ADH1A Recombinant Monoclonal Antibody
-
中文名稱:ADH1A Recombinant Monoclonal Antibody
-
貨號:CSB-RA234270A0HU
-
規格:¥1320
-
圖片:
-
Western Blot
, Positive WB detected in:COLO205 whole cell lysate(30μg), Mouse liver tissue lysate(30μg), Rat liver lysate(30μg)
All lanes: ADH1A antibody at 1:1000
Secondary
Goat polyclonal to rabbit IgG at 1/40000 dilution
Predicted band size: 40 kDa
Observed band size: 40 kDa
Exposure time:120s -
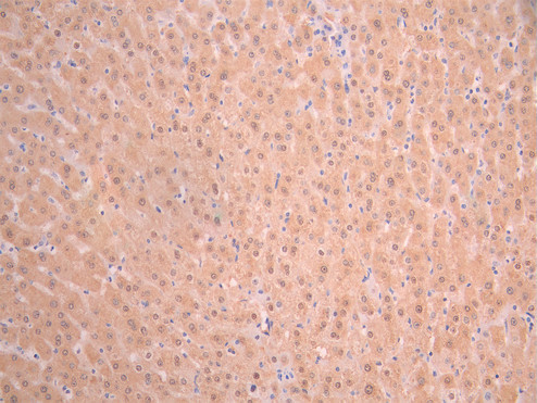
IHC image of CSB-RA234270A0HU diluted at 1:100 and staining in paraffin-embedded human liver tissue performed on a Leica BondTM system. After dewaxing and hydration, antigen retrieval was mediated by high pressure in a citrate buffer (pH 6.0). Section was blocked with 10% normal goat serum 30min at RT. Then primary antibody (1% BSA) was incubated at 4°C overnight. The primary is detected by a Goat anti-rabbit polymer IgG labeled by HRP and visualized using 0.05% DAB.
-
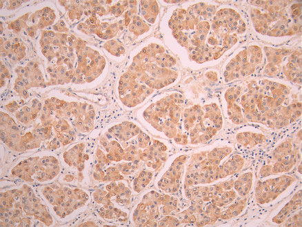
IHC image of CSB-RA234270A0HU diluted at 1:100 and staining in paraffin-embedded human liver cancer performed on a Leica BondTM system. After dewaxing and hydration, antigen retrieval was mediated by high pressure in a citrate buffer (pH 6.0). Section was blocked with 10% normal goat serum 30min at RT. Then primary antibody (1% BSA) was incubated at 4°C overnight. The primary is detected by a Goat anti-rabbit polymer IgG labeled by HRP and visualized using 0.05% DAB.
-
Immunofluorescence staining of HepG2 cell with CSB-RA234270A0HU at 1:50 , counter-stained with DAPI. The cells were fixed in 4% formaldehyde, permeabilized using 0.2% Triton X-100 and blocked in 10% normal Goat Serum. The cells were then incubated with the antibody overnight at 4°C. The secondary antibody was Alexa Fluor 488-congugated AffiniPure Goat Anti-Rabbit IgG(H+L).
-
Overlay Peak curve showing HepG2 cells stained with CSB-RA234270A0HU (red line) at 1:100. The cells were fixed in 4% formaldehyde and permeated by 0.2% TritonX-100 for 10min. Then 10% normal goat serum to block non-specific protein-protein interactions followed by the antibody (1ug/1*106cells) for 45min at 4℃. The secondary antibody used was FITC-conjugated goat anti-rabbit IgG (H+L) at 1/200 dilution for 35min at 4℃.Control antibody (green line) was Rabbit IgG (1ug/1*106cells) used under the same conditions. Acquisition of >10, 000 events was performed.
-
-
其他:
產品詳情
-
Uniprot No.:
-
基因名:ADH1A
-
別名:ADH alpha subunit antibody; ADH antibody; ADH1 antibody; ADH1A antibody; ADH1A_HUMAN antibody; Alcohol dehydrogenase 1 (class I), alpha polypeptide antibody; Alcohol dehydrogenase 1 antibody; Alcohol dehydrogenase 1A (class I), alpha polypeptide antibody; Alcohol dehydrogenase 1A antibody; Alcohol dehydrogenase subunit alpha antibody; Aldehyde reductase antibody
-
反應種屬:Human, Mouse, Rat
-
免疫原:A synthesized peptide from human ADH1A protein
-
免疫原種屬:Homo sapiens (Human)
-
標記方式:Non-conjugated
-
克隆類型:Monoclonal
-
抗體亞型:Rabbit IgG
-
純化方式:Affinity-chromatography
-
克隆號:23D2
-
濃度:It differs from different batches. Please contact us to confirm it.
-
保存緩沖液:Rabbit IgG in 10mM phosphate buffered saline , pH 7.4, 150mM sodium chloride, 0.05% BSA, 0.02% sodium azide and 50% glycerol.
-
產品提供形式:Liquid
-
應用范圍:ELISA, WB, IHC, IF, FC
-
推薦稀釋比:
Application Recommended Dilution WB 1:500-1:5000 IHC 1:50-1:200 IF 1:50-1:200 FC 1:50-1:200 -
Protocols:
-
儲存條件:Upon receipt, store at -20°C or -80°C. Avoid repeated freeze.
-
貨期:Basically, we can dispatch the products out in 1-3 working days after receiving your orders. Delivery time maybe differs from different purchasing way or location, please kindly consult your local distributors for specific delivery time.
-
用途:For Research Use Only. Not for use in diagnostic or therapeutic procedures.
相關產品
靶點詳情
-
基因功能參考文獻:
- High ADH expression is associated with Prostate Cancer. PMID: 28870918
- Results suggest a potential role of alcohol dehydrogenase (ADH) class I as a marker for renal cell carcinoma (RCC). PMID: 27086037
- Data indicate that the up-regulation of aldehyde dehydrogenase-1 (ALDH1) after neoadjuvant chemotherapy (NAC) predicts poor survival in locally advanced breast cancer. PMID: 24762066
- Unde-rexpression of the ADH1 gene, which influences the transformation of the extracellular matrix, plays a probable role in the etiology of uterine fibroid. PMID: 23891545
- high levels of ADH1 transcription are implicated in fluconazole resistance in C. albicans and that the mRNA expression levels of ADH1 are positively correlated with those of CDR1, CDR2 and FLU1. PMID: 23769565
- common ADH variants conferred risk for both schizophrenia in African-Americans and autism in European-Americans. PMID: 23468174
- High ADH1 is associated with endometrial cancer. PMID: 20872569
- ADH1A variation predisposes to personality traits and substance dependence PMID: 19526455
- Structural aspects that influence dimer-tetramer formation. PMID: 12081471
- GATA-2 and HNF-3beta regulate the human alcohol dehydrogenase 1A (ADH1A) gene. PMID: 16153155
- The oxidative pathway of ethanol metabolism via ADH and ALDH does not play a role in pancreatic carcinogenesis. PMID: 17632320
- Alleles of ADH7 SNPs were associated with the early stages of alcohol metabolism, with additional effects in the ADH1A, ADH1B and ADH4 regions. PMID: 19193628
- Observational study of healthcare-related. (HuGE Navigator) PMID: 15279067
顯示更多
收起更多
-
亞細胞定位:Cytoplasm.
-
蛋白家族:Zinc-containing alcohol dehydrogenase family
-
數據庫鏈接:
Most popular with customers
-
-
Phospho-YAP1 (S127) Recombinant Monoclonal Antibody
Applications: ELISA, WB, IHC
Species Reactivity: Human
-
-
-
-
-
-















