CPA1/CPB1/CPA2 Recombinant Monoclonal Antibody
-
中文名稱:CPA1/CPB1/CPA2 Recombinant Monoclonal Antibody
-
貨號:CSB-RA971760A0HU
-
規格:¥1320
-
圖片:
-
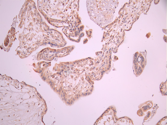
IHC image of CSB-RA971760A0HU diluted at 1:100 and staining in paraffin-embedded human placenta tissue performed on a Leica BondTM system. After dewaxing and hydration, antigen retrieval was mediated by high pressure in a citrate buffer (pH 6.0). Section was blocked with 10% normal goat serum 30min at RT. Then primary antibody (1% BSA) was incubated at 4°C overnight. The primary is detected by a Goat anti-rabbit polymer IgG labeled by HRP and visualized using 0.05% DAB.
-
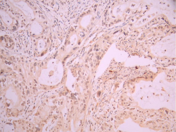
IHC image of CSB-RA971760A0HU diluted at 1:100 and staining in paraffin-embedded human pancreatic cancer performed on a Leica BondTM system. After dewaxing and hydration, antigen retrieval was mediated by high pressure in a citrate buffer (pH 6.0). Section was blocked with 10% normal goat serum 30min at RT. Then primary antibody (1% BSA) was incubated at 4°C overnight. The primary is detected by a Goat anti-rabbit polymer IgG labeled by HRP and visualized using 0.05% DAB.
-
-
其他:
產品詳情
-
Uniprot No.:
-
基因名:CPA1/CPB1/CPA2
-
別名:carboxypeptidase A1 (pancreatic) antibody; Carboxypeptidase A1 antibody; Carboxypeptidase A1 precursor antibody; CBPA1_HUMAN antibody; CPA antibody; CPA1 antibody; Pancreatic carboxypeptidase A1 antibody; Procarboxypeptidase A1 pancreatic antibody; Carboxypeptidase B antibody; Carboxypeptidase B1 (tissue) antibody; Carboxypeptidase B1 antibody; CarboxypeptidaseB antibody; CarboxypeptidaseB1 antibody; CBPB1_HUMAN antibody; CP B1 antibody; CPB 1 antibody; CPB antibody; CPB1 antibody; DKFZp779K1333 antibody; Pancreas specific protein antibody; Pancreas-specific protein antibody; Pancreatic carboxypeptidase B antibody; Pancreatic carboxypeptidase B1 antibody; PASP antibody; PCPB antibody; Procarboxypeptidase B antibody; Procarboxypeptidase B pancreatic antibody; Protaminase antibody; Tissue carboxypeptidase B antibody; CPA2Carboxypeptidase A2 antibody; EC 3.4.17.15 antibody
-
反應種屬:Human
-
免疫原:A synthesized peptide from human CPA1/CPB1/CPA2 protein
-
免疫原種屬:Homo sapiens (Human)
-
標記方式:Non-conjugated
-
克隆類型:Monoclonal
-
抗體亞型:Rabbit IgG
-
純化方式:Affinity-chromatography
-
克隆號:6H1
-
濃度:It differs from different batches. Please contact us to confirm it.
-
保存緩沖液:Rabbit IgG in 10mM phosphate buffered saline , pH 7.4, 150mM sodium chloride, 0.05% BSA, 0.02% sodium azide and 50% glycerol.
-
產品提供形式:Liquid
-
應用范圍:ELISA, IHC
-
推薦稀釋比:
Application Recommended Dilution IHC 1:50-1:200 -
Protocols:
-
儲存條件:Upon receipt, store at -20°C or -80°C. Avoid repeated freeze.
-
貨期:Basically, we can dispatch the products out in 1-3 working days after receiving your orders. Delivery time maybe differs from different purchasing way or location, please kindly consult your local distributors for specific delivery time.
-
用途:For Research Use Only. Not for use in diagnostic or therapeutic procedures.
Most popular with customers
-
-
YWHAB Recombinant Monoclonal Antibody
Applications: ELISA, WB, IHC, IF, FC
Species Reactivity: Human, Mouse, Rat
-
Phospho-YAP1 (S127) Recombinant Monoclonal Antibody
Applications: ELISA, WB, IHC
Species Reactivity: Human
-
-
-
-
-















