ACVR1B Recombinant Monoclonal Antibody
-
中文名稱:ACVR1B Recombinant Monoclonal Antibody
-
貨號:CSB-RA053883A0HU
-
規格:¥1320
-
圖片:
-
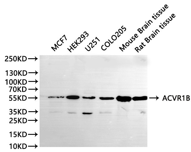
Western Blot
, Positive WB detected in:MCF7 whole cell lysate(30μg), HEK293 whole cell lysate(30μg), U251 whole cell lysate(30μg), COLO205 whole cell lysate(30μg), Mouse brainr tissue lysate(30μg), Rat brain lysate(30μg)
All lanes: ACVR1B antibody at 1:1000
Secondary
Goat polyclonal to rabbit IgG at 1/40000 dilution
Predicted band size: 57 kDa
Observed band size: 57 kDa
Exposure time:30s -
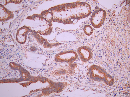
IHC image of CSB-RA053883A0HU diluted at 1:100 and staining in paraffin-embedded human gastric cancer performed on a Leica BondTM system. After dewaxing and hydration, antigen retrieval was mediated by high pressure in a citrate buffer (pH 6.0). Section was blocked with 10% normal goat serum 30min at RT. Then primary antibody (1% BSA) was incubated at 4°C overnight. The primary is detected by a Goat anti-rabbit polymer IgG labeled by HRP and visualized using 0.05% DAB.
-
Immunofluorescence staining of A549 cell with CSB-RA053883A0HU at 1:50 , counter-stained with DAPI. The cells were fixed in 4% formaldehyde and blocked in 10% normal Goat Serum. The cells were then incubated with the antibody overnight at 4°C. The secondary antibody was Fluorescein Alexa Fluor 488-congugated AffiniPure Goat Anti-Rabbit IgG(H+L).
-
-
其他:
產品詳情
-
Uniprot No.:
-
基因名:
-
別名:Activin A receptor type 1B antibody; Activin A receptor type II like kinase 4 antibody; Activin A type 1B receptor antibody; Activin A type IB receptor antibody; Activin receptor like kinase 4 antibody; Activin receptor type 1B antibody; Activin receptor type IB antibody; Activin receptor type-1B antibody; Activin receptor-like kinase 4 antibody; ACTR IB antibody; ACTR-IB antibody; ACTRIB antibody; ACV1B_HUMAN antibody; ACVR 1B antibody; Acvr1b antibody; ACVRLK 4 antibody; ACVRLK4 antibody; ALK 4 antibody; ALK-4 antibody; ALK4 antibody; Serine(threonine) protein kinase receptor R2 antibody; Serine/threonine-protein kinase receptor R2 antibody; SKR 2 antibody; SKR2 antibody
-
反應種屬:Human, Mouse, Rat
-
免疫原:A synthesized peptide from human ACVR1B protein
-
免疫原種屬:Homo sapiens (Human)
-
標記方式:Non-conjugated
-
克隆類型:Monoclonal
-
抗體亞型:Rabbit IgG
-
純化方式:Affinity-chromatography
-
克隆號:1D1
-
濃度:It differs from different batches. Please contact us to confirm it.
-
保存緩沖液:Rabbit IgG in 10mM phosphate buffered saline , pH 7.4, 150mM sodium chloride, 0.05% BSA, 0.02% sodium azide and 50% glycerol.
-
產品提供形式:Liquid
-
應用范圍:ELISA, WB, IHC, IF
-
推薦稀釋比:
Application Recommended Dilution WB 1:500-1:5000 IHC 1:50-1:200 IF 1:50-1:200 -
Protocols:
-
儲存條件:Upon receipt, store at -20°C or -80°C. Avoid repeated freeze.
-
貨期:Basically, we can dispatch the products out in 1-3 working days after receiving your orders. Delivery time maybe differs from different purchasing way or location, please kindly consult your local distributors for specific delivery time.
-
用途:For Research Use Only. Not for use in diagnostic or therapeutic procedures.
相關產品
靶點詳情
-
功能:Transmembrane serine/threonine kinase activin type-1 receptor forming an activin receptor complex with activin receptor type-2 (ACVR2A or ACVR2B). Transduces the activin signal from the cell surface to the cytoplasm and is thus regulating a many physiological and pathological processes including neuronal differentiation and neuronal survival, hair follicle development and cycling, FSH production by the pituitary gland, wound healing, extracellular matrix production, immunosuppression and carcinogenesis. Activin is also thought to have a paracrine or autocrine role in follicular development in the ovary. Within the receptor complex, type-2 receptors (ACVR2A and/or ACVR2B) act as a primary activin receptors whereas the type-1 receptors like ACVR1B act as downstream transducers of activin signals. Activin binds to type-2 receptor at the plasma membrane and activates its serine-threonine kinase. The activated receptor type-2 then phosphorylates and activates the type-1 receptor such as ACVR1B. Once activated, the type-1 receptor binds and phosphorylates the SMAD proteins SMAD2 and SMAD3, on serine residues of the C-terminal tail. Soon after their association with the activin receptor and subsequent phosphorylation, SMAD2 and SMAD3 are released into the cytoplasm where they interact with the common partner SMAD4. This SMAD complex translocates into the nucleus where it mediates activin-induced transcription. Inhibitory SMAD7, which is recruited to ACVR1B through FKBP1A, can prevent the association of SMAD2 and SMAD3 with the activin receptor complex, thereby blocking the activin signal. Activin signal transduction is also antagonized by the binding to the receptor of inhibin-B via the IGSF1 inhibin coreceptor. ACVR1B also phosphorylates TDP2.
-
基因功能參考文獻:
- Overexpression of ALK4 suppressed glioma cell proliferation, migration and invasion through the inactivation of JAK/STAT3 signaling pathway. PMID: 29278854
- Results showed that ACVR1B expression is upregulated during latent infection with a miR-UL148D deletion virus. Data indicates miR-UL148D inhibits ACVR1B expression in latently infected cells to limit proinflammatory cytokine secretion. PMID: 27491954
- Our study provided experimental and clinical evidence for the involvement of activin A and ALK4 in the pathophysiology of atrial fibrosis and atrial fibrillation PMID: 28639003
- It was concluded that ALK4 inhibition increases myogenesis but also regulates the tight balance of protein synthesis and degradation. PMID: 27733450
- in a relatively large cohort of athletes from Europe and South America we have shown that the ACVR1B rs2854464 A allele is associated with sprint/power performance in Caucasians but not in Brazilian athletes. PMID: 27253421
- ALK4 is an important profibrotic signaling molecule in the post-MI CF. Haplodeficiency of ALK4 significantly improved LV function and survival rate by attenuating CF in vivo, ameliorated PMID: 28214509
- ALK4 is expressed in male germ cells and Sertoli cells. PMID: 26289399
- This study demonstrated positive regulation of monocyte/macrophage differentiation by lnc-MC and uncovered an elaborate regulation mechanism composed of PU.1, lnc-MC, miR-199a-5p, and ACVR1B. PMID: 26149389
- Data suggest that activin A up-regulates SNAIL expression via ALK4/ACVR1B-induced SMAD signaling in trophoblast cells; elevated SNAIL contributes to up-regulation of MMP2 expression which plays key role in promoting trophoblast cell invasion. PMID: 26305619
- ACVR1B functions as a positive regulator of monocyte/macrophage differentiation. ACVR1B knockdown promoted THP-1 proliferation by increasing Rb phosphorylation. Down-regulation reduced p-Smad2/3 and C/EBPalpha, inhibiting monocyte/macrophage differentiation. PMID: 25258381
- The deletion of the ACVR1B gene may mediate an aggressive cancer phenotype in pancreatic cancer. PMID: 24886203
- Findings define a regulatory role of miR-98 in tumor angiogenesis and invasion through repressed ALK4 and MMP11 expression. PMID: 23211491
- ActRIBCA signaling can promote cell migration in prostate cancer cells via a network of signaling molecules that work together to trigger the process of EMT, and thereby aid in the aggressiveness and progression of prostate cancers. PMID: 23159635
- Act A protein levels were significantly higher in NTM tissues compared to GTM tissues. PMID: 23010638
- Activin A-ACVRIB/ALK4-Smad-dependent collagen production was augmented in SSc fibroblasts, suggesting the involvement of this signaling mechanism in systemic sclerosis. PMID: 21377836
- We applied a two-stage fine mapping approach, and are the first to identify and partially replicate genetic variants in the ACVR1B gene that account for genetic variation in human muscle strength. PMID: 21063444
- activin A signal is transduced through the activin A type 1 receptor, ALK4, and transactivates several TGF-beta target genes in a SMAD-independent manner. PMID: 20226172
- data indicate that truncated Alk4 isoforms interfere with activin signaling pathways and thereby may contribute to uncontrolled cell growth PMID: 12364468
- Activin signaling mediated by ActRIB-Smad2 system in the ovary may thus be essential for the regulation of follicular differentiation. PMID: 12639945
- there is only a partial overlap of the binding sites on ALK4 and ALK3 for activin-A and bone morphogenetic protein-2, respectively PMID: 12665502
- ALK4 binds to activin at a specific site in order to signal via type II receptors PMID: 15123686
- Dpr2 binds to the TGFbeta receptors ALK5 and ALK4, and accelerates lysosomal degradation of these receptors PMID: 15459392
- findings indicate a new inhibitory function of FKBP12 as an adaptor molecule for the Smad7-Smurf1 complex to regulate the duration of the activin signal through activin type I receptors PMID: 16720724
- a regulation mode of miR-24 on erythropoiesis by impeding ALK4 expression. PMID: 17906079
- Study indicate that the synthetic h-CFC interacts with the ALK4 receptor with a K(D) in micro M range, that the h-CFC overall topology is determined by the presence of three disulfide bridges. PMID: 19035567
顯示更多
收起更多
-
相關疾病:ACVRIB is abundantly expressed in systemic sclerosis patient fibroblasts and production of collagen is also induced by activin-A/INHBA. This suggests that the activin/ACRV1B signaling mechanism is involved in systemic sclerosis.
-
亞細胞定位:Cell membrane; Single-pass type I membrane protein.
-
蛋白家族:Protein kinase superfamily, TKL Ser/Thr protein kinase family, TGFB receptor subfamily
-
組織特異性:Expressed in many tissues, most strongly in kidney, pancreas, brain, lung, and liver.
-
數據庫鏈接:
Most popular with customers
-
YWHAB Recombinant Monoclonal Antibody
Applications: ELISA, WB, IHC, IF, FC
Species Reactivity: Human, Mouse, Rat
-
Phospho-YAP1 (S127) Recombinant Monoclonal Antibody
Applications: ELISA, WB, IHC
Species Reactivity: Human
-
-
-
-
-
-















