COPS5 Recombinant Monoclonal Antibody
-
中文名稱:COPS5 Recombinant Monoclonal Antibody
-
貨號:CSB-RA585369A0HU
-
規格:¥1320
-
圖片:
-
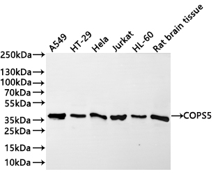
Western Blot
Positive WB detected in: A549 whole cell lysate(30μg), HT-29 whole cell lysate(30μg), Hela whole cell lysate(30μg), Jurkat whole cell lysate(30μg), HL-60 whole cell lysate(30μg), Rat brain tissue lysate(30μg)
All lanes: COPS5 antibody at 1:1000
Secondary
Goat polyclonal to rabbit IgG at 1/40000 dilution
Predicted band size: 38 kDa
Observed band size: 38 kDa
Exposure time:2min
-
-
其他:
產品詳情
-
Uniprot No.:
-
基因名:COPS5
-
別名:COP9 signalosome complex subunit 5 (SGN5) (Signalosome subunit 5) (EC 3.4.-.-) (Jun activation domain-binding protein 1), COPS5, CSN5 JAB1
-
反應種屬:Human, Rat
-
免疫原:A synthesized peptide from human COPS5 protein
-
免疫原種屬:Homo sapiens (Human)
-
標記方式:Non-conjugated
-
克隆類型:Monoclonal
-
抗體亞型:Rabbit IgG
-
純化方式:Affinity-chromatography
-
克隆號:15A6
-
濃度:It differs from different batches. Please contact us to confirm it.
-
保存緩沖液:Preservative: 0.03% Proclin 300
Constituents: 50% Glycerol, 0.01M PBS, PH 7.4 -
產品提供形式:Liquid
-
應用范圍:ELISA, WB
-
推薦稀釋比:
Application Recommended Dilution WB 1:500-1:2000 -
Protocols:
-
儲存條件:Upon receipt, store at -20°C or -80°C. Avoid repeated freeze.
-
貨期:Basically, we can dispatch the products out in 1-3 working days after receiving your orders. Delivery time maybe differs from different purchasing way or location, please kindly consult your local distributors for specific delivery time.
-
用途:For Research Use Only. Not for use in diagnostic or therapeutic procedures.
相關產品
靶點詳情
-
功能:Probable protease subunit of the COP9 signalosome complex (CSN), a complex involved in various cellular and developmental processes. The CSN complex is an essential regulator of the ubiquitin (Ubl) conjugation pathway by mediating the deneddylation of the cullin subunits of the SCF-type E3 ligase complexes, leading to decrease the Ubl ligase activity of SCF-type complexes such as SCF, CSA or DDB2. The complex is also involved in phosphorylation of p53/TP53, c-jun/JUN, IkappaBalpha/NFKBIA, ITPK1 and IRF8, possibly via its association with CK2 and PKD kinases. CSN-dependent phosphorylation of TP53 and JUN promotes and protects degradation by the Ubl system, respectively. In the complex, it probably acts as the catalytic center that mediates the cleavage of Nedd8 from cullins. It however has no metalloprotease activity by itself and requires the other subunits of the CSN complex. Interacts directly with a large number of proteins that are regulated by the CSN complex, confirming a key role in the complex. Promotes the proteasomal degradation of BRSK2.
-
基因功能參考文獻:
- CSN5 directly bound survivin and decreased its ubiquitination to enhance the protein stability of survivin. PMID: 29596838
- verexpression of COPS5, through its isopeptidase activity, leads to ubiquitination and proteasome-mediated degradation of NCoR, a key corepressor for ERalpha and tamoxifen-mediated suppression of ERalpha target genes. PMID: 27375289
- These findings provide novel insights into molecular mechanism of let-7d and Jab1 in tumor development and progression of breast cancer, and thus let-7d/Jab1 are novel potential therapeutic targets for breast cancer patients. PMID: 29975923
- We identified a novel Jab1-Trx axis that is a key cellular process in the pathobiologic characteristics of acute myeloid leukemia (AML-M5). Targeting the ROS/Jab1/Trx pathway could be beneficial in the treatment of AML-M5 PMID: 28270496
- These data identified CSN5 as a critical oncoprotein involved in progression of hepatocellular carcinoma (HCC) cells, which could serve as a potential therapeutic target in HCC patients. PMID: 29189991
- The authors find that UCHL3 regulates COPS5-dependent deneddylation of Cullin1, which is an essential component of SCF(beta-TrCP) complex and associated with SCF(beta-TrCP) activities. The authors further demonstrate that UCHL3 upregulates the levels of SCF(beta-TrCP) substrates including IFN-I receptor IFNAR1, which enhances IFN-I mediated signaling pathway and antiviral activity. PMID: 28583475
- Collectively, our findings suggest that JAB1 activates the neuronal differentiation ability of CPNE1 through the binding of C2A domain in CPNE1 with MPN domain in JAB1. PMID: 29448099
- data suggests that Jab1-mediated phosphorylation of p53 at Thr155 residue mediates nuclear export of p53 PMID: 28539160
- CSN5 is contributed to colorectal cancer development by actively driving aberrant WNT signaling through repression of the WNT antagonist DKK1. PMID: 28229932
- The results of this study suggest that Jab1 promotes glioma cell proliferation and increased expression of Jab1 in glioma patients may amplify beta-catenin signaling to contribute to glioma cell proliferation. PMID: 27640199
- Furthermore, inhibition of COPS5 resulted in an elevation of Akt expression and sensitized SOC cells to Akt inhibitor MK2206. Suppression of COPS5 and Akt offers a potential strategy for the treatment of SOC. PMID: 28919423
- The data identified CSN5 as a critical oncoprotein involved in migration and invasion of RCC cells, which could serve as a potential therapeutic target in RCC patients. PMID: 28479251
- High JAB1 expression is associated with nasopharyngeal cancer. PMID: 27524414
- oxLDL induces JAB1 expression and influences its cellular localization, whereby the p38 MAPK signaling pathway is modified with consequences for inflammation of human MPhi in foam cells and atherosclerotic lesions. PMID: 28173800
- We found that increased expression of JAB1 promoted odontogenic differentiation of DPSCs via Wnt/beta-catenin signaling. The role of JAB1 in the odontogenic differentiation of DPSCs was further confirmed by knocking down JAB1. Our findings provide novel insights on odontogenic differentiation of DPSCs. PMID: 26989054
- Copine3 binding to ErbB2 increases when Jab1 is overexpressed in SKBr3 breast cancer cells. PI3 kinase and AKT were also activated by Jab1 overexpression.Copine3 and Jab1 binding regulates the ErbB2 signaling pathway. PMID: 26719032
- The reverse correlation of Jab1 and Smad4 in PANC-1 cells may be involved in the Pathogenesis of prostate cancer. Jab1 can cause degradation of Smad4 via TGF-beta signal pathway. PMID: 26464677
- Jab1/Csn5 expression with concurrent low p57 expression associated with poor overall survival in hepatocellular carcinoma PMID: 26606000
- LPA stimulated interaction of CSN5 with HIF1alpha and MIF. Depletion of CSN5 mitigated the association between HIF1alpha and MIF. We suggest HIF1alpha, MIF, and CSN5 form a ternary complex that is necessary to prevent degradation of HIF1alpha under aerobic conditions PMID: 26352431
- Integrin beta-1, transforming growth factorbeta1 and nuclear factorkappaB pathways are modified by CSN5 in hepatocllular carcinoma cells. PMID: 26035694
- Down regulation of CSN5 may inhibit invasion and arrests cell cycle progression in colorectal cancer via PI3K/AKT/NF-kappaB signal pathway. PMID: 26045788
- Knockdown of CSN5 could inhibit proliferation and promote apoptosis of gastric cancer cells. Additionally, suppression of CSN5 expression contributed to the increased expression levels of p53 and Bax. PMID: 26048783
- Jab1 expression was increased in endometriosis. PMID: 25666480
- CSN5 promotes SIAH-1 degradation in HCT116 and SW480 cells and that this is associated with its deNEDDylase activity. PMID: 24882689
- CSN4 silencing decreases CSN5 protein levels and suggest that the CSN4 effects on sGCA1 and p53 proteins are mediated by CSN5. PMID: 24725084
- data suggest that Jab1 plays an important role in CAM-DR, which depends on pSer10-p27(Kip1)-mediated subcellular localization of p27(Kip1). PMID: 24170542
- A direct interaction of Jab1 with LMP-1, is reported. PMID: 24078030
- High JAB1 expression is associated with hepatocellular carcinoma. PMID: 24671224
- increased expression in atherosclerotic lesions correlates with atheroprogression PMID: 23636414
- Interaction between JAB1 and pre-S2 mutant large surface antigen of hepatitis B virus is facilitated by divalent metal Zn(2+) ion. PMID: 24049181
- NEDD8 modification pathway is involved in the proteolysis of IFNR and that JAB1 acts as a positive regulator of IFN responses by stabilizing IFNR through antagonizing the NEDD8 pathway. PMID: 24043623
- CSN5 regulates the stability of the inner kinetochore components CENP-T and CENP-W, providing the first direct link between CSN5 and the mitotic apparatus, highlighting the role of CSN5 as a multifunctional cell cycle regulator. PMID: 23926101
- results suggest that nuclear JAB1 positively regulates unphosphorylated STAT3 DNA-binding activity through protein-protein interaction in human colon cancer cell line COLO205 PMID: 23911788
- findings suggest that Jab1 has an important role in the cellular response to cisplatin and irradiation by regulating DNA damage and repair pathways; observations suggest that Jab1 is a major contributor to the cisplatin, IR and UV radiation resistance of nasopharyngeal carcinoma PMID: 22797071
- Jab1 overexpression contributes to pathogenesis of oral squamous cell carcinomas by degradating p27 expression. PMID: 22311264
- Studies indicate Jun activation domain-binding protein Jab1 as a substrate for CUL4B E3 ligase. PMID: 23357576
- Although the CSN5 active site is catalytically competent and compatible with di-isopeptide binding, the Ins-1 segment obstructs access to its substrate-binding site, and structural rearrangements are necessary for the Nedd8-binding pocket formation. PMID: 23288897
- JAB1 expression overcame the inhibition of HIV-1 replication in the presence of peptide and also promoted HIV-1 replication in activated primary CD4(+) T cells through LFA-1. PMID: 22911848
- The expression rate of Jab1 protein in laryngeal squamous cell carcinoma is significantly higher than that of normal laryngeal mucosa. There is a negative relationship between Jab1 and p27kiPl protein in laryngeal squamous cell carcinoma. PMID: 22675932
- highlight recent advances in studies of the oncogenic role of Jab1/CSN5 in NPC and its potential as a therapeutic target for this cancer PMID: 22867945
- study demonstrates that the Src/Stat3 and C/EBP signaling pathways positively regulate the expression of the Jab1 oncogene; results show that Stat3 and LAP2 (C/EBP-beta2) are the two major transcription factors that contribute to Jab1 overexpression that leads to increased proliferation of breast cancer cells PMID: 21689417
- An increased level of CSN1 and CSN5 as an important part of the ubiquitin proteasome system (UPS) might be associated with the pathophysiology of preeclampsia. PMID: 22103747
- these findings provide a novel regulatory mechanism of BRSK2 through direct interaction with Jab1. PMID: 22609399
- The Jab1 may play a vital role in the pathogenesis of both chronic rhinosinusitis and nasal polyposis. PMID: 21466889
- role of CSN in the pathogenesis of CRC via regulation of the Wnt/beta-catenin pathway PMID: 22668871
- Jab1/CSN5 negatively regulates p27 and plays a role in the pathogenesis of nasopharyngeal carcinoma. PMID: 22350412
- overexpression of Jab1, cytoplasmic p27, and pSer10p27 proteins is correlated with poor outcome in patients with glioma PMID: 21837501
- results indicated that C10ORF97 functions as a novel tumor suppressor by modulating several key G(1)/S-regulatory proteins by interacting with JAB1 PMID: 21499297
- Studies indicate that CSN-mediated deneddylation located to CSN5, and By deneddylation, phosphorylation and deubiquitination the CSN influences DDR outcome which can be successful DNA repair. PMID: 21510940
- Bcr-Abl stimulates Jab1 expression via the cooperative interaction of beta-catenin and STAT1 in leukemia cells. PMID: 21935931
顯示更多
收起更多
-
亞細胞定位:Cytoplasm, cytosol. Nucleus. Cytoplasm, perinuclear region. Cytoplasmic vesicle, secretory vesicle, synaptic vesicle.
-
蛋白家族:Peptidase M67A family, CSN5 subfamily
-
數據庫鏈接:
Most popular with customers
-
-
YWHAB Recombinant Monoclonal Antibody
Applications: ELISA, WB, IHC, IF, FC
Species Reactivity: Human, Mouse, Rat
-
Phospho-YAP1 (S127) Recombinant Monoclonal Antibody
Applications: ELISA, WB, IHC
Species Reactivity: Human
-
-
-
-
-















