CDC6 Recombinant Monoclonal Antibody
-
中文名稱:CDC6 Recombinant Monoclonal Antibody
-
貨號:CSB-RA089295A0HU
-
規格:¥1320
-
圖片:
-
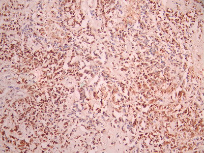
IHC image of CSB-RA089295A0HU diluted at 1:100 and staining in paraffin-embedded human breast cancer performed on a Leica BondTM system. After dewaxing and hydration, antigen retrieval was mediated by high pressure in a citrate buffer (pH 6.0). Section was blocked with 10% normal goat serum 30min at RT. Then primary antibody (1% BSA) was incubated at 4°C overnight. The primary is detected by a Goat anti-rabbit polymer IgG labeled by HRP and visualized using 0.05% DAB.
-
Immunofluorescence staining of HeLa cell with CSB-RA089295A0HU at 1:50 , counter-stained with DAPI. The cells were fixed in 4% formaldehyde, permeabilized using 0.2% Triton X-100 and blocked in 10% normal Goat Serum. The cells were then incubated with the antibody overnight at 4°C. The secondary antibody was Alexa Fluor 488-congugated AffiniPure Goat Anti-Rabbit IgG(H+L).
-
Overlay Peak curve showing Hela cells stained with CSB-RA089295A0HU (red line) at 1:100. The cells were fixed in 4% formaldehyde and permeated by 0.2% TritonX-100 for 10min. Then 10% normal goat serum to block non-specific protein-protein interactions followed by the antibody (1ug/1*106cells) for 45min at 4℃. The secondary antibody used was FITC-conjugated goat anti-rabbit IgG (H+L) at 1/200 dilution for 35min at 4℃.Control antibody (green line) was Rabbit IgG (1ug/1*106cells) used under the same conditions. Acquisition of >10, 000 events was performed.
-
-
其他:
產品詳情
-
Uniprot No.:
-
基因名:
-
別名:Cdc 18L antibody; Cdc 6 antibody; CDC18 (cell division cycle 18; S.pombe; homolog) like antibody; CDC18 (S.pombe) antibody; Cdc18 related protein antibody; CDC18(S.pombe) antibody; Cdc18-related protein antibody; Cdc18L antibody; cdc6 antibody; CDC6 cell division cycle 6 homolog antibody; CDC6 related protein antibody; CDC6-related protein antibody; CDC6_HUMAN antibody; Cdc6p antibody; CELL CYCLE CONTROLLER CDC6 antibody; Cell division control protein 6 antibody; Cell division control protein 6 homolog antibody; Cell division cycle 6 homolog (S. cerevisiae) antibody; Cell division cycle 6 homolog antibody; Cell division cycle 6; S. cerevisiae; homolog of antibody; HsCDC 6 antibody; HsCDC18 antibody; HsCDC6 antibody; p62 antibody; p62(cdc 6) antibody; p62(cdc6) antibody
-
反應種屬:Human
-
免疫原:A synthesized peptide from human CDC6 protein
-
免疫原種屬:Homo sapiens (Human)
-
標記方式:Non-conjugated
-
克隆類型:Monoclonal
-
抗體亞型:Rabbit IgG
-
純化方式:Affinity-chromatography
-
克隆號:14H8
-
濃度:It differs from different batches. Please contact us to confirm it.
-
保存緩沖液:Rabbit IgG in 10mM phosphate buffered saline , pH 7.4, 150mM sodium chloride, 0.05% BSA, 0.02% sodium azide and 50% glycerol.
-
產品提供形式:Liquid
-
應用范圍:ELISA, IHC, IF, FC
-
推薦稀釋比:
Application Recommended Dilution IHC 1:50-1:200 IF 1:50-1:200 FC 1:50-1:200 -
Protocols:
-
儲存條件:Upon receipt, store at -20°C or -80°C. Avoid repeated freeze.
-
貨期:Basically, we can dispatch the products out in 1-3 working days after receiving your orders. Delivery time maybe differs from different purchasing way or location, please kindly consult your local distributors for specific delivery time.
-
用途:For Research Use Only. Not for use in diagnostic or therapeutic procedures.
相關產品
靶點詳情
-
功能:Involved in the initiation of DNA replication. Also participates in checkpoint controls that ensure DNA replication is completed before mitosis is initiated.
-
基因功能參考文獻:
- DNA replication licensing factor Cdc6 is recruited to the proximal side of the centrioles via cyclin A to negatively regulate centrosome duplication by binding and inhibiting the cartwheel protein Sas-6 from forming a stable complex with another centriole duplication core protein, STIL. PMID: 28447620
- Results show that both Cdc6 and Cdt1, when expressed in a high level, alone or in combination, were significantly associated with poorer survival in the breast cancer patient cohort. In line with this finding, the expression of Cdc6 and Cdt1 was upregulated in breast cancer cells compared to normal breast epithelial cells. Expression of Cdc6 and Cdt1 was significantly higher in ER negative breast cancer. PMID: 28428557
- Results suggested that Cdc6 controls centrosome duplication in a manner independent of its recruitment of PCM proteins to the centrosome. PMID: 29237113
- WHSC1L1 and H3K36me2 are enriched in the gene bodies of the cell cycle-related genes CDC6 and CDK2, implying that WHSC1L1 directly regulates the transcription of these gene PMID: 27285764
- Cdc6 expression is up-regulated in bladder cancer tissues and is positively correlated to high tumor grade. PMID: 27246979
- PPP2R3B codes for the PR70 protein, a regulatory substrate-recognizing subunit of protein phosphatase 2A. PR70 decreased melanoma growth by negatively interfering with DNA replication and cell cycle progression through its role in stabilizing CDC6-chromatin licensing and CDT1 interaction PMID: 27974665
- Data suggest that regulation of microtubule nucleation and recruitment of pericentriolar proteins to centrosome requires Cdc6 ATPase activity, as well as centrosomal localization of Cdc6. PMID: 28827311
- this study provides a novel regulatory signaling pathway of CDC6-regulated epithelial ovarian cancer growth PMID: 26920249
- The data demonstrate that Cdc6 serves as a regulator of ribosomal DNA transcription initiation, and indicate a mechanism by which initiation of ribosomal DNA transcription and DNA replication can be coordinated in cells. PMID: 26872786
- Cdc6 interacts with centrosomes during mitotic cell division. PMID: 25875233
- The current study suggests that miR26a, miR26b, and CDC6 and factors regulating their expression represent potential cancer diagnostic and prognostic markers as well as anticancer targets. PMID: 25100863
- The cell cycle-dependent centrosomal localization of Cdc6 in S and G2 phases suggest a novel function of Cdc6 in centrosomes. PMID: 25498505
- Cdk1 contributes to the nuclear export of Cdc6 at the S-to-G2 transition. PMID: 24434580
- The Cdc6 is the AAA+ ATPase that assembles prereplicative complexes on replication origins in eukaryotic chromosomes and two more functions in mammalian cells to promote cell proliferation and survival. PMID: 22908236
- These results provided new evidence for the regulatory mechanism of aberrant CDC6 oncogene transcription by FOXM1 and AR, two highly expressed transcription factors in prostate cancer cells PMID: 24583551
- Two nuclear export signals of Cdc6 work cooperatively and distinctly for the cytoplasmic translocation of Cdc6 phosphorylated by cyclin A/Cdk2. PMID: 24216307
- ORC/Cdc6/MCM2-7 complex is a new regulatory mechanism for the helicase. PMID: 23803736
- the Nedd8 E1 inhibitor MLN4924 increased CDC6 protein expression due to a delay in cell cycle progression from G1 to S phase, resulting in accumulation of cells with high CDC6 protein levels. PMID: 23597704
- Downregulation of Cdc6 effectively inhibits the proliferation of Tca8113 cells. PMID: 22974333
- Norcantharidin can induce the degradation of Cdc6 in cancer cells to produce an anti-cancer effect. PMID: 20813683
- the up-regulation of CDK2 by CUL4B is achieved via the repression of miR-372 and miR-373, which target CDK2. PMID: 23479742
- The phosphorylation of S74 in Cdc6 could be important for binding to the nuclear export protein for cytoplasmic translocalization. PMID: 23129444
- CDC6 and GDF-9 might be closely related to the carcinogenesis, clinical biological behaviors, and prognosis of gallbladder adenocarcinoma. PMID: 23011157
- Ectopic GATA1 stimulates endogenous CDC6 expression in hematopoietic and non-hematopoietic cells. PMID: 22871742
- Data show that purified Epstein-Barr nuclear antigen 1 EBNA1 recruits purified Human Orc1 and Cdc6 onto replication origin oriP. PMID: 22589552
- novel role for CDC6 in abetting the oncogenic sabotage carried out by HBx and support the paradigm that pre-replicative complex proteins have a role in oncogenic transformation. PMID: 22523071
- Cdc6 protein was distributed around the spindle precursor at the time of germinal vesicle breakdown (GVBD), and localized to the margin of the nascent spindle early in prometaphase. PMID: 22262174
- Cdc6 the AAA+ ATPase activated p27-bound Cdk2 in its ATPase and cyclin binding motif-dependent manner but only after the p27 bound to the Cdk2 was phosphorylated at the C terminus. PMID: 22223646
- Phosphorylation of Cdc6 by polo-like kinase 1 (Plk1), one of the essential mitotic kinases, regulates mitotic exit. PMID: 21519187
- The Cdc6 acts as a molecular switch at the E-cadherin locus, linking transcriptional repression to activation of replication. PMID: 22201124
- Cdc6 expression is required for CDK2 chromatin association and kinase activation in stimulated primary human fibroblasts. PMID: 21088490
- The CDC6 G1321A polymorphism may contribute to the risk of cervical cancer. PMID: 20606534
- The expression of CDC6 was positively correlated with hMSH2 in cervical cancer. PMID: 19950599
- Nuclear organization of DNA replication initiation proteins PMID: 11779870
- CHROMATIN CELLL CYCLE PMID: 11846807
- downregulation in prostate cancer PMID: 12006585
- HuCdc6 is cleaved by caspase 3 during apoptosis to prevent a wounded cell from replicating and to facilitate death PMID: 12151338
- Results show that geminin, cdt1 and cdc6 are differentially regulated during megakaryocytic differentiation and suggest an active role of cdc6 in endomitosis. PMID: 12429841
- Data show that human Cdc6 (HuCdc6) regulates the onset of mitosis, as overexpression of HuCdc6 in G(2) phase cells prevents entry into mitosis. PMID: 12554670
- caspase-mediated cleavage of Cdc6 creates a truncated Cdc6 fragment that is retained in the nucleus and induces apoptosis PMID: 14517333
- endogenous Cdc6 remains nuclear and chromatin bound throughout the entire S period PMID: 14749377
- Cdc6 expression is regulated during megakaryocytic differentiation through transcriptional mechanisms involving a novel E2 box-GATA element. PMID: 15590906
- Results further confirm the importance of CDC6 in malignant transformation and in the pathogenesis of cervical dysplasia. PMID: 15696126
- Androgen receptor may play important role in onset of DNA synthesis in prostate cancer cells by regulating expression and stability of Cdc6, critically required for assembly of pre-replication complex. PMID: 15887248
- initiation of DNA replication is regulated by p53 through Cdc6 protein stability PMID: 16055707
- Cdc6 is not only required for G1 origin licensing, but is also crucial for proper S-phase DNA replication that is essential for DNA segregation during mitosis PMID: 16439999
- Truncated Cdc6 proteins act as dominant-negative inhibitors of replication initiation and disrupt chromatin structure and/or induce DNA damage, leading to ATM/ATR kinase activation and p53-Bax-mediated apoptosis PMID: 16801388
- These findings demonstrate an important and conserved role for Huwe1 in regulating Cdc6 abundance after DNA damage. PMID: 17567951
- Cdc6 plays a key role in the sequential molecular events leading to repression of origin licensing and loss of proliferative capacity during execution of the differentiation programme. PMID: 17689530
- hCdt1 and hCdc6 expression promote malignant behavior PMID: 18006835
顯示更多
收起更多
-
相關疾病:Meier-Gorlin syndrome 5 (MGORS5)
-
亞細胞定位:Nucleus. Cytoplasm.
-
蛋白家族:CDC6/cdc18 family
-
數據庫鏈接:
Most popular with customers
-
-
Phospho-YAP1 (S127) Recombinant Monoclonal Antibody
Applications: ELISA, WB, IHC
Species Reactivity: Human
-
-
-
-
-
-















