CHAF1B Recombinant Monoclonal Antibody
-
中文名稱:CHAF1B Recombinant Monoclonal Antibody
-
貨號:CSB-RA699720A0HU
-
規格:¥1320
-
圖片:
-
Western Blot
Positive WB detected in: COLO205 whole cell lysate(30μg), U937 whole cell lysate, HL-60 whole cell lysate(30μg), HEK293 whole cell lysate(30μg), HeLa whole cell lysate(30μg), HepG2 whole cell lysate(30μg)
All lanes: CAF1 antibody at 1:1000
Secondary
Goat polyclonal to rabbit IgG at 1/50000 dilution
Predicted band size: 61 kDa
Observed band size: 70 kDa
Exposure time: 2min -
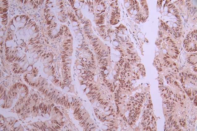
IHC image of CSB-RA699720A0HU diluted at 1:100 and staining in paraffin-embedded human colorectal cancer performed on a Leica BondTM system. After dewaxing and hydration, antigen retrieval was mediated by high pressure in a citrate buffer (pH 6.0). Section was blocked with 10% normal goat serum 30min at RT. Then primary antibody (1% BSA) was incubated at 4°C overnight. The primary is detected by a Goat anti-rabbit polymer IgG labeled by HRP and visualized using 0.05% DAB.
-
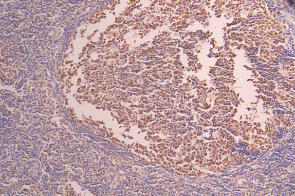
IHC image of CSB-RA699720A0HU diluted at 1:100 and staining in paraffin-embedded human tonsil tissue performed on a Leica BondTM system. After dewaxing and hydration, antigen retrieval was mediated by high pressure in a citrate buffer (pH 6.0). Section was blocked with 10% normal goat serum 30min at RT. Then primary antibody (1% BSA) was incubated at 4°C overnight. The primary is detected by a Goat anti-rabbit polymer IgG labeled by HRP and visualized using 0.05% DAB.
-
Immunofluorescence staining of Hela cell with CSB-RA699720A0HU at 1:50, counter-stained with DAPI. The cells were fixed in 4% formaldehyde, permeabilized using 0.2% Triton X-100 and blocked in 10% normal Goat Serum. The cells were then incubated with the antibody overnight at 4°C. The secondary antibody was Alexa Fluor 488-congugated AffiniPure Goat Anti-Rabbit IgG(H+L).
-
Overlay Peak curve showing MCF-7 cells stained with CSB-RA699720A0HU (red line) at 1:100. The cells were fixed in 4% formaldehyde and permeated by 0.2% TritonX-100 for 10min. Then 10% normal goat serum to block non-specific protein-protein interactions followed by the antibody (1ug/1*106cells) for 45min at 4℃. The secondary antibody used was FITC-conjugated goat anti-rabbit IgG (H+L) at 1/200 dilution for 35min at 4℃.Control antibody (green line) was Rabbit IgG (1ug/1*106cells) used under the same conditions. Acquisition of >10,000 events was performed.
-
-
其他:
產品詳情
-
Uniprot No.:
-
基因名:CHAF1B
-
別名:CAF 1 subunit B antibody; CAF 1A antibody; CAF I 60 kDa subunit antibody; CAF IP60 antibody; CAF-1 antibody; CAF-1 subunit B antibody; CAF-I 60 kDa subunit antibody; CAF-I p60 antibody; CAF1 antibody; CAF1A antibody; CAF1B_HUMAN antibody; CAF1P60 antibody; CHAF 1B antibody; CHAF1B antibody; Chromatin assembly factor 1 subunit B antibody; Chromatin assembly factor I antibody; Chromatin assembly factor I p60 subunit antibody; Human chromatin assembly factor-I p60 subunit antibody; M phase phosphoprotein 7 antibody; M-phase phosphoprotein 7 antibody; MPHOSPH7 antibody; MPP 7 antibody; MPP7 antibody; p60 subunit antibody
-
反應種屬:Human
-
免疫原:A synthesized peptide derived from human CHAF1B
-
免疫原種屬:Homo sapiens (Human)
-
標記方式:Non-conjugated
-
克隆類型:Monoclonal
-
抗體亞型:Rabbit IgG
-
純化方式:Affinity-chromatography
-
克隆號:5G7
-
濃度:It differs from different batches. Please contact us to confirm it.
-
保存緩沖液:Rabbit IgG in 10mM phosphate buffered saline , pH 7.4, 150mM sodium chloride, 0.05% BSA, 0.02% sodium azide and 50% glycerol.
-
產品提供形式:Liquid
-
應用范圍:ELISA, WB, IHC, IF, FC
-
推薦稀釋比:
Application Recommended Dilution WB 1:500-1:2000 IHC 1:50-1:200 IF 1:50-1:200 FC 1:50-1:200 -
Protocols:
-
儲存條件:Upon receipt, store at -20°C or -80°C. Avoid repeated freeze.
-
貨期:Basically, we can dispatch the products out in 1-3 working days after receiving your orders. Delivery time maybe differs from different purchasing way or location, please kindly consult your local distributors for specific delivery time.
-
用途:For Research Use Only. Not for use in diagnostic or therapeutic procedures.
相關產品
靶點詳情
-
功能:Complex that is thought to mediate chromatin assembly in DNA replication and DNA repair. Assembles histone octamers onto replicating DNA in vitro. CAF-1 performs the first step of the nucleosome assembly process, bringing newly synthesized histones H3 and H4 to replicating DNA; histones H2A/H2B can bind to this chromatin precursor subsequent to DNA replication to complete the histone octamer.
-
基因功能參考文獻:
- The volumes of the tumors were similar between those injected with the empty vector and control, but were significantly smaller in the knockdown models, suggesting that the knockdown of the CHAF1B gene inhibited tumor growth. H&E staining revealed that tumors were developed in mice in all groups. PMID: 29767268
- All the evaluated malignant tumors showed CAF-1 p60 overexpression, confirming the emerging role of CAF-1 p60 as a new proliferation and prognostic marker for cancer. PMID: 23109837
- The levels of the EDNRB, HJURP and p60/CAF-1 proteins were strongly associated with overall survival in high-grade gliomas patients (p<0.001, p<0.001 and p=0.002, respectively), whereas the one of PDLI4 was not (P=0.11). PMID: 24039914
- Overexpression of CAF-1/p60, on histological and/or cytological samples, characterizes malignant salivary gland tumours with aggressive behaviour PMID: 21109952
- CAF-1 is a proliferation marker in various malignant tumours with prognostic value in renal, endometrial and cervical carcinomas, which supports the value of CAF-1 as a clinical marker of cancer progression. PMID: 21083601
- Chromatin Assembly Factor-1/p60 may have a role in progression and metastasis of melanoma PMID: 20178651
- model is proposed in which the synergism between hAsf1 and CAF-1 for nucleosome formation during DNA repair is achieved through a transient physical interaction allowing histone delivery from Asf1 to CAF-1 [asf1(anti-silencing function 1)] PMID: 11897662
- These data identify chromatin assembly factor 1 as an essential factor not only for S-phase-specific chromatin assembly but also for proliferating cell viability. PMID: 15024074
- Downregulated protein level of CAF-1 p60 in adult brain of patients with Down syndrome (DS) in contrast to Alzheimer's disease indicates that it can be considered specific for changes in DS. PMID: 15068244
- The N- & C-terminal regions of ASF1a and ASF1b determine the different affinities of these two proteins for HIRA, by contacting regions outside the HIRA B domain. CAF-1 p60 also uses B domain-like motifs for binding to ASF1a, thereby competing with HIRA. PMID: 16980972
- overexpression of CAF-1/p60 characterized prostatic cancers with a worse prognosis PMID: 19309489
- The histone H3K9 methyltransferase SetDB1 associates with the specific heterochromatin protein 1alpha (HP1alpha)-chromatin assembly factor 1 (CAF1) chaperone complex. PMID: 19498464
顯示更多
收起更多
-
亞細胞定位:Nucleus. Cytoplasm. Note=DNA replication foci. Cytoplasmic in M phase.
-
蛋白家族:WD repeat HIR1 family
-
數據庫鏈接:
Most popular with customers
-
YWHAB Recombinant Monoclonal Antibody
Applications: ELISA, WB, IHC, IF, FC
Species Reactivity: Human, Mouse, Rat
-
Phospho-YAP1 (S127) Recombinant Monoclonal Antibody
Applications: ELISA, WB, IHC
Species Reactivity: Human
-
-
-
-
-
-















