ARAF Recombinant Monoclonal Antibody
-
中文名稱:ARAF Recombinant Monoclonal Antibody
-
貨號:CSB-RA044921A0HU
-
規格:¥1320
-
圖片:
-
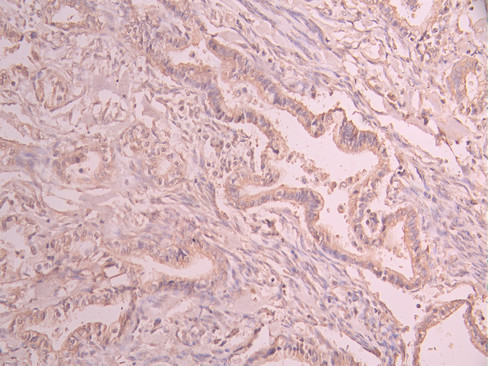
IHC image of CSB-RA044921A0HU diluted at 1:100 and staining in paraffin-embedded human cervical cancer performed on a Leica BondTM system. After dewaxing and hydration, antigen retrieval was mediated by high pressure in a citrate buffer (pH 6.0). Section was blocked with 10% normal goat serum 30min at RT. Then primary antibody (1% BSA) was incubated at 4°C overnight. The primary is detected by a Goat anti-rabbit polymer IgG labeled by HRP and visualized using 0.05% DAB.
-
IHC image of CSB-RA044921A0HU diluted at 1:100 and staining in paraffin-embedded human thyroid tissue performed on a Leica BondTM system. After dewaxing and hydration, antigen retrieval was mediated by high pressure in a citrate buffer (pH 6.0). Section was blocked with 10% normal goat serum 30min at RT. Then primary antibody (1% BSA) was incubated at 4°C overnight. The primary is detected by a Goat anti-rabbit polymer IgG labeled by HRP and visualized using 0.05% DAB.
-
Overlay Peak curve showing Hela cells stained with CSB-RA044921A0HU (red line) at 1:100. The cells were fixed in 4% formaldehyde and permeated by 0.2% TritonX-100 for 10min. Then 10% normal goat serum to block non-specific protein-protein interactions followed by the antibody (1ug/1*106cells) for 45min at 4℃. The secondary antibody used was FITC-conjugated goat anti-rabbit IgG (H+L) at 1/200 dilution for 35min at 4℃.Control antibody (green line) was Rabbit IgG (1ug/1*106cells) used under the same conditions. Acquisition of >10,000 events was performed.
-
-
其他:
產品詳情
-
Uniprot No.:
-
基因名:
-
別名:Serine/threonine-protein kinase A-Raf (EC 2.7.11.1) (Proto-oncogene A-Raf) (Proto-oncogene A-Raf-1) (Proto-oncogene Pks), ARAF, ARAF1 PKS PKS2
-
反應種屬:Human
-
免疫原:A synthesized peptide from human ARAF protein
-
免疫原種屬:Homo sapiens (Human)
-
標記方式:Non-conjugated
-
克隆類型:Monoclonal
-
抗體亞型:Rabbit IgG
-
純化方式:Affinity-chromatography
-
克隆號:18D4
-
濃度:It differs from different batches. Please contact us to confirm it.
-
保存緩沖液:Preservative: 0.03% Proclin 300
Constituents: 50% Glycerol, 0.01M PBS, PH 7.4 -
產品提供形式:Liquid
-
應用范圍:ELISA, IHC, FC
-
推薦稀釋比:
Application Recommended Dilution IHC 1:50-1:200 FC 1:50-1:200 -
Protocols:
-
儲存條件:Upon receipt, store at -20°C or -80°C. Avoid repeated freeze.
-
貨期:Basically, we can dispatch the products out in 1-3 working days after receiving your orders. Delivery time maybe differs from different purchasing way or location, please kindly consult your local distributors for specific delivery time.
-
用途:For Research Use Only. Not for use in diagnostic or therapeutic procedures.
相關產品
靶點詳情
-
功能:Involved in the transduction of mitogenic signals from the cell membrane to the nucleus. May also regulate the TOR signaling cascade.; Serves as a positive regulator of myogenic differentiation by inducing cell cycle arrest, the expression of myogenin and other muscle-specific proteins, and myotube formation.
-
基因功能參考文獻:
- The constitutive or induced re-localization of A-Raf to the plasma membrane compromises its ability to efficiently sequester and inactivate MST2, thus rendering cells susceptible to apoptosis PMID: 26891695
- This review discusses the regulation of A-Raf protein expression, and the roles of A-Raf in apoptosis and cancer, with a special focus on its role in resistance to Raf inhibitors. [review] PMID: 26508523
- analysis of FGFR2-PPHLN1 fusion and ARAF mutations in intrahepatic cholangiocarcinoma PMID: 25608663
- Aberrant expression of A-, B-, and C-RAF, and COT is frequent in PTC; increased expression of COT is correlated with recurrence of PTC. PMID: 25674762
- Dimerization of the kinase ARAF promotes MAPK pathway activation and cell migration. PMID: 25097033
- The study identifies somatic activating ARAF mutations in Langerhans cell histiocytosis. PMID: 24652991
- Galpha12-ARAF-ERK pathway stimulates RFFL transcription through the transcription factor c-Myc. PMID: 24114843
- show that Araf antagonizes mesendoderm induction and patterning activity of Nodal/Smad2 signals in vertebrate embryos by directly inhibiting Smad2 signalling PMID: 23591895
- study investigated role of ARAF in cancer cell signaling and examined the role of ARAF in mediating paradoxical activation of the MAPK pathway in cells treated with RAF inhibitors; ARAF seems to stabilize BRAF:CRAF complexes in cells treated with RAF inhibitors and regulate cell signaling in a subtle manner to ensure signaling efficiency PMID: 22926515
- Ras pathway activation via EGF treatment induced strong binding between B-Raf and C-Raf and a low level of binding between B-Raf and A-Raf. PMID: 23352452
- hnRNP H blocks MST2-mediated apoptosis in cancer cells by regulating A-Raf transcription. PMID: 20145135
- In a two-hybrid screen of human fetal liver cDNA library, TH1 was detected as a new interaction partner of A-Raf; this specific interaction may have played a critical role in the activation of A-Raf. PMID: 11952167
- A-Raf kinase is negatively regulated by trihydrophobin 1 PMID: 14684750
- mutation analysis of the conserved regions in the ARAF gene in human colorectal adenocarcinoma PMID: 14688025
- A-Raf residues are identified that bind to specific phosphoinositides, possibly as a mechanism to localize the enzyme to particular membrane microdomains rich in these phospholipids. PMID: 15736953
- These data reveal that B-RAF is an important mediator of neuronal survival, migration, and dendrite formation and that A-RAF cannot fully compensate for these functions. PMID: 16980614
- Positive regulation of A-RAF by phosphorylation of isoform-specific hinge segment and identification of novel phosphorylation sites. PMID: 18662992
- A-Raf interacts with MEK1 and activates MEK1 by phosphorylation. PMID: 8621729
顯示更多
收起更多
-
蛋白家族:Protein kinase superfamily, TKL Ser/Thr protein kinase family, RAF subfamily
-
組織特異性:Predominantly in urogenital tissues.
-
數據庫鏈接:
Most popular with customers
-
-
YWHAB Recombinant Monoclonal Antibody
Applications: ELISA, WB, IHC, IF, FC
Species Reactivity: Human, Mouse, Rat
-
Phospho-YAP1 (S127) Recombinant Monoclonal Antibody
Applications: ELISA, WB, IHC
Species Reactivity: Human
-
-
-
-
-















