CLSTN1 Recombinant Monoclonal Antibody
-
中文名稱:CLSTN1 Recombinant Monoclonal Antibody
-
貨號:CSB-RA923470A0HU
-
規格:¥1320
-
圖片:
-
Western Blot
Positive WB detected in: COLO205 whole cell lysate(30μg), Mouse brain tissue lysate(30μg), Rat brain tissue lysate(30μg)
All lanes:Calsyntenin 1 antibody at 1:1000
Secondary
Goat polyclonal to rabbit IgG at 1/40000 dilution
Predicted band size: 110 kDa
Observed band size: 110 kDa
Exposure time:1min -
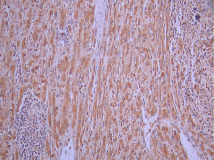
IHC image of CSB-RA923470A0HU diluted at 1:100 and staining in paraffin-embedded human brain tissue performed on a Leica BondTM system. After dewaxing and hydration, antigen retrieval was mediated by high pressure in a citrate buffer (pH 6.0). Section was blocked with 10% normal goat serum 30min at RT. Then primary antibody (1% BSA) was incubated at 4°C overnight. The primary is detected by a Goat anti-rabbit polymer IgG labeled by HRP and visualized using 0.05% DAB.
-
IHC image of CSB-RA923470A0HU diluted at 1:100 and staining in paraffin-embedded human liver cancer performed on a Leica BondTM system. After dewaxing and hydration, antigen retrieval was mediated by high pressure in a citrate buffer (pH 6.0). Section was blocked with 10% normal goat serum 30min at RT. Then primary antibody (1% BSA) was incubated at 4°C overnight. The primary is detected by a Goat anti-rabbit polymer IgG labeled by HRP and visualized using 0.05% DAB.
-
Immunofluorescence staining of A549 cell with CSB-RA923470A0HU at 1:50 , counter-stained with DAPI. The cells were fixed in 4% formaldehyde, permeabilized using 0.2% Triton X-100 and blocked in 10% normal Goat Serum. The cells were then incubated with the antibody overnight at 4°C. The secondary antibody was Alexa Fluor 488-congugated AffiniPure Goat Anti-Rabbit IgG(H+L).
-
Overlay Peak curve showing Hela cells stained with CSB-RA923470A0HU (red line) at 1:100. The cells were fixed in 4% formaldehyde and permeated by 0.2% TritonX-100 for 10min. Then 10% normal goat serum to block non-specific protein-protein interactions followed by the antibody (1ug/1*106cells) for 45min at 4℃. The secondary antibody used was FITC-conjugated goat anti-rabbit IgG (H+L) at 1/200 dilution for 35min at 4℃.Control antibody (green line) was Rabbit IgG (1ug/1*106cells) used under the same conditions. Acquisition of >10, 000 events was performed.
-
-
其他:
產品詳情
-
Uniprot No.:
-
基因名:CLSTN1
-
別名:Alc alpha antibody; Alc-alpha antibody; Alcadein alpha 1 antibody; Alcadein alpha antibody; Alcadein-alpha antibody; alcalpha1 antibody; alcalpha2 antibody; Alzheimer related cadherin like protein antibody; Alzheimer-related cadherin-like protein antibody; C-terminal fragment 1-alpha antibody; Cadherin related family member 12 antibody; Calsyntenin 1 antibody; Calsyntenin1 antibody; CDHR12 antibody; CLSTN 1 antibody; Clstn1 antibody; CS1 antibody; CSTN1 antibody; CSTN1_HUMAN antibody; CTF1-alpha antibody; FLJ32258 antibody; KIAA0911 antibody; Non classical cadherin XB31alpha antibody; Non classical cadherin XB31alpha1 antibody; Non-classical cadherin XB31alpha antibody; PIK3CD antibody; SAlc-alpha antibody; XB31alpha antibody
-
反應種屬:Human, Mouse, Rat
-
免疫原:A synthesized peptide from human CLSTN1 protein
-
免疫原種屬:Homo sapiens (Human)
-
標記方式:Non-conjugated
-
克隆類型:Monoclonal
-
抗體亞型:Rabbit IgG
-
純化方式:Affinity-chromatography
-
克隆號:11H4
-
濃度:It differs from different batches. Please contact us to confirm it.
-
保存緩沖液:Rabbit IgG in 10mM phosphate buffered saline , pH 7.4, 150mM sodium chloride, 0.05% BSA, 0.02% sodium azide and 50% glycerol.
-
產品提供形式:Liquid
-
應用范圍:ELISA, WB, IHC, IF, FC
-
推薦稀釋比:
Application Recommended Dilution WB 1:500-1:5000 IHC 1:50-1:200 IF 1:50-1:200 FC 1:50-1:200 -
Protocols:
-
儲存條件:Upon receipt, store at -20°C or -80°C. Avoid repeated freeze.
-
貨期:Basically, we can dispatch the products out in 1-3 working days after receiving your orders. Delivery time maybe differs from different purchasing way or location, please kindly consult your local distributors for specific delivery time.
-
用途:For Research Use Only. Not for use in diagnostic or therapeutic procedures.
相關產品
靶點詳情
-
功能:Induces KLC1 association with vesicles and functions as a cargo in axonal anterograde transport. Complex formation with APBA2 and APP, stabilizes APP metabolism and enhances APBA2-mediated suppression of beta-APP40 secretion, due to the retardation of intracellular APP maturation. In complex with APBA2 and C99, a C-terminal APP fragment, abolishes C99 interaction with PSEN1 and thus APP C99 cleavage by gamma-secretase, most probably through stabilization of the direct interaction between APBA2 and APP. The intracellular fragment AlcICD suppresses APBB1-dependent transactivation stimulated by APP C-terminal intracellular fragment (AICD), most probably by competing with AICD for APBB1-binding. May modulate calcium-mediated postsynaptic signals.
-
基因功能參考文獻:
- Results suggests that APP partially compensates for defective Alcalpha in anterograde transport by providing an alternative cargo receptor for kinesin-1. PMID: 29093024
- Calsyntenin-1 contributes to the early stages of the hepatitis C virus replication cycle and the formation of the replication complex. PMID: 27221318
- Increased plasma p3-Alcalpha35, a major fragment of alcalpha1, may indicate an endophenotype in Alzheimer's disease patients with progressive cognitive impairment. PMID: 24305499
- Increased plasma p3-alcadein (alc) alpha, evident in the early stages of cognitive impairment, suggests that alc metabolites are useful plasma biomarkers of Alzheimer's disease. PMID: 22571980
- findings show that calsyntenin-1 is reduced in Alzheimer's disease brains and that the extent of this reduction correlates with increased amyloid-beta PMID: 22434822
- CLSTN1 is a target gene of the BACH1 transcription factor according to ChIP-seq analysis in HEK 293 cells. PMID: 21555518
- Phosphorylation of KLC1 at serine 460 modulates binding and trafficking of calsyntenin-1. PMID: 21385839
- Alcadein and amyloid beta-protein precursor regulates FE65-dependent gene transactivation [alcalpha1, alcbeta, alcgamma] PMID: 15037614
顯示更多
收起更多
-
亞細胞定位:Endoplasmic reticulum membrane; Single-pass type I membrane protein. Golgi apparatus membrane. Cell projection, neuron projection. Cell junction, synapse, postsynaptic cell membrane; Single-pass type I membrane protein. Nucleus.
-
組織特異性:Expressed in the brain and, a lower level, in the heart, skeletal muscle, kidney and placenta. Accumulates in dystrophic neurites around the amyloid core of Alzheimer disease senile plaques (at protein level).
-
數據庫鏈接:
Most popular with customers
-
-
YWHAB Recombinant Monoclonal Antibody
Applications: ELISA, WB, IHC, IF, FC
Species Reactivity: Human, Mouse, Rat
-
-
-
-
-
-















