CRADD Recombinant Monoclonal Antibody
-
中文名稱:CRADD Recombinant Monoclonal Antibody
-
貨號:CSB-RA928719A0HU
-
規格:¥1320
-
圖片:
-
Western Blot
Positive WB detected in: U937 whole cell lysate(30μg), HEK293 whole cell lysate, COLO205 whole cell lysate(30μg)
All lanes: CRADD antibody at 1:1000
Secondary
Goat polyclonal to rabbit IgG at 1/50000 dilution
Predicted band size: 23 kDa
Observed band size: 23 kDa
Exposure time: 3min -
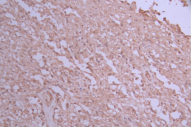
IHC image of CSB-RA928719A0HU diluted at 1:100 and staining in paraffin-embedded human glioma cancer performed on a Leica BondTM system. After dewaxing and hydration, antigen retrieval was mediated by high pressure in a citrate buffer (pH 6.0). Section was blocked with 10% normal goat serum 30min at RT. Then primary antibody (1% BSA) was incubated at 4°C overnight. The primary is detected by a Goat anti-rabbit polymer IgG labeled by HRP and visualized using 0.05% DAB.
-
Immunofluorescence staining of Jurkat cell with CSB-RA928719A0HU at 1:50, counter-stained with DAPI. The cells were fixed in 4% formaldehyde, permeabilized using 0.2% Triton X-100 and blocked in 10% normal Goat Serum. The cells were then incubated with the antibody overnight at 4°C. The secondary antibody was Alexa Fluor 488-congugated AffiniPure Goat Anti-Rabbit IgG(H+L).
-
Overlay Peak curve showing PC-3 cells stained with CSB-RA928719A0HU (red line) at 1:100. The cells were fixed in 4% formaldehyde and permeated by 0.2% TritonX-100 for 10min. Then 10% normal goat serum to block non-specific protein-protein interactions followed by the antibody (1ug/1*106cells) for 45min at 4℃. The secondary antibody used was FITC-conjugated goat anti-rabbit IgG (H+L) at 1/200 dilution for 35min at 4℃.Control antibody (green line) was Rabbit IgG (1ug/1*106cells) used under the same conditions. Acquisition of >10,000 events was performed.
-
-
其他:
產品詳情
-
Uniprot No.:
-
基因名:CRADD
-
別名:CASP2 and RIPK1 domain containing adaptor with death domain antibody; Caspase and RIP adapter with death domain antibody; Caspase and RIP adaptor with death domain antibody; Cradd antibody; CRADD_HUMAN antibody; Death adaptor molecule RAIDD antibody; Death domain containing protein CRADD antibody; Death domain-containing protein CRADD antibody; MGC9163 antibody; RIP associated ICH1/CED3 homologous protein with death domain antibody; RIP associated protein with a death domain antibody; RIP-associated protein with a death domain antibody
-
反應種屬:Human
-
免疫原:A synthesized peptide derived from human CRADD
-
免疫原種屬:Homo sapiens (Human)
-
標記方式:Non-conjugated
-
克隆類型:Monoclonal
-
抗體亞型:Rabbit IgG
-
純化方式:Affinity-chromatography
-
克隆號:5D11
-
濃度:It differs from different batches. Please contact us to confirm it.
-
保存緩沖液:Rabbit IgG in 10mM phosphate buffered saline , pH 7.4, 150mM sodium chloride, 0.05% BSA, 0.02% sodium azide and 50% glycerol.
-
產品提供形式:Liquid
-
應用范圍:ELISA, WB, IHC, IF, FC
-
推薦稀釋比:
Application Recommended Dilution WB 1:500-1:2000 IHC 1:50-1:200 IF 1:50-1:200 FC 1:50-1:200 -
Protocols:
-
儲存條件:Upon receipt, store at -20°C or -80°C. Avoid repeated freeze.
-
貨期:Basically, we can dispatch the products out in 1-3 working days after receiving your orders. Delivery time maybe differs from different purchasing way or location, please kindly consult your local distributors for specific delivery time.
-
用途:For Research Use Only. Not for use in diagnostic or therapeutic procedures.
相關產品
靶點詳情
-
功能:Adapter protein that associates with PIDD1 and the caspase CASP2 to form the PIDDosome, a complex that activates CASP2 and triggers apoptosis. Also recruits CASP2 to the TNFR-1 signaling complex through its interaction with RIPK1 and TRADD and may play a role in the tumor necrosis factor-mediated signaling pathway.
-
基因功能參考文獻:
- Whole exome sequencing (WES) of an affected fetus, and subsequent Sanger sequencing of the second fetus, revealed a homozygous frameshift variant in CRADD, which encodes an adaptor protein that interacts with PIDD and caspase-2 to initiate apoptosis PMID: 28686357
- The megalencephaly, lissencephaly variant, and intellectual disability associated with loss of CRADD/caspase-2-mediated apoptosis imply a role for CRADD/caspase-2 signaling in development of the human cerebral cortex. PMID: 27773430
- The adaptor molecule RAIDD coordinates IKKepsilon and IRF7 interaction to ensure efficient expression of type I interferon. PMID: 27606466
- define a novel function for CRADD in endothelial cells as an inducible suppressor of BCL10, a key mediator of responses to proinflammatory agonists PMID: 24958727
- Crystals are trigonal and belong to space group P3(1)21 (or its enantiomorph P3(2)21) with unit-cell parameters a = 56.3, b = 56.3, c = 64.9 A and gamma = 120 degrees . PMID: 19582216
- Study identified sequence variants in the known disease-causing genes SLC6A3 and FLVCR1, and present evidence to strongly support the pathogenicity of variants identified in TUBGCP6, BRAT1, SNIP1, CRADD, and HARS. PMID: 22279524
- point mutations on RAIDD (R147E) and on PIDD (Y814A) exert a dominant negative effect on the formation of the PIDDosome, and that this effect cannot be applied after the PIDDosome has been formed PMID: 20406701
- The expressions of PIDD and RAIDD are upregulated during tumour progression in renal cell carcinomas. PMID: 20208132
- As a first step towards elucidating the molecular mechanisms of caspase-2 activation, data report the crystal structure of the RAIDD death domain at 2.0 A resolution. PMID: 16434054
- PIDD death domain (DD) and RAIDD DD assemble into an oligomeric complex. Within the PIDDosome, the interaction between PIDD and RAIDD is mediated by a homotypic interaction between their death domains. PMID: 17329820
- impaired expression of RAIDD in drug induced apoptosis may play a role in the multidrug resistance of osteosarcoma cells PMID: 19125251
顯示更多
收起更多
-
相關疾病:Mental retardation, autosomal recessive 34, with variant lissencephaly (MRT34)
-
亞細胞定位:Cytoplasm. Nucleus.
-
組織特異性:Constitutively expressed in most tissues, with particularly high expression in adult heart, testis, liver, skeletal muscle, fetal liver and kidney.
-
數據庫鏈接:
Most popular with customers
-
-
YWHAB Recombinant Monoclonal Antibody
Applications: ELISA, WB, IHC, IF, FC
Species Reactivity: Human, Mouse, Rat
-
Phospho-YAP1 (S127) Recombinant Monoclonal Antibody
Applications: ELISA, WB, IHC
Species Reactivity: Human
-
-
-
-
-















