BRAT1 Recombinant Monoclonal Antibody
-
中文名稱:BRAT1 Recombinant Monoclonal Antibody
-
貨號:CSB-RA207827A0HU
-
規格:¥1320
-
圖片:
-
Western Blot
Positive WB detected in: Hela whole cell lysate(30μg), HEK293 whole cell lysate(30μg), MCF-7 whole cell lysate(30μg), SH-SY5Y whole cell lysate(30μg), COLO-205 whole cell lysate(30μg), THP-1 whole cell lysate(30μg)
All lanes: BRAT1 antibody at 1:1000
Secondary
Goat polyclonal to rabbit IgG at 1/40000 dilution
Predicted band size: 88 kDa
Observed band size: 88 kDa
Exposure time:1min -
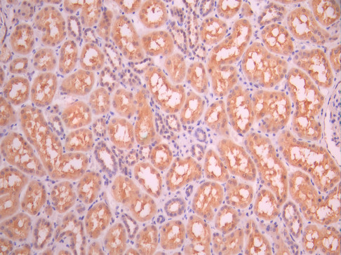
IHC image of CSB-RA207827A0HU diluted at 1:100 and staining in paraffin-embedded human kidney tissue performed on a Leica BondTM system. After dewaxing and hydration, antigen retrieval was mediated by high pressure in a citrate buffer (pH 6.0). Section was blocked with 10% normal goat serum 30min at RT. Then primary antibody (1% BSA) was incubated at 4°C overnight. The primary is detected by a Goat anti-rabbit polymer IgG labeled by HRP and visualized using 0.05% DAB.
-
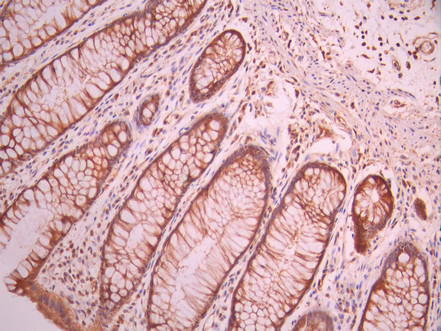
IHC image of CSB-RA207827A0HU diluted at 1:100 and staining in paraffin-embedded human colorectal cancer performed on a Leica BondTM system. After dewaxing and hydration, antigen retrieval was mediated by high pressure in a citrate buffer (pH 6.0). Section was blocked with 10% normal goat serum 30min at RT. Then primary antibody (1% BSA) was incubated at 4°C overnight. The primary is detected by a Goat anti-rabbit polymer IgG labeled by HRP and visualized using 0.05% DAB.
-
Immunofluorescence staining of PC-3 cell with CSB-RA207827A0HU at 1:50 , counter-stained with DAPI. The cells were fixed in 4% formaldehyde, permeabilized using 0.2% Triton X-100 and blocked in 10% normal Goat Serum. The cells were then incubated with the antibody overnight at 4°C. The secondary antibody was Alexa Fluor 488-congugated AffiniPure Goat Anti-Rabbit IgG(H+L).
-
Overlay Peak curve showing Hela cells stained with CSB-RA207827A0HU (red line) at 1:100. The cells were fixed in 4% formaldehyde and permeated by 0.2% TritonX-100 for 10min. Then 10% normal goat serum to block non-specific protein-protein interactions followed by the antibody (1ug/1*106cells) for 45min at 4℃. The secondary antibody used was FITC-conjugated goat anti-rabbit IgG (H+L) at 1/200 dilution for 35min at 4℃.Control antibody (green line) was Rabbit IgG (1ug/1*106cells) used under the same conditions. Acquisition of >10, 000 events was performed.
-
-
其他:
產品詳情
-
Uniprot No.:
-
基因名:BRAT1
-
別名:BAAT 1 antibody; BAAT1 antibody; BRAT 1 antibody; brat1 antibody; BRAT1_HUMAN antibody; BRCA1-associated ATM activator 1 antibody; BRCA1-associated protein required for ATM activation protein 1 antibody; BRCA1-associated protein required for ATM activation-1 antibody; C7orf27 antibody; chromosome 7 open reading frame 27 antibody; HEAT repeat containing protein C7orf27 antibody; MGC22916 antibody; RMFSL antibody
-
反應種屬:Human, Rat
-
免疫原:A synthesized peptide from human BRAT1 protein
-
免疫原種屬:Homo sapiens (Human)
-
標記方式:Non-conjugated
-
克隆類型:Monoclonal
-
抗體亞型:Rabbit IgG
-
純化方式:Affinity-chromatography
-
克隆號:6H5
-
濃度:It differs from different batches. Please contact us to confirm it.
-
保存緩沖液:Rabbit IgG in 10mM phosphate buffered saline , pH 7.4, 150mM sodium chloride, 0.05% BSA, 0.02% sodium azide and 50% glycerol.
-
產品提供形式:Liquid
-
應用范圍:ELISA, WB, IHC, IF, FC
-
推薦稀釋比:
Application Recommended Dilution WB 1:500-1:5000 IHC 1:50-1:200 IF 1:50-1:200 FC 1:50-1:200 -
Protocols:
-
儲存條件:Upon receipt, store at -20°C or -80°C. Avoid repeated freeze.
-
貨期:Basically, we can dispatch the products out in 1-3 working days after receiving your orders. Delivery time maybe differs from different purchasing way or location, please kindly consult your local distributors for specific delivery time.
-
用途:For Research Use Only. Not for use in diagnostic or therapeutic procedures.
相關產品
靶點詳情
-
功能:Involved in DNA damage response; activates kinases ATM, SMC1A and PRKDC by modulating their phosphorylation status following ionizing radiation (IR) stress. Plays a role in regulating mitochondrial function and cell proliferation. Required for protein stability of MTOR and MTOR-related proteins, and cell cycle progress by growth factors.
-
基因功能參考文獻:
- Biallelic sequence variants in BRAT1 have been reported to cause a variety of ocular and systemic manifestations, but to our knowledge, this is the first report of inner retinal dysfunction manifest as selective loss of full-field ERG scotopic and photopic b-wave amplitudes. PMID: 28635423
- compared with RMFSL, BRAT1 mutations can result in both moderately severe presentations evident by later-onset epilepsy and survival past infancy, as well as milder presentations that include intellectual disability, ataxia/dyspraxia, and cerebellar atrophy. PMID: 27282546
- our data expand the clinical symptoms and demonstrate variability in the natural clinical course of BRAT1-associated phenotypes. Patients with early onset seizures, postnatal microcephaly, feeding problems, and muscular hypertonia or contractures should hence be screened for BRAT1 mutations. PMID: 27282648
- we report two affected siblings with compound heterozygous truncating mutations in BRAT1 and intra-familial phenotypic heterogeneity, with a less severe disease course in the female sibling. This phenotypic variability should be taken into account when treating patients with BRAT1-associated neurodegenerative disease. PMID: 27480663
- We conclude that BRAT1 should be added to the growing list of genes related to early-onset severe encephalopathy with epilepsy. PMID: 26535877
- Our results further support that mutations of BRAT1 could lead to epileptic encephalopathy. PMID: 25319849
- Ndfip1 is required during stress for ubiquitinating and trafficking BRAT1 into the nucleus. PMID: 25631046
- Findings suggest novel roles of BRAT1 in cell proliferation and mitochondrial functions. PMID: 25070371
- Data on crystal structure of BRCA1 binding with phosphopeptides suggest that C-terminal domain of BRCA1 interacts with BAAT1 and ATRIP with preferences for specific side chains; in BAAT1, phospho-Ser269 and Phe272 are the main interacting residues. PMID: 24073851
- Study identified sequence variants in the known disease-causing genes SLC6A3 and FLVCR1, and present evidence to strongly support the pathogenicity of variants identified in TUBGCP6, BRAT1, SNIP1, CRADD, and HARS. PMID: 22279524
顯示更多
收起更多
-
相關疾病:Rigidity and multifocal seizure syndrome, lethal neonatal (RMFSL)
-
亞細胞定位:Nucleus. Cytoplasm.
-
組織特異性:Ubiquitously expressed.
-
數據庫鏈接:
Most popular with customers
-
-
YWHAB Recombinant Monoclonal Antibody
Applications: ELISA, WB, IHC, IF, FC
Species Reactivity: Human, Mouse, Rat
-
Phospho-YAP1 (S127) Recombinant Monoclonal Antibody
Applications: ELISA, WB, IHC
Species Reactivity: Human
-
-
-
-
-















