ASS1 Recombinant Monoclonal Antibody
-
中文名稱:ASS1重組抗體
-
貨號:CSB-RA095825A0HU
-
規格:¥1320
-
圖片:
-
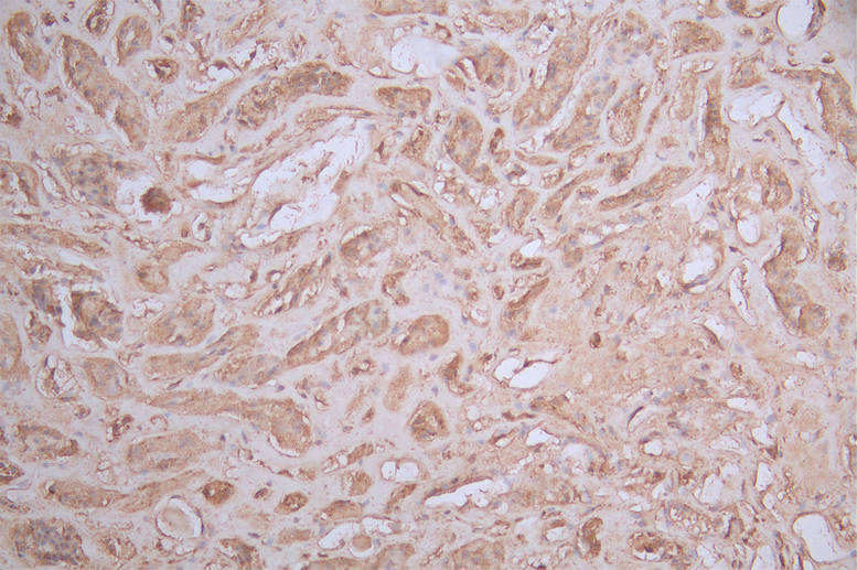
IHC image of CSB-RA095825A0HU diluted at 1:100 and staining in paraffin-embedded human kidney tissue performed on a Leica BondTM system. After dewaxing and hydration, antigen retrieval was mediated by high pressure in a citrate buffer (pH 6.0). Section was blocked with 10% normal goat serum 30min at RT. Then primary antibody (1% BSA) was incubated at 4°C overnight. The primary is detected by a Goat anti-rabbit polymer IgG labeled by HRP and visualized using 0.56% DAB.
-
Immunofluorescence staining of Hela with CSB-RA095825A0HU at 1:50, counter-stained with DAPI. The cells were fixed in 4% formaldehyde and blocked in 10% normal Goat Serum. The cells were then incubated with the antibody overnight at 4°C. The secondary antibody was Alexa Fluor 516-congugated AffiniPure Goat Anti-Rabbit IgG(H+L).
-
Overlay Peak curve showing Jurkat cells stained with CSB-RA095825A0HU (red line) at 1:50. The cells were fixed in 4% formaldehyde and permeated by 0.2% TritonX-100. Then 10% normal goat serum to block non-specific protein-protein interactions followed by the antibody (1μg/1*106cells) for 45min at 4℃. The secondary antibody used was FITC-conjugated Goat Anti-rabbit IgG(H+L) at 1:200 dilution for 35min at 4℃.Control antibody (green line) was rabbit IgG (1μg/1*106cells) used under the same conditions. Acquisition of >10,000 events was performed.
-
-
其他:
產品詳情
-
產品描述:CSB-RA095825A0HU ASS1重組單克隆抗體是一款針對人源精氨酸琥珀酸合成酶1(ASS1)的高特異性科研用試劑。ASS1是尿素循環中的關鍵酶,負責催化瓜氨酸與天冬氨酸合成精氨酸琥珀酸,其表達異常與代謝紊亂及腫瘤微環境調控密切相關。本抗體通過重組技術制備,經ELISA、免疫組化(IHC)、免疫熒光(IF)和流式細胞術(FC)多平臺嚴格驗證,在推薦稀釋比例下(IHC/IF/FC均為1:50-1:200)展現出優異的抗原結合能力與低背景信號特性。實驗數據顯示其在石蠟包埋組織切片中能清晰定位ASS1蛋白表達,細胞水平檢測可精準區分不同處理條件下的酶活性變化。適用于研究腫瘤代謝重編程、尿素循環相關疾病機制、細胞氨基酸合成通路調控等領域,特別在探索ASS1表達與腫瘤耐藥性、細胞增殖調控的關聯性研究中具有重要應用價值。本品為科研人員提供穩定可靠的檢測工具,助力于分子機制研究與體外模型分析。
-
Uniprot No.:
-
基因名:ASS1
-
別名:Argininosuccinate synthase (EC 6.3.4.5) (Citrulline--aspartate ligase), ASS1, ASS
-
反應種屬:Human
-
免疫原:A synthesized peptide derived from Human ASS1
-
免疫原種屬:Homo sapiens (Human)
-
標記方式:Non-conjugated
-
克隆類型:Monoclonal
-
抗體亞型:Rabbit IgG
-
純化方式:Affinity-chromatography
-
克隆號:18G11
-
濃度:It differs from different batches. Please contact us to confirm it.
-
保存緩沖液:Rabbit IgG in 10mM phosphate buffered saline , pH 7.4, 150mM sodium chloride, 0.05% BSA, 0.02% sodium azide and 50% glycerol.
-
產品提供形式:Liquid
-
應用范圍:ELISA, IHC, IF, FC
-
推薦稀釋比:
Application Recommended Dilution IHC 1:50-1:200 IF 1:50-1:200 FC 1:50-1:200 -
Protocols:
-
儲存條件:Upon receipt, store at -20°C or -80°C. Avoid repeated freeze.
-
貨期:Basically, we can dispatch the products out in 1-3 working days after receiving your orders. Delivery time maybe differs from different purchasing way or location, please kindly consult your local distributors for specific delivery time.
-
用途:For Research Use Only. Not for use in diagnostic or therapeutic procedures.
相關產品
靶點詳情
-
功能:One of the enzymes of the urea cycle, the metabolic pathway transforming neurotoxic amonia produced by protein catabolism into inocuous urea in the liver of ureotelic animals. Catalyzes the formation of arginosuccinate from aspartate, citrulline and ATP and together with ASL it is responsible for the biosynthesis of arginine in most body tissues.
-
基因功能參考文獻:
- In ASS1-knockout cells, DEPTOR, an inhibitor of mTORC1 signal, was downregulated and mTORC1 signaling was more activated in response to arginine. PMID: 28358054
- Results indicate that the reduced ASS1 expression in Dox-resistant sarcomas may contribute to drug resistance in association with the expression of P-glycoprotein. PMID: 27683125
- Cisplatin-induced synthetic lethality to arginine-starvation therapy by transcriptional suppression of ASS1 is regulated by DEC1, HIF-1alpha, and c-Myc transcription network and is independent of ASS1 promoter DNA methylation. PMID: 27765932
- Low expression of ASS1 is associated with glioblastoma. PMID: 27431689
- defined a new hepatocellular adenoma subgroup at a high risk of bleeding PMID: 28646562
- ASS1 acetylation by CLOCK exhibits circadian oscillation in human cells and mouse liver, possibly caused by rhythmic interaction between CLOCK and ASS1, leading to the circadian regulation of ASS1 and ureagenesis. PMID: 28985504
- update reports 137 mutations in the ASS1 gene (64 of which are novel), consisting of 89 missense mutations, 19 nonsense mutations, 17 mutations that affect splicing, and 12 deletions; the change p.Gly390Arg is by far the most common mutation and is widely spread throughout the world PMID: 28111830
- Of 21 ASS potential kinetic mutations, 13 were totally inactive while 8 exhibited decreased affinity for aspartate and citrulline. PMID: 27287393
- Low ASS1 expression was associated with higher recurrence , shorter disease-free survival and shorter overall survival in patients with pancreatic ductal adenocarcinoma. PMID: 28187218
- The authors showed that ASS1 mutations linked to type I citrullinemia disrupt the ASS1-PRMT7 interaction, which might explain the molecular pathogenesis of the disease. PMID: 28587924
- Identification of three novel CTLN1 mutations in fourteen patients with citrullinemia type 1 has been reported. PMID: 28132756
- In this trial, arginine deprivation with ADI-PEG20 improved PFS in patients with ASS1-deficient mesothelioma. Targeting arginine is safe and warrants further clinical investigation in arginine-dependent cancers. PMID: 27584578
- combining hypoxia and ADI-PEG20 synergistically inhibited ASS1. PMID: 26972697
- ASS1 genomic variants (rs10901080 and rs10793902) can serve as pharmacogenomic biomarkers to predict hydroxyurea treatment efficacy in sickle cell disease/beta-thalassemia compound heterozygous patients. PMID: 26895070
- results show that ASS1 is elevated at the mRNA and protein levels in mesothelioma 3D spheroids and in human pleural mesotheliomas. We also have uncovered a survival role for ASS1 PMID: 26982031
- results demonstrate that ASS1 downregulation is a novel mechanism supporting cancerous proliferation, and they provide a metabolic link between the urea cycle enzymes and pyrimidine synthesis PMID: 26560030
- More than 50 % of the high-grade pulmonary neuroendocrine carcinomas tested lack immunohistochemically detectable ASS, suggesting that they are auxotrophic for arginine and potential candidates for arginine deprivation therapy. PMID: 25548129
- Three novel splicing and missense mutations have been identified in the ASS1 gene in classical citrullinemia patients. PMID: 25179242
- ASS expression in gastric cancer was associated with a poor prognosis. PMID: 25333458
- we reviewed the English literature on mutations in the ASS and SLC25A13 genes, and their genotype-phenotype correlations to provide valuable insights into the molecular genetic background of citrullinemia--{REVIEW} PMID: 24508627
- Data indicate that argininosuccinate synthetase 1 (ASS1) abundance is a prognostic factor for overall breast cancer survival. PMID: 24692592
- Argininosuccinate synthetase gene is silenced by CpG methylation in children with phenylketonuria.The promoter of argininosuccinate synthetase was methylated which silence the transcription of argininosuccinate synthetase. PMID: 24192130
- Aberrant loss of ASS1 strongly links to DNA methylation in neck nodal metastases of NPC and significantly correlates with advanced T classification, and independently predicts worse DSS and DMFS in independent NPC tissue specimens. PMID: 23897555
- Together with the observation that AS1 protein and mRNA levels decrease during wild-type infection, this work suggests that reduced AS1 activity is partially responsible for the metabolic program induced by infection. PMID: 24297925
- Our findings highlight ASS1 as a novel tumor suppressor in myxofibrosarcomas, with loss of expression linked to promoter methylation, clinical aggressiveness, and sensitivity to ADI-PEG20. PMID: 23549872
- ASS expression is decreased significantly in hepatocellular carcinoma tissues. PMID: 23339388
- Mutations are identified only in exons of ASS1 gene from the Korean patients with citrullinemia type I. PMID: 23099195
- The present study demonstrated a key regulatory role of KLF4 in the endothelial ASS1 expression and NO production in response to laminar shear stress. PMID: 22430140
- The ASS release represents a potential counteracting liver reaction to LPS. PMID: 21481813
- the expression of ASS1 harmonized with that of NOS3 may be important for the optimized endothelial NO production and the prevention of the inflammatory monocyte adhesion to endothelial cells. PMID: 21106532
- Analysis of five SNPs of the ASS1 gene revealed that the G allele of rs7860909 is associated with increased CL/P risk. PMID: 20739017
- In patients with osteosarcoma, reduced expression of ASS is not only a novel predictive biomarker for the development of metastasis, but also a potential target for pharmacologic intervention. PMID: 20159990
- Studies indicate that the proximal region of the AS promoter contains an E-box that is recognized by c-Myc and HIF-1alpha and a GC-box by Sp4. PMID: 19934275
- Mutational analysis revealed three alleles with a common mutation and five new mutations. PMID: 11708871
- structure and use in diagnosing citrullinemia PMID: 11941481
- Sixteen novel mutations have been identified in the argininosuccinate synthetase gene in citrullinemia patients. PMID: 12815590
- argininosuccinate synthetase gene expression is stimulated by glutamine through cytosolic O-glycosylation of Sp1 in tumor cells PMID: 14570901
- Argininosuccinate synthetase has a role in preventing autotoxicity from nitric oxide overproduction PMID: 15192091
- Extensive mutation study by direct genomic sequencing of ASS demonstrated a homozygous G117S mutation in one patient and homozygous R363W mutations in the other two families PMID: 16124451
- IL-1beta induces nitric oxide which has antagonistic effects on argininosuccinate synthetase gene and on the activity of argininosuccinate synthetase PMID: 16380201
- ASS, the c-myc-regulated gene is involved in genotype-C-HBV-related HCC, suggesting that c-myc is related to the hepatocarcinogenic activity of genotype-C HBV. PMID: 16703398
- Low argininosuccinate synthetase is associated with renal cell carcinoma PMID: 17096330
- high levels of AS expression, which may be required for several arginine-dependent processes in cancer, including the production of nitric oxide, proline, pyrimidines and polyamines, is regulated by TNF-alpha PMID: 17354225
- HSCARG regulation of argininosuccinate synthetase activity is crucial for maintaining the intracellular balance between redox state and nitric oxide levels PMID: 18263583
- These results show that liver-specific enhancement of ASS gene expression is mediated in part by the cAMP signaling pathway through a distal CRE site. PMID: 18840401
- argininosuccinate synthetase behaves as a typical suckling enzyme because its expression all but disappears in the putative weaning period of human infants. PMID: 19000307
- a survey of the correlation between mutations in the ASS1 gene and the respective clinical courses of citrullinemia type I as described so far (Review) PMID: 19006241
- The studied families showed the same mutation: ASS~p.G390R, associated with the early-onset/severe phenotype. PMID: 19358837
- changes in gene expression are induced by laminar shear stress as well as by cellular senescence PMID: 19409979
- Epigenetic silencing of argininosuccinate synthetase confers resistance to platinum-induced cell death but collateral sensitivity to arginine auxotrophy in ovarian cancer. PMID: 19533750
顯示更多
收起更多
-
相關疾病:Citrullinemia 1 (CTLN1)
-
亞細胞定位:Cytoplasm, cytosol.
-
蛋白家族:Argininosuccinate synthase family, Type 1 subfamily
-
組織特異性:Expressed in adult liver.
-
數據庫鏈接:
Most popular with customers
-
-
YWHAB Recombinant Monoclonal Antibody
Applications: ELISA, WB, IHC, IF, FC
Species Reactivity: Human, Mouse, Rat
-
Phospho-YAP1 (S127) Recombinant Monoclonal Antibody
Applications: ELISA, WB, IHC
Species Reactivity: Human
-
-
-
-
-















