovarian cancer cell line SKOV3. PMID: 20237902
- Silencing of CRK-I/II increased endothelial cell migration. PMID: 19760510
- Depletion of Crk by RNA interference markedly inhibited proliferation of the synovial sarcoma cell lines HS-SYII, SYO-1, and Fuji as well as prevented anchorage-independent growth. PMID: 19737974
- Molecular and immunohistochemical analysis of signaling adaptor protein Crk in human cancers PMID: 11911970
- determined the NMR solution structure of the ternary complex of the Abl SH3 domain with the Crk SH2 domain bound to a Crk pY221 phosphopeptide PMID: 12384576
- Crk plays a critical role in Rac1-induced membrane ruffling and Rap1-mediated nascent focal complex stabilization contributing to ephrin-B1-induced human aortic endothelial cells migration PMID: 12475948
- Requirement of the p130CAS-Crk coupling for metastasis suppressor KAI1/CD82-mediated inhibition of cell migration in a metastatic prostate cancer cell line. PMID: 12738793
- CRK is ADP ribosylated by Pseudomonas aeruginosa ExoT, demonstrating how ADP-ribosylation of Crk-I may be responsible for the anti-phagocytosis phenotype elicited by ExoT in mammalian cells PMID: 12807879
- c-Src phosphorylates the receptor KIT, thereby creating docking sites for SH2 domain containing proteins, leading to recruitment of Crk to the receptor. PMID: 12878163
- This study provides the first quantitative analysis of discrete CRKI and CRKII protein isoforms in human lung tumors and provides evidence that the C-CRK proto-oncogene may foment a more aggressive phenotype in lung cancers. PMID: 12970743
- Nck and Crk mediate distinct VEGF-induced signaling pathways that serve overlapping functions in cell migration. PMID: 15051508
- a major role for a Crk-cortactin complex in actin polymerization downstream of tyrosine kinase signaling PMID: 15263018
- Crk may be involved in regulation of cell motility by a hyaluronic acid-dependent mechanism through an association with ERMs PMID: 15326184
顯示更多
收起更多
-
亞細胞定位:Cytoplasm. Cell membrane.
-
蛋白家族:CRK family
-
數據庫鏈接:
Most popular with customers
-
-
YWHAB Recombinant Monoclonal Antibody
Applications: ELISA, WB, IHC, IF, FC
Species Reactivity: Human, Mouse, Rat
-
Phospho-YAP1 (S127) Recombinant Monoclonal Antibody
Applications: ELISA, WB, IHC
Species Reactivity: Human
-
-
-
-
-















