CASP14 Recombinant Monoclonal Antibody
-
中文名稱:CASP14 Recombinant Monoclonal Antibody
-
貨號:CSB-RA555705A0HU
-
規格:¥1320
-
圖片:
-
Western Blot
Positive WB detected in: A549 whole cell lysate(20μg)
All lanes: Caspase 14 antibody at 1:1000
Secondary
Goat polyclonal to rabbit IgG at 1/40000 dilution
Predicted band size: 28 kDa
Observed band size: 28-30 kDa
Exposure time:1min30s -
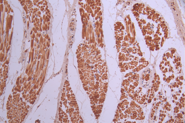
IHC image of CSB-RA555705A0HU diluted at 1:100 and staining in paraffin-embedded human skin tissue performed on a Leica BondTM system. After dewaxing and hydration, antigen retrieval was mediated by high pressure in a citrate buffer (pH 6.0). Section was blocked with 10% normal goat serum 30min at RT. Then primary antibody (1% BSA) was incubated at 4°C overnight. The primary is detected by a Goat anti-rabbit polymer IgG labeled by HRP and visualized using 0.05% DAB.
-
Overlay Peak curve showing MCF-7 cells stained with CSB-RA555705A0HU (red line) at 1:100. The cells were fixed in 4% formaldehyde and permeated by 0.2% TritonX-100 for 10min. Then 10% normal goat serum to block non-specific protein-protein interactions followed by the antibody (1ug/1*106cells) for 45min at 4℃. The secondary antibody used was FITC-conjugated goat anti-rabbit IgG (H+L) at 1/200 dilution for 35min at 4℃.Control antibody (green line) was Rabbit IgG (1ug/1*106cells) used under the same conditions. Acquisition of >10,000 events was performed.
-
-
其他:
產品詳情
-
Uniprot No.:
-
基因名:CASP14
-
別名:Apoptosis related cysteine protease antibody; CASP 14 antibody; CASP-14 antibody; CASP14 antibody; Caspase 14 apoptosis related cysteine protease antibody; Caspase 14 precursor antibody; Caspase-14 subunit p10 antibody; Caspase14 antibody; CASPE_HUMAN antibody; MGC119078 antibody; MGC119079 antibody; MICE antibody; Mini ICE antibody
-
反應種屬:Human
-
免疫原:A synthesized peptide derived from human CASP14
-
免疫原種屬:Homo sapiens (Human)
-
標記方式:Non-conjugated
-
克隆類型:Monoclonal
-
抗體亞型:Rabbit IgG
-
純化方式:Affinity-chromatography
-
克隆號:9B10
-
濃度:It differs from different batches. Please contact us to confirm it.
-
保存緩沖液:Rabbit IgG in 10mM phosphate buffered saline , pH 7.4, 150mM sodium chloride, 0.05% BSA, 0.02% sodium azide and 50% glycerol.
-
產品提供形式:Liquid
-
應用范圍:ELISA, WB, IHC, FC
-
推薦稀釋比:
Application Recommended Dilution WB 1:500-1:2000 IHC 1:50-1:200 FC 1:50-1:200 -
Protocols:
-
儲存條件:Upon receipt, store at -20°C or -80°C. Avoid repeated freeze.
-
貨期:Basically, we can dispatch the products out in 1-3 working days after receiving your orders. Delivery time maybe differs from different purchasing way or location, please kindly consult your local distributors for specific delivery time.
-
用途:For Research Use Only. Not for use in diagnostic or therapeutic procedures.
相關產品
靶點詳情
-
功能:Non-apoptotic caspase involved in epidermal differentiation. Is the predominant caspase in epidermal stratum corneum. Seems to play a role in keratinocyte differentiation and is required for cornification. Regulates maturation of the epidermis by proteolytically processing filaggrin. In vitro has a preference for the substrate [WY]-X-X-D motif and is active on the synthetic caspase substrate WEHD-ACF. Involved in processing of prosaposin in the epidermis. May be involved in retinal pigment epithelium cell barrier function. Involved in DNA degradation in differentiated keratinocytes probably by cleaving DFFA/ICAD leading to liberation of DFFB/CAD.
-
基因功能參考文獻:
- High CASP14 expression is a marker of breast cancer aggressiveness in association with proliferation, TNBC phenotype, and cancer stemness. PMID: 28570747
- overexpression of S100A7 in A431 skin squamous carcinoma cells significantly promoted cell proliferation in vitro and tumor growth in vivo, whereas it suppressed the expression of GATA-3 and caspase-14 PMID: 25651379
- caspase-14 contributes to retinal pigment epithelium cell barrier disruption under hyperglycemic conditions. PMID: 25121097
- Caspase-14 was decreased in inflammatory lesions compared to non-lesion in atopic dermatitis. The amount of caspase-14 in the lesions correlated with clinical severity as determined by eczema area and severity index score and the skin barrier functions. PMID: 25315296
- Mesotrypsin generated saposins A-D from prosaposin, and mature caspase-14 contributed to this process by activating mesotrypsinogen to mesotrypsin. Knockdown of these proteases markedly down-regulated saposin A synthesis in skin equivalent models. PMID: 24872419
- partial loss of caspase 14 is not associated with dedifferentiation in neoplastic lesions of the oral mucosa PMID: 23645350
- genetic polymorphisms in AICDA and CASP14 are associated with risk for brain tumor in Korean children. PMID: 23408445
- Suggest caspase-14 is a marker of human skin differentiation during development. PMID: 23377137
- Results suggest that caspase-14 may interact with GCM1 to participate in syncytiotrophoblast differentiation during placental development. PMID: 23580611
- ceramides, an important structural lipid, stimulate caspase-14 expression, coordinating formation of lipid lamellar membranes with the formation of corneocytes PMID: 23362869
- Caspase-14 might play a significant role in the pathogenesis of diabetic retinopathy by accelerating retinal endothelial and epithelial cells death. PMID: 22876114
- regulation of procaspase-14 maturation during terminal differentiation is a unique two-step process involving KLK7 and an activation intermediate of caspase-14. PMID: 22825846
- genetic polynorphism is associated with the risk of childhood leukemia PMID: 22548721
- A strong association was evident between GATA-3 and caspase-14 expression in preinvasive ductal carcinoma in situ samples, where GATA-3 also displayed prognostic significance PMID: 21930782
- Regulation of caspase 14 levels provides a possible link between impaired skin barrier function and inflammatory reactions in skin diseases such as atopic dermatitis and may offer an explanation to the skin barrier dysfunction in inflamed skin lesions. PMID: 21539619
- Casp-14 overexpression correlated with tumor stage, cell differentiation and lymphovascular involvement, suggesting that casp-14 was associated with tumor cell growth and metastatic potential. PMID: 21567094
- Caspase 14 is a cysteine protease and is inhibited by full-length LEKTI and 5 recombinant fragments of LEKTI to varied extents. PMID: 20533828
- Purification and characterization of active caspase-14 from human epidermis and development of the cleavage site-directed antibody PMID: 19960512
- Results imply that caspase-14 inhibits trophoblast differentiation. PMID: 19747408
- processing of caspase 14 in epidermal differentiation PMID: 12200134
- caspase-14, similarly to other keratinocyte differentiation-associated proteins, is downregulated by retinoids, suggesting that this caspase plays a part in terminal keratinocyte differentiation and skin barrier formation PMID: 12445205
- Loss of caspase-14 expression is associated with psoriatic lesions PMID: 15331408
- psoriatic keratinocytes may activate mechanisms that prevent the nuclear entry of caspase 14 PMID: 15619438
- caspase-14 is aberrantly expressed in epithelial tumors PMID: 16061209
- there are tumor-specific alterations in caspase-14 expression which may define subsets of epithelial cancers with distinct clinical behaviors PMID: 16061862
- Caspase-14 is present in the human placenta, primarily in the trophoblast, but its function is not clear PMID: 16168224
- caspase-14 has a substrate specificity similar to the group I caspases, and demonstrate that it functions in a distinct manner from executioner caspases to carry out specific proteolytic events during keratinocyte differentiation. PMID: 16854378
- caspase-14 is up-regulated during trophoblast differentiation, as represented by the BeWo cell line PMID: 17359582
- Expression of exogenous caspase-14 led to growth inhibition and reduced the tumorigenicity of A431 skin cancer cells. PMID: 17436577
- caspase-14 gene is rarely mutated in colorectal carcinomas, but not mutated in gastric, lung, breast and hepatocellular carcinomas PMID: 17558860
- These data reveal the basic organization of the human caspase-14 promoter and suggest an important role of AP-1 and NFkappaB in the transcriptional control of caspase-14. PMID: 18424262
- Expression of caspase 6 and caspase 14 genes were different between normal skin of keloid-prone individuals and normal skin of keloid-resistant patients. PMID: 18762957
顯示更多
收起更多
-
相關疾病:Ichthyosis, congenital, autosomal recessive 12 (ARCI12)
-
亞細胞定位:Cytoplasm. Nucleus.
-
蛋白家族:Peptidase C14A family
-
組織特異性:Expressed in keratinocytes of adult skin suprabasal layers (from spinous layers to the stratum granulosum and stratum corneum) (at protein level). Expressed in keratinocytes of hair shaft and sebaceous glands (at protein level). In psoriatic skin only exp
-
數據庫鏈接:
Most popular with customers
-
-
YWHAB Recombinant Monoclonal Antibody
Applications: ELISA, WB, IHC, IF, FC
Species Reactivity: Human, Mouse, Rat
-
Phospho-YAP1 (S127) Recombinant Monoclonal Antibody
Applications: ELISA, WB, IHC
Species Reactivity: Human
-
-
-
-
-















