ATG7 Recombinant Monoclonal Antibody
-
中文名稱:ATG7 Recombinant Monoclonal Antibody
-
貨號:CSB-RA554727A0HU
-
規格:¥1320
-
圖片:
-
Western Blot
Positive WB detected in: K562 whole cell lysate(30μg),Jurkat whole cell lysate(30μg),Hela whole cell lysate(30μg),THP-1 whole cell lysate(30μg)
All lanes: ATG7 antibody at 1:1000
Secondary
Goat polyclonal to rabbit IgG at 1/40000 dilution
Predicted band size: 78 kDa
Observed band size: 78kDa
Exposure time:1min -
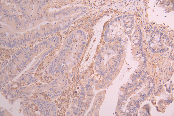
IHC image of CSB-RA554727A0HU diluted at 1:100 and staining in paraffin-embedded human colorectal cancer performed on a Leica BondTM system. After dewaxing and hydration, antigen retrieval was mediated by high pressure in a citrate buffer (pH 6.0). Section was blocked with 10% normal goat serum 30min at RT. Then primary antibody (1% BSA) was incubated at 4°C overnight. The primary is detected by a Goat anti-rabbit polymer IgG labeled by HRP and visualized using 0.05% DAB.
-
-
其他:
產品詳情
-
Uniprot No.:
-
基因名:
-
別名:1810013K23Rik antibody; Apg 7 antibody; APG7 autophagy 7 like antibody; APG7 autophagy 7-like (S. cerevisiae) antibody; APG7 like antibody; APG7; S. cerevisiae; homolog of antibody; APG7-like antibody; APG7L antibody; ATG 7 antibody; ATG12-activating enzyme E1 ATG7 antibody; ATG7 antibody; ATG7 autophagy related 7 homolog (S. cerevisiae) antibody; ATG7 autophagy related 7 homolog antibody; ATG7_HUMAN antibody; Atg7l antibody; Autophagy 7; S. cerevisiae; homolog of antibody; Autophagy related protein 7 antibody; Autophagy-related 7 (yeast) antibody; Autophagy-related protein 7 antibody; DKFZp434N0735 antibody; GSA 7 antibody; GSA7 antibody; hAGP7 antibody; Ubiquitin activating enzyme E1 like protein antibody; Ubiquitin-activating enzyme E1-like protein antibody; Ubiquitin-like modifier-activating enzyme ATG7 antibody
-
反應種屬:Human
-
免疫原:A synthesized peptide derived from human ATG7
-
免疫原種屬:Homo sapiens (Human)
-
標記方式:Non-conjugated
-
克隆類型:Monoclonal
-
抗體亞型:Rabbit IgG
-
純化方式:Affinity-chromatography
-
克隆號:15C7
-
濃度:It differs from different batches. Please contact us to confirm it.
-
保存緩沖液:Rabbit IgG in 10mM phosphate buffered saline , pH 7.4, 150mM sodium chloride, 0.05% BSA, 0.02% sodium azide and 50% glycerol.
-
產品提供形式:Liquid
-
應用范圍:ELISA, WB, IHC
-
推薦稀釋比:
Application Recommended Dilution WB 1:500-1:2000 IHC 1:50-1:200 -
Protocols:
-
儲存條件:Upon receipt, store at -20°C or -80°C. Avoid repeated freeze.
-
貨期:Basically, we can dispatch the products out in 1-3 working days after receiving your orders. Delivery time maybe differs from different purchasing way or location, please kindly consult your local distributors for specific delivery time.
-
用途:For Research Use Only. Not for use in diagnostic or therapeutic procedures.
相關產品
靶點詳情
-
功能:E1-like activating enzyme involved in the 2 ubiquitin-like systems required for cytoplasm to vacuole transport (Cvt) and autophagy. Activates ATG12 for its conjugation with ATG5 as well as the ATG8 family proteins for their conjugation with phosphatidylethanolamine. Both systems are needed for the ATG8 association to Cvt vesicles and autophagosomes membranes. Required for autophagic death induced by caspase-8 inhibition. Required for mitophagy which contributes to regulate mitochondrial quantity and quality by eliminating the mitochondria to a basal level to fulfill cellular energy requirements and preventing excess ROS production. Modulates p53/TP53 activity to regulate cell cycle and survival during metabolic stress. Plays also a key role in the maintenance of axonal homeostasis, the prevention of axonal degeneration, the maintenance of hematopoietic stem cells, the formation of Paneth cell granules, as well as in adipose differentiation. Plays a role in regulating the liver clock and glucose metabolism by mediating the autophagic degradation of CRY1 (clock repressor) in a time-dependent manner.
-
基因功能參考文獻:
- Silencing of ATG7 downregulated MALAT1 and ATG7 reciprocally regulated each other by miR-200a. PMID: 29794480
- miR-210 inhibits autophagy via silencing of ATG7. PMID: 28667916
- miR-106a suppresses tumor cells death in colorectal cancer through targeting ATG7. PMID: 27981410
- PSMD10/gankyrin has a role in inducing autophagy to promote tumor progression through cytoplasmic interaction with ATG7 and nuclear transactivation of ATG7 expression PMID: 25905985
- the ATG5-ATG7-NCOA4 autophagic pathway has a role in ferroptosis PMID: 27245739
- knockdown of autophagy genes ATG5 or ATG7 resulted in reduced hematopoietic stem/progenitor cell frequencies in vitro as well as in vivo. PMID: 26930546
- Nine of the 32 (28.1%) iCCA patients had gene mutations at chromosome 3p, totaling 11 mutations across five genes. Those included five (15.6%) BAP1 mutations, two each (6.3%) of CACNA2D3 and RASSF1 mutations, and one each (3.1%) of ATG7 and PLCD1 mutations. Six (18.8%) cases had concurrent loss of chromosome 3p and gene mutations. PMID: 29122566
- knockdown of ATG7 results in decreased glycolysis and increased flux of labeled carbons through the mitochondrial tricarboxylic acid cycle. PMID: 27168493
- SNP rs11706903 in ATG7 was not associated with systemic lupus erythematosus I Chinese Han population. PMID: 26420661
- The G allele of rs8154 was correlated with breast cancer patients poorer survival. PMID: 28669927
- low serum ATG7 is associated with ulcerative colitis PMID: 27881025
- The U2AF35(S34F) mutation alters interaction with CFIm59, leading to increased use of a distal cleavage and polyadenylation site in the ATG7 pre-mRNA, decreasing levels of ATG7 protein and defective autophagy, ultimately leading to transformation. PMID: 27184077
- the inhibition of Atg7 appears to be a valid strategy to enhance chemosensitivity, and it could indeed improve outcomes in acute myeloid leukemia therapy. PMID: 27268264
- Our data demonstrate that HOTAIR promotes the activation of autophagy in HCC cells by upregulating the expression of the autophagy-related genes ATG3 and ATG7. PMID: 27301338
- Autophagy-related gene ATG7 was validated as a target of miR-17 seed family. PMID: 27501757
- the upregulation of autophagy-related gene (Atg) and wingless/int1 (Wnt) signaling during BMP-2-mediated human osteoblastic differentiation, was examined. PMID: 27397580
- Aldo was revealed to induce autophagy, as indicated by the increased conversion from microtubuleassociated protein 1A/1Blight chain 3 (LC3)I to LC3II, the increased expression levels of autophagyrelated gene 7 (Atg7) and the increased degradation of p62, which was accompanied by MC proliferation PMID: 27748808
- PVT1 overexpression increased the expression of Atg7 and Beclin1 by targeting miR-186, which induced protective autophagy, thus promoting glioma vascular endothelial cell proliferation, migration, and angiogenesis. Therefore, PVT1 and miR-186 can provide new therapeutic targets for future anti-angiogenic treatment of glioma PMID: 28351322
- Genetic polymorphisms of ATG5 and ATG7 could contribute to neutrophilic airway inflammation in the pathogenesis of adult asthma. PMID: 26701229
- We have identified ATG7 as a potential tissue biomarker distinguishing active EoE from normal, EoE remission, and GERD. PMID: 26785669
- These observations indicate that Atg7-mediated autophagy is dispensable for retinoid recycling and A2E deposition; however, autophagy plays a role in coping with stress caused by A2E accumulation. PMID: 26468292
- Inhibition of Atg7-mediated autophagy within the epithelium may prevent the development and progression of colorectal cancer in genetically predisposed patients. PMID: 26214133
- The region of human ATG3 that interacts with ATG7 is precisely identified using nuclear magnetic resonance. PMID: 26043688
- the Atg7.caspase-9 complex performs a dual function of linking caspase-9 to the autophagic process while keeping in check its apoptotic activity. PMID: 24362031
- a protective mechanism for Atg4B, Atg3 and LC3-Atg3 conjugate from being inappropriately sequestered into p62 aggregates PMID: 24023838
- the polymorphism is associated with a 6-years earlier disease onset PMID: 23894380
- 2-methoxyestradiol-dependent autophagosome formation in osteosarcoma cells requires ATG7 expression. PMID: 23527187
- Data indicate mitogen lacritin stimulates FOXO3-ATG101 and FOXO1-ATG7 autophagic coupling and restores metabolic homeostasis. PMID: 23640897
- the sequence variants within the ATG7 gene promoter identified in PD patients may change ATG7 protein levels, which in turn would influence autophagic activity, contributing to Parkinson disease onset as a risk factor. PMID: 23295909
- Heat shock factor 1 (HSF1) controls chemoresistance and autophagy through transcriptional regulation of autophagy-related protein 7 (ATG7) PMID: 23386620
- tetrandrine transcriptionally regulated the expression of autophagy related gene 7 (ATG7), which promoted tetrandrine-induced autophagy. PMID: 22927446
- when nutrients are limited, Atg7 regulates p53-dependent cell cycle and cell death pathways PMID: 22499945
- The FAP motif of ATG7 is indispensable for formation of the ATG3-LC3 E2-substrate intermediate through the interaction of ATG7 with ATG3. PMID: 22170151
- Data show that both EGFR-TKIs increased ATG5 and ATG7 at the mRNA or protein levels (Figure 3), confirming the induction of autophagy by EGFR-TKIs. PMID: 21655094
- Knockdown of autophagy-related protein beclin 1 (BCN1) or autophagy-related protein 7 (ATG7) in immortalized human hepatocytes (IHHs) inhibits hepatitis C virus growth. PMID: 21274862
- Data show that polymorphism in the Atg7 gene that substitutes alanine for valine (V471A) was associated with an earlier disease onset of 4 years. PMID: 20697744
- In response to stress, FoxO1 was acetylated by dissociation from sirtuin-2 (SIRT2), a NAD(+)-dependent histone deacetylase, and the acetylated FoxO1 bound to Atg7. PMID: 20543840
- Data suggest that apoptosis-deficient cells rely on autophagy for cell death after Pc 4-PDT and that the strong activation of LC3 maturation in response to PDT could occur even in cells with limited or no Atg7 expression. PMID: 20083906
- Data show that proteasome inhibition promoted autophagosome formation, stimulated autophagic flux, and upregulated expression of the autophagy-specific genes ATG5 and ATG7. PMID: 19881538
- Murine Atg8L/Apg8L modification is mediated by human Atg7. PMID: 16704426
- The suppression of unfolded protein response or the suppression of expression of LC3 or Atg7, a protein that mediates LC3 lipidation, suppressed HCV replication. PMID: 18688877
- Knockdown of p300 reduces acetylation of Atg5, Atg7, Atg8, and Atg12, although overexpressed p300 increases the acetylation of these same proteins. PMID: 19124466
- The UBQLN protective effect requires the autophagy-related genes ATG5 and ATG7, two essential components of autophagy. PMID: 19148225
顯示更多
收起更多
-
亞細胞定位:Cytoplasm. Preautophagosomal structure.
-
蛋白家族:ATG7 family
-
組織特異性:Widely expressed, especially in kidney, liver, lymph nodes and bone marrow.
-
數據庫鏈接:
Most popular with customers
-
-
YWHAB Recombinant Monoclonal Antibody
Applications: ELISA, WB, IHC, IF, FC
Species Reactivity: Human, Mouse, Rat
-
Phospho-YAP1 (S127) Recombinant Monoclonal Antibody
Applications: ELISA, WB, IHC
Species Reactivity: Human
-
-
-
-
-















