ATP7B Recombinant Monoclonal Antibody
-
中文名稱:ATP7B重組抗體
-
貨號:CSB-RA175460A0HU
-
規格:¥1320
-
圖片:
-
IHC image of CSB-RA175460A0HU diluted at 1:50 and staining in paraffin-embedded human brain tissue performed on a Leica BondTM system. After dewaxing and hydration, antigen retrieval was mediated by high pressure in a citrate buffer (pH 6.0). Section was blocked with 10% normal goat serum 30min at RT. Then primary antibody (1% BSA) was incubated at 4°C overnight. The primary is detected by a Goat anti-rabbit polymer IgG labeled by HRP and visualized using 0.19% DAB.
-
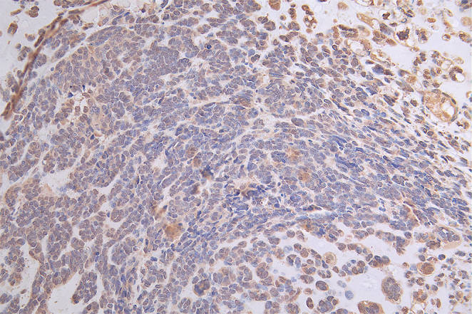
IHC image of CSB-RA175460A0HU diluted at 1:50 and staining in paraffin-embedded human ovarian cancer performed on a Leica BondTM system. After dewaxing and hydration, antigen retrieval was mediated by high pressure in a citrate buffer (pH 6.0). Section was blocked with 10% normal goat serum 30min at RT. Then primary antibody (1% BSA) was incubated at 4°C overnight. The primary is detected by a Goat anti-rabbit polymer IgG labeled by HRP and visualized using 0.19% DAB.
-
Immunofluorescence staining of HepG2 with CSB-RA175460A0HU at 1:20, counter-stained with DAPI. The cells were fixed in 4% formaldehyde and blocked in 10% normal Goat Serum. The cells were then incubated with the antibody overnight at 4°C. The secondary antibody was Alexa Fluor 494-congugated AffiniPure Goat Anti-Rabbit IgG(H+L).
-
Overlay Peak curve showing HepG2 cells stained with CSB-RA175460A0HU (red line) at 1:50. The cells were fixed in 4% formaldehyde and permeated by 0.2% TritonX-100. Then 10% normal goat serum to block non-specific protein-protein interactions followed by the antibody (1μg/1*106cells) for 45min at 4℃. The secondary antibody used was FITC-conjugated Goat Anti-rabbit IgG(H+L) at 1:200 dilution for 35min at 4℃.Control antibody (green line) was rabbit IgG (1μg/1*106cells) used under the same conditions. Acquisition of >10,000 events was performed.
-
-
其他:
產品詳情
-
產品描述:ATP7B Recombinant Monoclonal Antibody(CSB-RA175460A0HU)是針對銅轉運關鍵蛋白ATP7B開發的高特異性抗體。ATP7B是一種銅離子轉運P型ATP酶,通過調控銅離子跨膜轉運參與體內銅穩態維持,其功能異常與威爾遜病等銅代謝紊亂疾病密切相關。本抗體經多種平臺嚴格驗證,在ELISA、免疫組化(IHC)、免疫熒光(IF)和流式細胞術(FC)中均表現出優異性能,推薦使用稀釋度分別為IHC 1:50-1:200、IF 1:50-1:200及FC 1:50-1:200。實驗數據顯示,該抗體在組織切片中能清晰定位ATP7B蛋白的高爾基體分布特征,在細胞水平可精準檢測內源性蛋白表達,并適用于流式分析中的細胞群體特異性標記。該重組單克隆抗體適用于銅代謝調控機制研究、疾病相關細胞模型構建及蛋白質亞細胞定位分析等科研場景,為探索銅轉運分子機制及病理相關性研究提供可靠工具。產品采用重組表達技術制備,具備高批次一致性和低交叉反應性,滿足復雜實驗體系對抗體穩定性的嚴苛要求。
-
Uniprot No.:
-
基因名:
-
別名:Copper-transporting ATPase 2 (EC 3.6.3.54) (Copper pump 2) (Wilson disease-associated protein) [Cleaved into: WND/140 kDa], ATP7B, PWD WC1 WND
-
反應種屬:Human
-
免疫原:A synthesized peptide derived from Human ATP7B
-
免疫原種屬:Homo sapiens (Human)
-
標記方式:Non-conjugated
-
克隆類型:Monoclonal
-
抗體亞型:Rabbit IgG
-
純化方式:Affinity-chromatography
-
克隆號:36D12
-
濃度:It differs from different batches. Please contact us to confirm it.
-
保存緩沖液:Rabbit IgG in 10mM phosphate buffered saline , pH 7.4, 150mM sodium chloride, 0.05% BSA, 0.02% sodium azide and 50% glycerol.
-
產品提供形式:Liquid
-
應用范圍:ELISA, IHC, IF, FC
-
推薦稀釋比:
Application Recommended Dilution IHC 1:50-1:200 IF 1:50-1:200 FC 1:50-1:200 -
Protocols:
-
儲存條件:Upon receipt, store at -20°C or -80°C. Avoid repeated freeze.
-
貨期:Basically, we can dispatch the products out in 1-3 working days after receiving your orders. Delivery time maybe differs from different purchasing way or location, please kindly consult your local distributors for specific delivery time.
-
用途:For Research Use Only. Not for use in diagnostic or therapeutic procedures.
相關產品
靶點詳情
-
功能:Copper ion transmembrane transporter involved in the export of copper out of the cells. It is involved in copper homeostasis in the liver, where it ensures the efflux of copper from hepatocytes into the bile in response to copper overload.
-
基因功能參考文獻:
- Study reports the NMR structure of the metal-binding domain 1 (MBD1) of ATP7B. The structure reveals the disruptive mechanism of G85V mutation, one of the very few Singular Wilson disease causing missense mutations in the MBD1-4 region of ATP7B. The protein misfolding will disrupt MBD1-3 interactions, and interfere with proper ATP7B trafficking and activity which, in turn may be followed by protein degradation. PMID: 29330485
- Single-particle analysis yielded a low-resolution 3D model that provides the first insight into an overall architecture of human ATP7B, positions of the main domains, and a dimer interface. PMID: 28842499
- The genotypes of ATP7B gene may be novel and significant biomarkers for predicting the gastrointestinal toxicity of platinum-based chemotherapy in NSCLC patients. PMID: 29970670
- The ATP7B gene codes the ATP7B protein, which is an acronym for: ATPase activity, 7 distinct domain, and B class for second P-type ATPase copper binding pump. PMID: 29540233
- Mutations in the alpha-1-antitrypsin and Wilson's genes may act as cofactors in the pathogenesis of fatty liver diseases. PMID: 29324588
- Compound heterozygous mutations Arg778Leu and a variant in intron4:c.1707 + 5G>A were identified in a case of Wilson's disease with adrenocortical insufficiency. c.1707 + 5G>A variant resulted in exon 4 skipping. PMID: 29181760
- These findings were different from previous studies in Asia. Our research established a suitable strategy for ATP7B gene testing in northern Vietnamese WD patients. PMID: 29321352
- Wilson disease (WD) is an autosomal-recessive disease caused by mutations in the ATP7B gene which encodes a copper-transporting ATPase. PMID: 29325617
- The role of metal-binding domains in ATP7B function and Wilson disease causing point mutations.[review] PMID: 29063292
- for ATP7B mutations, the more severe impact on ATP7B protein was, the younger onset age and lower Cp level presented. The feasibility of presymptomatic DNA diagnosis and predicting clinical manifestation or severity of Wilson disease (WD) would be facilitated with identified mutations and genotype-phenotype correlation precisely revealed in the study. PMID: 27982432
- Among those >800 reported mutations of the ATP7B gene missense/nonsense mutations are very rare. A874V-ATP7B protein mutant showed apparent destabilization and endoplasmic reticulum retention, and lost copper transport activity, thus likely causing Wilson disease phenotype. PMID: 29381936
- Our findings imply that reduced stability and enhanced dynamics of MBD1 or MBD6 is the origin of ATP7B dysfunction in Wilson disease patients with the G85V or G591D mutation. PMID: 27744583
- single nucleotide polymorphisms in ATP7B gene is associated with copper dysmetabolism in Alzheimer's disease. PMID: 27499330
- Mutation in ATP7B gene is associated with copper dysmetabolism in Wilson disease. PMID: 27714068
- We here demonstrate that ATP7B confers multidrug resistance by facilitating nuclear drug efflux and late endosomal drug sequestration. PMID: 26988911
- Wilson's disease results from mutations that cause absent or markedly diminished levels of ATP7B that can be determined in dried blood spots using a novel immune-SRM assay. PMID: 27935710
- Expression of the most frequent ATP7B mutant, H1069Q, activates p38 and c-Jun N-terminal kinase signaling pathways, which favor the rapid degradation of the mutant. PMID: 26660341
- Results reveal that partial gene deletions in ATP7B represent causative mutations in some of the uncharacterized Wilson's disease alleles. PMID: 27992490
- Stratified analysis by genotypes revealed that both outdoor and indoor copper exposure increased inattentiveness in ATP7B rs1061472-CC and rs1801243-CC carriers. PMID: 28008856
- ATP7B mutant cell lines showed different degrees of cell survival and characteristic responses upon treatment with Zn and D-penicillamine. PMID: 27122662
- Five of the nineteen mutations in ATP7B were newly detected mutations; moreover, 8 of these mutations were polymorphic (2 were newly identified). PMID: 27706781
- miR-133a enhances the sensitivity of multidrug-resistant epithelial cells to cisplatin by downregulating ATP7B expression. PMID: 27121102
- the identification of novel mutations in ATP7B for Wilson disease and hereditary hemochromatosis (HFE) or the non-HFE genes for HH has increased, especially with the application of whole genome sequencing technology in recent years, the biological function of the identified mutations, as well as genotype-phenotype correlations remain to be explored PMID: 27592149
- In the group of 75 Wilson Disease patients of Croatian origin, 18 different mutations in ATP7B gene were detected, three of which were novel. The p.His1069Gln mutation was most frequent, being detected in 44 Croatian WD patients (58.7%). Most ATP7B mutations (90.4%) were located in exons 5, 8, 13, 14, and 15. PMID: 26799313
- 24 ATP7B distinct mutations, seven of which are novel, have been found in 35 patients with hepatolenticular degeneration. PMID: 26782526
- With the capability of generating relatively higher throughput in a short time period, the NGS assay is a viable alternative to Sanger sequencing for detecting ATP7B mutations causally linked to Wilson disease in the clinical diagnostic laboratory PMID: 26483271
- analysis of the geographic distribution of ATP7B mutations in Wilson disease [review] PMID: 26207595
- Extrinsic expressing WT ATP7B reduced CuCl2-induced copper accumulation and enhanced cellular copper tolerance by accelerating copper excretion, which was selectively compromised by R778L and P992L mutations. PMID: 26032686
- Metal-dependent movement of the first four metal-binding domains in ATP7B may be a trigger that initiates the overall catalytic cycle. PMID: 26797276
- Nine out of the thirty-two pediatric Turkish WD patients had no mutations in the ATP7B gene. PMID: 26215059
- Novel mutation of the ATP7B gene was found in Chinese families with pre-symptomatic Wilson's disease. PMID: 26253413
- 7 novel mutations, c.3871G>A(p.A1291T), c.2593_2594insGTCA, c.2790_2792delCAT, c.3661_3663delGGG, c.3700delG, c.4094_4097delCTGT, and IVS6+1G>A, are associated with Wilson's disease. PMID: 26829729
- Wilson disease causing p.T788I, p.V1036I and p.R1038G-fsX83 mutations lead to functional deficiency in ATP7B protein. PMID: 26004889
- The present results demonstrate the design and evaluation of a low-density microarray for the detection of 62 mutations in ATP7B gene, and show that a microarray based approach can be cost-effective for detecting a large number of mutations simultaneously PMID: 25900953
- Screening for the two exons 14 and 18 of the ATP7B gene is important in Egyptian patients especially in suspected patients without hepatic manifestations. PMID: 25465132
- The ATP7B gene testing for the boy, his sister, and their parents detected two novel missense mutations in the boy and his sister, i.e., compound heterozygous mutations in exon 7 and exon 13 PMID: 26182283
- Most frequent mutation c.3402delC (p.Ala1135GlnfsX13) among Wilson disease patients in Venezuela has a wide distribution and two old origins PMID: 25497208
- The detection of new mutations in the ATP7B gene can aid in genetic counseling and clinical or/prenatal diagnosis. PMID: 25982861
- Identification of mutations and polymorphisms of the ATP7B gene which may contribute to the pathogenesis of Wilson disease. PMID: 24878384
- association between the c.2299insC mutation and hepatic phenotype and between the p. Ala1003Thr mutation and neurologic phenotype in Wilson disease in a large Lebanese family PMID: 25390358
- The purpose of this study was to determine a haplotype analysis of two unrelated Wilson disease patients with the same missense mutation PMID: 25365615
- showed that hyperphosphorylation occurs even when ATP7B is restricted to the trans-Golgi network PMID: 25666620
- Wilson disease patients with the splice-site mutation show severe clinical manifestations, indicating that aberrant transcripts have important implications for Wilson disease phenotype. PMID: 25086856
- Study identifies three novel mutations in ATP7B, confirms Arg778Leu as the most frequent mutation in Chinese Wilson's disease (WD) patients, and demonstrates that Ile1148Thr was another hotspot mutation in WD patients from Southern China PMID: 25089800
- Data show that nanobodies detected transient interactions between the metal-binding domains (MBDs) and modulated intracellular localization of Cu(I)-ATPase ATP7B. PMID: 25253690
- The functional survey of amino acid changes in the ATP7B protein is provided herein, and this bioinformatic method can furnish information about novel ATP7B mutations. Furthermore, the same approach can be applied to other uncharacterized proteins. PMID: 24253677
- ATP7B gene might be considered as predictive markers for the efficacy evaluation of platinum-based chemotherapy in Chinese Han lung cancer patients PMID: 24852429
- different coding mutations were detected in our patient pool including 21 novel and 37 reported variants in Indian patients with Wilson disease PMID: 24094725
- revealed an unexpected role for TM1/TM2 in copper-regulated trafficking of ATP7B and defined a unique class of WD mutants that are transport-competent but trafficking-defective PMID: 24706876
- Individuals who were GG homozygous for ATP7B rs7323774 SNP had higher levels of serum-free copper, and this condition was more pronounced in the AD individuals. PMID: 23760784
顯示更多
收起更多
-
相關疾病:Wilson disease (WD)
-
亞細胞定位:Golgi apparatus, trans-Golgi network membrane; Multi-pass membrane protein. Late endosome.; [Isoform 1]: Golgi apparatus membrane; Multi-pass membrane protein.; [Isoform 2]: Cytoplasm.; [WND/140 kDa]: Mitochondrion.
-
蛋白家族:Cation transport ATPase (P-type) (TC 3.A.3) family, Type IB subfamily
-
組織特異性:Most abundant in liver and kidney and also found in brain. Isoform 2 is expressed in brain but not in liver. The cleaved form WND/140 kDa is found in liver cell lines and other tissues.
-
數據庫鏈接:
Most popular with customers
-
-
YWHAB Recombinant Monoclonal Antibody
Applications: ELISA, WB, IHC, IF, FC
Species Reactivity: Human, Mouse, Rat
-
Phospho-YAP1 (S127) Recombinant Monoclonal Antibody
Applications: ELISA, WB, IHC
Species Reactivity: Human
-
-
-
-
-















